Vous êtes pédiatre en maternité et vous examinez à deux jours de vie la petite Jade avant sa sortie à domicile.
La grossesse s’est déroulée sans particularité, les échographies anténatales réalisées à 12, 22 et 32 semaines d’aménorrhée (SA) étaient normales. Il n’y a pas eu de diabète gestationnel. Jade est la première enfant d’un couple caucasien bien portant, les deux parents sont âgés de 28 ans. Il n’y a pas d’antécédent familial particulier. L’accouchement a eu lieu au terme de 40 SA par voie basse. Jade s’est bien adaptée à la vie extra-utérine. Les mensurations à la naissance étaient les suivantes : poids 2 900 g (15e percentile), taille 46 cm (6e percentile), périmètre crânien (PC) 35 cm (67e percentile). Jade est exclusivement allaitée au sein. L’examen clinique de l’enfant réalisée en salle de naissance par la sage-femme était normal.
À l’examen clinique ce jour, vous notez : poids 2 800 g, taille 46 cm, PC 35 cm. Fréquence cardiaque 145/mn, fréquence respiratoire 25/mn. Enfant rose, temps de recoloration cutanée 1 seconde, pas de marbrures, extrémités chaudes. Bruits du cœur réguliers, pas de souffle cardiaque audible, pouls fémoraux et huméraux perçus. Murmure vésiculaire bilatéral et symétrique, pas de bruit surajouté. Enfant eupnéique. Abdomen souple, pas d’hépatomégalie. Bon tonus axial et périphérique. Fontanelle normotendue. Reste de l’examen sans particularité.
La grossesse s’est déroulée sans particularité, les échographies anténatales réalisées à 12, 22 et 32 semaines d’aménorrhée (SA) étaient normales. Il n’y a pas eu de diabète gestationnel. Jade est la première enfant d’un couple caucasien bien portant, les deux parents sont âgés de 28 ans. Il n’y a pas d’antécédent familial particulier. L’accouchement a eu lieu au terme de 40 SA par voie basse. Jade s’est bien adaptée à la vie extra-utérine. Les mensurations à la naissance étaient les suivantes : poids 2 900 g (15e percentile), taille 46 cm (6e percentile), périmètre crânien (PC) 35 cm (67e percentile). Jade est exclusivement allaitée au sein. L’examen clinique de l’enfant réalisée en salle de naissance par la sage-femme était normal.
À l’examen clinique ce jour, vous notez : poids 2 800 g, taille 46 cm, PC 35 cm. Fréquence cardiaque 145/mn, fréquence respiratoire 25/mn. Enfant rose, temps de recoloration cutanée 1 seconde, pas de marbrures, extrémités chaudes. Bruits du cœur réguliers, pas de souffle cardiaque audible, pouls fémoraux et huméraux perçus. Murmure vésiculaire bilatéral et symétrique, pas de bruit surajouté. Enfant eupnéique. Abdomen souple, pas d’hépatomégalie. Bon tonus axial et périphérique. Fontanelle normotendue. Reste de l’examen sans particularité.
Question 1: Concernant l’examen clinique de Jade ce jour :
La définition du terme PAG (petit pour l’âge gestationnel) est un poids inférieur au 10e percentile pour l’âge gestationnel (semaines d’aménorrhée). Une taille inférieure au 10e percentile ne correspond pas à la définition d’un PAG
Dans les premiers jours de vie, une fréquence cardiaque entre 100 et 160 à 180/mn est normale
L’état hémodynamique de l’enfant est évalué sur les critères suivants : FC (recherche de tachycardie), TRC (> ou à 3 secondes), présences de marbrures, pouls périphériques, chaleur des extrémités, diurèse. La tension chute tardivement chez l’enfant
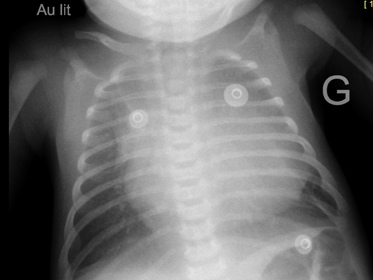
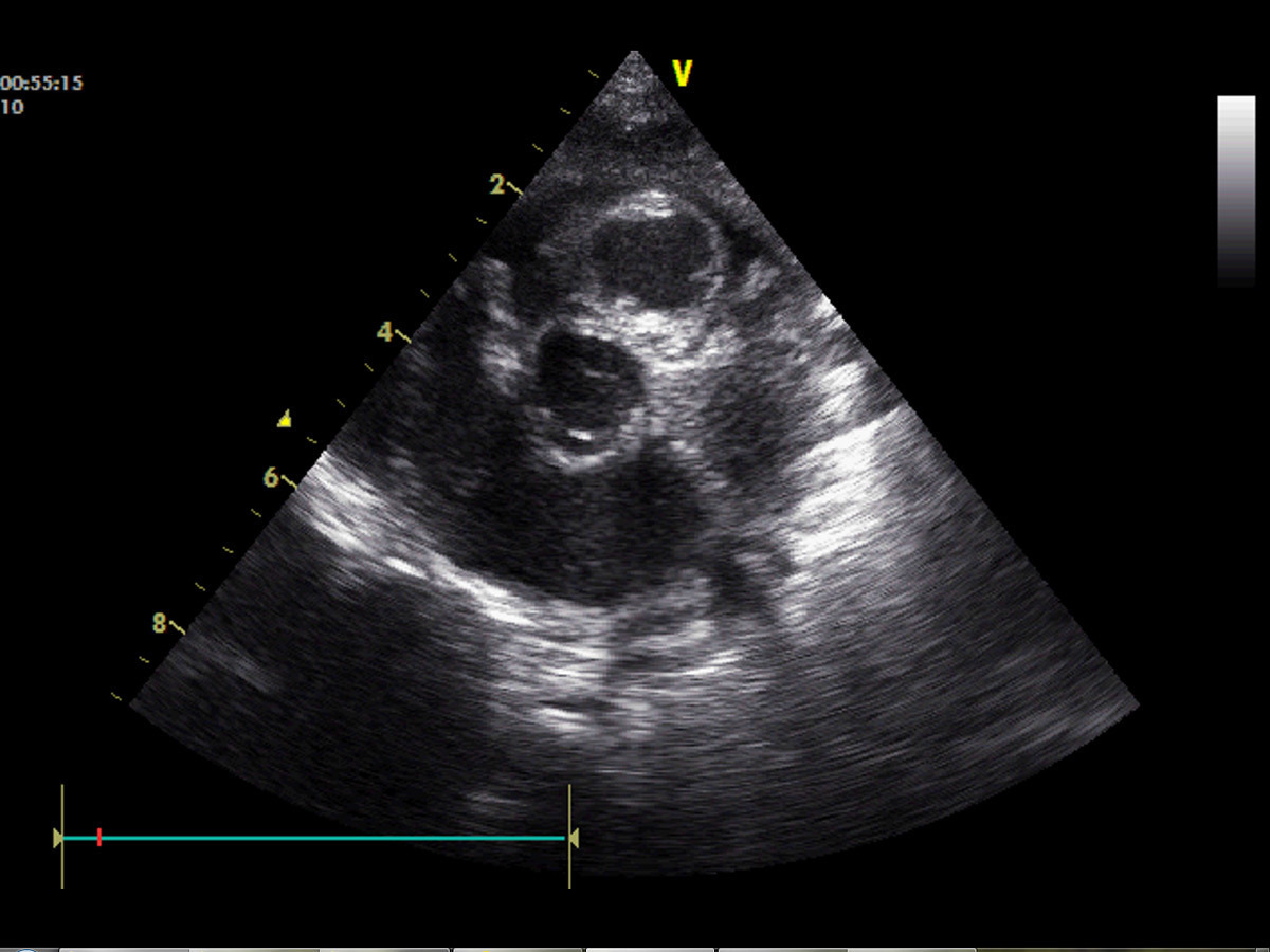
Certaines cardiopathies ne soufflent pas, d’autres soufflent plus tardivement (communication interventriculaire [CIV] par exemple)
On tolère une perte de poids jusqu’à 10 % du poids du corps dans les premiers jours de vie




– la phénylcétonurie avec le dosage de la phénylalanine ;
– l’hypothyroïdie congénitale avec le dosage de la TSH. Ne repère que les hypothyroïdies d’origine basse (ectopie thyroïdienne, athyréose, troubles de l’hormonogenèse), très largement majoritaires chez le nouveau-né ;
– la drépanocytose avec recherche d’une hémoglobine S (HbS) lors d’une électrophorèse de l’hémoglobine ; d’autres anomalies de l’hémoglobine (thalassémie) sont aussi repérées par cet examen ;
– l’hyperplasie congénitale des surrénales par déficit en 21 hydroxylase avec le dosage de la 17 hydroxyprogestérone (17OHP) ;
– la mucoviscidose avec le dosage de la trypsine immunoréactive (TIR) et, en cas d’élévation, recherche des principales mutations du gène de la maladie sur le même prélèvement mais avec le recueil préalable de l’accord écrit des parents.