Vous recevez à 20 heures aux urgences pédiatriques Martin, âgé de 10 jours, pour des vomissements évoluant depuis deux heures. Martin est né au terme d’une grossesse bien suivie menée sans particularité. À la naissance, il pesait 3 100 g, mesurait 50 cm et son périmètre crânien (PC) était de 35 cm. L’accouchement a eu lieu par voie basse après 14 heures de rupture de la poche des eaux. Martin est nourri avec du lait artificiel depuis la naissance. Le premier méconium a été émis à 24 heures de vie. À la sortie de la maternité, il pesait 3 120 grammes. Les vomissements, de couleur verte, sont survenus une heure après la prise du dernier biberon. Les dernières selles ont été émises à 3 heures ce jour.
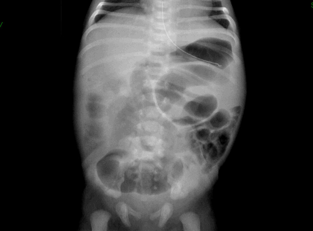
À l’examen clinique, vous notez : poids 3 300 g ; apyrexie ; FC : 150/mn ; FR : 40/mn ; SpO2 : 100 % en air ambiant ; geignement ; PC : 35,5 cm ; temps de recoloration cutanée (TRC) à 1 seconde ; abdomen ballonné, tendu, douloureux à la palpation ; absence de contracture abdominale ; auscultation cardio-pulmonaire normale ; fontanelle normotendue ; hypotonie généralisée.
À l’examen clinique, vous notez : poids 3 300 g ; apyrexie ; FC : 150/mn ; FR : 40/mn ; SpO2 : 100 % en air ambiant ; geignement ; PC : 35,5 cm ; temps de recoloration cutanée (TRC) à 1 seconde ; abdomen ballonné, tendu, douloureux à la palpation ; absence de contracture abdominale ; auscultation cardio-pulmonaire normale ; fontanelle normotendue ; hypotonie généralisée.
Question 1: Votre analyse sémiologique est compatible avec un tableau :
En cas d’HTIC avant la fermeture des fontanelles, le PC augmente. La fontanelle serait bombante et les vomissements seraient alimentaires
Un obstacle en amont de l’abouchement du canal de Wirsung (sténose hypertrophique du pylore, par exemple) ne donne pas de vomissements verts
Le transit d’un nouveau-né étant constitué de 5 à 7 selles par jour, vous ne pouvez pas vous fier à la cinétique de survenue des vomissements par rapport à l’arrêt des selles pour caractériser le niveau de l’occlusion
Le transit d’un nouveau-né étant constitué de 5 à 7 selles par jour, vous ne pouvez pas vous fier à la cinétique de survenue des vomissements par rapport à l’arrêt des selles pour caractériser le niveau de l’occlusion
Un iléus réflexe peut se rencontrer à cet âge, en particulier en cas d’infection néonatale bactérienne (anciennement infection materno-fœtale) et peut occasionner la survenue de vomissements verts. Il faut savoir évoquer l’infection en cas d’occlusion néonatale





1. Atrésie duodénale :
– épidémiologie : 1/3 000 naissances vivantes, 25 % associées à une trisomie 21, 20 % des cas associés à une cardiopathie congénitale ;
– anatomopathologie/embryologie : seconde portion du duodénum, 85 % après ampoule de Vater, défaut de perméabilisation pendant l’embryogenèse ;
– clinique : hydramnios en anténatal, vomissements précoces, abdomen plat ;
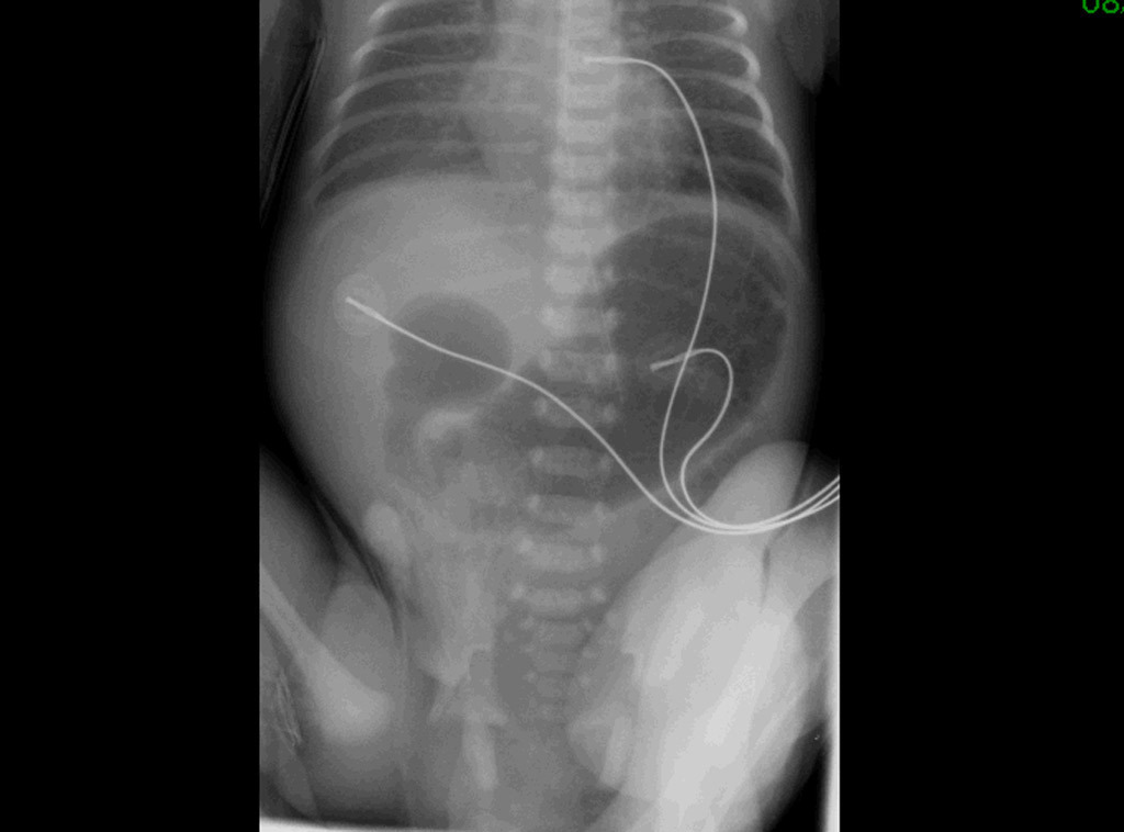
– ASP : double bulle ;
– traitement : chirurgical, anastomose duodéno-duodénale dans les 24-48 premières heures.
2. Atrésie du grêle :
– épidémiologie : 1/5 000 naissances vivantes ;
– anatomopathologie/embryologie : accident vasculaire mésentérique pendant la vie fœtale ;
– clinique : vomissements bilieux et distension abdominale dans les premières heures de vie ;
– pronostic : dépend de la longueur d’intestin restant et fonctionnel.