Vous êtes médecin en salle d’accouchement d’une maternité de niveau IIA et recevez en urgence Mlle Z, 24 ans, pour fièvre à 38,5 °C.

Il s’agit d’une patiente primigeste, enceinte à 25 SA +3 ce jour. Elle n’a pas d’antécédents médico-chirurgicaux ni familiaux.

Poids : 70 kg en dehors de la grossesse. Taille : 160 cm.

L’interrogatoire retrouve des douleurs abdominales régulières, avec irradiation dans les fosses lombaires de façon bilatérale depuis 24 heures concomitante avec l’apparition de la fièvre, sans troubles du transit.

Examen clinique : abdomen sensible par intermittence, dépressible, sans défense. Douleur à l’ébranlement de la fosse lombaire droite.

TA : 112/65, pouls : 90 batt/min, T : 38,8 °C.

Hauteur utérine : 24 cm, mouvements actifs fœtaux bien perçus, pas de métrorragies ni de perte liquidienne.

Elle a apporté avec elle un bilan du premier trimestre :

groupe A+

Hb : 12 g/dL

Rubéole IA

Toxoplasmose IA

Échographie du premier trimestre sans particularités, clarté
Question 1 : Quelle(s) est(sont) votre(vos) hypothèse(s) diagnostique(s) la (les) plus probable(s) ?
Insuffisant pour expliquer la fièvre associée
Fièvre + douleur lombaire + femme enceinte = pyélonéphrite aiguë 
Tableau clinique non typique, pas de notion de kyste connu
Pas de douleur localisée en fosse iliaque droite ou hypocondre droit 
Douleurs abdominales intermittentes + lombaires bilatérales = contractions
TROIS ÉTIOLOGIES À CONNAÎTRE ET MAÎTRISER : PYÉLONÈPHRITE AIGUË, LISTÉRIOSE ET CHORIOAMNIOTITE
Examen clinique : INTERROGATOIRE CLASSIQUE DE MIT : CONTAGE, VOYAGE…
Examen obstétrical : MTR / LA / CU / MAF 
RECHERCHER UNE MAP SYSTEMATIQUEMENT
Examen clinique général à la recherche d’un signe d’appel pulmonaire, ORL, urologique, digestif...
Éliminer une urgence chirurgicale : appendicite, cholécystite ++
Vérifier le statut sérologique de la patiente notamment : toxoplasmose , rubéole.
Bilan en urgence : NFS, CRP, hémocultures « avec recherche de listeria », ECBU, PV.
Question 2 : Quel(s) examen(s) réalisez vous ?
Pas de TDM chez une femme enceinte 
Pas d’indication en première intention
Bilan systématique en cas de fièvre et grossesse 
Patiente immunisée
Le scanner est contre-indiqué chez la femme enceinte, il pourra être réalisé après évaluation de la balance bénéfices-risques de l’examen (scanner basse dose).
L’IRM pelvienne n’a pas d’indication dans notre cas.
Les examens d’examens montrent pour l’instant :
BU : leucocytes : +++, nitrites : +, sang : + .
Hb : 11,4 g/dL, GB : 14 000, plaquettes : 223 000, CRP : 52 mg/mL
L’ECBU est en cours.
Question 3: Quel est votre conduite à tenir ?
Cf recommandations de la SPILF 2015 
Un relais per os pourra être réalisé à 48 heures d’apyrexie adapté à l’antibiogramme
Cf recommandations SPILF 2015 
Cf recommandations SPILF 2015
Cf recommandations SPILF 2015
La pyélonéphrite aiguë, à droite dans la majorité des cas (dextrorotation physiologique de l’utérus gravide), est la plus fréquente cause de fièvre durant la grossesse et par conséquent à maîtriser parfaitement pour l’ECN.
Sa prise en charge diagnostique et thérapeutique a bien été définie par les recommandations de la SPILF en 2015, disponibles à cette adresse : http://www.infectiologie.com/UserFiles/File/spilf/recos/infections-urinaires-grossesse-spilf-2015.pdf
La prise en charge d’une pyélonéphrite aiguë gravidique doit comporter :
- hospitalisation
- antibiothérapie en urgence sans attendre les résultats d’ECBU : C3G intraveineux
- échographie des voies urinaires en urgences systématique +/- dérivation des urines le cas échéant
- antipyrétiques si fièvre mal tolérée
- antalgiques
- adaptation de l’antibiothérapie aux résultats d’ECBU
- retour à domicile après apyrexie et bonne évolution clinique et relais per os
Question 4 : Sur le plan obstétrical, quelle est la conduite à tenir ?
La menace d’accouchement prématuré
Définition : CU entraînant des modifications du col utérin + terme < 37 SA
Facteurs de risque : tout ce qui peut entraîner des contractions utérines est à risque de provoquer une MAP.
Fièvre, sur-distension utérine (= jumeaux, hydramnios), bas niveau socio-économique, conisation.
Une menace d’accouchement prématuré est à rechercher devant toute fièvre chez la femme enceinte.
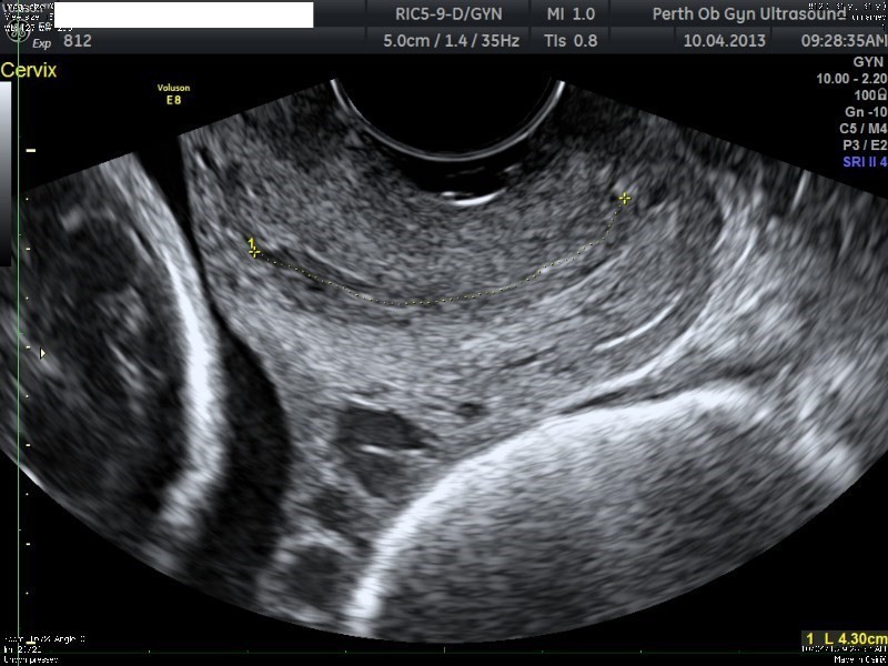
Pour ce faire, un enregistrement cardiotocographique est posé, et une échographie obstétricale par voie endovaginale est à réaliser pour mesure de la cervicométrie. On considère un col raccourci lorsqu’il est mesuré par échographie à moins de 25 mm.
La mesure de la longueur cervicale est réalisée ainsi qu’un monitoring fœtal :
Question 5 : Quelles sont vos conclusions ?
On voit sur l’image le crâne fœtal derrière le col utérin, la présentation est donc céphalique 
Le rythme cardiaque fœtal entre compris entre 110 et 160 batt/min, donc normal
La mesure du col est à 43 mm, donc long, il n’y a donc pas de menace d’accouchement prématuré vraie
Le diagnostic de rupture prématurée n’est pas fait sur l’échographie du col utérin mais sur l’examen clinique +/- paraclinique (PROM Test) 
Le tracé tocographique (ligne du bas) est plat et ne montre donc pas de contractions
Question 6 : Quel sont les éléments de la prise en charge obstétricale ?
Pas de menace d’accouchement prématuré, donc pas de corticothérapie
Sur le plan obstétrical, aucune prise en charge particulière n’est nécessaire car il n’y a ni MAP vraie ni contractions utérines objectivées au monitoring 
Sur le plan obstétrical, aucune prise en charge particulière n’est nécessaire car il n’y a ni MAP vraie ni contractions utérines objectivées au monitoring 
Sur le plan obstétrical, aucune prise en charge particulière n’est nécessaire car il n’y a ni MAP vraie ni contractions utérines objectivées au monitoring 
Sur le plan obstétrical, aucune prise en charge particulière n’est nécessaire car il n’y a ni MAP vraie ni contractions utérines objectivées au monitoring
Sur le plan de la pyélonéphrite, vous récupérez les résultats d’ECBU fait par votre collègue initialement :
ECBU : germe 1 : Escherichia coli
ATBGramme :
- amoxicilline………………….Sensible
- amox+Ac. clavulanique……...Sensible
- céfixime……………………. Sensible
- ceftriaxone…………………...Sensible
- ciprofloxacine………………..Sensible
Question 7 : Quelle est votre attitude thérapeutique ?
14 jours de traitement
Privilégier l’amoxicilline en cas de souche sensible 
 
La réévaluation de l’antibiothérapie à 48 heures après réception de l’antibiogramme est indispensable afin de ne pas prolonger inutilement une antibiothérapie à large spectre si des alternatives à spectre plus étroit sont possibles (« désescalade ») (accord professionnel).
Les antibiotiques recommandés sont :
- amoxicilline (à privilégier en cas de souche sensible)
- amoxicilline + acide clavulanique
- céfixime
Durée de traitement : 10-14 jours
Contrôle ECBU à 8-10 jours de la fin du traitement puis de façon mensuelle jusqu’à l’accouchement.
La patiente est revue pour réaliser son échographie du deuxième trimestre Votre examen montre un fœtus macrosome, en présentation céphalique, sans anomalie morphologique décelée. L’estimation de poids est au 96e percentile.
Question 8 : Quelle(s) est(sont) la(les) réponse(s) vraie(s) ?
La valeur limite est 1,53g/L, cette proposition est donc également vraie 
Valeurs limites pathologiques : T0 : 0,92 g/L, H+1 : 1,80 g/L, H+2 : 1,53 g/L
Cf question 1 : 160 cm pour 70 kg à IMC = 27
Petit point méthodologique : à l’ECN, de manière générale, il faut partir du postulat que toutes les informations contenues dans l’énoncé peuvent avoir un intérêt quelconque à un moment donné du cas clinique. La proposition 5 en est un exemple : je cherche à savoir si, oui ou non, la patiente a une indication d’HGPO hormis la macrosomie fœtale à les indications (recommandations CNGOF 2010) sont antécédents familiaux, antécédents personnels de macrosomie, et IMC à je cherche son poids et taille dans l’énoncé.
Du reste, le dépistage et la prise en charge du diabète gestationnel ont été redéfinis en 2010 par le CNGOF dans ses recommandations pour la pratique clinique à cette adresse : http://www.cngof.asso.fr/D_TELE/RPC_DIABETE_2010.pdf
Vos tests montrent effectivement un diabète gestationnel chez notre patiente.
Test HGPO 75 g : T0: 0, 90 g/L, T1 : 1,86 g/L, T2 : 1,73 g/L
La patiente est très inquiète de ce nouveau rebondissement qui vient se surajouter à cette grossesse... Elle vous questionne sur les risques liés à cette pathologie pour son fœtus et la prise en charge nécessaire de ce diabète.
Question 9 : Que lui répondez-vous ? (Réponses vraies)
La macrosomie du diabète gestationnel porte plus sur le pôle thoraco-abdominal que le pôle céphalique, d’où un risque que « la tête passe, mais pas les épaules »
Un nouveau-né de mère diabétique est à risque d’hypoglycémies néonatales
Un contrôle de la croissance est à programmer en cas de diabète gestationnel vers 36-38 SA pour guider la prise en charge
Question 10 : Quelle est votre prise en charge de ce diabète ?
Pas d’ADO durant la grossesse hormis protocole de recherche qui sort du cadre de l’ECNi
La première étape de prise en charge d’un diabète gestationnel passe toujours par une phase de mise en place des règles diététiques
C’est l’inverse, attention aux erreurs d’inattention !
Une surveillance systématique par 2 mesures autour de chaque repas est recommandée, soit 6 contrôles au minimum (à adapter au cas par cas dans la pratique)
Prise en charge du diabète gestationnel (recommandations CNGOF 2010 et 2015)
· Mesures hygiéno-diététiques
Régime normocalorique équilibré ; 3 repas par jour ± 1 ou 2 collations
Activité physique régulière adaptée au terme : 30 min 3 à 5 fois/semaine
Autocontrôles glycémiques capillaires pluriquotidiens pré- et postprandiaux (6 fois/j)
· Insulinothérapie : en cas d’échec des mesures hygiéno-diététiques après 10 j d’autocontrôle glycémique
· Prévention de la dystocie des épaules : en raison du risque accru de dystocie des épaules, il est raisonnable de proposer une césarienne en cas de DG lorsque le poids fœtal estimé est > à 4 250 ou 4 500 g.
Un soir, Mlle Z se présente aux urgences obstétricales de votre maternité car elle se plaint d’un écoulement liquidien de moyenne abondance l’ayant réveillée en pleine nuit.
Elle est aujourd’hui au terme de 28 SA +1.
Question 11 : Quelles sont les réponses vraies ?
Mlle Z présente une suspicion de rupture prématurée des membranes jusqu’à preuve du contraire, que l’on doit confirmer ou non par un examen sous spéculum et un PROM test.
En cas de positivé du PROM test et/ou d’un écoulement de liquide amniotique franc, on réalisera un enregistrement cardiotocographique ainsi qu’un prélèvement vaginal
Le toucher vaginal n’est pas systématique en cas de suspicion de rupture prématurée des membranes (RPM).
Le PROM test s’avère positif. Le monitoring réalisé montre un rythme de base à 140 batt/min , normo-oscillant et réactif. Il n’existe pas de contractions utérines cliniques ou au monitoring.
Question 12 : Quelle est votre prise en charge ?
La RPM avant terme constitue une indication de transfert même en l’absence de contractions utérines du fait du risque important de mise en travail dans les 24-48 premières heures de la rupture des membranes.
Une antibiothérapie ainsi qu’une corticothérapie de maturation sont à réaliser.
Devant une RPM, une menace d’accouchement prématuré est à rechercher systématiquement.
Mlle Z est transférée en maternité de niveau III rapidement. Il persiste toujours un écoulement de liquide amniotique, qui reste clair.
À 30 SA + 4 , la patiente se plaint de douleurs abdominales totales, intermittentes avec une irradiation lombaire bilatérale sans autre signe fonctionnel.
Question 13 : Que faites -vous ?
Indiqué dans notre cas, toujours avec parcimonie et dans des conditions d’asepsie en cas de RPM pour éviter le port de germes 
Recherche d’une MAP 
Pas dans l’immédiat. Cf commentaire général
Important pour juger de la tolérance fœtale à la mise en travail probable, la présence d’une chorioamniotite associée pouvant se traduire par des anomalies du rythme cardiaque fœtal
Pas d’indication à renouveler une cure de corticothérapie anténatale 
Question un peu pointue de prise en charge d’une mise en travail en cas de rupture prématurée des membranes, mais les propositions font appel à votre bon sens.
Les membranes sont rompues donc deux risques qui se recoupent : la mise en travail et l’infection ovulaire (= chorioamniotite, qui elle-même entraîne la mise en travail), donc :
- toute tentative de tocolyse qui freinerait la réaction naturelle de l’utérus (= contractions) est à proscrire, en cas d’infection, notre fœtus sera dans tous les cas mieux dehors que dedans
- pas d’indication retenue à l’ECNi pour une seconde cure de corticothérapie de maturation
- risque de chorioamniotite = vérification de la tolérance fœtale donc à monitoring
- une césarienne en urgence est indiquée en cas de diagnostic de chorioamniotite vraie (sauf rares cas de travail très rapide, à apprécier au cas par cas)
Le bilan sanguin réalisé en urgence retrouve :
Hb : 10,3 g/dL
CRP : 134 mg/L
GB : 22 000/mm3
La température maternelle est à 38,7 °C, TA : 90/67 mmHg, pouls : 103 batt/min.
Le rythme cardiaque fœtal vous est présenté :
Question 14 : Que proposez-vous ?
En cas de chorioamniotite fortement suspectée, on pourra mettre en place une bithérapie associant un aminoside et une céphalosporine.
Une césarienne est réalisée en urgence et vous donnez naissance à une fille de 950 g, de score d’Apgar 5-9-10 qui est transférée en réanimation néonatale.
Vous réalisez la délivrance et retrouvez ceci :
Question 15 : Quelles sont les réponses vraies ?
La face qui comporte le cordon est la face fœtale du placenta
Le caractère « praevia » signifie « en avant » de la présentation
Malgré le fait que les vaisseaux courent sur les membranes, il n’est pas possible de dire que ces vaisseaux sont praevia
Au bout des vaisseaux courant sur les membranes, on peut voir une seconde masse placentaire correspondant à un cotylédon aberrant
En cas de rupture des membranes qui serait survenue au niveau des vaisseaux insérés sur les membranes, l’hémorragie de Benckiser peut survenir
Point méthodologie ECN :
Il s’agit d’une question encore un peu pointue en fin de dossier qui avantage les candidats qui ont eu une participation active durant leur stage hospitalier. Tout ne s’apprend pas dans les livres en médecine !
Attention à ne pas se décourager et à rester concentré sur l’essentiel : connaître avant tout les bases de chaque cours. Retenez d’abord ce qui est grave et fréquent car ce sont ces items qui tomberont à l’ECN, et par la suite affinez vos connaissances.

Exercez-vous aux ECN avec les dossiers progressifs et les LCA de La Revue du Praticien