Le SAMU vous contacte pour un homme de 45 ans, sans antécédent connu, qui présente un déficit neurologique focal brutal à type de déficit brachio-facial gauche apparu il y a 3 h 30.
Question 1 : Vos premières hypothèses diagnostiques sont :
Pas de notion de signes méningés (céphalées, raideur de nuque et vomissement). L’apparition brutale de la symptomatologie n’est pas non plus en faveur. Par ailleurs, en l’absence d’encéphalite associée, la présence de déficit neurologique n’est pas expliquée par une méningite.
La persistance des symptômes pendant plus d’une heure exclut ce diagnostic
L’absence de céphalées explosive rend ce diagnostic moins probable. La présence de déficit neurologique est possible, en particulier en cas d’hémorragie méningée associée à un hématome intra-parenchymateux
Tout déficit neurologique focal brutal doit faire évoquer le diagnostic d’AVC, et ce d’autant plus que les délais de thrombolyse ne sont pas dépassés.
L’apparition brutale des symptômes n’est pas en faveur. L’AVC est le premier diagnostic à évoquer.
Les AVC regroupent les ischémies cérébrales artérielles +/- constituées, les hémorragies cérébrales, les thromboses veineuses cérébrales. À ce stade, en dehors de la persistance des symptômes permettant d’exclure un accident ischémique transitoire, il n’est pas possible de trancher entre ces différentes pathologies. Le terrain (cardiopathie emboligène pour l’ischémie, coagulopathie pour la thrombose veineuse), la clinique (déficit neurologique correspondant à un territoire artériel pour l’ischémie, signe d’hypertension intracrânienne pour l’hémorragie) peuvent néanmoins orienter la suspicion.
Le patient est amené par le SAMU dans un stroke center pour suspicion d’accident vasculaire cérébral afin de réaliser une imagerie par résonance magnétique (IRM) cérébrale en urgence.
Aucune contre-indication à l’IRM n’est retrouvée.
Question 2 : En attendant que votre patient soit installé pour l’IRM, vous :
Poser une voie veineuse permettra notamment l’injection du produit thrombolytique immédiatement après l’IRM en cas d’AVC ischémique non constitué. Elle peut se faire durant l’évaluation neurologique. Le bilan biologique est à prélever dès que possible. Ne pas injecter de médicaments antiagrégants et encore moins anticoagulants tant que le diagnostic d’ischémie n’a pas été objectivé.
Poser une voie veineuse permettra notamment l’injection du produit thrombolytique immédiatement après l’IRM en cas d’AVC ischémique non constitué. Elle peut se faire durant l’évaluation neurologique. Le bilan biologique est à prélever dès que possible. Ne pas injecter de médicaments antiagrégants et encore moins anticoagulants tant que le diagnostic d’ischémie n’a pas été objectivé.
Question 3 : Votre protocole d’IRM est : 
La suppression du signal de la graisse (T1 FAT-SAT) ne présente aucun intérêt dans le diagnostic d’AVC ischémique ou hémorragique.
La diffusion est LA séquence indispensable pour détecter l’ischémie aiguë.
Le T2* est nécessaire afin d’éliminer un saignement (l’hématome intra-parenchymateux étant le principal diagnostic différentiel de l’ischémie cérébral en cas de déficit neurologique focal brutal) .
L’ARM des troncs supra-aortiques n’est pas réalisé systématiquement lors d’une alerte thrombolyse. Il est en revanche plus couramment réalisé d’emblée en cas d’accident ischémique transitoire récent ( 24 h).
L’IRM est l’examen clé du diagnostic d’un AVC. « Les patients ayant des signes évocateurs d’un AVC doivent avoir très rapidement une imagerie cérébrale, autant que possible par IRM ». Recommandations de la Haute Autorité de santé, 2009.
L’IRM est plus sensible que le scanner pour détecter l’ischémie grâce à la séquence de diffusion (à partir de la première heure.) Elle permet, en outre, une datation du début de l’ischémie par la séquence T2/FLAIR (l’ischémie constituée apparaît en hypersignal à partir de la sixième heure), et de rechercher un sténose ou thrombose artérielle grâce à l’angio-IRM (ARM) du polygone de Willis. La séquence T2* permet la visualisation d’un saignement qui apparaît en hyposignal, sauf si le saignement est hyperaigu (< 1 h), auquel cas le saignement présente un signal liquidien pur.
Contrairement à l’ARM des troncs supra-aortiques (TSA), l’ARM TOF des artères du polygone des Willis ne nécessite pas d’injection de chélates de gadolinium.
Pour aller plus loin : la séquence T2* peut parfois permettre de visualiser le thrombus artériel (hyposignal intravasculaire ; et ce d’autant plus que le thrombus est proximal, et donc volumineux).

La séquence Flair permet des signes de ralentissement circulatoire dans le territoire ischémié, sous la forme de flux lents (hypersignaux des artères dans les espaces méningés). 
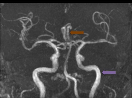
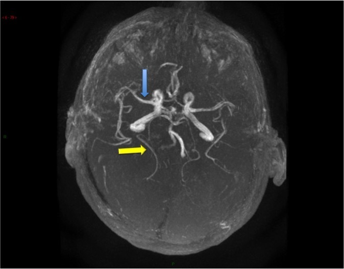
Voici l’angiographie par résonance magnétique (ARM) du polygone de Willis réalisée chez ce patient.
Question 4 : Concernant les structures légendées, quelles sont la/les proposition(s) exacte(s) ?
Artère cérébrale moyenne également appelée artère sylvienne.
Artère cérébrale antérieure gauche, naissant (hors variante anatomique) de la terminaison de la carotide interne homolatérale. Les deux artères cérébrales antérieures communiquent par une artère communicante antérieure dont la naissance est située à l’union de leurs deux premiers segments.
Artère cérébrale postérieure droite. Celles naissent du tronc basilaire communiquent avec le système carotidien via les artères communicantes postérieures (une de chaque côté).
Tronc basilaire, formé par l’union des deux artères vertébrales en intracrânien
Artère carotide interne gauche. La division de l’artère carotide commune en artère carotide interne et externe est située en extracrânien à hauteur de C4.
À noter que le polygone de Willis peut présenter de nombreuses variantes anatomiques qui peuvent avoir une répercussion en cas de pathologie artérielle (présence ou absence de suppléance via les anastomoses entre les systèmes carotidiens d’une part, carotidien et vertébro-basilaire d’autre part).
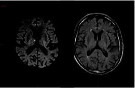
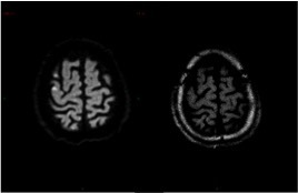
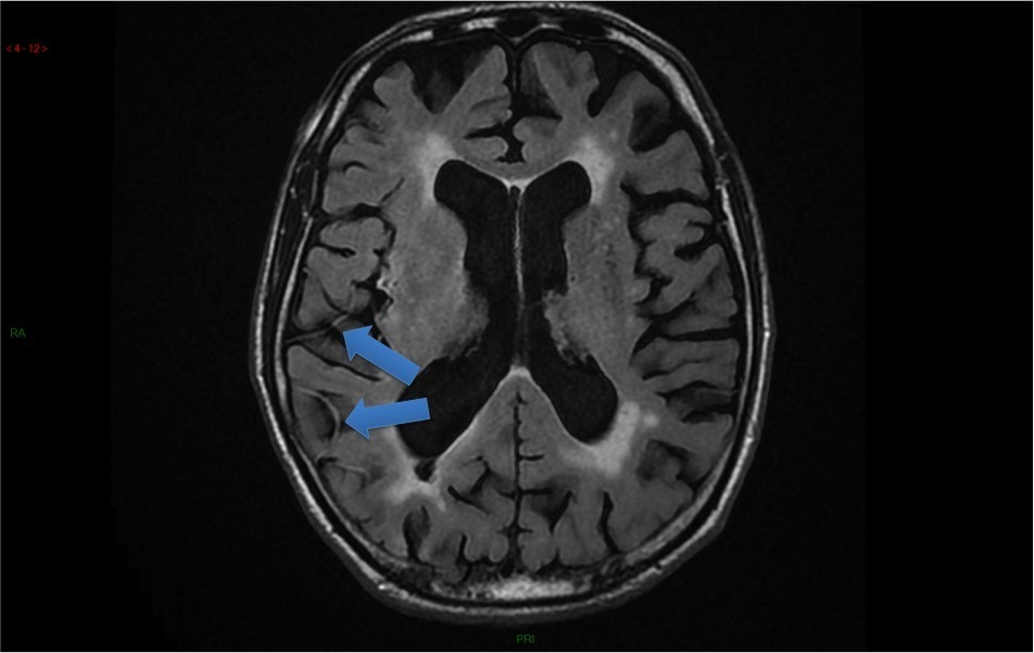
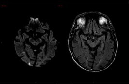
Ci-dessous des coupes axiales Diffusion et Flair de l’IRM cérébrale. La séquence T2* ne présente pas d’anomalie.
Question 5 : Après analyse de cette IRM, votre diagnostic est :
La séquence T2* et l’absence d’anomalie franche de signal Flair permettent d’éliminer ce diagnostic
Topographie des lésions et restriction de la diffusion non évocatrices
Hypersignaux diffusion à la limite de la visibilité en Flair.
Hypersignaux diffusion, sans anomalie franche de signal Flair ni perte de substance éliminant ce diagnostic
Les anomalies de signal sont intra-parenchymateuses et non sous-arachnoïdiennes. Par ailleurs, une hémorragie méningée aurait une traduction en Flair (hypersignal) et T2* (hyposignal).
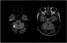
L’IRM montre de multiples AVC ischémiques aigus (i. e.  6 heures), corticaux et sous-corticaux, dans des territoires artériels différents.
Au décours de l’IRM, alors que vous réexaminez le patient, celui vous indique présenter des douleurs thoraciques interscapulaires intenses apparues le même jour.
Question 6 : Votre attitude :
L’association de douleurs thoraciques aigues avec un déficit neurologique focal brutal, d’autant plus que l’AVC ischémique a été objectivé, doit faire évoquer une dissection aortique avec extension aux troncs supra-aortiques, ce qui constitue une urgence vitale. L’examen de choix est le scanner thoraco-abdomino-pelvien. Il doit être réalisé au plus vite sans attendre les résultats du bilan biologique (notamment la fonction rénale). Il n’est pas question d’injecter un produit thrombolytique du fait du risque hémorragique majeur que constitue une dissection aortique.
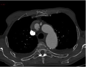
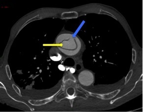
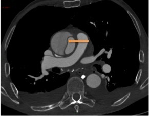
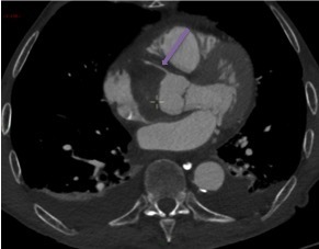
Un angioscanner thoraco-abdomino-pelvien est donc réalisé. Les Figures 11, 12, 13, 14 et 15 présentent des reformations axiales issues de celui-ci.
Question 7 : Concernant les structures légendées, quelles sont la/les proposition(s) exacte(s) ?
Vrai chenal
Déchirure intimale, qui constitue la porte d’entrée de la dissection.
Artère carotide commune droite
Artère coronaire droite naissant du sinus de Vasalva
Visualisation de la déchirure intimale d’où nait le faux chenal, dans lequel la déchirure est éversée, au niveau de l’aorte ascendante, avec un flap intimal étendu au tronc artériel brachio-céphalique, à la carotide commune droite et à la carotide commune gauche. En revanche absence d’extension au sinus de Vasalva, à la coronaire droite.
Question 8 : Après analyse de ce scanner, votre diagnostic est :
La rupture de l’isthme aortique survient au décours d’un traumatisme à haute cinétique avec décélération brutale ou compression thoracique.
Dissection aortique avec atteinte de l’aorte ascendante, peu importe la porte d’entrée de la dissection.
Dissection aortique avec atteinte uniquement de l’aorte descendante, la porte d’entrée de la dissection devant se situer après l’ostium de l’artère sous-clavière gauche.
L’hématome de paroi aortique ne présente pas de déchirure intimale. Il peut correspondre à l’état précédant cette déchirure : les vasa vasorum se rompent et saignent dans la paroi de l’aorte. L’hématome formé peut rester en l’état ou se rompre à l’extérieur de l’aorte, ou dans l’aorte réalisant un équivalent de dissection aortique.
Secondaire à l’ulcération d’une plaque athéromateuse, pouvant conduire à un hématome de paroi ou une rupture. L’absence d’athérome et la présence d’un flap intimal excluent ce diagnostic.
Dissection aortique de type A selon Stanford avec porte d’entrée de l’aorte ascendante en amont du tronc artériel brachio-céphalique et extension aux troncs artériels supra-aortiques. Pas d’extension au sinus de Vasalva, aux coronaires ni à l’aorte descendante. Pas de signe de rupture intra-péricardique ou intra-médiastinale.
La présence d’un flap intimal est pathognomique de la dissection aortique.
Question 9 : Quel est selon vous le mécanisme des Accidents Vasculaires Cérébraux du patient ?
La multiplicité des territoires artériels et l’atteinte distale (corticale) est en faveur d’une origine embolique et non thombotique.
Le mécanisme hémodynamique donne des infarctus jonctionnels par atteinte des « derniers prés ». Celui est présent dans les dissections isolées des troncs supra-aortiques pour laquelle la lésion élémentaire est différente (hématome de la paroi artérielle et non déchirure intimale comme dans les dissections aortiques.)
Par ailleurs le TOF du polygone de Willis était normal, excluant un vasospasme (qui intervient le plus souvent au décours d’une hémorragie méningée), et une extension intracrânienne des dissections (rarissime).
Le patient est transféré en urgence au bloc opératoire. Une chirurgie de l’aorte est réalisée en urgence. 72 heures après la chirurgie, et après arrêt des sédations, le patient ne se réveille pas.
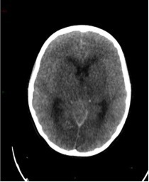
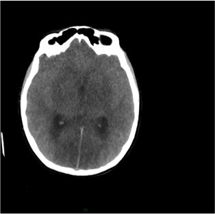
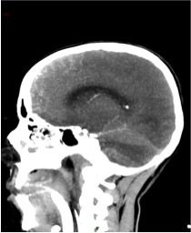
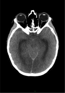
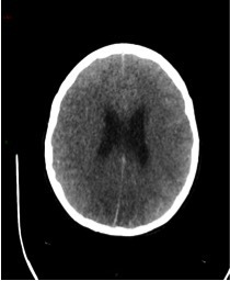
Un scanner cérébral sans injection est réalisé. Les reformations axiales vous sont présentées.
Question 10 : Ce scanner présente :
Les espaces sous sous-arachnoidiens ne sont plus visibles. Ne pas confondre la substance grise qui arrive au contact des os du crâne, avec une hyperdensité spontanée méningée.
Le volume des ventricules paraît faussement augmenté du fait de l’effacement diffus des sillons corticaux.
Qui traduit une augmentation du volume cérébral.
Les sinus veineux sont normalement hyperdenses sans argument pour une thrombose veineuse cérébrale.
Aucun des deux hémisphères cérébraux ne passe sous la faux du cerveau. L’augmentation du volume cérébral est diffuse.
Effacement diffus des sillons corticaux avec début de dédifférenciation des de la substance blanche - substance grise notamment des noyaux centraux. Cela traduit un œdème cérébral diffus secondaire à un bas débit cérébral.
Vous retenez donc le diagnostic d’œdème cérébral diffus. Le patient ne se réveille toujours pas et présente sur un scanner de contrôle une majoration de cet œdème et un engagement des amygdales cérébelleuses.
Question 11 : Pour évoquer le diagnostic d’état de mort encéphalique vous recherchez :
Certains mouvements non coordonnés peuvent être présents lors de stimulations douloureuses et sont liés à des automatismes médullaires. Ils sont à différencier des mouvements de décortication et de décérébration.
État de mort encéphalique - article R. 1232-1 à 4.
Si la personne présente un arrêt cardiaque et respiratoire persistant, le constat de la mort ne peut être établi que si les trois critères cliniques suivants sont simultanément présents :
1- Absence totale de conscience et d’activité motrice spontanée ;
2- Abolition de tous les réflexes du tronc cérébral ;
3- Absence totale de ventilation spontanée.
L’absence de ventilation spontanée est vérifiée par une épreuve d'hypercapnie.

 

Question 12 : Pour attester réglementairement du diagnostic de mort encéphalique, vous réalisez :
Deux électroencéphalogrammes réalisés à quatre heures d’intervalle et retrouvant un silence électrocérébral, sous réserve de s’être assuré de l'absence de médicament circulant pouvant interférer.
N’a pas de valeur réglementaire.
Ne permet pas de faire le diagnostic, à moins d’être injectée et d’être donc une angiographie cérébrale par raisonnance magnétique
Qu’elle soit veineuse ou artérielle.
N’a pas de valeur réglementaire
Pour attester du caractère irréversible de la destruction encéphalique :
soit à deux électroencéphalogrammes nuls et aréactifs effectués à un intervalle minimal de quatre heures, réalisés sur une durée d’enregistrement de 30 minutes.
soit à une angiographie objectivant l'arrêt de la circulation encéphalique.
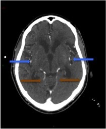
Un angioscanner est donc réalisé, dont voici les reconstructions en coupe axiale et sagittale :
Question 13 : Cet angioscanner présente :
Le diagnostic de mort encéphalique en angioscanner, selon les recommandations de la Société Française de Neuroradiologie, repose sur :
l’absence d’opacification des veines profondes (veines cérébrales internes (Figure 24 flèches marrons) et grande veine cérébrale (Figure 25 flèche jaune)
l’absence d’opacification bilatérale des branches corticales des artères cérébrales moyennes (Figure 24 flèches bleues). (En complément, sur la Figure 25, flèche orange : les artères péricalleuses qui sont des branches issues des artères cérébrales antérieures).
Le diagnostic de mort encéphalique est établi. Un prélèvement multi-organe est envisagé.
Question 14 : En vue du prélèvement multi-organe vous réalisez :
L’agence de biomédecine défini les deux objectifs du bilan réalisé chez les donneurs d’organes après mort encéphalique ou arrêt cardiaque :
Evaluer la fonction des organes afin de déterminer lesquels sont proposables au don, et permettre aux équipes d’accepter ou de refuser un greffon pour un receveur donné en fonction des données médicales ;
Dépister les pathologies infectieuses ou tumorales susceptibles d’être transmises aux receveurs lors de la transplantation
Question 15 : Pour considérer le patient décédé comme donneur, vous :
En France, le principe du « consentement présumé » régi le don d’organe (ainsi que la gratuité et l’anonymat). Toute personne est donneuse d’organe sauf si elle a exprimé de son vivant son refus de donner (en particulier en s’inscrivant sur le registre national des refus).
Pour les donneurs vivants, le candidat doit exprimer son consentement devant le président du tribunal de grande instance.
En l’absence de lettre ou d’inscription dans le registre, un proche peut opposer le refus du patient après son décès.
À noter que la loi de janvier 2017 renforce le principe de consentement présumé.
Par ailleurs, les mineurs peuvent être donneurs, à condition que chacun des titulaires de l’autorité parentale y consente par écrit.

Exercez-vous aux ECN avec les dossiers progressifs et les LCA de La Revue du Praticien