Une jeune femme de 24 ans sans antécédents ni allergies appelle les pompiers pour deux malaises avec perte de connaissance. Elle a présenté la veille des palpitations.
Question 1 : Quelle(s) donnée(s) clinique(s) doit (doivent) être recherchée(s) au domicile de la patiente ?
Dans le cadre de la prise en charge en pré-hospitalier, l’urgence est avant tout de faire le point sur les signes de gravité de ce malaise. La première étape est donc de s’assurer que les paramètres vitaux sont normaux. Dans un contexte de malaise, l’examen neurologique et l’interrogatoire de l’entourage (surtout des témoins) sont fondamentaux car ils permettent d’orienter le diagnostic vers une cause neurologique ou une cause cardiovasculaire :
– s’il existe des signes déficitaires postcritiques, si le malaise s’est accompagné de mouvements anormaux ou s’il existe des troubles de conscience, il faut s’orienter vers une cause neurologique ;
– dans le cas contraire, la cause cardiologique peut être évoquée et le mécanisme est une hypoperfusion cérébrale transitoire (à noter que les syncopes de durée prolongée > 30 secondes peuvent devenir secondairement myocloniques, mais ces mouvements anormaux débutent après la perte de connaissance). Cette hypoperfusion transitoire peut être liée à 3 causes (mécanique, électrique ou hypotension artérielle) mais l’affinement du diagnostic étiologique se fait dans un second temps. La recherche d’hypotension artérielle orthostatique et le massage sino-carotidien ne sont donc pas des éléments d’urgence.
Question 2 : Le (les) examen(s) paraclinique(s) nécessaire(s) en pré-hospitalier pour compléter votre évaluation clinique est (sont)
Nous l’avons vu à la question précédente, il faut savoir s’il s’agit de malaises d’origine neurologique ou cardiologique. Il faut faire preuve de bon sens car nous sommes en pré-hospitalier. Le dosage des bêta-HCG, de la troponine ou des D-dimères ne changeront pas la prise en charge immédiate. Aucune étude n’a évalué l’impact diagnostique de la positivité des D-dimères ou de la troponine dans les suites immédiates d’un malaise. Si l’origine cardiovasculaire est évoquée, il faut rechercher :
– une cause cardiaque mécanique (obstacle à l’éjection ventriculaire gauche (VG) comme le rétrécissement aortique serré ou la cardiomyopathie hypertrophique obstructive, obstacle à l’éjection ventriculaire droite (VD) comme l’embolie pulmonaire (EP) proximale bilatérale ou encore tamponnade par adiastolie aiguë). Il faut donc ausculter la patiente et l’échocardiographie est donc indiquée dans un 2e temps, à l’hôpital, dans le cadre du bilan du malaise ;
– une cause cardiaque électrique : troubles du rythme ventriculaire (sur une séquelle ischémique, une dysplasie arythmogène du ventricule droit (DAVD) ou une myocardite), troubles du rythme auriculaire (souvent la syncope survient lors de la pause qui suit la réduction spontanée du trouble du rythme), troubles de conduction intracardiaque. L’électrocardiogramme (ECG) est donc formellement indiqué : c’est un examen simple et disponible. En présence d’un trouble de conduction ou du rythme, la stratégie peut être adaptée immédiatement (antiarythmiques, perfusion d’isoprénaline…) ;
– l’hypotension artérielle : soit l’hypotension orthostatique ou iatrogène (s’accompagnant en général d’une tachycardie sinusale), soit l’hypotension associée à une bradycardie sinusale paradoxale (syncope neurocardiogénique, par hypersensibilité sino-carotidienne, typiquement des syncopes survenant lorsque le patient tourne la tête, ou tout simplement le malaise vaso-vagal dont le diagnostic est généralement facile en raison du contexte). La recherche d’hypotension orthostatique et le massage sino-carotidien (après avoir vérifié l’absence de souffle carotidien !) sont donc systématiques mais ne sont pas des éléments urgents en pré-hospitalier car ils ne changent pas la stratégie diagnostique. Attention ! le massage sino-carotidien n’a de valeur que s’il reproduit la symptomatologie. À noter qu’un malaise vagal qui se prolonge peut donner un aspect clinique d’état de mort apparente.
L’hypoglycémie est responsable de comas hypoglycémiques, mais jamais de tableau syncopal (car l’hypoglycémie n’est pas résolutive en l’absence de resucrage). Néanmoins, et surtout dans notre cas où la symptomatologie n’est pas précisée, le réflexe de la glycémie capillaire doit être systématique devant toute symptomatologie neurologique aiguë, surtout en pré-hospitalier car le résultat peut amener à adapter la prise en charge.
L’examen physique objective une pression artérielle à 112/61 mmHg, une fréquence cardiaque à 125/min et une température à 37,8°C. La saturation artérielle en oxygène est à 87% en air ambiant, la patiente est polypnéique. L’examen neurologique est normal et son ami présent lors des malaises n’a pas noté de mouvements anormaux. La glycémie capillaire est à 6,1 mmol/L. L’auscultation pulmonaire objective des crépitants aux deux bases.
Question 3 : Quelle est votre appréciation de l’état clinique ? 
Il n’est pas normal d’avoir une tachycardie sinusale à 125/min lorsque l’on a 23 ans et que l’on est en bonne santé. Cette tachycardie doit donc être considérée comme un signe avant-coureur d’instabilité hémodynamique car il témoigne d’une adaptation à une dégradation hémodynamique aiguë. La normalité (pour l’instant !) de la pression artérielle ne doit pas faussement vous rassurer car la tolérance des patients jeunes est excellente à une dégradation hémodynamique.
La glycémie capillaire est normale et le diagnostic d’hypoglycémie peut donc être éliminé.
Enfin, il faut retenir qu’une saturation artérielle en oxygène de 90 % correspond à une pression partielle sanguine artérielle en oxygène d’environ 60 mmHg.
L’ECG suivant est réalisé au domicile de la patiente :
Question 4: Cet ECG montre 
Le rythme est régulier, sinusal, à une fréquence de 125/min, donc il existe une tachycardie. Il n’y a pas de trouble de la conduction auriculo-ventriculaire (PR 160 ms). Les QRS sont fins, d’axe normal. Il existe un sous-décalage du segment ST horizontal dans les dérivations inféro-latérales, d’origine fonctionnelle (sur la tachycardie).
Au total, il s’agit donc d’un aspect de tachycardie sinusale.
Il ne s’agit pas d’une tachycardie jonctionnelle car on ne met pas en évidence d’onde P rétrograde.
La patiente est admise au service d’accueil des urgences. L’examen physique montre une saturation en oxygène à 94 % sous 6 L/min d’oxygène, des crépitants pulmonaires bilatéraux et un souffle holosystolique intense sous le mamelon gauche.
Question 5: Quel(s) examen(s) paraclinique(s) proposez-vous pour avancer dans la prise en charge ?
Rappelez-vous initialement que la patiente était subfébrile à 37,8 °C. Le tableau est pour l’instant celui d’une dyspnée aiguë crépitante et fébrile. La radiographie thoracique et la numération/formule sanguine sont indiquées pour rechercher un foyer de pneumopathie et/ou un syndrome inflammatoire biologique.
Cette patiente jeune et tachycarde a une probabilité faible d’embolie pulmonaire (score de Genève modifié à 2) mais il ne faut pas oublier que la tachycardie, surtout dans un contexte de dyspnée aiguë, est l’un des signes les plus sensibles pour le diagnostic d’embolie pulmonaire. Les D-dimères peuvent donc aider à stratifier le diagnostic. Voici pour rappel les éléments du score de Genève modifié d’après les recommandations 2014 de la Société européenne de cardiologie (ESC) sur l’embolie pulmonaire :

La fonction rénale doit être évaluée, surtout à visée pré-thérapeutique.
Enfin, le dosage plasmatique du NT-proBNP (N-terminal pro-brain natriuretic peptide) face à cette dyspnée crépitante pourra apporter des arguments supplémentaires pour un tableau d’insuffisance cardiaque aiguë.
Références : Konstantinides SV, Torbicki A, Agnelli G, et al. 2014 ESC Guidelines on the diagnosis and management of acute pulmonary embolism: The Task Force for the Diagnosis and Management of Acute Pulmonary Embolism of the European Society of Cardiology (ESC).Eur Heart J 14 novembre 2014.
Sur le bilan biologique, les leucocytes sont à 19 G/L (90 % de polynucléaires neutrophiles), la CRP est à 50 mg/L. Le NT-pro-BNP est à 2 600 pg/mL, la troponine est à 12 ng/L (normale 14) et les D-dimères sont à 101 ng/L. Les bêta-HCG plasmatiques sont négatifs. L’ionogramme sanguin est normal et la créatininémie est à 62 µmol/L.
Question 6 : Quelle est votre interprétation de ce bilan biologique ? 
Un taux de NT-proBNP au-delà de 400 pg/mL est très fortement en faveur d’une insuffisance cardiaque aiguë dans un contexte évocateur (dyspnée aiguë par exemple).
Il existe un syndrome inflammatoire biologique franc (hyperleucocytose > 10 G/L à prédominance de PNN et CRP > 5 mg/L).
Les D-dimères sont négatifs (valeur normale : 500 ng/L. Attention ! au-delà de 50 ans il faut appliquer le seuil corrigé qui correspond à 10 fois l’âge). L’excellente valeur prédictive négative des D-dimères permet d’écarter le diagnostic d’embolie pulmonaire.
La négativité de la troponine, l’absence de trouble du rythme ventriculaire et de symptomatologie angineuse peuvent raisonnablement faire écarter le diagnostic d’infarctus du myocarde.
La fonction rénale est normale (créatininémie < 100 µmol/L).
Question 7 : Chez cette patiente, l’existence du souffle systolique endapexien doit faire évoquer, dans ce contexte… 
Dans un contexte de dyspnée aiguë crépitante avec un souffle systolique endapexien irradiant à l’aisselle (« sous le mamelon gauche »), il faut évoquer une insuffisance mitrale aiguë. Il faut retenir que les souffles maximaux à l’apex et/ou dans l’aisselle sont des souffles mitraux.
La sténose aortique est rare à cet âge en dehors des cardiopathies congénitales qui sont généralement connues et le souffle est généralement maximal à droite et en haut du sternum, et irradie aux carotides.
Les souffles d’insuffisance tricuspide s’entendent surtout au foyer tricuspide, c’est-à-dire au niveau de l’appendice xyphoïde. Le souffle de communication interventriculaire est systolo-diastolique, en rayon de roue, irradiant à tous les foyers.
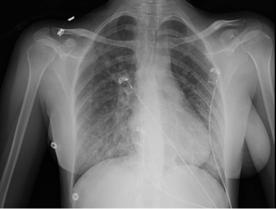
La radiographie thoracique est la suivante :

 

 Question 8 : Cette radiographie thoracique montre… 
Il s’agit d’une radiographie thoracique de face, en inspiration.
La silhouette cardio-médiastinale est normale, il n’y a pas de cardiomégalie.
Les culs-de-sac pleuraux sont libres, sans pneumothorax ni épanchement liquidien.
On constate la présence d’un syndrome alvéolo-interstitiel bilatéral, aux deux bases, avec une discrète prédominance à droite.
Question 9 : À ce stade, le(s) diagnostic(s) possible(s) est (sont)…
Pour résumer le tableau, il s’agit d’une patiente de 23 ans sans antécédents, hospitalisée pour une détresse respiratoire hypoxémiante, crépitante, subfébrile, associée à un syndrome alvéolo-interstitiel bibasal à la radiographie thoracique, avec une discrète prédominance à droite.
Les D-dimères sont normaux.
Les deux diagnostics possibles sont donc une pneumopathie infectieuse et un œdème pulmonaire (et ces deux diagnostics ne sont pas mutuellement exclusifs !).
Concernant les autres diagnostics :
– il n’y a pas de pneumothorax à la radiographie thoracique ;
– l’embolie pulmonaire a été éliminée par la normalité des D-dimères ;
– la pleurésie purulente suppose un épanchement pleural qui n’existe pas ici. De plus, les tableaux sont plus souvent très fébriles et asymétriques, ce qui n’est pas le cas dans la situation de notre patiente.
Un traitement par amoxicilline/acide clavulanique est débuté pour suspicion de pneumopathie. L’état clinique de la patiente reste précaire et, le lendemain de son entrée, elle est sous 10 L/min d’oxygène pour maintenir une saturation à 94 %. L’examen physique objective une persistance des crépitants bilatéraux à l’auscultation pulmonaire et du souffle holosystolique endapexien à l’auscultation cardiaque.
Question 10 : Quel(s) examen(s) doit (doivent) être réalisés(s) ?
L’état clinique de la patiente se détériore, puisque les besoins en oxygène augmentent. Il est important de ne pas avoir de retard diagnostique car la situation peut se dégrader encore plus rapidement. Cette dégradation peut s’expliquer soit par une erreur diagnostique initiale, soit par l’évolution naturelle de la maladie. En pratique, il faut compléter les investigations :
– une gazométrie artérielle pour apprécier l’hématose ;
– une échographie cardiaque pour rechercher une pathologie sous-jacente d’autant que les NT-proBNP sont élevées ;
– une nouvelle radiographie thoracique pour vérifier l’évolutivité des lésions (apparition d’un épanchement pleural, d’un abcès, d’un pneumothorax…).
Les D-dimères ont déjà été réalisés et leur renouvellement n’apportera rien de plus au diagnostic.
La coronarographie ne permettra pas d’avancer dans le diagnostic dans la mesure où l’étiologie coronaire est peu vraisemblable.
L’échographie cardiaque montre une insuffisance mitrale sévère sur prolapsus de la valve postérieure par rupture de cordage. Le ventricule gauche n’est pas dilaté et la fraction d’éjection ventriculaire gauche est à 75 %. La pression artérielle pulmonaire systolique est à 60 mmHg.
Question 11 : Comment interprétez-vous ces données ? (Une ou plusieurs réponse[s] exacte[s].)
Dans l’insuffisance mitrale aiguë, le ventricule gauche fait face à une diminution brutale de sa post-charge puisqu’il peut éjecter à la fois par l’orifice aortique et par le nouvel orifice mitral créé. Son volume télédiastolique ne changeant pas compte tenu de la rapidité de survenue de la fuite (ce qui explique d’ailleurs l’absence de dilatation ventriculaire gauche), le volume d’éjection systolique transaortique est fatalement diminué. Afin de compenser cette diminution du débit cardiaque, deux mécanismes rentrent complémentaires entrent en jeu :
– une augmentation de la force contractile ventriculaire gauche afin d’augmenter le volume d’éjection systolique, ce qui explique la fraction d’éjection supranormale. Lorsque la fraction d’éjection devient normale (aux alentours de 60 %), cela est le signe d’une dégradation de la fonction contractile ventriculaire ;
– une tachycardie réflexe pour maintenir le débit cardiaque. Cette tachycardie est donc un mécanisme d’adaptation vital.
La rapidité de la constitution de la fuite mitrale induit une élévation des pressions atriales gauches qui se répercutent sur l’arbre pulmonaire, ce qui explique une élévation de la pression artérielle pulmonaire systolique (pour rappel, la normale est < 25 mmHg).

 

Vous retenez le diagnostic d’œdème aigu du poumon causé par une insuffisance mitrale aiguë.
Question 12 : Quel(s) traitement(s) mettez-vous en route ?
Le tableau est celui d’une décompensation cardiaque gauche aiguë.
Le traitement est donc « classique », et fait appel à une déplétion par furosémide intraveineux et des nitrés en intraveineux si la pression artérielle systolique le permet. Cela permet de diminuer la précharge ventriculaire gauche et d’abaisser les pressions gauches.
Comme nous l’avons vu à la question précédente, la tachycardie réflexe est un mécanisme vital pour maintenir le débit cardiaque. Ralentir pharmacologiquement la patiente serait donc dangereux, les bêtabloquants et la digoxine sont donc contre-indiqués.
Synthèse des recommandations 2016 sur le traitement de l’insuffisance cardiaque aiguë :
Références : Ponikowski P, Voors AA, Anker SD, et al. 2016 ESC Guidelines for the diagnosis and treatment of acute and chronic heart failure: The Task Force for the diagnosis and treatment of acute and chronic heart failure of the European Society of Cardiology (ESC). Developed with the special contribution of the Heart Failure Association (HFA) of the ESC.Eur Heart J 14 juillet 2016.
À 24 heures du traitement, la patiente a uriné 7 litres et sa saturation artérielle en oxygène est à 99 % sous 3 L/min d’oxygène. La patiente désire savoir quelle sera la suite de sa prise en charge.
Question 13: Que lui proposez-vous ? (Une ou plusieurs réponse[s] exacte[s].)
Il s’agit d’un tableau d’insuffisance mitrale aiguë symptomatique. L’urgence est de réparer la valve mitrale dans les jours qui viennent (risque de dommages irréversibles ventriculaires gauches) :

Chaque fois que possible, la plastie doit être préférée au remplacement valvulaire parce qu’elle respecte l’appareil sous-valvulaire et entraîne moins de dysfonction ventriculaire gauche postopératoire qu’un remplacement valvulaire. Le risque de morbi-mortalité à long terme est plus faible, et le risque d’endocardite également.
 
Références The task force for the management of valvular heart disease of the European Society of Cardiology (ESC) and the European Association for Cardio-Thoracic Surgery (EACTS), 2017 ESC/EACTS Guidelines for the management of valvular heart disease, Eur Heart J 2017. https://www.escardio.org/Guidelines/Clinical-Practice-Guidelines/Valvular-Heart-Disease-Management-of
Après discussion en réunion médico-chirurgicale, vous optez pour une réparation valvulaire mitrale chirurgicale qui est programmée 48 heures plus tard.
Question 14: Quel(s) examen(s) effectuez-vous dans le cadre du bilan préopératoire de la chirurgie réparatrice de la valve mitrale chez cette patiente ?
Le seul examen indiqué dans la liste est la recherche de foyers infectieux dentaires. À noter que si la chirurgie doit être réalisée en extrême urgence, la recherche des foyers dentaires peut se faire en postopératoire.
Il s’agit d’une patiente jeune sans antécédents, la coronarographie et l’écho-Doppler des TSA ne sont pas indiqués.
De même, l’IRM myocardique et le scanner cardiaque n’apporteront rien au bilan préopératoire dans ce contexte.
  La patiente bénéficie d’une plastie mitrale dont les suites sont parfaitement simples. Vous la revoyez 6 mois plus tard.
Question 15: Parmi les propositions suivantes concernant la suite de la prise en charge, laquelle (lesquelles) est (sont) exacte(s) ?
Après une plastie mitrale, un traitement anticoagulant est indiqué pendant 3 mois. Par la suite, ce traitement est arrêté et la plastie mitrale ne contre-indique pas la grossesse.

La plastie mitrale n’est pas une valve prothétique, il n’y a qu’un anneau péri-valvulaire ajouté par le chirurgien. La durée de vie n’est donc théoriquement pas limitée.
Par contre, en raison de la présence de matériel étranger, il s’agit d’une situation à risque d’endocardite infectieuse et tout détartrage dentaire futur nécessitera une antibioprophylaxie une heure avant le geste, ainsi que toute chirurgie dentaire impliquant la manipulation de la gencive ou de la région péri-apicale de la dent :

Conclusion finale
Comme vous avez pu le remarquer, il s’agissait d’un cas basé essentiellement sur le bon sens clinique et l’évaluation d’une situation aiguë.
Cela peut arriver le jour J et le plus important, lorsqu’il y a peu de recommandations, est de se demander ce qu’il est rationnel de faire ou non en rapport avec le contexte clinique et situationnel qui vous est donné (différences de prise en charge en pré-hospitalier vs en hospitalier, par exemple).

Exercez-vous aux ECN avec les dossiers progressifs et les LCA de La Revue du Praticien