Nous sommes le 7 janvier 2017 et vous recevez aux urgences gynécologiques Mlle J., âgée de 33 ans, qui consulte pour un retard de règles depuis une dizaine de jours avec un premier épisode de métrorragies légères dans la matinée. La date de ses dernières règles est le 1er décembre 2016.

À l’interrogatoire, la patiente n’a pas de suivi gynécologique, avec des consultations uniquement pour prescription d’une pilule œstroprogestative qu’elle avoue oublier de temps à autre. Elle vous dit avoir des cycles réguliers de 28 jours. Elle vous signale une tension mammaire ainsi que deux épisodes de vomissement cette semaine. Elle pense bien être de nouveau enceinte.

Dans ses antécédents on note :

– deux interruptions volontaires de grossesse (IVG) médicamenteuses ;

– la notion d’hépatite B découverte à l’âge de 25 ans mais sans bilan ni suivi ;

– une phlébite de la jambe droite après un long trajet en voiture il y a 3 ans.

À l’examen clinique, poids : 60 kg ; taille : 1,72 m ; tension artérielle : 123/76 ; température : 36,7 °C. L’examen abdominal retrouve un abdomen souple, avec une sensibilité sus-pubienne.

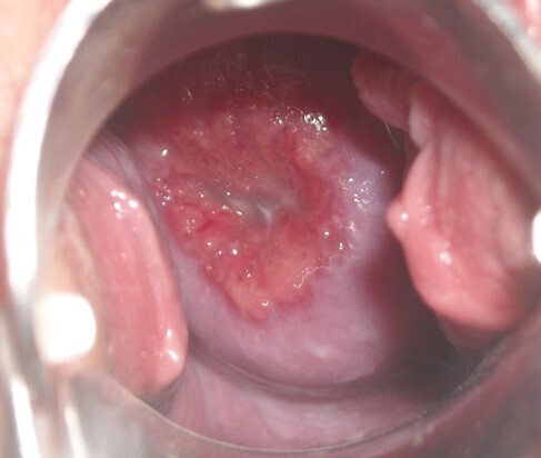
Vous examinez la patiente sous spéculum :

Question 1: Parmi les affirmations suivantes, la(les)quelle(s) est(sont) vraie(s) ?
Le frottis cervico-utérin est possible en début de grossesse et recommandé tous les trois ans chez les patientes après 25 ans
La partie centrale correspond à un ectropion. La partie habituellement endocervicale vient s’extérioriser. On le retrouve fréquemment surtout chez les patientes enceintes
Le tableau hormis les douleurs sus-pubiennes ne correspond pas à celui d’une infection génitale haute.
L’état supposé de grossesse de la patiente va d’autant plus à l’encontre de cette hypothèse (état d’inflammation incompatible avec la nidation lors d’une infection génitale haute)
Toute patiente enceinte avec des douleurs et métrorragies même minimes comme dans ce cas clinique est suspecte de GEU jusqu’à preuve du contraire
Le tableau de môle hydatiforme est caractéristique avec une patiente qui présente des signes de grossesse exacerbés : vomissements, tension mammaire importante, utérus augmenté de volume, métrorragies. L’échographie retrouve une image hétérogène intra-utérine en « tempête de neige » avec un dosage de gonadotrophine chorionique humaine (HCG) le plus souvent > 100 000 UI/L
Pensez à toujours être systématique pour les questions concernant les urgences gynécologiques notamment les métrorragies au premier trimestre de grossesse.
Vous poursuivez votre examen. L’échographie endovaginale vous montre :

 

Question 2: Quel(s) examen(s) réalisez-vous d’emblée ?
Cf. Mise au point dans le commentaire général de la question 2
Une bandelette urinaire suffit dans le contexte
Cf. Mise au point dans le commentaire général de la question 2
Cf. Mise au point dans le commentaire général de la question 2
Inutile ! la présence d’une vésicule vitelline et d’un sac gestationnel signe la présence d’une grossesse et son caractère intra-utérin
Questions générales sur la prise en charge d’une grande majorité des motifs de consultation des patientes aux urgences gynécologiques : douleur pelvienne et saignements dans un contexte de grossesse au 1er trimestre.
La prise en charge de ces patientes doit être systématisée pour ne pas rater une potentielle (et dangereuse) GEU, une fausse couche, afin de prendre en charge au mieux votre patiente.
Quelques réflexes systématiques à avoir :
– toute patiente qui consulte aux urgences gynécologiques avec douleur sus-pubienne à bandelette urinaire systématique ;
– tout saignement dans un contexte de grossesse à CONNAÎTRE LE GROUPE SANGUIN de la patiente (cf. Mise au point) ;
– métrorragies et grossesse au 1er trimestre à échographie par voie endovaginale à objectif : LOCALISER LA GROSSESSE, intra- ou extra-utérine ?
MISE AU POINT – PRÉVENTION DE L’ALLO-IMMUNISATION ÉRYTHROCYTAIRE RHÉSUS ANTI-D
Toute femme enceinte doit bénéficier d’une détermination de son groupe sanguin ABO et Rhésus.
En cas de mère Rhésus négatif avec un fœtus Rhésus positif, il existe un risque d’ALLO-IMMUNISATION ÉRYTHROCYTAIRE ANTI-D.
L’ALLO-IMMUNISATION veut dire que la mère va produire des anticorps anti-D contre les hématies fœtales circulantes dans son sang et provenant de son fœtus. Chez une femme enceinte de Rhésus D négatif, il existe un risque de passage d’hématies fœtales vers la mère à chaque situation à risque (accouchement, métrorragies, décollement placentaire, prélèvements invasifs, version par manœuvre externe, traumatisme, etc.).
En fonction du taux d’anticorps circulants chez la mère, il y a un risque accru d’anémie fœtale, les anticorps produits par la mère entraînant une hémolyse chez son fœtus.
La PRÉVENTION de cette allo-immunisation est donc FONDAMENTALE et toute patiente avec un épisode de métrorragies enceinte doit pouvoir en bénéficier.
La première étape est de connaître le groupe sanguin de la patiente :
en cas de Rhésus négatif : injection de RHOPHYLAC sans attendre le résultat de la recherche d’agglutinines irrégulières (RAI) ;
Rh positif : ne rien faire.
Le test de Kleihauer est indiqué à partir du 2e trimestre, il calcule la quantité d’hématies fœtales dans le sang maternel pour adapter la dose de Rhophylac à injecter en cas de situations à risque survenant au deuxième trimestre.
En dehors d’une situation à risque, il est aujourd’hui recommandé de proposer une injection systématique de Rhophylac aux mères Rhésus négatif à 28 semaines d’aménorrhée (SA).

 

Image issue de http://www.toutsurlatransfusion.com/immuno-hematologie/medicale/incompatibilite-foeto-maternelle.phpLes recommandations sur la prévention de l’allo-immunisation du Collège national des gynécologues et obstétriciens français (CNGOF) 2005 sont disponibles à cette adresse : http://www.cngof.asso.fr/D_TELE/rpc_rhesus2005.pdf
La patiente a apprécié vos explications et souhaite débuter avec vous un suivi de sa grossesse.
Vous lui prescrivez donc le premier bilan prénatal.
Question 3: Parmi ces examens lequel (ou lesquels) est (sont) obligatoire(s) ?
Examen obligatoire
Examen obligatoire
Examen non obligatoire
Dépistage recommandé sur facteurs de risques et réalisé entre 24 et 28 SA
Ce dépistage est proposé à la patiente et non obligatoire
Les examens obligatoires et le suivi d’une grossesse normale doivent faire partie des items à connaître parfaitement car ils peuvent tomber dans tout dossier d’obstétrique.
Plutôt que de longues explications, je vous renvoie à cette fiche de la HAS (mai 2016) qui résume le suivi d’une grossesse normale avec des tableaux synthétiques : http://www.has-sante.fr/portail/upload/docs/application/pdf/suivi_orientation_femmes_enceintes_synthese.pdf
Concernant le dépistage des anomalies chromosomiques au 1er trimestre, il faut retenir que le calcul intègre :
marqueurs du 1er trimestre (entre 11 SA et 13 SA + 6 jours) : ßHCG et pregnancy associated plasma protein A (PAPPA) ;
mesure de la clarté nucale à l’échographie T1 ;
âge de la mère.
En cas de résultat supérieur ou égal à 1/250 il faut adresser la patiente à un centre spécialisé de diagnostic prénatal qui pourra proposer une méthode diagnostique invasive.
Deux méthodes à connaître : biopsie de trophoblaste faite à partir de 11 SA, amniocentèse faite à partir de 15 SA et possible jusqu’à terme.
Concernant le dépistage du diabète gestationnel (DG), il est recommandé chez les femmes qui présentent des facteurs de risque uniquement :
âge maternel supérieur à 35 ans ;
indice de masse corporelle supérieur à 25 kg/m2 ;
antécédents de diabète chez les apparentés au 1er degré ;
antécédents personnels de DG ou d’enfant macrosome.
La méthode recommandée est l’hyperglycémie provoquée orale à 75 g de glucose réalisée entre 24 et 28 SA. Le dépistage est positif si les valeurs sont supérieures à 0,92 g/L à T0, 1,80 g/L à H1 et 1,53 g/L à H2.
Vous revoyez votre patiente en consultation. Elle est à 12 SA + 3 jours selon la date des dernières règles.
Elle a bien réalisé les examens que vous lui aviez prescrits :
– groupage sanguin : A+ ;
– sérologie toxoplasmose : Ig M -, Ig G - ;
– sérologie rubéole : Ig positifs ;
– TPHA-VDRL : négatif ;
– AgHbS : -, AcHbS : +, AcHbC +.
Dépistage combiné du risque d’anomalie chromosomique du 1er trimestre : 1/480.
Compte-rendu d’échographie réalisé la veille de la consultation :
– terme calculé : 12 SA+ 2 ;
– terme estimé par datation échographique : 12 SA+6 ;
– présence d’une grossesse intra-utérine évolutive, LCC = 67 mm. Clarté nuccale : 2,3 mm.
Question 4: En conséquence :
Une sérologie rubéole de contrôle à 3 semaines est nécessaire pour confirmer le statut d’immunité ancienne et non d’une potentielle primo-infection ou réinfection
En cas de sérologie toxoplasmose négative, une nouvelle sérologie négative est nécessaire tous les mois pour contrôler l’absence de séroconversion durant la grossesse
La patiente possède des anticorps anti-HbS qui marquent soit une guérison, soit une vaccination
AgHBs : marqueur de la présence du virus B dans l’organisme : donc négatif
AcHbS : anticorps permettant à l’organisme de se défendre contre ce virus B : donc positif
Ils peuvent être acquis lors de la guérison ou la vaccination
AcHBc : marqueur du contact avec le virus B donc positif (permet de faire la différence entre une vaccination et une guérison)
Infections materno-fœtales et grossesse : mini-mise au point
Dépistage / Diagnostic
La patiente consulte à 27 SA + 2 en cabinet de ville pour réaliser l’échographie du deuxième trimestre.
À l’examen clinique, vous retrouvez :
poids : 71 kg ;
tension artérielle : 159/92, recontrôlée 153/94 ;
bandelette urinaire (BU) : protéinurie : +++ ; leucocytes : + ; sang : 0 ; cétones : 0.
 
L’auscultation cardio-pulmonaire est normale, l’abdomen est souple, non douloureux, sans contractions utérines. Vous notez la présence d’œdèmes des membres inférieurs bilatéraux blancs prenant le godet.
La patiente ne vous rapporte aucun épisode de perte de liquide ou de métrorragies. Les mouvements actifs fœtaux sont perçus. Il lui est arrivé d’avoir des épisodes de céphalées matinales, de résolution spontanée.
Votre échographie montre un fœtus en présentation céphalique. L’estimation du poids fœtal est au 6e percentile. Le liquide amniotique est en quantité normale. Le placenta est antérieur.
Détails des biométries : BIP : 20e, PC : 17e, PA : 3e, LF : 11e.
Question 5: Quel(s) est (sont) le(s) diagnostic(s) ?
Cf. Commentaire général sur la question 5
Cf. Commentaire général sur la question 5
Cf. Commentaire général sur la question 5
Cf. Commentaire général sur la question 5
Ces définitions sont à connaître par cœur. :
On parle de pré-éclampsie devant : TA supérieure ou égale à 140/90 mmHg + protéinurie supérieure ou égale à 0,30 g/24 h ou 3 croix à la BU.
La pré-éclampsie est un syndrome, clinique. Il est possible de voir un RCIU d’origine vasculaire (placentaire) sans signes maternels et inversement.
Les critères de sévérité d’une pré-éclampsie sont également à connaître car ce sont eux qui vont faire décider d’une naissance prématurée.
Critères cliniques :
– HTA sévère : pression artérielle systolique (PAS) supérieure ou égale à 160 mmHg et/ou pression artérielle diastolique (PAD) supérieure ou égale à 110 mmHg ;
– atteinte rénale avec oligurie (< 500 mL/j) ou créatininémie > 135 µmol/L ou protéinurie supérieure à 5 g/j ;
– œdème aigu du poumon (OAP) ou barre épigastrique persistante ou
– éclampsie ou troubles neurologiques rebelles (troubles visuels, réflexes ostéotendineux polycinétiques, céphalées) ;
– hématome rétro-placentaire.
Critères biologiques :
– HELLP syndrome ;
– thrombopénie inférieure à 100 000 G/L.
Critères fœtaux : RCIU sévère avec arrêt de la croissance ou altération du rythme cardiaque fœtal.
La prise en charge de la pré-éclampsie a fait l’objet d’un consensus entre obstétriciens et réanimateurs en 2010, qui peut également faire office de cours pour vous à cette adresse : http://www.cngof.asso.fr/d_livres/2010_GO_475_dreyfus.pdf
La définition du retard de croissance a également fait l’objet de recommandations en 2013 par le CNGOF qui a défini une borne inférieure au 10e percentile avec un caractère pathologique à ce petit poids (arrêt ou infléchissement de croissance entre deux examens). Dans ce contexte clinique, on a une étiologie à ce petit poids, sous réserve de l’absence d’une autre cause associée.
Les recommandations pour le RCIU sont accessibles à cette adresse : http://www.cngof.asso.fr/data/RCP/CNGOF_2013_FINAL_RPC_rciu.pdf

 

Question 6: Quel(s) est(sont) le(les) examen(s) paraclinique(s) que vous réalisez ?
La fibronectine est un marqueur de pathologie placentaire qui est utilisé dans un bilan étiologique dans le cadre d’un RCIU. Ici, on sait à quoi est dû le retard de croissance 
La fibronectine fœtale est présente dans le liquide amniotique. Sa recherche est indiquée en cas de suspicion de rupture des membranes pour affirmer une suspicion clinique
Le bilan clinico-biologique d’une patiente hospitalisée pour pré-éclampsie doit être systématique. Il recherche des signes de gravité maternels et/ou fœtaux.
Le placenta qui est une interface entre la mère et son fœtus, étant en cause dans cette pathologie, il faut raisonner toujours entre retentissement chez la mère et/ou chez le fœtus.
Bilan clinique :
mesure pluriquotidienne de la TA ;
recherche d’œdèmes des mains, visage, MI ;
surveillance de la diurèse ;
examen neurologique, recherche des réflexes ostéo-tendineux (ROT), céphalées, phosphènes, acouphènes ;
examen abdominal : recherche de contractions utérines (CU), de douleurs épigastriques ;
examen gynéco-obstétrical : mouvements fœtaux, perte de liquide amniotique, métrorragies.
Bilan biologique :
hémogramme ;
bilan de coagulation complet : TP TCA ;
ionogramme, urée, créatinine ;
uricémie ;
bilan hépatique complet : aspartate amino-transférase (ASAT) ; alanine amino-transférase (ALAT) ; gamma-GT (GGT) ; phosphotases alcalines (PAL) ; bilirubinémie ;
protéinurie des 24 heures ;
bilan d’hémolyse (le HELLP est une micro-angiopathie thrombotique) : schizocytes, LDH, bilirubinémie, haptoglobine.
Bilan fœtal :
monitoring du rythme cardiaque fœtal pluriquotidien ;
échographie de vitalité : quantité de liquide amniotique (reflet de la diurèse fœtale), mouvements fœtaux ;
étude des Dopplers fœtaux : ombilical et cérébral (reflet de l’oxygénation fœtale) ;
surveillance rapprochée de la croissance fœtale, estimation du poids fœtal.
La patiente est hospitalisée en service de grossesse pathologique pour pré-éclampsie.
À l’examen clinique, vous retrouvez : poids : 73 kg ; tension artérielle : 162/103 mmHg, recontrôlée : 160/93.
Bilan urinaire : protéinurie +++.
La patiente se plaint de céphalées matinales récemment accompagnées de phosphènes.
L’auscultation cardio-pulmonaire est normale, l’abdomen est souple, non douloureux, sans contractions utérines. Vous notez la présence d’OMI bilatéraux blancs prenant le godet ; Pas de signes fonctionnels urinaires ni digestifs ; absence de métrorragies.
Bilan biologique :
protéinurie des 24 heures : 1,43 g/24 h ;
plaquettes : 134 000 G/L ;
Hb : 10,2 g/dL ;
VGM : 86 ;
réticulocytes : 200 000 G/L ;
ASAT 80 (N < 35), ALAT 86 (N < 39) LDH : 205 UI/L (N : 190-430) ;
absence de schizocytes au frottis.
 
Ionogramme :
Na : 136 mmol/L ;
K+ : 3,7 mmol/L ;
Cl- : 102 mmol/L ;
Créatininémie : 56 μmol/L ;
HCO3‾ : 20 mmol/L.
Question 7: Quels sont les signes cliniques de gravité de cette pré-éclampsie ?
Point méthodologie ECN : faites attention à l’intitulé des QCM !
Question 8: Dès lors, vous décidez :
TA > 160 /110 mmHg
Indiqué chez cette patiente avec un risque de prématurité induite important
Pas d’indication de naissance en l’absence de critères de gravité pour l’instant
Pas d’indication
L’aspirine est indiquée en cas de grossesse ultérieure dès le 1er trimestre et ce, jusqu’à 35 SA
La prise en charge de la pré-éclampsie repose sur trois éléments :
– traitement de l’hypertension pour prévenir les risques d’accident vasculaire cérébral chez la mère ;
– corticothérapie anténatale pour prévenir les complications de la prématurité induite ;
– surveillance materno-fœtale rapprochée pour décider au mieux la nécessité de la naissance.
La tension artérielle est finalement contrôlée par un traitement par voie intraveineuse par nicardipine et la corticothérapie prénatale est réalisée. Le relais per os est prescrit par nicardipine LP 50 mg x 2. La patiente reste stable en service avec une surveillance rapprochée du bilan biologique et échographique.
De garde, vous êtes appelé en pleine nuit par la sage-femme du service, la patiente se plaint de douleurs abdominales du bas ventre apparus depuis 1 heure. Celles-ci sont de plus en plus douloureuses, régulières. La patiente est à 30 SA + 2 ce jour.
Question 9: Que faites-vous ? (Plusieurs réponses possibles)
Après avoir éliminé l’hématome rétro-placentaire qui reste l’urgence, devant des contractions utérines (CU) avant terme, il faut réaliser une mesure de la longueur cervicale
Il n’existe pas d’indication consensuelle, d’autant qu’en cas d’hématome rétro-placentaire, la cure n’aura pas le temps d’être réalisée
Pas de suspicion de rupture des membranes
Contrôle de l’équilibre tensionnel
C’est l’urgence à évoquer devant des CU brutales dans un contexte de pré-éclampsie.
Les métrorragies sont minimes le plus souvent.
L’association CU + col modifié (raccourci) avant terme définit la mesure d’accouchement prématuré.
Dans un contexte hypertensif, les CU peuvent être secondaires à un décollement placentaire localisé. Le rythme cardiaque fœtal (RCF) est souvent pathologique dans ces cas et il faut procéder à une césarienne en urgence
Votre échographie retrouve cette image :

 


La patiente a maintenant quelques métrorragies minimes.
Question 10: Que faites-vous ?
L’hématome rétro-placentaire est l’urgence obstétricale à redouter dans une pré-éclampsie. Le diagnostic est avant tout clinique.
Douleur abdominale brutale en coup de poignard permanente au niveau de l’utérus et irradiant en arrière + métrorragies de sang noir peu abondant.
Il faut préparer la patiente à une césarienne sous anesthésie générale en extrême urgence le plus souvent : sonde urinaire à demeure, mise en réserve de concentrés de globules rouges (CGR), nouveau bilan avec numération et formule sanguine (NFS), plaquettes, bilan de coagulation.
Comme pour toute naissance urgente en obstétrique, la communication obstétricien-anesthésiste-pédiatre est primordiale.
Vous décidez d’une naissance par césarienne en urgence. En peropératoire, il existe un saignement abondant par l’hystérotomie. L’utérus est atone.
Les pertes sont estimées pour l’instant à 600 cc.
Question 11: Que faites-vous ?
Pas d’examen de la filière génitale sous valves pour une césarienne…
Toujours indiqué par voie externe (voie basse) ou interne (à ventre ouvert)
La suture de l’hystérotomie est le premier geste à faire rapidement
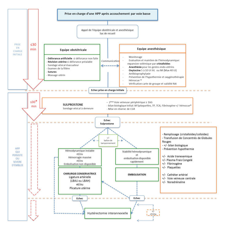
L’ocytocine est indiquée en 1re ligne de la prise en charge des hémorragies de la délivrance
Question un peu atypique, les réponses sont logiques. Il faut, en revanche, impérativement connaître par cœur la prise en charge d’une hémorragie lors d’un accouchement par voie basse.
Vos premières mesures sont restées sans efficacité. Les pertes estimées atteignent 1 litre. La tension est labile, descendant jusqu’à 72/53.
Question 12: Quelle doit être la séquence thérapeutique sur le plan obstétrical ? (Chaque méthode étant utilisée en cas d’échec de la précédente selon l’ordre numéroté.)
L’embolisation est contre-indiquée chez cette patiente instable !
L’embolisation est contre-indiquée chez cette patiente instable !
L’embolisation est contre-indiquée chez cette patiente instable !
Le traitement médical est toujours indiqué en première intention. Un traitement chirurgical est rapidement envisagé en cas d’hémorragie massive d’emblée
L’hémorragie de la délivrance est une pathologie qui nécessite une double prise en charge, réanimatoire et obstétricale, d’où la probabilité de tomber dans un dossier obstétrical à l’ECN.
Je vous propose ici un cas d’hémorragie per-césarienne. La prise en charge de l’hémorragie de la délivrance « standard » post-accouchement par voie basse est à connaître +++ : http://www.cngof.asso.fr/data/RCP/CNGOF_2014_HPP.pdf
Un seul schéma pour avoir les idées au clair issu des recommandations CNGOF 2014 : http://syngof.fr/dossiers/revue-n102-septembre-2015-hemorragies-du-post-partum/

 

Vous êtes maintenant dans la peau du médecin anesthésiste-réanimateur.
La tension est toujours à 72/53, les pertes estimées à 1 litre. L’obstétricien vous demande de débuter le traitement par sulprostone et s’affaire à suturer rapidement l’hystérotomie.
Question 13: Quelle est votre prise en charge sur le versant réanimatoire ?
Question toujours un peu pointue à moins d’avoir déjà vécu la situation en stage.
La patiente est instable, donc pas d’embolisation pour l’instant. Sur le plan réanimatoire, les mesures sont toujours les mêmes et doivent être systématiques :
mise en place d’une deuxième voie veineuse ;
monitorage (déjà présent en césarienne) ;
remplissage vasculaire par cristalloïdes (recommandés en 1re intention à un très faible niveau de preuve) ;
on prélève également un bilan en urgence avec notamment un hémogramme et une étude de la coagulation à la recherche d’une coagulation intravasculaire disséminée (CIVD).
Dans ce cas précis, une recherche de HELLP syndrome s’impose également.
La patiente sort de la maternité à J8 de la césarienne. Elle vous questionne sur les suites à donner à cette grossesse plutôt compliquée.
Question 14: Quel(s) est(sont) l’(les) élément(s) du bilan en post-partum ?
Toute femme enceinte doit bénéficier d’une consultation 4 à 6 semaines après l’accouchement
En post-partum d’une HTA gravidique ou d’une pré-éclampsie, il faut réaliser un bilan vasculo-rénal à 3 mois : mesure de la TA, recherche et prise en charge des facteurs de risque cardio-vasculaires.
La recherche d’une néphropathie est également indiquée à bilan rénal : protéinurie sur 24 heures, créatinine, urée.
Le bilan auto-immun et de thrombophilie n’est pas indiqué de manière systématique.
La patiente souhaite une contraception dans l’immédiat.
Question 15: Que pouvez-vous lui proposer ?
Délai de minimum 4 semaines post-partum
Patiente trop jeune, un seul enfant… irréversibilité théorique de la prise en charge
Antécédent de thrombose veineuse profonde (TVP) !
En post-partum d’une pré-éclampsie, les œstroprogestatifs sont déconseillés.
La ligature de trompes est à proposer en théorie aux femmes de plus de ans 40 ans de même que le système Essure. Le délai de réflexion obligatoire est de 4 mois.
Le DIU est à poser à distance de la grossesse, lorsque l’utérus aura repris une taille habituelle, dans 4 semaines.

Exercez-vous aux ECN avec les dossiers progressifs et les LCA de La Revue du Praticien