Interne en médecine, vous prenez en charge Mme B. patiente de 45 ans, originaire du Maroc. Elle présente une distension abdominale associée à des douleurs abdominales diffuses depuis un peu plus de 3 semaines. Ses principaux antécédents sont une hypertension artérielle, une appendicectomie, une fracture bimalléolaire, un carcinome mammaire in situ traité par chirurgie et radiothérapie il y a 10 ans. Son traitement comprend : bisoprolol et hydrochlorothiazide. Elle pèse 55 kg pour 165 cm.
L’auscultation cardiopulmonaire est normale, l’abdomen est pléthorique et tendu.
Question 1 : Vous évoquez comme hypothèses :
À confirmer par un arrêt des matières et des gaz
Oui, patiente a priori réglée
Non, IMC = 20
Vous retrouvez de nombreux bruits hydro-aériques, la patiente a eu des gaz ce matin et quelques selles hier soir, vous percevez une matité déclive des flancs. Il n’y a pas d’ictère cutanéo-muqueux, pas de signe fonctionnel urinaire, pas de douleur ni de masse hypogastrique.
Question 2 : À ce stade, vous retenez comme hypothèses :
Transit conservé
Peu probable devant l’absence de signes fonctionnels urinaires (SFU). En cas d’ascite, faible valeur prédictive positive du « bladder scanner »
Mme B. vous remet le compte-rendu d’une échographie qu’elle a passée la semaine passée. L’examinateur conclut à un foie dysmorphique avec présence d’une ascite abdominale, sans inversion du flux portal. De plus, elle vous remet sa dernière prise de sang : Hb = 10,5 g/dL ; VGM = 82 fL ; CCMH = 32 UI/L ; plaquettes = 450 G/L ; leucocytes = 9,5 G/L ; PNN = 8,0 G/L ; Na = 140 mmol ; K+ = 4,0 mmol ; créatinine = 65 µmol/L ; ASAT = 24 UI/L ( 31 UI/L) ; ALAT = 28 UI/L ( 32 UI/L) ; PAL = 77 UI/L ( 125 UI/L) ; GGT = 35 UI/L ( 55 UI/L) ; bilirubine totale = 4 µmol/L (5-18 µmol/L) ; TP = 76 % ; bêta-hCG négatives ; albumine = 35 g/L ; ferritine = 500 µg/L.
Question 3 : À propos de cette ascite, vous éliminez comme hypothèse(s) :
Bilan hépatique et TP normaux ; absence d’encéphalopathie
Bêta-hCG négatives, pas de contexte de prééclampsie
Vous complétez votre bilan par une électrophorèse des protéines sériques à la recherche d’une cirrhose.
Question 4 : Vous recherchez comme anomalie(s) :
Non, signe une gammapathie monoclonale
Traduit l’augmentation des IgA sériques
Traduit l’insuffisance hépatocellulaire, mais n’est pas spécifique de la cirrhose
Les résultats de la ponction d’ascite sont les suivants :
Biochimie : protides = 39 g/L.
Examen bactériologique : éléments = 160/mm3 dont 12 % de polynucléaires neutrophiles (PNN), hématies = 5/mm3, pas de germe visible à l’examen direct.
Question 5 : Ces résultats sont compatibles avec :
Il n’y a pas assez d’éléments, et la formule n’est pas à prédominance de neutrophiles. Pour avoir une infection du liquide d’ascite il aurait fallu un minimum de 250 PNN/mm3.
À noter : l’absence de germe à l’examen direct n’élimine pas une infection du liquide d’ascite
La cirrhose décompensée aurait donné un transsudat (protides 30 g/L)
À évoquer à titre systématique devant toute ascite exsudative, d’autant plus avec l’origine marocaine de la patiente
Le liquide aurait été blanc laiteux et non citrin comme sur l’iconographie
À évoquer à titre systématique devant toute ascite exsudative
Devant une ascite exsudative (protides > 30 g/L), les principales étiologies à évoquer sont infectieuses (tuberculose), pancréatiques ou néoplasiques (carcinose péritonéale, sarcomatose péritonéale).
Devant un transsudat, la première étiologie à évoquer est une cirrhose, ou un bloc supra-hépatique (maladie veino-occlusive et syndrome de Budd-Chiari).
Le résultat de l’examen cytologique retrouve des hématies avec des éléments figurés du sang, associés à des amas cellulaires compatibles avec un adénocarcinome.
Question 6 : Vous envisagez comme tumeur primitive probable :
Aurait donné un carcinome de type urothélial. De plus, des métastases sont très rarement présentes dans le péritoine
Aurait donné un carcinome de type épidermoïde
Les cancers du sein de type lobulaire peuvent donner des métastases ovariennes avec dissémination péritonéale secondaire
Vous recherchez d’autres éléments cliniques afin de déterminer la tumeur primitive à l’origine de cette carcinose péritonéale.
Question 7 : Les éléments cliniques et paracliniques suivants permettent de vous orienter :
En faveur d’une origine digestive
Non, toute masse péritonéale peut métastaser au foie
Oui, en faveur d’une origine gynécologique (endomètre, col)
Toute atteinte péritonéale peut faire augmenter le CA 125. L’interprétation du rapport CA 125/ACE peut augmenter la spécificité des marqueurs tumoraux, une élévation importante de l’ACE isolée orientant vers une origine mammaire ou digestive… Le CA 125 est avant tout un bon reflet de la masse tumorale et intéressant pour le suivie des patientes en cours de traitement.
Non, syndrome impliquant aussi bien des tumeurs digestives (côlon) que gynécologiques (ovaire)
Les deux classes étiologiques de carcinoses péritonéales les plus fréquentes sont les tumeurs digestives (côlon, pancréas, estomac, carcinome hépatocellulaire [CHC]…) puis les tumeurs gynécologiques (ovaire, endomètre, col). Leurs profils de sensibilité aux traitements du cancer sont différents, il est donc crucial de déterminer l’origine tumorale de la carcinose péritonéale.
Le scanner thoraco-abdomino-pelvien retrouve une ascite abdominale sans autre anomalie, en particulier pas de nodule pulmonaire ou hépatique. La colonoscopie est complète et ne retrouve pas d’anomalie. Le CA 125 est significativement élevé (400 UI/L), le CA 15-3, le CA 19-9 et l’ACE ne sont pas significativement élevés.
Question 8 : Dès lors, vous réalisez comme exploration(s) complémentaire(s) :
Plus sensible que le scanner pour détecter les nodules de carcinose péritonéale. Cependant ne permet pas de juger de la résécabilité de la maladie tumorale, ce n’est donc pas l’examen de référence
Pas en première intention, les tumeurs de l’ovaire ne font pas partie des tumeurs ostéophiles
Idem que pour l’IRM
Pas à titre systématique, uniquement si point d’appel neurologique
Permet de réaliser des biopsies d’éventuels nodules de carcinose, de faire le bilan d’extension (stadification FIGO) et d’évaluer la résécabilité de la carcinose péritonéale
L’exploration chirurgicale est indispensable dans cette situation, d’autant plus avec un CA 125 orientant vers une origine ovarienne ou péritonéale primitive. C’est le seul examen qui permet de juger de la résécabilité de la maladie tumorale et qui impactera la prise en charge thérapeutique chez une patiente opérable (état général et comorbidités compatibles avec une chirurgie de cytoréduction).
Vous faites réaliser une exploration chirurgicale par voie laparoscopique. Celle-ci retrouve une carcinose péritonéale diffuse, avec de nombreuses adhérences, empêchant de réaliser une exploration complète. Le chirurgien classe la maladie en stade IIIC de la classification de FIGO. L’examen anatomo-pathologique définitif conclut à une tumeur mucineuse de haut grade d’origine ovarienne.
L’état général de Mme B. est évalué à 1 selon le statut de performance de l’Organisation mondiale de la santé. Vous discutez du dossier en réunion de concertation pluridisciplinaire (RCP).
Question 9 : Vous envisagez comme stratégie thérapeutique :
La radiothérapie n’a pas sa place dans le traitement des tumeurs de l’ovaire
Non, patiente en bon état général
Ici, la carcinose péritonéale n’est pas explorable en totalité, laissant très fortement suggérer que la maladie n’est pas résécable en totalité, ce qui est l’objectif à atteindre chez cette patiente pour obtenir une rémission. On choisira donc la stratégie C, chimiothérapie néo-adjuvante puis chirurgie de cytoréduction maximale.
Dans le cadre des carcinoses péritonéales d’origine ovarienne, lorsque l’évaluation laparoscopique est en faveur d’une maladie résécable, l’option D peut être proposée en première intention (chirurgie première) en alternative à l’option C.
NB : le traitement des tumeurs de l’ovaire n’est pas à connaître à proprement parler, mais des questions de « bon sens » peuvent être posées sur la compréhension de la maladie, avec un tableau clinique franc comme ici.
La RCP propose une chimiothérapie première par carboplatine-paclitaxel (Taxol). En consultation d’annonce, vous prévenez Mme B. des effets secondaires fréquents sous cette association.
Question 10 : Ces effets sont :
Due au Taxol
Due au Taxol principalement, dans une moindre mesure au carboplatine
Non, c’est le cisplatine et non le carboplatine qui est néphrotoxique
Il s’agit d’une toxicité commune aux chimiothérapies, relativement fréquente avec ces 2 traitements
Les grands pourvoyeurs de pneumopathies médicamenteuses sont la Bléomycine, et dans une moindre mesure l’Erbitux et les inhibiteurs des check-points immunitaires (immnothérapies)
Vous revoyez Mme B. 2 mois plus tard à sa demande. Elle a déjà reçu 3 cures de Carbo-Taxol, la dernière injection a eu lieu il y a 5 jours. Elle présente depuis des vomissements qu’elle n’arrive pas à soulager malgré vos prescriptions. Ses douleurs abdominales sont partiellement soulagées par la prise de Skenan et d’Actiskenan.
Question 11 : Vous envisagez les diagnostics de :
Les vomissements anticipatoires sont des vomissements qui surviennent dans les 24 heures avant la cure de chimiothérapie
Non, la temporalité n’est pas compatible avec cette hypothèse (aurait dû survenir dans les 2 heures après l’administration du traitement pour être plausible)
Attention à ne pas faire une démarche diagnostique trop rapide chez un patient en cours de chimiothérapie. L’effet secondaire de la chimiothérapie est un diagnostic d’élimination, au risque de méconnaître d’autres complications liées aux comorbidités ou au syndrome tumoral.
Vous approfondissez votre examen.
Mme B. présente également des douleurs abdominales diffuses. Les vomissements étaient initialement alimentaires, puis bilieux, puis fécaloïdes.
Ses paramètres vitaux sont les suivants : TA = 110/70 mmHg ; FC = 105 bpm ; SaO2 = 95 % ; T° = 37,7 °C.
La palpation de l’abdomen est douloureuse dans son ensemble, il n’y a pas de défense, les aires herniaires sont libres, on retrouve une ascite abondante, sans ictère. Pas d’autre anomalie de l’examen clinique en dehors d’un œdème bilatéral des membres inférieurs ne prenant pas le godet. Personne dans l’entourage de Mme B. ne présente de symptomatologie similaire.
Voici les résultats de vos explorations : Hb = 10,2 g/dL ; VGM = 82 fL ; CCMH = 32 UI/L ; plaquettes = 460 G/L ; leucocytes = 9,9 G/L ; PNN = 8,9 G/L ; Na = 140 mmol ; K+ = 3,2 mmol ; Ca = 2,15 mmol/L ; créatinine = 85 µmol/L ; ASAT = 24 UI/L (< 31 UI/L) ; ALAT = 28 UI/L (< 32 UI/L) ; PAL = 77 UI/L (< 125 UI/L) ; GGT = 35 UI/L (< 55 UI/L) ; bilirubine totale = 4 µmol/L (5-18 µmol/L) ; TP = 66 % ; albumine = 30 g/L ; CA 125 = 850 U/L (antériorité à 400 UI/L avant la laparoscopie).
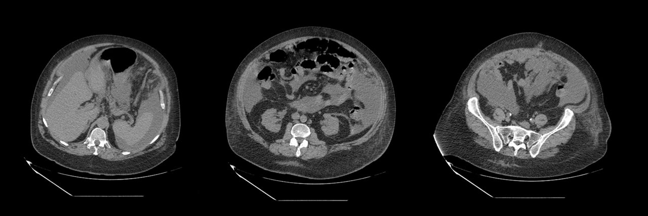
Images clés du scanner :
Question 12 : Vos examens permettent de conclure :
Éliminée par la biologie
Absence de pneumopéritoine
Pas de ponction d’ascite permettant de l’affirmer
NB : l’absence de fièvre n’élimine pas une infection chez un patient cirrhotique
Carcinose péritonéale connue, présence d’ascite au scanner, pas d’autre cause d’occlusion évidente et ascension du CA 125 est faveur d’une progression tumorale
Progression biologique devant une augmentation du marqueur tumoral significative (au moins 30 %)
Question 13 : Vous proposez comme attitude thérapeutique :
Oui, patient en hypokaliémie
Uniquement pour les occlusions sur bride et non compliquées
Dans les occlusions d’origine tumorale afin de lever l’inflammation
Permet de diminuer les sécrétions digestives, l’objectif étant de permettre une reprise du transit et le retrait de la SNG
Ne pas oublier : en pratique clinique, le traitement symptomatique de l’occlusion intestinale aiguë est :
– sonde nasogastrique en aspiration douce ;
– compensation des aspirations volume à volume : risque de déshydratation, d’alcalose métabolique et d’hypokaliémie du fait de l’aspiration des sécrétions gastriques, ce qui implique une quantification des aspirations gastriques ;
– antagiques ;
– pas de traitement par prokinétiques (Primpéran, Plitican) ;
– relais IV des traitements indispensables.
Le traitement spécifique est fonction de l’étiologie. En cas de carcinose péritonéale, s’y ajoutent :
– un traitement par inhibiteurs de la pompe à protons et des antisécrétoires (Scoburen/Scopolamine) ;
– une corticothérapie ;
– en seconde intention des analogues de la Sandostatine.
Et le traitement spécifique : la chimiothérapie.
Par ailleurs, il est nécessaire de prendre un avis pour une éventuelle chirurgie de dérivation digestive si la carcinose est localisée.
Le traitement symptomatique de l’occlusion sur carcinose péritonéale ne permet pas la reprise d’un transit efficace. Mme B. passe la majorité de son temps au lit ou dans son fauteuil.
Question 14 : Du point de vue oncologique, vous proposez de poursuivre la prise en charge par :
Non, car patiente progressive sous chimiothérapie néoadjuvante
Non, car patiente progressive sous cette chimiothérapie
Patiente à l’état général très dégradé (PS3)
Non, pas d’indication dans les cancers de l’ovaire. Indiquée dans le traitement de certaines métastases osseuses
La patiente présente une progression tumorale (voir la question n° 12) malgré une chimiothérapie néoadjuvante par Carboplatine-Taxol.
La maladie n’est pas contrôlée malgré le traitement de référence. Il ne sera donc plus possible de mettre la patiente en rémission par la chirurgie, ni d’espérer obtenir un bénéfice satisfaisant de cette chimiothérapie, d’autant plus que son état général est très dégradé.
À moins d’espérer une réponse rapide (ce qui n’est pas le cas ici), il est déraisonnable de traiter un patient dont l’indice de performance de l’OMS est supérieur à 2.
La fille de Mme B. a entendu parler des mutations BRCA 1 et BRCA 2 et vous demande s’il n’y aurait pas intérêt à les rechercher chez sa maman.
Question 15 : Selon vous, quels éléments justifient la recherche d’une telle mutation ?
Oui, en théorie, mais pas chez cette patiente dont le pronostic est très mauvais
Le syndrome sein-ovaire doit faire évoquer une prédisposition génétique, à savoir une mutation du gène BRCA 1 ou BRCA 2. La présence d’une telle mutation chez la patiente va permettre de réaliser une enquête familiale et de proposer un suivi adapté aux proches de la patiente.
Cette mutation peut aussi donner le droit à une thérapie ciblée anti-PARP chez certains cancers du sein et certains cancers de l’ovaire métastatiques.
Devant un transsudat, la première étiologie à évoquer est une cirrhose, ou un bloc supra-hépatique (maladie veino-occlusive et syndrome de Budd-Chiari).