Un patient de 25 ans consulte au service d’accueil des urgences pour une douleur au niveau du pli de l’aine depuis 48 heures. Ce jeune agent immobilier, sportif, est célibataire. Il n’a aucun antécédent en dehors d’une appendicectomie il y a six ans (appendicite non compliquée).
L’examen clinique retrouve une température à 38,2 °C, pression artérielle à 120/70 mmHg, pouls à 66 batt/min. L’examen physique révèle une adénopathie rouge, chaude, douloureuse, rénitente au niveau du pli inguinal gauche d’environ 3 cm, non adhérente. Il n’a aucune lésion tégumentaire des membres inférieurs. L’examen des autres aires ganglionnaires (cervicales, axillaires, épitrochléennes) est sans anomalie.
Question 1 - Quelle(s) est (sont) la (les) hypothèse(s) diagnostique(s) à évoquer en priorité devant cette adénopathie inguinale ?
La tuberculose doit être évoquée en priorité devant des adénopathies cervicales ou un tableau de polyadénopathie.
La primo-infection à CMV est plutôt responsable d’un tableau de polyadénopathies (en particulier cervicales) bilatérales, inflammatoires.
L’aire de drainage des cancers testiculaire est rétropéritonéale.
Adénopathies inguinales : aire de drainage des membres inférieurs, organes génitaux externes, anus.
Évoquer :
- néoplasie des aires de drainages : membres inférieurs et périnée (membres inférieurs, peau, anus, rectum ; utérus, ovaire, vulve chez la femme) ;
- infection sexuellement transmissible (syphilis, chancre mou, lymphogranulomatose vénérienne).
Toujours penser aux hémopathies lymphoïdes (lymphomes++) devant une adénopathie, même si les polyadénopathies sont plus évocatrices.
Afin d’orienter vers une infection sexuellement transmissible.
Dans le cadre d’une éventuelle hémopathie ou d’une néoplasie solide (recherche d’un terrain de prédisposition génétique).
À toujours rechercher en infectiologie.
En particulier les chats et les chatons pour la maladie des griffes du chat (Bartonella henselae, zoonose d’inoculation).
À toujours rechercher en infectiologie ; dans le cadre des IST, certaines sont quasi-exclusivement retrouvées en zones tropicales : donovanose et chancre mou.
Le patient vous avoue avoir des rapports sexuels non protégés, avec des hommes et des femmes, notamment au cours de soirées dans des lieux de convivialité, avec consommation de drogues (cocaïne, cannabis, LSD, ecstasy) et d’alcool. Il a réalisé un bilan sérologique des infections sexuellement transmissibles il y a cinq ans, qui était négatif. Il ne rapporte pas avoir observé de lésion génitale dans l’année précédente. Gêné, il vous explique qu’il y a quatre semaines il avait sans arrêt envie d’aller à la selle, et que lorsqu’il y allait, l’exonération se faisait douloureusement, avec une sensation de brûlure intense. Ces symptômes ont cédé, puis est apparu depuis deux jours ce ganglion douloureux.
Question 3 - Quel(s) est (sont) le(s) diagnostic(s) le(s) plus probables devant l’ensemble de ces signes ?
Absence d’adénopathie au cours de la donovanose.
Anorectite (syndrome rectal : ténesmes, épreintes) + adénopathie inflammatoire : penser à la lymphogranulomatose vénérienne.
Ulcération initiale indolore, adénopathie non inflammatoire.
Incubation courte de 3 à 7 jours, puis papule devenant ulcérée (douloureuse, fond sale, purulent, profonde, non indurée), puis adénopathies inflammatoires (50 % des cas) unilatérales.
Devant l’ensemble de ces éléments, vous suspectez une lymphogranulomatose vénérienne.
Question 4 - Quel(s) examen(s) à visée diagnostique doi(ven)t être réalisé(s) ?
La sérologie peut être considérée comme un argument supplémentaire du diagnostic positif quand elle montre une séroconversion ou une augmentation significative du titre des anticorps à 15 jours d’intervalle, en général à des taux très élevés (la sérologie est toujours un diagnostic rétrospectif).
Chlamydia trachomatis peut être identifiée par culture cellulaire ou amplification génique. Du fait des difficultés de la culture de C. trachomatis, apanage de laboratoires très spécialisés, la PCR est devenue la méthode de référence. Le diagnostic de certitude nécessite le génotypage de Chlamydia trachomatis : sérovar L.
Chlamydia trachomatis étant une bactérie intracellulaire n’est pas mise en évidence sur des milieux de culture usuels (axéniques = sans cellules) ; elle nécessite des milieux de culture spécifiques réservés à certains laboratoires spécialisés.
Diagnostic clinico-microbiologique.
Écouvillonage de l’ulcération avec PCR.
Les prélèvements bactériologiques sont obtenus à partir du pus ganglionnaire, recueilli par ponction ganglionnaire, ou par écouvillonnage de l’ulcération génitale, ou de la rectite, voire à partir d’une biopsie rectale.
Votre patient n’a aucune allergie connue.
Question 5 - Quelle(s) molécule(s) est (sont) recommandée(s) en première intention dans le traitement de la lymphogranulomatose vénérienne (LGV) ?
Traitement de la LGV : - Le traitement classique de première intention est la doxycycline (200 mg/j en une ou deux prises quotidiennes) pendant 21 jours.
- Le traitement de deuxième intention est l’érythromycine (2 g/j en 4 prises quotidienne) pendant 21 jours.
- L’azithromycine est certainement efficace et permettrait une durée plus courte de traitement, mais son utilisation n’est pas bien codifiée dans cette indication.
N.B. : antibiothérapies actives sur les bactéries intracellulaires : doxycycline, macrolides, fluoroquinolones, rifampicine.
Vous décidez de traiter votre patient par doxycycline per os pendant 21 jours. Par ailleurs, vous souhaitez réaliser une recherche d’une ou d’éventuelles infections sexuellement transmissibles associées.
Question 6 - Quel(s) examen(s) complémentaire(s) est (sont) recommandé(s) en première intention dans le cadre de la recherche d’infections sexuellement transmissibles chez ce patient?
Sérologie VIH.
= sérologie syphilis.
Aucun intérêt de la sérologie HSV.
sérologie hépatite A recommandée du fait du risque de transmission sexuelle chez les hommes ayant des relations sexuelles avec des hommes (transmission orofécale).
Bilan d’IST: – sérologie VIH : première sérologie ELISA, confirmée par Western Blot sur un prélèvement, puis deuxième prélèvement avec nouvelle sérologie ELISA (identitovigilance)
– TPHA/VDRL
– sérologie hépatite B (Ag HBs, Ac anti-HBs et HBs), hépatite C
– ECBU et PCR sur premier jet d’urine ou écouvillon spécifique pour recherche de Chlamydia trachomatis et Neisseria gonorrhoeae – si HSH (homme ayant des relations sexuelles avec des hommes) : sérologie hépatite A
– chez la femme : frottis cervico-vaginal selon les recommandations (2 à 1 an d’intervalle à partir de 25 ans, puis tous les 3 ans jusqu’à 65 ans).
Ses dernières vaccinations remontent à l’âge de 15 ans.
La sérologie hépatite B est la suivante : AgHBs : négative ; Ac anti-HBs : négatif ; Ac anti-HBc : négatif.
La sérologie hépatite A est la suivante : IgG négatifs.
Question 7 - Quel(s) est (sont) la (les) vaccination(s) recommandée(s) chez votre patient ?
Rappel à 25 ans associé au dTP (=dTcaP), puis en cocooning si le dernier rappel date de plus de 10 ans.
Nourrissons M2M4M11, et situations à risque (asplénique, patients séropositifs pour le VIH immunodéprimés, immunodéprimés, cardiopathie, néphropathie, hépatopathie, diabète…).
Nourrissons (M2M4M11) ou rattrapage jusqu’à 15 ans révolus ou situations à risque (dont HSH et professionnels de santé).
Séjour outre-mer ou chez les HSH (exposition au péril fécal).
Une dose à 5 mois et à 12 mois, rattrapage jusqu’à 24 ans.
En pratique, les vaccinations spécifiques chez les HSH :
- Hépatite A - Hépatite B
De plus, selon le calendrier vaccinal 2021 : *Méningocoque C : le rattrapage reste recommandé jusqu’à 24 ans révolus comme pour tout jeune adulte (la recommandation spécifique d'une vaccination des HSH de 25 ans et plus qui fréquentent les lieux de convivialité ou de rencontres gays, émise par le HCSP en 2014 et 2016, est depuis caduque, compte tenu des données épidémiologiques).
*HPV : vaccination universelle H/F de 11 à 19 ans révolus depuis le calendrier vaccinal 2020 (cf. recos HAS de décembre 2019) ; rattrapage jusqu’à 26 ans révolus ; toute nouvelle vaccination doit être réalisée avec Gardasil 9.
*Grippe saisonnière si séropositif pour le VIH.
*Covid-19 en période de pandémie.
Dans le cadre du bilan d’infection sexuellement transmissible, une première sérologie VIH revient positive.
Question 8 - Comment confirmez-vous votre diagnostic d’infection par le VIH ? (Une ou plusieurs réponses possibles.)
Le dépistage d’une infection par le VIH : un test ELISA (sensible mais risque de faux positifs) réalisé avec l’accord du patient.
Il doit être confirmé par Western Blot, qui est plus spécifique (mais plus coûteux).
Enfin, afin de s’assurer de l’identitovigilance, un test de dépistage (= ELISA ) doit être réalisé sur un deuxième prélèvement.
Vous réalisez un Western Blot sur ce premier prélèvement qui confirme la positivité du test de dépistage par ELISA. Un deuxième prélèvement sanguin est réalisé avec l’accord du patient afin de réaliser une sérologie (ELISA), et de s’assurer de la bonne identification des tubes : résultat à nouveau positif.
Au cours d’une consultation dédiée, vous annoncez le diagnostic avec empathie et un langage intelligible par le patient. Avant que vous ne puissiez débuter la prise en charge thérapeutique, le patient est perdu de vue.
Trois ans plus tard, vos collègues urgentistes vous appellent pour ce même patient, amené par sa sœur aux urgences devant des troubles de l’élocution.
L’examen clinique retrouve une température à 39,2 °C, TA à 124/76 mmHg, pouls à 98 batt/min, SpO2 à 98 % en air ambiant. Il met en évidence un déficit brachiofacial hémicorporel droit à 4/5 à prédominance distale. La marche est ébrieuse, avec des embardées, associée à une dysmétrie à l’épreuve doigt-nez et une dysarthrie. Il se plaint de troubles visuels depuis plus d’un mois selon sa sœur. L’ensemble de la symptomatologie est apparue progressivement depuis 2 mois, mais s’est nettement aggravé au cours des 2 dernières semaines.
L’examen endobucal retrouve un muguet buccal, associé à une dysgueusie.
Vous retrouvez également des adénopathies diffuses et de discrets crépitants basithoraciques en base droite.
Question 9 - Quel(s) examen(s) réalisez-vous en première intention en urgence ?
La ponction lombaire est contre-indiquée du fait de l’existence de signes focaux : réaliser un scanner cérébral avant toute ponction lombaire pour éliminer un processus occupant de l’espace.
Recherche de troubles de la crase (thrombopénie, anomalies du TP et/ou du TCA) avant de réaliser une ponction lombaire (à réaliser après le scanner en l’absence de processus occupant de l’espace).
Bilan minimal ionique devant des signes neurologiques.
À réaliser chez tout patient fébrile.
Signes focaux + fièvre = encéphalite
Question 10 - Quel(s) est (sont) votre (vos) hypothèse(s) diagnostique(s) devant ce tableau encéphalique chez ce patient VIH non suivi et non traité ?
Cryptococcose neuroméningée : méningite ou méningoencéphalite d’installation progressive, souvent HTIC au premier plan.
LEMP : troubles neurologiques d’apparition progressive (déficit sensitif, moteur, syndrome cérébelleux…), atteinte démyélinisante de la substance blanche.
Pneumocystose : atteinte pulmonaire exclusive.
Toxoplasmose cérébrale : à évoquer devant tout signe neurologique focal dans contexte de VIH.
Tuberculose neuroméningée : classiquement rhombencéphalite lymphocytaire hyperprotéinorachique hypoglycorachique, mais peut tout donner.
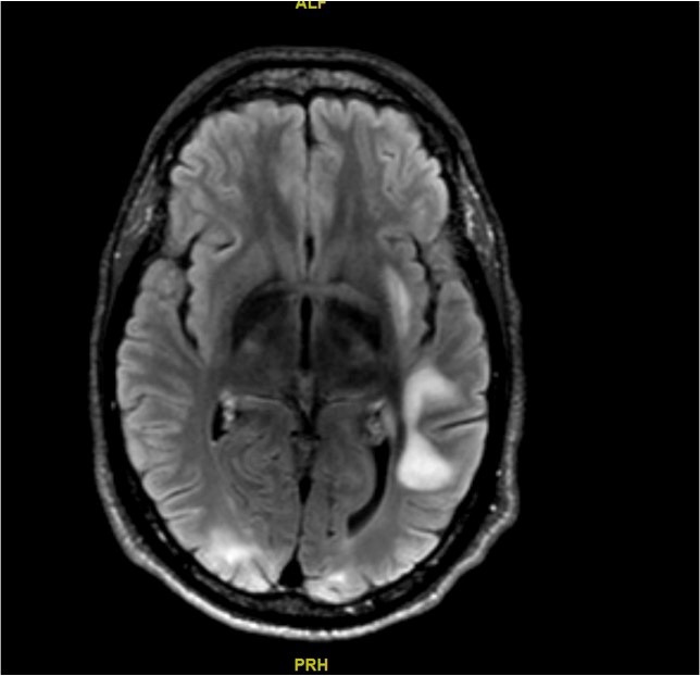
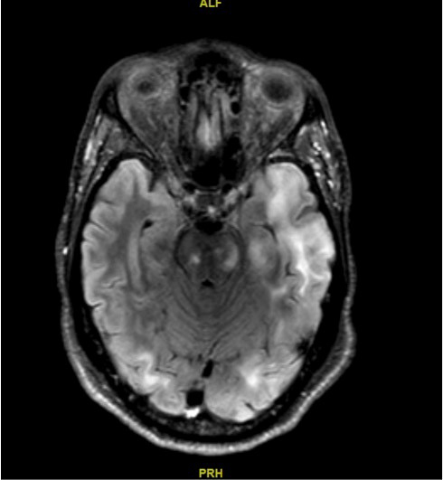
Un scanner cérébral est réalisé et montre des hypodensités de l’hémisphère cérébral gauche, ne prenant pas le contraste.
Après avoir éliminé le risque d’engagement cérébral, vous réalisez une ponction lombaire :
- biochimie : protéinorachie = 0,47g/L ; glycorachie = 2,20 mmol/L ; glycémie = 4,6mmol/L.
- cytologie : éléments 1/mm3 ; globules rouges : 1/mm3 ;
- microbiologie : examen direct négatif et absence de BAAR au direct ; antigène cryptocoque LCR négatif ; PCR HSV/VZV négatives.
Une IRM est alors réalisée (coupe T2 FLAIR axiales) (images ci-dessous) : Les coupes T1 montrent des lésions hypo-intenses des mêmes territoires, mais aucune lésion ne prend le contraste.
Question 11 - Quel(s) est(sont) le(s) diagnostic(s) retenu(s) à ce stade ?
Cryptococcose neuroméningée : IRM souvent normale – hyperprotéinorachie +/- hypoglycorachie – examen direct à l’encre de Chine et Ag cryptocoque sang et LCR positifs.
LEMP : hypo-T1 hyperT2, pas de prise de contraste.
Toxoplasmose : aspect en cocarde (rehaussement périlésionnel) et œdème périlésionnel.
Absence de méningite sur la ponction lombaire. Pas de lésion évocatrice à l’IRM.
Vous retenez le diagnostic de leucoencéphalopathie multifocale progressive.
Question 12 - Quel(s) examen(s) paraclinique(s) corroborerai(en)t ce diagnostic ?
Le virus John Cunningham est le virus responsable de la LEMP.
Votre diagnostic étiologique est confirmé, avec la mise en évidence du virus JC sur le LCR.
Question 13 - Quel(s) est (sont) le(s) examen(s) à réaliser dans le cadre du bilan initial de l’infection VIH chez ce patient ?
Quantifie l’immunosuppression et évalue le risque infectieux opportuniste, nécessaire au suivi (contrôle immunologique).
Bilan préthérapeutique (pas de nécessité d’attendre le résultat du génotypage de résistance pour débuter le traitement), charge virale nécessaire au suivi (contrôle virologique).
À réaliser si CD4 < 100/mm3 (ce qui est le cas ici chez ce patient atteint d’une LEMP).
Dépistage de la tuberculose maladie ou infection tuberculeuse latente.
Dépistage du cancer anorectal, recherche de condylomes.
Ce patient a une encéphalite à virus JC : son taux de CD4 est inférieur à 100/mm3.
Rapport Morlat 2013 : Bilan paraclinique initial préthérapeutique d’un adulte infecté par le VIH
* Sérologie VIH / CD4/CD8 / ARN VIH / test génotypique de résistance du VIH (transcriptase inverse, protéase) et détermination du sous-type VIH-1 (la recherche de mutations de résistance à l’intégrase et le test de tropisme ne sont pas recommandés à ce stade).
* Hémogramme avec plaquettes, transaminases, γGT, phosphatases alcalines, bilirubine totale et conjuguée, créatininémie et estimation du DFG (MDRD ou CKD-EP), phosphorémie, protéinurie (bandelette urinaire) ou dosage du rapport protéinurie/créatininurie (toxicité rénale du ténofovir avec possible tubulopathie, ou possible néphropathie associée au VIH = HIVAN).
* Glycémie et bilan lipidique à jeun.
* Hépatites virales B, C, A ; syphilis ; toxoplasmose ; CMV.
* HLA-B*5701 (hypersensibilité à l’abacavir).
* Test IGRA (QuantiFéron ou T-spot TB) pour le dépistage de la tuberculose latente.
* Si CD4 < 200/mm3 ou personne provenant d’une zone d’endémie tuberculeuse : radiographie thoracique.
* Si CD4 < 100/mm3 : dosage de l’antigène cryptocoque, de la PCR CMV et réalisation d’un fond d’œil (si sérologie CMV positive).
* Chez les femmes n’ayant pas eu de bilan dans l’année, une consultation gynécologique avec réalisation d’un frottis cervico-vaginal est recommandée.
* Chez les HSH et les PVVIH ayant des antécédents de lésions à HPV, consultation proctologique.
La sérologie CMV est positive (IgG positifs, IgM négatifs), la PCR CMV est inférieure aux seuils de détection et le fond d’œil normal. La sérologie toxoplasmose est positive. Il n’y a pas de co-infection par les hépatites B, C, la sérologie syphilis retrouve un TPHA à 1/640 mais un VDRL négatif.
Question 14 - Quel(s) est (sont) le(s) grand(s) principe(s) de prise en charge chez ce patient (sans tenir compte du délai de mise en route des traitements), en l’absence d’infection opportuniste associée identifiée ?
Si LEMP : CD4 < 100/mm3 = mettre le cotrimoxazole pour prévenir la toxoplasmose et la pneumocystose.
La pyriméthamine-sulfadiazine est le traitement curatif de la toxoplasmose cérébrale.
Un TPHA positif et un VDRL négatif traduit une infection syphilitique guérie (le TPHA reste positif à vie alors que le VDRL se négative sous traitement).
Le valganciclovir est délivré en cas d’atteinte d’organe liée au CMV (rétinite ou colite) ou en cas de charge virale élevée.
Il n’existe pas de traitement spécifique de la LEMP : le traitement est celui de l’infection par le VIH (restauration immunitaire).
Question 15 - Dans quel délai doit être initié le traitement antirétroviral contre le virus du VIH ?
Rapport Morlat - 2013
Le traitement antirétroviral doit être débuté dans les 2 semaines en cas d’infection opportuniste, sauf :
- en cas de tuberculose neuroméningée et de cryptococcose neuroméningée : plus de 4 semaines après le diagnostic
- en cas de tuberculose (hors forme neuroméningée) et CD4 > 50/mm3 : 2 à 4 semaines après le diagnostic
Ce délai permet de prévenir la survenue d’un syndrome de restauration immune (IRIS), surtout décrit au cours des tuberculoses neuroméningées et cryptococcoses neuroméningées).
N.B. : si CD4 < 50/mm3 et tuberculose (hors formes neuroméningées) : débuter le traitement dans les 2 semaines suivant le diagnostic comme au cours des autres infections opportunistes.
Évoquer :
- néoplasie des aires de drainages : membres inférieurs et périnée (membres inférieurs, peau, anus, rectum ; utérus, ovaire, vulve chez la femme) ;
- infection sexuellement transmissible (syphilis, chancre mou, lymphogranulomatose vénérienne).
Toujours penser aux hémopathies lymphoïdes (lymphomes++) devant une adénopathie, même si les polyadénopathies sont plus évocatrices.