M. F, âgé de 47 ans, est conduit aux urgences par les pompiers après avoir été retrouvé errant sur la voie publique. À son arrivée il se plaint de céphalées et les pompiers vous signalent qu’il a vomi plusieurs fois avant et au cours du trajet. Il tient des propos incohérents et semble désorienté. Ses constantes sont les suivantes : température à 37,9 °C, pression artérielle à 135/86 mmHg, tachycardie à 95 bpm, saturation en O2 : 96 %. L’examen clinique met en évidence une limitation de l’abduction de l’œil gauche et une hépatomégalie à deux travers de doigts sans signes d’insuffisance hépatique. Il n’existe pas d’autre déficit neurologique focal et l’auscultation pulmonaire et cardiaque est normale. Vous remarquez son faciès vultueux et sa couperose. L’alcoolotest réalisé par les pompiers est à la limite de la normale.
Question 1. L’analyse sémiologique présentée permet de conclure à :
M. F présente un syndrome confusionnel défini par une désorientation temporo-spatiale brutale avec des propos incohérents. Un syndrome confusionnel est caractérisé par un changement de comportement brutal accompagné d’une désorientation temporo-spatiale, d’une inversion du rythme nycthéméral, de fluctuations de l’état de vigilance avec alternance de phases d’agitation-somnolence, perplexité anxieuse-méfiance, hallucinations et troubles du discours.
M. F présente également un syndrome d’hypertension intracrânienne défini par l’association de céphalées, de vomissements et d’une paralysie du VI gauche qui n’est pas localisatrice et traduit simplement l’existence d’une hypertension intracrânienne. Le nerf VI étant le plus fragile des nerfs crâniens, il est facilement atteint en cas d’hypertension intracrânienne, qu’elle qu’en soit la cause, sans pour autant qu’il n’existe de lésion sur le trajet duVI.
M. F est probablement alcoolique chronique en raison de l’hépatomégalie et du faciès vultueux avec la couperose.
Question n° 2. Ce tableau clinique de M. F. peut s’expliquer par :
Devant une confusion fébrile le premier diagnostic à évoquer, quel que soit le terrain, est celui d’une méningo-encéphalite infectieuse. Devant l’association d’une confusion à une hypertension intracrânienne, chez ce patient probablement alcoolique chronique, il faut également évoquer une thrombose veineuse cérébrale, un hématome sous-dural et une hyponatrémie sévère. L’hyponatrémie sévère peut entraîner un œdème cérébral et une hypertension intracrânienne. Un coma acidocétosique ne donne pas d’hypertension intracrânienne bien qu’il s’agisse d’une des trois causes graves de confusion à évoquer systématiquement chez un patient alcoolique chronique avec l’hypoglycémie et l’hyponatrémie.
En cas d’intoxication OH aiguë il existe trois troubles métaboliques fréquemment associés qui peuvent engager le pronostic vital à rechercher systématiquement :
– l’hypoglycémie ;
– l’acidocétose ;
– l’hyponatrémie.
Les causes de confusion chez un patient alcoolique chronique sont les mêmes que chez n’importe quel patient avec en plus des causes spécifiques liées à la consommation alcoolique de manière directe ou indirecte :
Étiologies de confusion directement liées à l’alcool
Étiologies de confusion indirectement liées à l’alcool
Intoxication aiguë:- ivresse simple- ivresse pathologique- ivresse convulsivante- coma éthyliqueSevrage :- delirium tremensIntoxication alcoolique chronique :- encéphalopathie de Gayet-Wernicke par carence en vitamineB1: syndrome confusionnel + syndrome cérébelleux + signes oculomoteurs- encéphalopathie pellagreuse par carence en vitaminePP : syndrome cérébelleux + syndrome parkinsonien + signes cutanéomuqueux (glossite, desquamation)- encéphalopathie hépatique: syndrome confusionnel + astérixis + signes de cirrhose clinique (ascite)
HypoglycémieHyponatrémieAcidocétoseInsuffisance rénale aiguë par déshydratationHématome sous-dural en cas de chute favorisé par l’atrophie cérébrale
Question n° 3. Vous suspectez une thrombose veineuse cérébrale. Quels sont les éléments de l’énoncé compatibles avec ce diagnostic ?
Les trois modes de révélation les plus fréquents d’une thrombose veineuse cérébrale sont un déficit focal (accompagné le plus souvent d’hypertension intracrânienne), des céphalées isolées, ou des troubles de la vigilance. Une fébricule et une tachycardie sont possibles en réaction à toute souffrance cérébrale mais peuvent aussi être en lien avec un foyer infectieux local qui favoriserait la thrombose veineuse cérébrale.
Question n° 4. Quels sont les deux examens simples qui permettraient d’orienter rapidement votre diagnostic ?
Le dosage de la natrémie et le fond d’œil sont les deux examens, simples à réaliser, qui permettront d’orienter rapidement le diagnostic en confirmant la présence d’une hypertension intracrânienne et en précisant son origine métabolique ou non. Le fond d’œil est un examen simple qui devrait être accessible à tout clinicien travaillant dans un service d’urgence. Devant un tableau clinique de céphalées, il permet rapidement de mettre en évidence un œdème papillaire qui prouve l’existence d’une hypertension intracrânienne et motive la réalisation d’une imagerie cérébrale injectée en urgence.
Les résultats du bilan sanguin que vous avez demandé en urgence sont les suivants : Hb : 11,5g/dl ; VGM : 106 fl ; GB : 8 000 G/L ; plaquettes : 150 G/L ; Na+ : 138 mmol/L ; K+ : 4,2 mmol/L ; CRP : 5 g/L ; créatinine : 145µmol/L ; ASAT : 65 UI/L ; ALAT : 58 UI/L ; GGT : 250 UI/L ; PAL : 310 UI/L ; albumine 32,5 g/L.
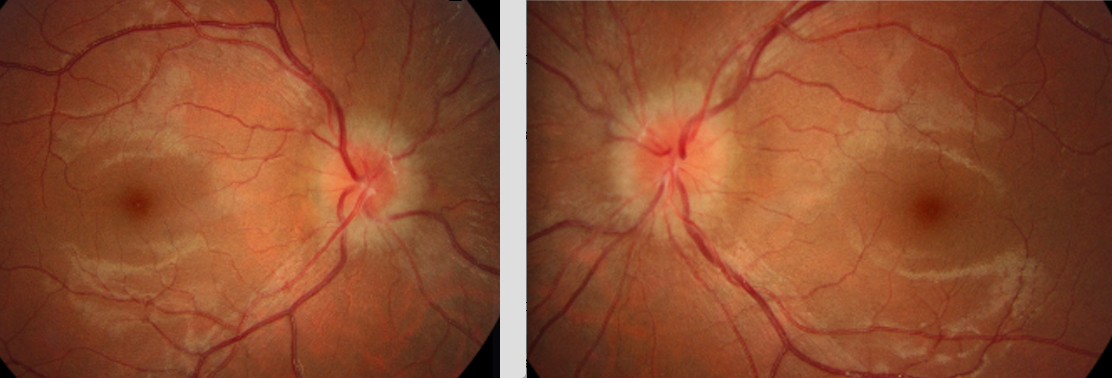
Vous retrouvez l’aspect suivant au fond d’œil
Question n° 5. qu’en concluez vous ?
Le bilan sanguin montre que la natrémie est normale, qu’il n’existe pas de syndrome inflammatoire, et objective les conséquences de l’alcoolisme chronique avec une anémie macrocytaire, une cytolyse et une augmentation des transaminases. Il existe également une insuffisance rénale d’origine probablement fonctionnelle par déshydratation en raison du terrain.
Le fond d’œil met en évidence un œdème papillaire bilatéral qui se traduit par un flou des bords de la papille et une saillie papillaire, associés à des hémorragies en flammèches péri-papillaires. Il s’agit de l’aspect typique de l’œdème papillaire retrouvé dans l’hypertension intracrânienne qu’elle qu’en soit la cause.
L’hémorragie méningée peut s’associer à une hémorragie intra vitréenne et on parle alors de syndrome de Tearson.
Voici une autre image d’œdème papillaire sans hémorragiespéri-papillaires : Voici l’aspect d’un fond d’œil normal avec une papille à bords nets : Vous réalisez donc l’imagerie cérébrale suivante.
Question 6 - Interprétez l'imagerie cérébrale
Il s’agit d’un scanner cérébral injecté qui met en évidence un défaut d’opacification par le produit de contraste du sinus longitudinal supérieur. Ce signe appelé signe du delta traduit la présence d’un thrombus au sein du sinus. Les sténoses bilatérales des sinus transverses sont des signes indirects et non spécifiques que l’on retrouve dans les hypertensions intracrâniennes chroniques idiopathiques.
M. F est hospitalisé en service de soins intensifs pour prise en charge de sa thrombose veineuse cérébrale. Un traitement anticoagulant par héparine intraveineuse est débuté accompagné d’une hydratation par sérum glucosé et d’un traitement symptomatique de l’hypertension intracrânienne par mannitol. Alors que son état clinique s’était rapidement amélioré, vous trouvez M. F à nouveau confus lors de votre visite 72 heures après son arrivée dans le service. Il se plaint d’une diplopie et n’est plus capable de tenir debout sans votre aide. Votre examen clinique met en évidence une limitation de l’abaissement et de l’adduction de l’œil droit sans limitation de l’abduction et une ataxie à la manœuvre de Romberg non majorée à la fermeture des yeux.
Question n° 7. Quel est le diagnostic que vous évoquez en priorité ?
Devant l’association confusion + paralysie oculomotrice + syndrome cérébelleux, il faut évoquer en priorité une encéphalopathie métabolique par carence vitaminique de type syndrome de Gayet-Wernicke, d’autant plus chez ce patient alcoolique chronique.
L’encéphalopathie de Gayet-Wernicke est une encéphalopathie métabolique secondaire à une carence en vitamine B1 qui s’exprime chez l’adulte par des troubles neurologiques. Le diagnostic doit être évoqué devant la présence d’un des signes suivants et a fortiori s’ils sont associés :
– syndrome confusionnel ;
– signes oculomoteurs : ophtalmoplégie, paralysie de fonction, nystagmus ;
– syndrome cérébelleux statique ;
– hypertonie oppositionnelle.
En cas de confusion chez un patient alcoolique chronique hospitalisé les deux diagnostics à évoquer sont :
– le delirium tremens ;
– et l’encéphalopathie de Gayet-Wernicke.
Le bilan sanguin standard que vous avez demandé en urgence est normal et le scanner cérébral est inchangé. Vous suspectez une encéphalopathie métabolique de type syndrome de Gayet-Wernicke.
Question n° 8. Quels facteurs favorisant potentiels identifiez-vous dans l’histoire de M. F ?
Le stock en vitamine B1 dans l’organisme est faible et une carence peut survenir rapidement surtout sur un terrain à risque comme l’alcoolisme chronique (mécanisme mixte associant : carence d’apport, défaut de métabolisme de l’alcool entraînant une forte consommation de B1 et défaut d’utilisation normale de la B1 par le foie en cas d’atteinte hépatique associée), les régimes importants, l’anorexie mentale, la chirurgie bariatrique. Des vomissements et une gastropathie peuvent également réduire l’absorption de vitamine B1. Une carence préexistante en vitamine B1 va être majorée par l’administration de soluté glucosé sans supplémentation vitaminique préalable qui peut déclencher l’apparition des symptômes cliniques du syndrome de Gayet-Wernicke.
Question n° 9. Quelle est votre attitude thérapeutique ?
Le traitement, urgent, repose sur la vitamine B1 en IV qui doit être administrée dès la suspicion diagnostique sans attendre le résultat du dosage sanguin qui est par ailleurs peu sensible.
Il est surtout préventif et repose sur la supplémentation systématique en vitamine B1 de tout patient alcoolique chronique ou dénutri et sur l’administration systématique de vitamine B1 lors d’un apport glucosé chez un patient à risque.
Le diagnostic est avant tout clinique et est confirmé par l’amélioration des symptômes grâce à la supplémentation vitaminique à fortes doses. Il peut cependant être confirmé par la biologie sanguine et l’IRM cérébrale. Le bilan sanguin peut mettre en évidence un dosage de la vitamine B1 effondré mais le dosage de la vitamine B1 érythrocytaire (l’activité de la transcétolase érythrocytaire) est bien plus sensible (la concentration en vitamine B1 érythrocytaire est dix fois plus élevée que celle du sérum). Ces deux tests restent cependant très peu spécifiques. Il peut également y avoir une acidose lactique associée avec augmentation du pyruvate et diminution du lactate. L’IRM peut mettre en évidence un hypersignal FLAIR autour de l’aqueduc de Sylvius, des corps mamillaires et du thalamus.
On évitera la loxapine ou tout autre neuroleptique pour traiter l’agitation chez un patient alcoolique chronique.
Question n° 10. À quels risques est exposé M. F si le traitement n’est pas débuté à temps ?
Le risque principal d’une encéphalopathie de Gayet-Wernicke non traitée à temps est l’atteinte irréversible des corps mamillaires et des noyaux dorso-médians du thalamus s’exprimant cliniquement par le syndrome de Korsakoff associant des troubles mnésiques et des signes frontaux. Il s’agit d’un syndrome associant une amnésie principalement antérograde (oubli à mesure) mais aussi rétrograde, une désorientation temporo-spatiale, une anosognosie, des fabulations, des fausses reconnaissances et des persévérations.
La symptomatologie régresse rapidement grâce à votre vitaminothérapie. Il vous signale alors qu’il présente depuis plusieurs mois des douleurs au niveau des deux membres inférieurs qui se sont progressivement intensifiées. Il ressent des fourmillements des deux pieds qui remontent parfois jusqu’aux genoux avec parfois des décharges électriques douloureuses et des crampes nocturnes très gênantes. À l’examen vous retrouvez effectivement une diminution symétrique de la sensibilité au toucher et de la distinction à l’épreuve croix-rond des deux pieds remontant jusqu’aux genoux. Il n’existe pas de déficit moteur ni d’amyotrophie et les réflexes ostéo-tendineux sont tous perçus.
Question n° 11. Quelle est votre analyse sémiologique ?
M. F. présente des douleurs neuropathiques de topographie longueur dépendante très évocatrices d’une polyneuropathie. La localisation longueur dépendante des signes sensitifs permet de faire la distinction entre une origine périphérique (par polyneuropathie) et une origine médullaire centrale (par atteinte des cordons postérieurs secondaire à une carence en vitamine B12, par exemple). Les réflexes ostéotendineux peuvent être préservés en l’absence de déficit moteur ou sensitif important. Les douleurs traduisent l’atteinte des petites fibres nerveuses et donc de la sensibilité thermo-algique, et l’examen clinique met en évidence l’atteinte de la sensibilité épicritique. Nous ne disposons pas d’information concernant une atteinte proprioceptive potentielle car l’énoncé ne mentionne pas d’ataxie à la fermeture des yeux ni d’hypopallesthésie à l’examen.
Question n° 12. Quelle est l’étiologie la plus probable du tableau clinique que présente M. F depuis quelques mois ?
Le tableau clinique est celui d’une polyneuropathie longueur dépendante dont l’origine la plus probable est alcoolo-carentielle. Les myopathies ne donnent pas de signes sensitifs.
La polyneuropathie longueur dépendante alcoolique est secondaire à l’association de la toxicité directe de l’alcool et des carences vitaminiques (B1 +/- B9). Il s’agit de la 2e cause de polyneuropathie dans les pays industrialisés après le diabète. Elle touche à la fois les fibres motrices, sensitives et végétatives. Le tableau clinique est d’installation insidieuse et d’évolution lentement progressive, et dominé par les signes sensitifs.
Manifestations neurologiques périphériques chez les alcooliques chroniques :
– polyneuropathie longueur-dépendante axonale douloureuse ;
– neuropathie optique ;
– neuropathies focales ;
– myopathies : myopathie aiguë ou chronique.
Question n° 13. Quels examens complémentaires réalisez-vous dans le cadre du bilan étiologique de cette polyneuropathie ?
L’électroneuromyoramme en stimulodétection est l’examen qui permettra de confirmer l’existence d’une polyneuropathie mais aussi d’en vérifier sa nature axonale compatible avec le diagnostic de polyneuropathie longueur-dépendante d’origine alcoolo-carentielle. Devant toute polyneuropathie il convient de réaliser un bilan étiologique complet car plusieurs causes peuvent s’associer. Il faut donc s’assurer de l’absence de diabète, de dysthyroïdie, d’infection chronique au VIH, de gammapathie monoclonale, d’insuffisance rénale
Question n° 14. Que vous attendez-vous à retrouver lors de la stimulodétection ?
Le tracé de détection du jambier antérieur droit met en évidence des signes de dénervation chronique avec un appauvrissement en unités motrices (peu de « barres » de morphologies différentes), et un potentiel polyphasique se répétant à fréquence élevée (sommation temporelle). Il s’agit d’un tracé pauvre et accéléré signant l’atteinte neurogène chronique. Il existe donc une atteinte neuropathique motrice au niveau du SPE droit. Étant donné le tableau clinique de polyneuropathie longueur-dépendante d’origine alcoolo-carentielle, on s’attend à retrouver une atteinte axonale bilatérale et symétrique à prédominance sensitive avec baisse des amplitudes des potentiels d’action moteurs et sensitifs en distalité sans anomalie des vitesses de conductions nerveuses ni blocs de conduction.
L’éléctroneuromyogramme confirme donc votre diagnostic de neuropathologie longueur-dépendante chronique d’origine alcoolo-carentielle.
Question n° 15. Quelle prise en charge thérapeutique pouvez-vous proposer à M. F ?
Le traitement de la polyneuropathie longueur dépendante chronique d’origine alcoolo-carentielle comprend l’arrêt de la consommation alcoolique, la supplémentation vitaminique en cas de carence, la renutrition, et la prise en charge des douleurs neuropathiques.
Deux familles de traitements sont recommandées pour les douleurs neuropathiques :
– les antiépileptiques : prégabaline (Neurontin), gabapentine (Lyrica), à préférer pour les douleurs intermittentes à type de décharges électriques ;
– les antidépresseurs : tricycliques (amitriptyline ou clomipramine) ou inhibiteurs de la recapture de la sérotonine IRS (paroxétine), à préférer pour les douleurs permanentes à type de paresthésies.
On peut également utiliser en association des antalgiques de paliers I ou II en raison d’un effet synergique des molécules.
M. F présente également un syndrome d’hypertension intracrânienne défini par l’association de céphalées, de vomissements et d’une paralysie du VI gauche qui n’est pas localisatrice et traduit simplement l’existence d’une hypertension intracrânienne. Le nerf VI étant le plus fragile des nerfs crâniens, il est facilement atteint en cas d’hypertension intracrânienne, qu’elle qu’en soit la cause, sans pour autant qu’il n’existe de lésion sur le trajet duVI.
M. F est probablement alcoolique chronique en raison de l’hépatomégalie et du faciès vultueux avec la couperose.