Vous recevez aux urgences pédiatriques Simon, 9 mois, pour des mouvements anormaux survenus il y a quelques minutes.

Simon est né à 39 semaines d’aménorrhée, au terme d’une grossesse de déroulement normal. Vous ne notez pas d’antécédent particulier en dehors d’une bronchiolite à l’âge de 3 mois et d’une otite moyenne aiguë purulente à 4 mois. Les vaccinations sont à jour. Simon est alimenté avec du lait premier âge depuis la naissance, la diversification a été débutée à l’âge de 4 mois. Il est gardé en crèche.

Les mouvements anormaux sont survenus au retour de la crèche. La maman vous décrit des mouvements répétitifs du bras et de la jambe droite, « comme des tremblements mais plus amples » ayant duré environ 3 minutes. Simon n’a pas perdu connaissance. Les assistantes maternelles de la crèche n’ont rien remarqué d’anormal chez Simon aujourd’hui. Il n’a pas de fièvre.

À l’arrivée aux urgences, les mouvements anormaux ont cédé.

À l’examen clinique, vous notez : poids = 8 kg ; périmètre crânien = 45 cm ; fréquence cardiaque = 130/mn ; température = 36,8 °C ; fréquence respiratoire = 25/mn ; pression artérielle normale : conscience normale ; réflexes ostéo-tendineux vifs à droite ; signe de Babinski droit ; pupilles réactives, symétriques ; pas de mydriase ni de myosis ; légère hypotonie axiale pour l’âge ; fontanelle normotendue ; pas de purpura ; auscultation cardiaque normale.

Question 1 : L’externe des urgences émet l’hypothèse d’un hématome sous-dural. Les éléments suivants sont compatibles avec ce diagnostic
Le PC s’interprète en reportant les différentes mesures sur la courbe du PC. Dans le cas présent, on recherche une augmentation brutale du périmètre crânien pouvant témoigner d’un hématome sous-dural, d’une hypertension intracrânienne (HTIC) secondaire à un syndrome du bébé secoué. L’absence d’augmentation brutale du PC chez Simon va à l’encontre du diagnostic d’hématome sous-dural
Syndrome pyramidal hémicorporel droit : signe de localisation qui peut être retrouvé en cas d’hématome sous-dural
Une mydriase unilatérale témoignerait d’une HTIC avec engagement, mais son absence ne va pas à l’encontre du diagnostic d’hématome sous-dural
Le traumatisme crânien a pu survenir à la crèche, ou ne pas être avoué par les parents
Recommandations de la Haute Autorité de santé (HAS). Syndrome du bébé secoué, HAS, juillet 2017
L’association de vomissements avec une tension de la fontanelle, des convulsions, une hypotonie axiale, un trouble de la vigilance, une cassure vers le haut de la courbe de périmètre crânien est très en faveur d’un syndrome du bébé secoué ou d’un hématome sous-dural traumatique chez un enfant de cet âge.
Question 2 : Le ou les examen(s) complémentaire(s) suivants doivent être réalisés, en première intention, au plus tard dans les 48 prochaines heures.
L’imagerie à réaliser en première intention, et en urgence, en cas de première crise convulsive avec signe de localisation, est le scanner cérébral. Il sera complété, si besoin, par une IRM cérébrale.
Une première crise convulsive non fébrile chez un enfant dont l’examen neurologique est parfaitement normal au décours (pas de signe de localisation) n’impose par la réalisation d’une imagerie cérébrale en urgence. Le plus souvent, une IRM cérébrale sera réalisée dans le mois suivant cette première crise.
En revanche, une première crise non fébrile impose la réalisation d’un EEG dans les 48 heures suivant la crise.
Une crise non fébrile impose la réalisation d’un ionogramme sanguin à la recherche d’un désordre hydroélectrolytique, ainsi que du dosage de la glycémie veineuse.
Références :Hirtz DAshwal SBerg ABettis DCamfield CCamfield PCrumrine PElterman RSchneider SShinnar S. Practice parameter: evaluating a first nonfebrile seizure in children: report of the quality standards subcommittee of the American Academy of Neurology, The Child Neurology Society, and The American Epilepsy Society. http://n.neurology.org/content/55/5/616.longMilh M, Ticus I, Villeneuve N, et al. Convulsions et épilepsies de l’enfant : de la crise au diagnostic. Arch Pediatr 2008 ; 15 : 216-22. http://www.sciencedirect.com/science/article/pii/S0929693X07006276
Quelques minutes après son arrivée aux urgences, alors que vous examinez Simon, vous assistez à une récidive des crises convulsives, de type partielles hémicorporelles droites.
Elles évoluent depuis 5 minutes. L’infirmière n’a pas encore réussi à poser une voie veineuse périphérique.
Question 3 : Votre prise en charge thérapeutique est la suivante.
En cas de persistance des crises au-delà de 5 minutes, un traitement épileptique doit être administré immédiatement
Le diazépam, traitement de première intention, s’administre par voie intrarectale. L’enfant n’étant pas en défaillance hémodynamique, ne nécessitant pas de traitement par voie veineuse en urgence, il n’y a pas d’indication à poser une voie intra-osseuse
Le traitement d’urgence de première intention à administrer en cas de crise convulsive est une benzodiazépine : le diazépam (Valium), par voie intrarectale. Il ne doit être administré qu’en cas de persistance des crises au-delà de 5 minutes. En milieu hospitalier, si l’enfant possède une voie d’abord veineuse, le traitement de première intention peut être le clonazépam par voie veineuse
Le plus souvent, une première dose de diazépam est administrée par voie intrarectale avant d’avoir recours au clonazépam (Rivotril) par voie veineuse. Le clonazépam ne s’administre jamais par voie intrarectale
Le phénobarbital (Gardénal) n’est pas utilisé en première intention
Les crises persistent depuis 20 minutes malgré une dose de benzodiazépine par voie intrarectale, suivie d’une dose de benzodiazépine par voie intraveineuse 5 minutes plus tard.
Question 4 : Votre ou vos option(s) thérapeutique(s) à ce stade sont les suivantes.
Simon a déjà reçu deux lignes de benzodiazépines (diazépam intrarectal puis clonazépam intraveineux)
Pas d’autorisation de mise sur le marché (AMM) chez l’enfant
L’état de mal épileptique chez l’enfant est défini par la persistance des crises malgré l’administration de médicaments antiépileptiques. Sa définition ne fait pas intervenir de notion de durée, contrairement à la définition adulte.
Le schéma thérapeutique proposé est le suivant :
Simon est admis en réanimation. Les crises ont cédé grâce à l’administration de phénobarbital par voie intraveineuse. Vous reprenez l’interrogatoire de la maman de Simon : Simon tient sa tête depuis l’âge de 4 mois, se retourne depuis quelques semaines. Il commence à attraper les objets depuis quelques jours avec le plat de la main (la maman de Simon pense qu’il est gaucher, car il attrape les objets principalement avec cette main). La tenue assise n’est pas acquise, avec ou sans appui. Le langage est composé majoritairement de « babababa » ou « dadadada »…
À l’examen clinique, vous remarquez les particularités suivantes :
Question 5 : Concernant les acquisitions psychomotrices de Simon…
Bisyllabisme à 9 mois 
À 9 mois, la tenue assise sans appui devrait être acquise. La tenue de tête a été acquise après l’âge de 3 mois, le retournement est survenu après l’âge de 6 mois
Simon aurait dû commencer à attraper les objets dès l’âge de 6 mois, à 9 mois la pince pouce-index devrait être acquise
Pas de latéralisation avant l’âge de 18 mois. Une latéralisation à cet âge doit faire rechercher un déficit moteur controlatéral
Question 6 : Votre ou vos principales hypothèses diagnostiques à ce stade sont les suivantes.
L’apyrexie va à l’encontre du diagnostic de méningo-encéphalite infectieuse
La présence de taches achromiques associée à des anomalies neurologiques doit faire suspecter une STB
Les anomalies cutanées présentes chez les patients atteints de neurofibromatose sont de type : taches café au lait, nodules de Lisch, lentigos, neurofibromes
L’apyrexie va à l’encontre du diagnostic d’abcès cérébral
Le retard de développement psychomoteur préexistant aux convulsions et l’absence d’augmentation brutale du périmètre crânien vont contre le diagnostic d’hématome sous dural aigu
La STB est une maladie caractérisée par des hamartomes multisystémiques affectant le plus souvent la peau, le cerveau, les reins, les poumons et le cœur, apparaissant à différents âges. L’atteinte cérébrale (parfois absente) se manifeste par des tubers corticaux, des nodules sous-épendymaires et un astrocytome sous-épendymaire à cellules géantes. Des angiomyolipomes rénaux se développent parfois au cours de l’enfance. Des rhabdomyomes cardiaques peuvent apparaître dès la période fœtale. La transmission de la STB est autosomique dominante (de novo dans deux tiers des cas) et un conseil génétique est recommandé.
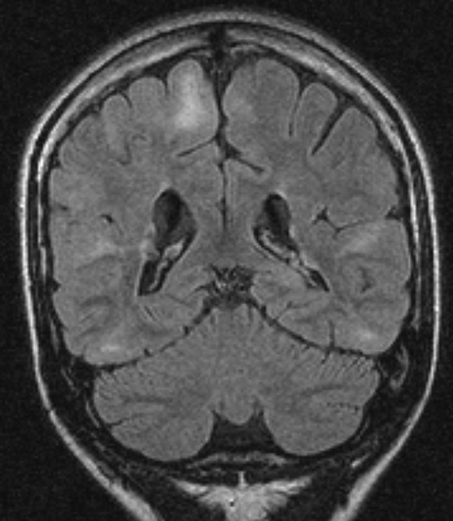
Voici une coupe de l’IRM cérébrale (coronale FLAIR) réalisée chez Simon :
Question 7 : Interprétez-la.
Absence de croissant sous-dural à l’IRM
À distance de l’AVC, on devrait voir des zones de nécrose de la substance blanche
Pas de déviation de la ligne médiane, pas d’engagement sous-falcoriel, pas d’effet de masse sur les ventricules latéraux
Les images en hypersignal correspondent à des tubers corticaux
Absence de collection bien délimitée à l’IRM
Vous décidez de mettre en place un traitement antiépileptique pour prévenir la récidive des crises chez Simon.
Question 8 : Les grands principes de votre traitement sont les suivants.
Un traitement antiépileptique de fond est toujours débuté en monothérapie
Les benzodiazépines sont des molécules d’urgence, elles ne constituent pas la base d’un traitement antiépileptique de fond
Un traitement antiépileptique de fond est toujours instauré à doses croissantes
Les traitements de fond sont le plus souvent administrés par voie orale (ou sur sonde gastrique ou gastrostomie)
Devant la présence des lésions proconvulsivantes à l’IRM, le traitement sera poursuivi au moins deux ans
Le diagnostic de sclérose tubéreuse de Bourneville est confirmé chez Simon. Une mutation du gène TSC1 a été identifiée chez ce dernier. Elle n’a pas encore été recherchée chez les autres membres de la famille.
Voici l’arbre généalogique de la famille de Simon.

Père de Simon : angiomyolipomes rénaux. Asymptomatique.
1 : rhabdomyomes cardiaques
2 : hypertension artérielle compliquant des angiomyolipomes rénaux
3 : épilepsie, tubers corticaux
4 : épilepsie, tubers corticaux
5 : rhabdomyomes cardiaques
Question 9 : Interprétez-le.
Maladie autosomique récessive : les deux copies du gène doivent être mutées. Les parents portent une mutation du gène à l’état hétérozygote, sans être malades. En moyenne, un quart des enfants sont atteints. Elles sont favorisées par la consanguinité. Une seule génération est atteinte en général
Maladie autosomique dominante : sujets malades à chaque génération. Pénétrance incomplète (porteurs sains) et expressivité variable (différentes manifestations de la maladie) possibles
Maladie mitochondriale : transmission par la mère aux enfants des deux sexes
Maladie liée à l’X : mères conductrices, garçons atteints
La consanguinité favorise la transmission de maladies récessives. La STB se transmet selon un mode dominant
Une mutation du gène TSC1 a été retrouvée à l’état hétérozygote chez le père de Simon.
Question 10 : Le risque de récurrence pour le prochain enfant du couple si le fœtus est une fille est le suivant.
Le mode de transmission étant autosomique dominant, chaque enfant a un risque sur deux d’hériter de l’allèle muté, indépendamment du sexe de l’enfant.
Malgré l’instauration de votre traitement antiépileptique, les crises persistent. Simon est hospitalisé en neurologie pour équilibrer le traitement de fond. La dernière crise est survenue il y a 48 heures, et a duré une dizaine de minutes. La répétition des crises et l’instauration du traitement de fond ont diminué l’état de vigilance de Simon.
L’infirmière vous interpelle car Simon a de la fièvre depuis quelques heures.
À l’examen clinique, vous notez : poids = 7,5 kg ; fréquence cardiaque = 135/mn ; fréquence respiratoire = 50/mn ; température = 39 °C ; SpO2 en air ambiant = 96 % ; absence de signes de lutte respiratoire ; absence de marbrures ; pas d’éruption cutanée ; tonus inchangé ; fontanelle normotendue ; abdomen souple, indolore ; pas d’hépatomégalie ni de splénomégalie ; auscultation cardiaque normale ; quelques crépitants en base droite à l’auscultation pulmonaire.
Question 11 : Vous prescrivez les examens complémentaires suivants.
La diminution de l’état de vigilance de Simon favorise la survenue d’une pneumopathie d’inhalation. L’association fièvre + polypnée + anomalie auscultatoire est en faveur de ce diagnostic
La diminution de la vigilance de Simon ne semble pas liée à la survenue d’une méningite mais à la maladie épileptique de Simon
L’infection semble être d’origine respiratoire, il n’y a pas d’indication à réaliser une bandelette urinaire en première intention
L’âge de l’enfant et le tableau clinique ne sont pas en faveur d’une infection respiratoire basse à germes intracellulaires
Le diagnostic de pneumopathie est radiologique
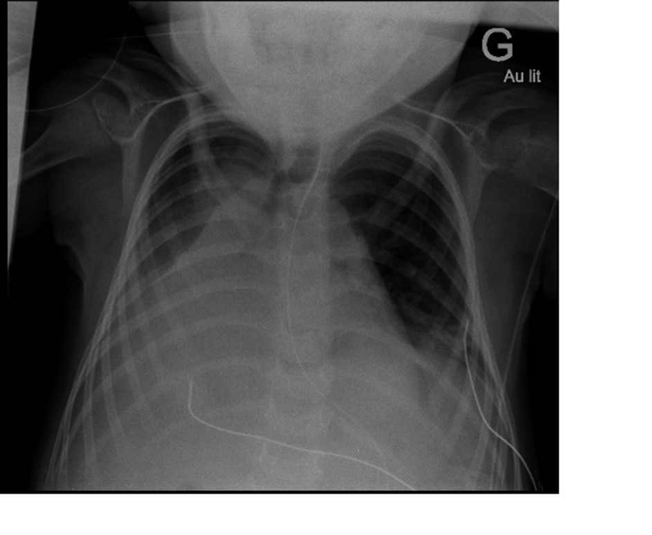
Voici la radiographie de thorax réalisée chez Simon :
Question 12 : Interprétez ce cliché.
Absence d’horizontalisation des côtes, moins de 8 espaces intercostaux, pas d’aplatissement des coupoles diaphragmatiques
Image typique des pneumopathies d’inhalation. Présence d’un bronchogramme aérien
L’image du lobe supérieur droit correspond au thymus
Index cardiothoracique 0,5
Question 13 : Vous prescrivez le ou les antibiotiques suivants.
Le traitement antibiotique recommandé en cas de pneumopathie chez l’enfant de moins de 3 ans est l’amoxicilline. Cependant, la forte suspicion d’inhalation chez Simon impose d’ajouter de l’acide clavulanique pour couvrir les germes anaérobies
Le traitement antibiotique recommandé en cas de pneumopathie chez l’enfant de moins de 3 ans est l’amoxicilline. Cependant, la forte suspicion d’inhalation chez Simon impose d’ajouter de l’acide clavulanique pour couvrir les germes anaérobies
Pas de signe de gravité hémodynamique
Pas d’argument pour une staphylococcie
Pas d’indication à une bithérapie avec aminosides
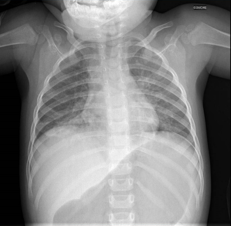
Malgré votre antibiothérapie, l’état clinique de Simon s’aggrave.
À l’examen clinique 24 heures plus tard, vous notez : fréquence cardiaque = 135/mn ; température = 39 °C ; fréquence respiratoire = 70/mn ; SpO2 en air ambiant = 89 % ; absence de marbrures ; tirage sous-costal et balancement thoraco-abdominal ; tonus inchangé ; pas d’éruption cutanée ; pas d’hépatomégalie.
Voici les résultats des examens complémentaires prescrits : gaz du sang veineux PCO2 = 59 mmHg.
Radiographie de thorax :
Question 14 : Vous prenez la ou les mesure(s) diagnostique(s) et thérapeutique(s) suivantes.
L’hypercapnie impose une aide ventilatoire de type ventilation non invasive dans un premier temps
L’hypercapnie impose une aide ventilatoire de type ventilation non invasive dans un premier temps
Les troubles de la déglutition et l’intensité de la détresse respiratoire imposent l’arrêt de l’alimentation orale
Posologie 7,5 mg/kg/6 h IV car poids  10 kg
La ponction pleurale aura un double objectif : diagnostique (culture bactérienne) et évacuatrice
Grâce à votre prise en charge, l’épisode infectieux a une évolution favorable. Malheureusement, malgré tous vos efforts concernant le traitement antiépileptique, les crises persistent de façon pluri-hebdomadaire. Les progrès concernant le développement psychomoteur de Simon se font rares. Les fausses routes se succèdent lors des repas, vous contraignant à prescrire une nutrition entièrement entérale sur sonde gastrique et à suspendre toute alimentation per os. Les parents de Simon sont exténués, et alternent travail-visites à l’hôpital.
Question 15 : Vous pouvez proposer la ou les mesure(s) suivantes pour améliorer la qualité de vie de Simon et de ses parents.
La gastrostomie permettra d’éviter la présence à demeure d’une sonde naso-gastrique et facilitera l’administration de la nutrition entérale
Simon ne nécessite pas de nutrition parentérale
Étape indispensable avant la demande de toute aide financière ou éducative

Exercez-vous aux ECN avec les dossiers progressifs et les LCA de La Revue du Praticien