Vous recevez aux urgences ophtalmologiques du CHU de Lyon un patient de 96 ans, autonome et vivant dans une maison de retraite non médicalisée, pour baisse d’acuité visuelle brutale de son œil DROIT associée à des petites déformations à la lecture.

Ce patient est veuf, il présente comme seul antécédent une hypertrophie bénigne de la prostate traitée par alpha bloquant.

Il ne fume pas, ne consomme pas d’alcool et aime surtout la lecture et le ScrabbleÒ.

Il ne présente aucune allergie particulière.

Il n’a jamais eu de problème de santé et n’a subit comme seule intervention chirurgicale une chirurgie de la cataracte aux deux yeux à l’âge de 82 ans avec très bonne récupération visuelle.
Question 1: Aux urgences ophtalmologiques, quelle est la démarche diagnostique que vous devez entreprendre ?
Examen toujours complet, bilatéral et comparatif. En cas de suspicion de pathologie rétinienne, le FO, après dilatation pupillaire, bilatéral, est indispensable. 
A l’examen, vous retrouvez :
Meilleure acuité visuelle corrigée
Œil DROIT : 6/10ième avec +0,50, Parinaud 6 avec addition de +3,00 et déformation à la lecture
Œil GAUCHE : 9/10ième avec +0,50 (-0,75 à 175°), Parinaud 2 avec addition de +3,00 et absence de déformation à la lecture
La mesure de la pression intra oculaire est de
OD : 16 mmHG et OG : 14 mmHG
L’examen du segment antérieur à la lampe à fente ne montre pas d’anomalie particulière
Vous décidez d’instiller du MydriaticumÒ aux deux yeux pour réaliser un fond d’œil bilatéral
Question 2 : Avant même de réaliser votre examen du fond d’œil, quelle est l’hypothèse la plus probable chez ce patient ?
Ce patient présente les caractéristiques TYPIQUES du syndrome maculaire : baisse d’acuité visuelle plutôt brutale, métamorphopsies. A ces deux signes peut s’associer le scotome central dans certains cas.
A votre niveau, l’association BAV et métamorphopsies doit vous faire évoquer en 1ier la 
DMLA exsudative
 (argument de fréquence et urgence diagnostique et thérapeutique). Dans un dossier plus méchant, la métamorphopsie peut être un signe d’œdème maculaire (sur OVCR, après chirurgie de la cataracte = syndrome d’Irvine Gass, après uvéite postérieure = origine inflammatoire)
Vous réalisez donc le fond d’œil après dilatation pupillaire bilatéral

Voici les rétinophotographies du fond d’œil en couleur du patient :
Question 3 : Concernant ces deux rétinophotographies du fond d’œil en couleur, quel(s) signe(s) remarquez-vous ?
CIl s’agit d’un vrai patient que j’ai vu en consultation en octobre 2016. Vous êtes donc dans un cas de VRAIE VIE. J’ai aussi voulu vous mettre dans la difficulté avec un FO moins typique que d’habitude sur la DMLA. Je vous joins dans la correction une image plus zoomée de DRUSEN maculaire. Je vous joins également une photo d’hémorragie maculaire devant faire évoquer une DMLA exsudative.
Ici on remarque que l’aspect maculaire est différent entre l’œil DROIT et l’œil GAUCHE. En effet on remarque en maculaire inférieur, à DROITE, un aspect plus blanchâtre de la coloration rétinienne, zone qui correspond sur l’OCT maculaire à la présence du liquide sous rétinien. Par contre, il n’y a pas ici d’hémorragie maculaire. Cette dernière n’est pas systématique étant donné que les néovaisseaux dans la DMLA sont d’origine choroïdienne et se situent donc dans l’épaisseur de la rétine. Je pense qu’au iECN, vous auriez à la fois le FO et l’OCT sur la même page pour vous aider à interpréter les images.
Par élimination, les exsudats sont plutôt présents chez les patients diabétiques ou hypertendus, l’œdème papillaire est lui présent dans la NOIAA, l’HTA maligne, l’HTIC, l’OVCR, et certaines inflammations. Enfin la dilatation veineuse se retrouve dans les OVCR. Le seul piège ici était l’hémorragie maculaire, si vous aviez trouvé le bon diagnostic ! Mais n’ayant pas d’hémorragie au FO il ne faut pas aller trop vite dans vos choix de réponses !
Question 4 : Par quel(s) examen(s) complémentaire(s) devez-vous compléter votre examen clinique ?
Attention à bien connaître la physiopathologie de la DMLA exsudative (décrite dans votre collège des enseignants d’Ophtalmologie). En effet, les néo vaisseaux de la DMLA sont d’origine CHOROÏDIENNE, vous devez donc non seulement effectuer une angiographie à la fluorescéine (qui est systématique) mais l’associer à une angiographie au vert d’indocyanine (ICG) qui visualise mieux la choroïde et permettra donc de retrouver le néo vaisseau. L’OCT maculaire est systématique et également l’examen de référence pour le suivi du patient. L’échographie est inutile étant donné que vous avez accès au fond d’œil et enfin l’OCT papillaire n’a pas d’intérêt chez ce patient qui n’a pas de pathologie du nerf optique.
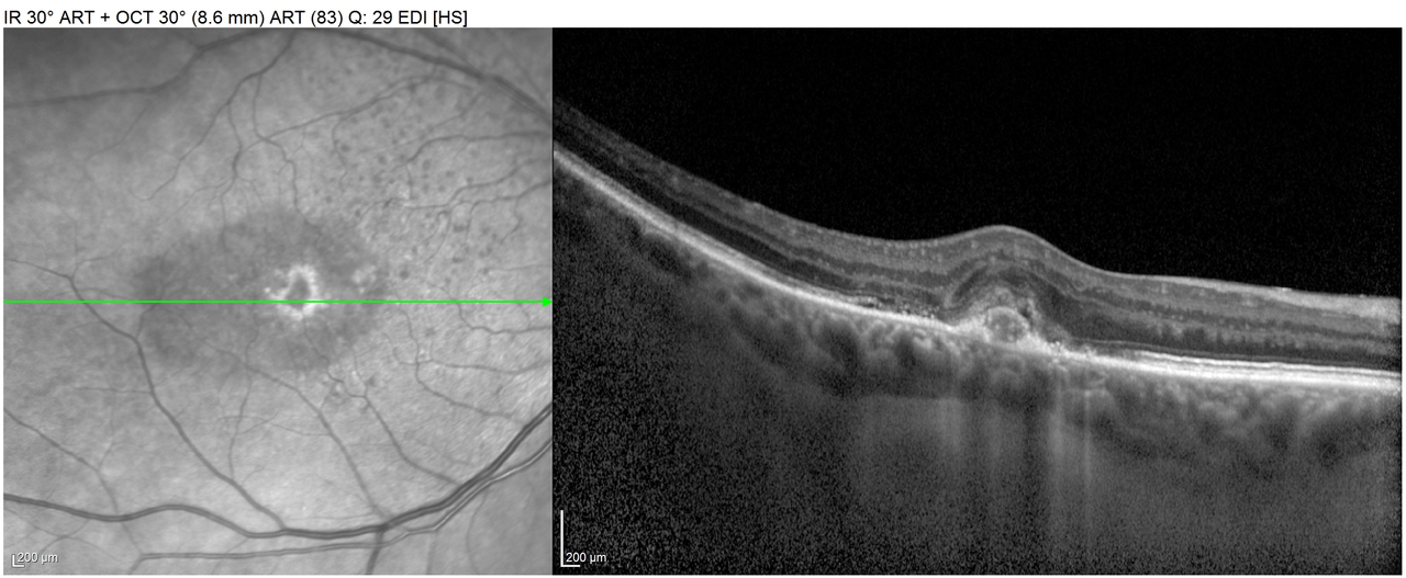
Voici les images des OCT maculaire DROIT

 et GAUCHE
Question 5 : Quels signes sont présents sur ces deux OCT maculaire ?
Interprétation d’examens complémentaires : vous êtes souvent pas à l’aise avec cet exercice qui est pourtant indispensable en médecine ! L’OCT maculaire, quoique très peu détaillé dans votre collège des enseignants d’Ophtalmologie version 2015, est devenue l’examen de référence dans la DMLA et est utilisée quotidiennement par les ophtalmologistes. Il paraît donc improbable que un dossier de DMLA à l’internat ne contienne pas au moins une image de tomographie en cohérence optique maculaire ! Voilà donc un bel exemple qui peut vous servir de référence.
Ici on remarque à DROITE une déformation dans l’épaisseur de la rétine qui correspond au décollement de l’épithélium pigmentaire (ou DEP). En effet le néo-vaisseau d’origine choroïdienne pousse la rétine vers le haut avant de saigner dans un espace anatomique appelé « espace sous rétinien », dont l’origine s’explique par l’embryologie oculaire (je vous renvoie vers vos cours de 2ième année de médecine). Ce soulèvement, qui est donc en dessous de la rétine, entraine un bombement vers le haut de l’épithélium pigmentaire d’où le terme « DEP ». Ensuite le sang de la DMLA exsudative se loge dans l’espace sous rétinien, d’où le terme de « liquide sous rétinien ». Ces signes sont très bien visibles ici. Sur l’œil GAUCHE, il n’y a ni DEP ni liquide sous rétinien, par contre on remarque que déformation rétrofovéolaire qui est en fait un drusen, la lésion AVANT le stade de DMLA.
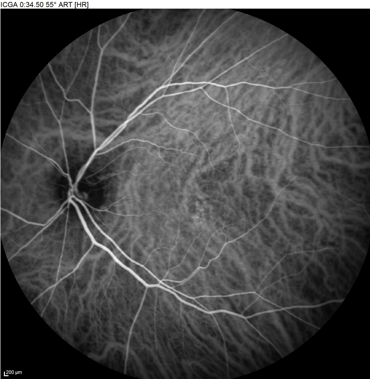
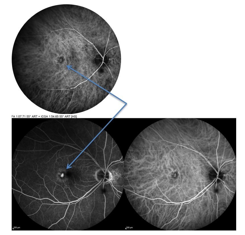
Voici les clichés de l’angiographie rétinienne à la fluorescéine et au vert d’indocyanine (ICG) :
Droite :

Gauche :
Question 6 : Concernant ces clichés d’angiographie rétinienne, quelles propositions sont exactes ?
Nouvelle question difficile dans ce dossier de DMLA, l’interprétation d’une angiographie rétinienne. Vous devez être stratégique et rester simple. A ce stade du dossier vous savez que vous êtes face à une DMLA exsudative, et que les néo vaisseaux de la DMLA sont d’origine choroïdienne. Vous devez donc retrouver une anomalie vasculaire à DROITE au moins en ICG, mais vu que ça saigne dans la rétine à l’OCT, cela signifie qu’on va également retrouver des anomalies en fluorescéine. Sur les 3 premiers clichés, on remarque cette lésion vasculaire rétrofovéolaire (flèche bleue) qui s’imprègne de colorant et qui n’a rien à faire ici (Si vous connaissez par cœur votre collège des enseignant d’Ophtalmologie, vous savez donc que la fovéa est une région anatomique AVASCULAIRE). Donc cette lésion en ICG, qui diffuse également très nettement en fluorescéine est totalement anormale et représente le néovaisseau choroïdien qui a réussi à soulever l’épithélium pigmentaire ET à le transpercer pour saigner directement dans la rétine. Avec de l’entrainement vous serez plus à l’aise avec cette notion.
Au total, vous êtes donc devant un tableau de découverte de DMLA exsudative de l’œil DROIT, sur fond de maculopathie liée à l’âge (drusen bilatéraux au fond d’œil) chez un patient de 96 ans, vivant en institution non médicalisée et autonome.
Question 7: Quelle prise en charge thérapeutique, en 2017, devez-vous proposer en urgence pour limiter l’aggravation de cette pathologie mettant en jeu le pronostic visuel ?
Les injections d’anti VEGF sont devenus le traitement de référence de la DMLA exsudative depuis 2007 et la mise sur le marché du RANIZIBUMAB (LUCENTISÒ) dont les résultats étaient spectaculaires en terme de gain visuel par rapport à la photothérapie dynamique qui a donc été abandonné dans cette pathologie. Les corticoïdes en IVT n’ont pas l’indication dans la DMLA exsudative mais plutôt dans les oedèmes maculaires d’origine inflammatoires (uvéites). Enfin la chirurgie vitréo maculaire n’est nécessaire que lorsque le saignement est trop important et qu’il entraine un « hématome sous rétinien » trop volumineux (très RARE, environ 15 à 20 cas par an à Lyon).
Question 8 : Quelle prise en charge proposez-vous pour son œil adelphe
De principe on propose les compléments alimentaires. Cependant étant donné qu’un premier œil a développé une DMLA de forme exsudative, le risque de bilatéralisation est tellement élevé que la prise de complément alimentaire à peu de chance de prévenir une DMLA exsudative sur l’autre œil ! Par contre nous savons aujourd’hui que plus nous traitons tôt la DMLA exsudative, plus nous avons des chances de préserver la vision du patient d’où l’importance de faire de la prévention et du dépistage à l’aide des grilles d’Amsler.
Il est strictement contre indiqué d’injecter un œil qui ne présente pas de DMLA active ! Il en va de même pour le laser PDT, qui peut occlure des néo vaisseaux mais pas prévenir leur développement !
Après un an de traitement, la maladie commence à se stabiliser et le patient garde une acuité visuelle correcte sur son œil DROIT (6/10ième de loin et Parinaud 5 de près avec système de grossissement spécial).
Lors d’une consultation de suivi, il vous signale ressentir une gêne au niveau de cet œil DROIT. En effet il décrit une sensation de picotements, de brûlures malgré des lavages itératifs au sérum physiologique. Visiblement, les signes évoluent à bas bruit depuis quelques mois mais il a l’impression que la gêne s’intensifie. Il décrit également cette sensation à son œil gauche, mais de manière plus intermittente et moins intense.
Au niveau des signes fonctionnels, on ne retrouve ni rougeur, ni sécrétion, ni photophobie.
Question 9 : Quel est le diagnostic le plus probable ?
En effet, le seul diagnostic possible est la kératite sèche = sécheresse oculaire = Kératite ponctuée superficielle sèche.
La kératite inflammatoire est un diagnostic rare, dont les signes classiques sont rougeur intense, douleurs intenses, photophobie et baisse de l’acuité visuelle.
La kératite infectieuse, ou abcès de cornée est définie par l’association d’un infiltrat blanc stromal et d’un défect épithélial et se manifeste également par une forte rougeur, une douleur et une photophobie.
Enfin la kératite herpétique répond également à la règle rougeur, douleur intense et photophobie.
Pour terminer, la kératite neurotrophique est une atteinte cornéenne secondaire à une anesthésie cornéenne : en effet en absence d’innervation correcte, l’épithélium cornéen ne cicatrise pas et il apparaît un véritable ulcère cornéen chronique indolore appelé kératite neurotrophique : on retrouve la rougeur, une photophobie intense mais l’absence de douleur.
Vous suspecter un œil sec. Vous décidez de réaliser un examen à la lampe à fente avec test à la fluorescéine. Celui-ci met en évidence une kératite ponctuée superficielle centrale et inférieur à l’œil DROIT et une kératite ponctuée superficielle inférieure à l’œil GAUCHE. En poursuivant votre examen, vous remarquez ceci au niveau des paupières :
Question 10 : Quelles sont les propositions exactes ?
Cette question vous rappelle l’importance de TOUS les items à l’internat. En effet l’item « pathologie des paupières » ne doit pas passer à la trappe. D’autant plus que la blépharite/meibomite est une affection extrêmement fréquente, et la sécheresse oculaire est le premier motif de consultation chez l’ophtalmologue après les troubles réfractifs … Sur la photographie vous observez le meibum blanchâtre au niveau des orifices des glandes de meibomius, ce dernier devrait être translucide. Ici il s’accumule et forme un meibum épais qui à du mal à sortir des glandes. Ceci favorise un film lacrymal moins « gras » et qui favorise à son tour l’évaporation plus rapide de la larme sur la surface oculaire. Du coup, entre chaque clignement, le patient ne garde pas assez longtemps la larme sur sa cornée et celle-ci est donc exposée aux agents extérieurs. Le test simple permettant de juger de l’excès d ‘évaporation du film lacrymal s’appelle le Break Up Time. Il consiste à instiller une goutte de fluorescéine dans l’œil du patient, en lumière bleue, et de l’empêcher de cligner pendant 10 secondes. Si votre film lacrymal se rompt en moins de 7 secondes, il existe donc un excès d’évaporation des larmes dont l’origine la plus fréquente est la meibomite. Classiquement, la KPS se situe en inférieur dans la meibomite.
Le traitement associe des massages des paupières et des larmes artificielles en première intention. Si malgré de bons soins il persiste des signes de meibomite, on peut proposer des cure d’antibiotiques ayant des propriétés anti-inflammatoire (en collyre : azythromycine ou per os : cycline). Enfin des laboratoires ont mis au point des systèmes permettant de « pomper » les glandes afin de les vidanger, ces systèmes sont très coûteux et non pris en charge donc reste pour le moment marginaux !
Le patient, âgé maintenant de 97 ans, est soulagé par le traitement associant des massages le soir et une larme artificielle. La DMLA est stabilisée et il n’a plus besoin, pour le moment, d’injection intra vitréenne. Il aimerait refaire ses lunettes.
Vous réalisez les tests réfractifs, et vous trouvez les résultats suivants :
Œil DROIT : 6/10ième avec +0,75, Parinaud 6 avec une addition de +3,00
Œil GAUCHE : 9/10ième avec +0,50 (-0,75 à 175°), Parinaud 2 avec une addition de +3,00
Question 11 : Quels troubles réfractifs présentent votre patient ?
L’item « Troubles réfractifs » est la base de cette spécialité. Savoir faire lire un patient est le premier travail du jeune interne en ophtalmologie. Vous devez connaître les bases de l’optique.
Un myope a une longueur axiale trop longue, et a donc une image projetée en AVANT de la macula. Il est corrigé à l’aide de verre concave (-).
L’hypermétrope a une longueur axiale trop courte, et a donc une image projetée en ARRIERE de la macula. Il est corrigé à l’aide d’un verre convexe (+).
L’astigmatisme est un trouble de la sphéricité de la surface cornéenne. En effet, le patient astigmate à une partie de sa cornée bombée et une autre plate. Ce trouble se corrige à l’aide de verre cylindrique selon un certain AXE et s’exprime sur une ordonnance entre parenthèse avec sa valeur dioptrique et son axe : (-0,75 à 175°). Le cylindre peut être exprimé en (+) ou en (-). Les ophtalmologistes ont pour habitude d’exprimer le cylindre en négatif.
Le patient refait donc sa monture et ses verres correcteurs. Il est bien à gauche mais est toujours gêné par son œil DROIT. Entre deux consultations de suivi, il constate l’apparition de nouvelles métamorphopsies associées à un scotome central sur son œil DROIT. Sur vos bons conseils, il est transporté aux urgences du CHU de Lyon, dans le service d’ophtalmologie, pour un contrôle.
Votre démarche diagnostique met rapidement en évidence une récidive exsudative de la DMLA avec apparition sur l’OCT maculaire d’une récidive du DEP, avec présence de liquide sous rétinien. Vous décidez de reprendre les injections intra vitréennes d’antiVEGF.
Le patient est pris en charge pour son injection de l’œil DROIT deux jours plus tard. La réalisation du geste se fait dans une salle blanche, sous anesthésie locale, après désinfection des culs de sac conjonctivaux à la BETADINEÒ, sans difficulté.
Malheureusement, le patient revient aux urgences 72 heures après. Il présente de violentes douleurs au niveau de son œil DROIT. L’œil est rouge, avec présence de sécrétions et d’une baisse d’acuité visuelle brutale et profonde.
A l’examen, la mesure de la meilleure acuité visuelle corrigée est limitée à « compte les doigts 30cm » (CLD 30). La PIO semble normale mais sa mesure est difficile.
L’examen du segment antérieur retrouve les anomalies suivantes: 

L’examen du FO est difficile du fait d’une hyalite dense.
Question 12 : Quels signes sont présents sur cette photographie du segment antérieur ?
Ici vous avez une photographie de face du segment antérieur. Donc attention sans la fente lumineuse il est impossible de détecter un tyndall alors même s’il existe très probablement, il ne faut pas mettre la réponse bonne ici ! Par contre vous voyez très bien la rougeur, le petit hypopion en inférieur représenté par le magma blanchâtre inférieur.
Question 13 : Quel examen devez-vous réaliser avant d’entreprendre le traitement ?
Sans réfléchir réponse E !! On vous dit à la question précédente que l’on accède difficilement au fond d’œil à cause d’une hyalite dense, il faut absolument vérifier l’absence de décollement de rétine associée avant le traitement. En effet votre traitement va passer par des injections intra vitréennes d’antibiotiques. Mais les injections sont contre-indiquées en cas de décollement de rétine !
Vous réalisez une échographie en mode B qui ne retrouve ni décollement de rétine ni soulèvement choroïdien.
Question 14 : Quel est le diagnostic le plus probable devant ce tableau clinique ?
un œil rouge, douloureux avec BAV après un geste intra oculaire est une endophtalmie aiguë exogène jusqu’à preuve du contraire.
Question 15 : Quel est votre traitement en urgence ?
L’endophtalmie aiguë exogène est une urgence diagnostique et thérapeutique. Le pronostic visuel est catastrophique en cas de retard de prise en charge. Le traitement associe une antibiothérapie probabiliste générale à bonne pénétrance oculaire (FLUOROQUINOLONE et/ou PIPERACILLINE) à une antibiothérapie locale par voie intra vitréenne (en première intention VANCOMYCINE et CEFTAZIDINE), puis secondairement adapté au germe et à l’antibiogramme. Il n’est pas nécessaire d’associer de manière systématique un antifongique, on le réserve au patient prédisposé (toxicomanie par exemple). L’antibiothérapie par collyre est inutile car la pénétrance vitréenne est quasiment inexistante. La prise en charge de la douleur est essentielle ici.
DCP d’ophtalmologie, difficile sur une pathologie du sujet âgé : la DMLA. Beaucoup de travail sur l’iconographie important à maitriser : rétinophotographie, tomographie en cohérence optique, angiographie rétinienne. Ces examens sont réalisés quotidiennement en pratique courante et décrits dans votre collège ce qui sous entend que des questions peuvent tomber le jour J. La correction vous donne des astuces de « bon sens » pour réussir à bien répondre même si vous n’êtes pas hyper à l’aise avec ces iconographies. Vous avez tous les connaissances théoriques en ayant appris par cœur une liste de lésion pour une pathologie donnée, maintenant vous devez apprendre à ressortir la notion au bon endroit dans le dossier. Complication classique de fin de dossier : l’endophtalmie. Enfin la sécheresse oculaire est pour moi un sujet essentiel à maitriser car simple et très transversal !

Exercez-vous aux ECN avec les dossiers progressifs et les LCA de La Revue du Praticien