Il est minuit, vous êtes de garde de pavillon, vous êtes appelé auprès d’une patiente (Mme D.), 72 ans.
Elle présente pour principaux antécédents un diabète non insulino-dépendant bien équilibré et une hypertension artérielle.
Elle est hospitalisée en rhumatologie depuis maintenant six jours pour un tableau d’arthrite septique du genou gauche à staphylocoque, d’évolution favorable.
Elle présente une fébricule à 38 °C ainsi qu’une douleur persistante de la jambe droite depuis le début d’après-midi. Elle se plaint depuis peu d’une dyspnée modérée. Elle ne rapporte pas de douleur thoracique.
Le bilan du jour retrouvait :
– un syndrome inflammatoire en baisse avec une protéine C réactive (CRP) à 40 mg/L et des globules blancs à 11 G/L ;
– hémoglobine à 13,5 g/dL ;
– temps de céphaline activée (TCA) à 32s (témoin à 30s) et taux de prothrombine (TP) à 95 % ;
– natrémie 142 mmol/L, kaliémie 4,2 mmol/L, créatininémie à 70 µmol/L et CKD-EPI à 92 mL/min/1,73 m².
Vous consultez les traitements de la patiente sur le logiciel de prescription :
– Metformine 850 mg matin et soir ;
– Coversyl 5 mg le matin ;
– Amlor 10 mg le soir ;
– Céfazoline 2 g/8 heures ;
– Perfalgan 1 g/6 heures ;
– Contramal 50 mg/6 heures ;
La saturation en O2 est à 89 %, la pression artérielle est à 115/60 mmHg pour une fréquence cardiaque à 89/min. À votre examen clinique, vous retrouvez une jambe droite plus chaude avec un œdème prenant le godet homolatéral.
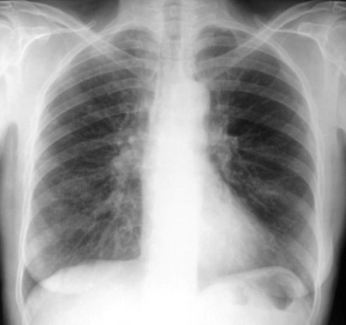
Vous faites réaliser un électrocardiogramme ainsi qu’une radiographie pulmonaire que voici :
Question 1 : Interprétez la radiographie pulmonaire :
Pas d’anomalie parenchymateuse, pas de pneumothorax, pas d’épanchement pleural
Question 2 : Quel autre traitement aurait dû figurer dans les prescriptions de Mme M. ?
Indication d’anticoagulation préventive (Agence française de sécurité sanitaire des produits de santé, 2009) :
– affection médicale aiguë :
- patients de plus de 40 ans
- hospitalisés pour une durée prévue de plus de 3 jours pour :
décompensation cardiaque ou respiratoire aiguë
infection sévère
affection rhumatologique inflammatoire aiguë
affection inflammatoire intestinale (associée à un facteur de risque de maladie thromboembolique veineuse [MTEV], notamment : âge > 75 ans, cancer, antécédent thromboembolique veineux, traitement hormonal, insuffisance cardiaque ou respiratoire chronique, syndrome myéloprolifératif)
– milieu chirurgical et notamment chirurgie orthopédique
– phase aiguë d’accident vasculaire cérébral (AVC) ischémique.
La durée recommandée et de 7 à 14 jours, l’héparine de bas poids moléculaire (HBPM) est la première intention en l’absence de contre-indication
Contexte de syndrome inflammatoire, ils seront certainement augmentés et donc non contributifs
Utile pour la stratification du risque
Utile pour la stratification du risque
Utile pour la stratification du risque
La principale hypothèse à évoquer ici est une thrombose veineuse profonde (TVP) compliquée d’une embolie pulmonaire (EP) :
– patiente > 65 ans ;
– affection médicale aiguë avec alitement supérieur à 3 jours ;
– absence d’anticoagulation préventive ;
– dyspnée, désaturation, tachycardie sinusale en faveur de l’EP et douleur de la jambe évocatrice de TVP ;
– radiographie pulmonaire normale, excluant notamment les diagnostics différentiels :
pas de signe de surcharge,
pas de foyer de pneumopathie,
pas de pleurésie ou pneumothorax.
STRATÉGIE DIAGNOSTIQUE DANS L’EMBOLIE PULMONAIRE
Vous suspectez une embolie pulmonaire.
Vous recommandez donc à l’infirmière de laisser la patiente au lit dans l’attente d’une confirmation de votre diagnostic par angioscanner lors des heures ouvrables. Vous prescrivez une anticoagulation curative par Lovenox 0,6 mL matin et soir dans l’attente, et placez Mme D. sous oxygénothérapie aux lunettes pour un objectif de saturation à 95 %.
Vous êtes rappelé en fin de nuit pour cette même Mme M. Alors qu’elle s’est mise sur le bord du lit, elle a présenté une douleur brutale médio-thoracique suivie d’une dyspnée d’aggravation rapide.
Lorsque vous arrivez la patiente est obnubilée et en sueur.
Vous prenez les constantes rapidement : la pression artérielle est à 70/50 mmHg pour une fréquence cardiaque à 110/min, la saturation est à 79 % et la fréquence respiratoire à 45/min.
Vous notez un tirage intercostal et sus-claviculaire, des marbrures des genoux et des extrémités froides.
La température est à 38,2 °C.
Vous placez la patiente sous masque à haute concentration à 15 L/min permettant d’obtenir une saturation en O2 à 92 %, vous la scopez et vous demandez à l’infirmière de poser une deuxième voie veineuse de bon calibre.
Vous appelez le réanimateur de garde afin de procéder à un transfert en réanimation.
Voici l’électrocardiogramme réalisé :
L’électrocardiogramme permet :
– d’éliminer un syndrome coronaire aigu (SCA) ST+ ou un autre élément étiologique pouvant engendrer un syndrome d’insuffisance cardiaque aiguë (trouble du rythme, par exemple) ;
– la recherche d’argument électrocardiographique pour un cœur pulmonaire aiguë.
Dans le cas présent, aspect évocateur de cœur pulmonaire aigu (CPA) :
– trouble de la repolarisation avec ondes T négatives de V1 à V3 ;
– aspect de S1 et Q3 ;
– tachycardie sinusale.
Vous mutez la patiente en réanimation.
Question 5 : Quel examen réalisez-vous en urgence ?
Recherche de cœur pulmonaire aigu (CPA)
La patiente est ici particulièrement instable sur le plan hémodynamique, un transport au scanner n’est pas envisageable
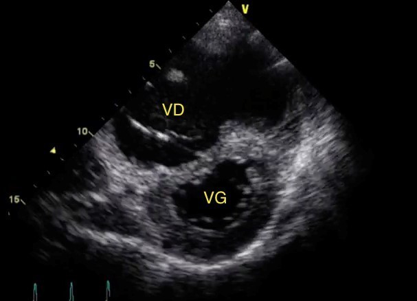
Voici les coupes de l’échographie cardiaque.
Coupe parasternale petit axe :
Coupe apicale 4 cavités :
Coupe parasternale grand axe :
* VD = ventricule droit, VG = ventricule gauche.
Les autres données de l’examen sont : une fonction ventriculaire gauche conservée, un débit cardiaque abaissé, une pression dans l’oreillette droite élevée avec une augmentation des pressions artérielles pulmonaires systoliques.
Question 6 : Votre diagnostic est donc :
Aspect de cœur pulmonaire aigu (CPA)
Pas d’épanchement péricardique sur les coupes d’échocardiographie transthoracique (ETT)
Images évocatrices de CPA.
Caractéristiques d’un CPA :
– augmentation de la pression artérielle pulmonaire systolique (PAPS), évaluée sur l’insuffisance tricuspide ;
– dilatation du ventricule droit (VD) [rapport VD/VG > 0,9] que l’on voit ici ;
– inversion de la courbure septale (bombement septal vers la gauche en proto-diastole) que l’on voit ici ;
– puis dysfonction VD.
Orientation étiologique sur un tableau de détresse respiratoire aiguë (associé à un tableau de choc ici) :
En faveur d’une insuffisance cardiaque gauche :
radiographie thoracique : recherche de signe d’insuffisance cardiaque gauche (surcharge périhilaire, redistribution vasculaire vers les sommets…) ;
ETT :
augmentation des pressions de remplissage du ventricule gauche
cardiopathie explicative : pathologie valvulaire aiguë, dysfonction systolique (d’origine ischémique par exemple), dysfonction diastolique…
estimation du débit cardiaque qui sera abaissé en cas de choc cardiogénique
En faveur d’une EP :
radiographie pulmonaire le plus souvent normale éliminant ainsi les diagnostics différentiels pulmonaire (pneumopathie, pleurésie) et cardiaque
ETT :
signe négatif : pas de dysfonction VG
signe de cœur pulmonaire aiguë :
constant dans le cas d’EP grave
échographie possiblement normale dans les EP à risque intermédiaire ou bas
En faveur d’une cause pulmonaire :
radiographie :
foyer de pneumopathie ?
pneumothorax ?
épanchement pleural
ETT :
pas de cardiopathie gauche
pressions de remplissage du ventricule gauche normales
Question 7 : Parmi les examens biologiques suivants, lesquels réaliseriez-vous ?
Tableau de choc obstructif. Les examens servent ici à quantifier le retentissement de l’état de choc et à suivre l’efficacité des différentes thérapeutiques.
L’état de choc est un état d’insuffisance circulatoire aiguë entraînant une hypoxie tissulaire à l’origine d’une souffrance des différents organes (foie et rein notamment) qu’il faut quantifier et suivre.
Les gaz du sang sont le reflet de cette hypoxie tissulaire avec un fonctionnement en anaérobiose à l’origine d’une acidose lactique. Le pH et les lactates sont un bon critère pronostique et de suivi.
Les D-dimères n’ont pas d’intérêt puisque le diagnostic est ici échographique, et n’ont pas de place dans l’EP grave.
La biologie d’entrée retrouve :
– GDS : pH = 7,15 ; pCO2 = 30 mmHg ; pO2 = 65 mmHg ; bicarbonates = 8 mmol/L ;
– ASAT 350 UI (norme < 30 UI) ; ALAT 230 UI (norme < 25 UI) ; bilirubine totale à 42 µmol/L (norme < 17 µmol/L) ;
– créatininémie à 140 mmol/L et urée à 18 mmol/L ;
– taux de prothrombine (TP) à 80 % et temps de céphaline activée (TCA) normal.
Avant d’instaurer votre traitement vous reprenez le dossier :
– la patiente ne présente pas d’allergie ;
– ses antécédents sont une hypertension artérielle, un diabète non insulinodépendant, une appendicectomie dans l’enfance. Il n’y a pas d’autres antécédents.
Question 8 : Quels traitements mettez-vous en place en première intention ?
Prise en charge d’une EP grave :
– unité de soins intensifs cardiologiques (USIC) ;
– ou réanimation/monitorage.
Traitement d’une EP grave :
– fibrinolyse systémique (100 mg de rtPA en 2 heures ou 0,6 mg/kg en 15 minutes) ;
– associé à un traitement anticoagulant par HNF au PSE.
Traitement symptomatique associé :
– oxygénothérapie, ventilation mécanique uniquement si hypoxémie réfractaire ;
– expansion volémique modérée (en général 500 mL) ;
– dobutamine +/- noradrénaline si hypotension persistante.
Question 9 : Comment interprétez-vous la gazométrie dans ce contexte ?
PaO2 70 mmHg
PaO2 + PCO2 120 mmHg
Non, shunt en lien avec l’hyperdébit pulmonaire réactionnel. Un shunt vrai ne répondrait pas à l’oxygénothérapie.
Bicarbonates bas = témoins du caractère métabolique. PaCO2 basse = compensation respiratoire (insuffisante ici)
Effet shunt : hypoxémie + hypocapnie.
Acidose non compensée (pH : 7,15) métabolique (bicarbonates effondrés, PaCO2 non augmentée).
Question 10 : Quel est le principal facteur explicatif cette acidose métabolique ?
Expliquée par l’acidose lactique secondaire à l’hypoxie tissulaire dans ce contexte d’état de choc.
Cette acidose lactique est également potentialisée par la prise de metformine.
Question 11 : Comment adaptez-vous les thérapeutiques de votre patiente en réanimation ?
Arrêt de la metformine et contrôle glycémique par insulin
Arrêt des IEC. Leur effet hypotenseur est néfaste dans un contexte d’état de choc
Arrêt de tout traitement hypotenseur dans un contexte d’état de choc
Il n’y a pas de raison d’arrêter l’antibiothérapie ici, celle-ci doit être menée à son terme
La patiente nécessite une intubation à la phase initiale, ainsi qu’un support par amines (dobutamine et noradrénaline). Elle est fibrinolysée par Actilyse et bénéficie d’une anticoagulation par héparine non fractionnée (HNF) au pousse-seringue électrique (PSE).
Vous arrêtez la metformine que vous relayez par insuline. Les IEC et l’Amlor sont stoppés.
L’évolution est finalement favorable après la thrombolyse intraveineuse. Il n’y a pas eu de complication hémorragique. La patiente est rapidement extubée et l’hémodynamique reste stable. La fonction rénale et la gazométrie sont normalisées.
Elle est transférée à J8 vers un service de cardiologie conventionnel pour la suite de la prise en charge.
Question 12 : Vous décidez d’introduire une anticoagulation avant la sortie de la patiente, quelles sont les possibilités ?
Durée de 3 mois
Les anticoagulants oraux directs s’utilisent seuls. Il n’y a pas de relais AVK
TRAITEMENT DE L’EMBOLIE PULMONAIRE :
anticoagulation curative par HBPM par voie sous-cutanée ou Fondaparinux IV avec relais AVK précoce (dans les 24 heures), objectif INR 2-3
anticoagulant orale direct : per os sans relais AVK
rivaroxaban (Xarelto)
apixaban (Eliquis)
La fonction rénale est bonne. Il n’y a donc pas d’indication à utiliser les HNF qui sont plus à risque de thrombopénie induite par l’héparine (TIH) et dont le maniement est plus compliqué (PSE pour l’héparine sodique, monitorage du TCA).
On est en présence d’un premier épisode de thrombose veineuse profonde (TVP) proximale ou d’EP déclenchée par un facteur transitoire majeur (= MTEV provoquée). Aucun examen complémentaire à visée étiologique n’est nécessaire. Pour rappel, MTEV provoquée :
Pour rappel, devant une MTEV spontanée, il faut rechercher à l’examen clinique et avec des examens biologiques simples (antigène prostatique spécifique [PSA] pour l’homme, Hemoccult, numération formule sanguine [NFS], protéine C réactive [CRP]) des arguments pour un cancer. Chez les sujets jeunes, la recherche d’une thrombophilie peut se discuter.
Vous placez la patiente sous rivaroxaban (Xarelto) : 15 mg matin et soir pendant 3 semaines puis 20 mg par jour en une prise.
Le jour de sa sortie, Mme D. présente une douleur au niveau de la fosse iliaque gauche associée à une douleur de la face antérieure de la cuisse gauche. À l’examen, vous retrouvez une pression artérielle à 105/65 mmHg et une fréquence cardiaque à 105/min.
Le bilan biologique retrouve :
– hémoglobine à 8,9 g/dL, plaquettes à 200 G/L ;
– TP à 62 %, TCA à 38s ;
– CRP à 30 mg/L.
Question 14 : Quelle est votre attitude ?
Tableau de déglobulisation + cruralgie L4 (douleur de la face antérieure de la cuisse gauche) et douleur de la fosse iliaque gauche.
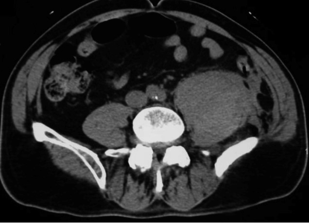
Il faut éliminer un hématome profond et notamment un hématome du psoas.
Vous retrouvez effectivement un hématome du psoas avec un blush au temps artériel. La patiente est tachycarde et hypotendue.
Voici le scanner :
Question 15 : Quelle est votre prise en charge ?
Non, utile pour l’antagonisation des HNF
Tableau de choc hémorragique sur un hématome spontané du psoas à gauche chez un patient sous anticoagulant oral direct (AOD).
Prise en charge :
– transfert en unité de soins continus (USC) ou réanimation/monitorage cardiotensionnel
– symptomatique du choc hémorragique :
arrêt de l’AOD
remplissage
transfusion (CGR)
PPSB = complexe prothrombinique : Octaplex, par exemple (500 UI/20 mL, 25 UI/kg) –> 80 kg : 40 mL
– traitement de la cause :
ici blush au temps artériel sur le scanner –> radio-embolisation
– surveillance hémoglobine
– problématique de la reprise du traitement anticoagulant : il n’y a pas de consensus. Il s’agit d’une EP grave récente, il faudra reprendre le traitement dès que le saignement est
contrôlé. En cas de contre-indication à la reprise du traitement (fort risque de récidive du saignement), on peut discuter l’implantation d’un filtre cave.
– affection médicale aiguë :
- patients de plus de 40 ans
- hospitalisés pour une durée prévue de plus de 3 jours pour :
décompensation cardiaque ou respiratoire aiguë
infection sévère
affection rhumatologique inflammatoire aiguë
affection inflammatoire intestinale (associée à un facteur de risque de maladie thromboembolique veineuse [MTEV], notamment : âge > 75 ans, cancer, antécédent thromboembolique veineux, traitement hormonal, insuffisance cardiaque ou respiratoire chronique, syndrome myéloprolifératif)
– milieu chirurgical et notamment chirurgie orthopédique
– phase aiguë d’accident vasculaire cérébral (AVC) ischémique.
La durée recommandée et de 7 à 14 jours, l’héparine de bas poids moléculaire (HBPM) est la première intention en l’absence de contre-indication