Monsieur R, 52 ans, consulte à votre cabinet pour des épisodes de palpitations survenant plusieurs fois par jour depuis environ un mois, qui peuvent durer plusieurs minutes. Il est diabétique de type 1 depuis l’adolescence (sous insuline) avec un équilibre correct (dernière HbA1c 6,9 %) mais avec complications micro-angiopathiques (rétinopathie et neuropathie) et macro-angiopathiques (plaque d’athérome à 30 % de la bifurcation carotidienne gauche et 50 % à droite sur un écho-doppler datant de l’année dernière). Il prend également du périndopril (IEC) pour une HTA bien équilibrée.

Ci-joint l’ECG réalisé lors de la consultation (Question1.jpg). La TA est à 136/79 mmHg.

Question 1 : Vous constatez ?
Tachycardie irrégulière à QRS fins, non sinusale (fibrillation de la ligne isoélectrique, bien visible en DIII). Diagnostic de fibrillation atriale.
Question 2 : Vous retenez le diagnostic de fibrillation atriale. Quel bilan réalisez-vous rapidement ?
Découverte d’ACFA : indication à réaliser un bilan biologique à la recherche d’un trouble métabolique (troubles phosphocalcique, dyskaliémie...) et endocrinien (hyperthyroïdie, surtout dans ce contexte de maladie auto-immune avec diabète de type 1). Aucun intérêt du dosage de la troponine ou du BNP. Il faut également réaliser un bilan cardiaque morphologique avec une échographie transthoracique (recherche de cardiopathie). Pas d’indication à réaliser une coronarographie sur les seuls éléments présentés dans l’énoncé. Pas d’indication non plus à réaliser un Holter-ECG de 24 heures (quel en serait l’intérêt ?). 
le bilan biologique standard est normal (DFG à 90 mL/min, TSH normale), et l’échographie cardiaque également, hormis la présence d’une oreillette gauche dilatée. 
Question 3 : Quel est le score CHADS2 de ce patient ?
Le score CHADS2 permet d’évaluer le risque embolique d’un sujet en ACFA.
C : FEVG < 35 % et/ou une insuffisance cardiaque = 1 point.
H : antécédent d’HTA = 1 point.
A : Âge > 75 ans = 1 point.
D : diabète = 1 point.
S (pour Stroke) : ATCD AVC ou AIT ou embolie périphérique = 2 points.
Le score du patient est donc à 2 (HTA, diabète).
Question 4 : Vous introduisez
Discussion du traitement antithrombotique pour ACFA, en prévention primaire. La décision d’introduction d’une anticoagulation à dose hypocoagulante dépend du risque embolique du patient, qui est évalué à l’aide du score CHADS2 ou CHADS2VASC (indication à une anticoagulation en cas de score >= 2).
Ici, score CHADS2 à 2 (diabète, HTA), indiquant un traitement anticoagulant (le score CHADS2VASC est également à 2).
Question 5 : Quel(s) autre(s) élément(s) de prise en charge vous semble(nt) important(s) pour les premiers jours ? 
Il faut introduire un traitement bêtabloquant pour ralentir l’ACFA. Contre-indication à réduire l’ACFA dans les premiers jours (que ce soit par voie médicamenteuse ou choc électrique externe) compte tenu du risque embolique.
Il faudra le faire après trois semaines d’anticoagulation efficace, ou après avoir éliminé la présence d’un thrombus auriculaire gauche par une ETO. Aucune indication, ni intérêt, à rechercher des séquelles ischémiques cérébrales ou périphériques.
Vous introduisez un traitement par Coumadine avec un objectif d’INR entre 2 et 3 et organisez une réduction de l’ACFA par choc électrique externe après un mois d’anticoagulation efficace. Le patient vient vous voir trois mois plus tard pour une consultation de suivi. Il est asymptomatique (plus de palpitations), sous Coumadine et traitement antiarythmique. Il a réalisé un Holter-ECG de 24 heures qui montre de nombreuses extrasystoles auriculaires mais pas de récidive d’ACFA. Il a du mal à équilibrer ses INR qui sont fréquemment en dehors de la fourchette thérapeutique malgré un respect strict des règles alimentaires et une surveillance rapprochée des INR.
Question 6: Comment adaptez-vous le traitement ?
La présence d’un rythme sinusal ne doit pas faire arrêter le traitement anticoagulant (doit être maintenu à vie), car le patient est à haut risque embolique (CHADS2 à 2).
Cette attitude est renforcée par la présence de multiples extrasystoles auriculaires et d’une oreillette gauche dilatée (risque important de récidive d’ACFA).
Cependant, la difficulté d’équilibration des INR est une indication à l’introduction d’un anticoagulant oral direct d’après la HAS 2013 (« Bon usage du médicament : Fibrillation auriculaire non valvulaire. Quelle place pour les anticoagulants oraux non antivitamine-K : apixaban (Eliquis®), dabigatran (Pradaxa®) et rivaroxaban (Xarelto®) ») : 
« La prescription des anticoagulants oraux non AVK peut notamment être envisagée  chez les patients sous AVK, mais pour lesquels le maintien de l’INR dans la zone cible (entre 2 et 3) n’est pas habituellement assuré malgré une observance correcte ou chez les patients pour lesquels les AVK sont contre-indiqués ou mal tolérés, qui ne peuvent pas les prendre ou qui acceptent mal les contraintes liées à la surveillance de l’INR.»
Le patient est amené par le SAMU aux urgences de votre hôpital six mois plus tard à 12h15 pour une hémiparésie droite apparue brutalement à 10h45 le matin même devant sa femme. Sa femme vous raconte qu’il prenait toujours un traitement par Coumadine (il avait refusé de prendre un anticoagulant oral direct, car il craignait les effets indésirables potentiels de ces traitements récents, dont on n’avait que peu de recul). Son dernier INR était à 3,4 une semaine plus tôt). Il est également sous bisoprolol, et Lantus/Novorapid.
Quand vous l’examinez à 12h50, il présente une hémiparésie droite prédominant au membre supérieur, une paralysie faciale droite centrale, une hémianopsie latérale homonyme droite, et des troubles du langage avec un manque du mot sévère.
Ses constantes sont les suivantes : TA 168/83 mmHg, FC 88 batt/min, T 37,4 °C, glycémie capillaire 8,9 mmol/L.
Question 7: Vous suspectez :
On évoque un accident vasculaire cérébral devant l’apparition brutale d’un déficit neurologique focal. Impossible de distinguer sur les éléments de l’anamnèse un infarctus cérébral d’un hématome (les deux sont possibles chez ce patient).
Aucun argument pour une hémorragie méningée (pas de notion de céphalée en coup de tonnerre), une thrombophlébite cérébrale ou une crise épileptique (déficit devant l’épouse, qui aurait donc vu le patient « criser »).
Le score NIHSS est à 16. Un bilan biologique est envoyé en urgence au laboratoire (NFS, plaquettes, glycémie, ionogramme sanguin, urée, créatinine, TP-TCA, INR).
L’imagerie suivante est réalisée en urgence. L’ECG est en ACFA.
Question 8: Il s’agit :
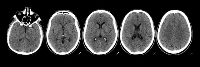
Les corticales osseuses sont « blanches », il s’agit donc d’un scanner cérébral.
Absence de visualisation de produit de contraste dans les structures vasculaires, il s’agit donc d’un scanner cérébral sans injection.
Question 9: Vous constatez sur le scanner sans injection
Sur ce scanner sans injection, on n’observe aucune anomalie parenchymateuse. En revanche, on observe une hyperdensité spontanée de l’artère cérébrale moyenne gauche dans son segment proximal, correspondant à un thrombus.
Cela est parfaitement compatible avec le diagnostic d’infarctus cérébral sylvien gauche à la phase très aiguë.
Il est 13h15, le patient est toujours sur la table du scanner. Vous évoquez le diagnostic d’accident ischémique cérébral sylvien gauche. Le score NIHSS est à 16. Le laboratoire vous informe des résultats suivants : NFS : Hb = 14,6g/dL, plaquettes 248 G/l, leuco 6,3 G/L ; ionogramme sanguin : créatininémie 88 micromol/L, glycémie veineuse 8,7 mmol/L. Le reste des résultats du bilan biologique sera disponible dans dix minutes. Le radiologue vous informe que l’IRM va se libérer dans environ trente minutes mais que la salle de radiologie interventionnelle est indisponible toute la journée en raison de travaux.
Question 10: Quelle attitude diagnostique adoptez-vous pour les prochaines minutes ?
Le diagnostic d’accident ischémique est quasi certain sur les données clinico-radiologiques disponibles. Il est cependant fondamental de connaître le statut artériel rapidement, pour organiser au mieux la suite de la prise en charge. En effet, la présence d’une occlusion artérielle proximale indiquerait la réalisation d’un geste endovasculaire (avec ou sans thrombolyse préalable ; cf. question suivante).
Ici, on suspecte une occlusion proximale de l’artère cérébrale moyenne gauche compte tenu de la présence d’une hyperdensité spontanée de l’artère cérébrale moyenne gauche, mais il est préférable de confirmer cette donnée par la réalisation d’un angioscanner (le patient est déjà sur la table, ce dernier sera donc réalisé sans délai). Le transfert à l’IRM (avec 30 minutes d’attente !) ou la réalisation d’un écho-doppler transcrânien permettrait également de connaître le statut artériel mais ralentirait considérablement la prise en charge de ce patient, ce qui n’est pas acceptable. Il n’est pas raisonnable de transférer le patient dans un autre centre pour la réalisation d’une artériographie (dans l’optique de réaliser une thrombectomie mécanique) en l’absence de certitude diagnostique sur la présence d’une occlusion artérielle proximale.
L’angioscanner réalisé confirme la présence d’une occlusion dès l’origine de l’artère cérébrale moyenne gauche.
La fin du bilan biologique sera disponible dans cinq minutes.
Question 11: Quelle attitude thérapeutique adoptez-vous pour les prochaines minutes ?
Zéro à la question
Zéro à la question
Indication à un geste de revascularisation cérébrale en urgence (AIC aigu, délai < 4h30) :
Il faut absolument attendre le résultat de l’INR pour décider de la réalisation d’une thrombolyse IV : un INR > 1,7 contre-indiquerait une thrombolyse IV, mais celle-ci serait recommandée si l’INR est < 1,7.
Dans tous les cas (thrombolyse IV ou non), un geste de thrombectomie mécanique complémentaire est indiqué compte tenu de la présence d’une occlusion artérielle proximale de l’ACM, et il faut donc organiser immédiatement un transfert vers un autre centre car la salle d’artériographie sur place n’est pas disponible.
En cas de thrombolyse et/ou thrombectomie, ne pas administrer d’autre traitement antithrombotique dans les 24 premières heures.
Le laboratoire vous appelle cinq minutes plus tard : l’INR est à 1,2.
Question 12: Que faites-vous ?
Pas mis, zéro
Zéro à la question
Zéro à la question
INR < 1,7, donc indication formelle à une thrombolyse intraveineuse. Transfert immédiat pour un geste endovasculaire associé (thrombectomie mécanique), sans attendre une éventuelle efficacité clinique de la thrombolyse IV.
Pas d’indication chirurgicale. Pas d’indication à une administration de PPSB ou vitamine K (pas de surdosage en AVK).
Le patient est traité par thrombolyse intraveineuse puis thrombectomie mécanique, permettant une recanalisation à H+5 du début des symptômes. Le score NIHSS est à 7 à H+12.
À H+18, l’infirmière vous appelle car le patient vient de présenter une crise épileptique généralisée alors qu’elle prenait sa tension. Au décours de la crise, qui a duré environ trois minutes, le déficit neurologique s’est aggravé : score NIHSS à 19 (hémiplégie droite, mutisme).
Les constantes sont les suivantes : TA 180/83 ; FC 100 batt/min ; SpO2 95 % en AA ; glycémie 2 mmol/L.
Question 13: Que faites-vous ?
Crise épileptique dans un contexte d’hypoglycémie (2 mmol/L) : resucrage en urgence. Pas d’indication à une imagerie cérébrale ni à l’administration de clonazépam car la cause de cette crise épileptique est évidente (infarctus cérébral récent, facteur métabolique déclenchant avec l’hypoglycémie). L’aggravation du déficit neurologique est classique après une crise épileptique survenant sur une lésion cérébrale, et est le plus souvent transitoire.
Vous re-sucrez le patient, et son état clinique s’améliore en quelques heures. À 24 heures, son score NIHSS est à 6 (parésie à prédominance brachiofaciale droite, manque du mot).
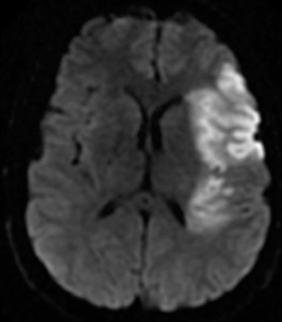
Ci-joint une coupe de l’IRM cérébrale réalisée à 24 heures. La séquence T2* est normale.
Question 14: Quel traitement antithrombotique prescrivez-vous pour les premiers jours ?
Zéro à la question
Zéro à la question
Zéro à la question
Indication théorique à une anticoagulation efficace compte tenu de l’ACFA, mais celle-ci est contre-indiquée dans les premiers jours en raison du risque important de transformation hémorragique (infarctus cérébral constitué, de taille conséquence sur la séquence de diffusion présentée).
Il faut donc prescrire de l’aspirine (diminue le risque de récidive, même si nettement moins efficace que les anticoagulants dans cette indication) et une HBPM préventive (prévention de la phlébite).
Le traitement anticoagulant devra être débuté un peu plus à distance, une fois que le risque de transformation hémorragique aura diminué (pas de consensus, en général 10-15 jours plus tard).
L’évolution clinique est finalement favorable, et le patient est transféré dans un centre de rééducation. Vous le revoyez quelques semaines plus tard en consultation.
L’échographie-doppler des troncs supra-aortiques montre une sténose athéromateuse évaluée à 50 % de la carotide interne droite, et 30 % de la carotide interne gauche. L’échographie cardiaque montre une dilatation modérée de l’oreillette gauche. Glycémie à jeun à 0,9 g/L. Plusieurs ECG ont révélé un tracé identique à celui montré précédemment.
Un scanner cérébral de contrôle réalisé quelques jours plus tôt montre une hypodensité séquellaire dans le territoire sylvien gauche.
Question 15: Quel(s) traitement(s) est(sont) nécessaire(s) à ce stade ?
Indication à un traitement par anticoagulant oral direct car échec des AVK. Pas d’indication à associer de l’Aspegic, malgré les sténoses carotidiennes (majore le risque hémorragique, sans bénéfice démontré sur la prévention des événements ischémiques).
Pas d’indication à une endartériectomie carotidienne gauche car sténose très modérée (30 %). Pas d’indication à une endartériectomie carotidienne droite malgré la sténose à 50 %, car sténose asymptomatique. Pour rappel : la seule indication démontrée d’endartériectomie carotidienne est une sténose serrée (> 70 %) symptomatique (= AIT ou AIC récent).

Exercez-vous aux ECN avec les dossiers progressifs et les LCA de La Revue du Praticien