Vous recevez en consultation un enfant de 11 ans, accompagné par sa mère, pour bilan de suspicion d’hypoacousie. Il n’a pas d’antécédents par ailleurs. C’est la première fois que vous le voyez.
Il n’y a pas d’altération de l’état général, il n’y a jamais eu d’otorrhée.
Question 1 : Vous examinez les tympans. Voici ce que vous constatez. Que pouvez-vous dire de ce tympan ?
Le manche du marteau penche vers l’avant, et le triangle lumineux est dans le cadrant antéro-inférieur
La myringite bulleuse correspond à une inflammation du tympan avec une phlyctène dans le tympan. Ici les bulles sont rétro-tympaniques
Lorsqu’il y a une perforation, il y a un trou dans le tympan par lequel le fond de caisse est visible. Les berges de la perforation sont généralement bien repérables.
Il y a en effet une poche de rétraction au niveau de l’attique.
Il n’y a aucun signe local d’inflammation (rouge, aucun antécédent d’otorrhée, etc.)
Rappel sur le tympan normal : le tympan est quasiment transparent avec le marteau bien visible et bien moulé. Le triangle lumineux (reflet de la lumière) est visible dans le quadrant antéro-inférieur. Le tympan n’est pas bombant mais tendu (pars tensa), de façon radiaire à partir de l’extrémité du manche du marteau. La pars flaccida est la partie du tympan immédiatement au-dessus de l’apophyse externe du marteau.
La difficulté est parfois de distinguer une poche de rétraction d’une perforation. Ce n’est pas toujours facile et peut nécessiter un diagnostic spécialisé. Dans la plupart des cas, une perforation est bien limitée et les berges bien visibles. Dans le cas d’une poche de rétraction, le fond de caisse peut être moulé par la rétraction mais on voit généralement des reflets du tympan.
Vous constatez donc une poche de rétraction de la pars flaccida. Vous décidez de l’exploration avec un tympanogramme. Vous retrouvez le tympanogramme suivant.
Question 2 : Que pouvez-vous dire à partir de ce résultat ?
Cela correspond à un tympanogramme type C où le pic est décalé vers la gauche indiquant une pression plus basse que la normale
Le tympan vibre normalement, contrairement en cas d’otite séro-muqueuse (OSM)
La caisse du tympan est a priori aérienne, et même si une partie est aspirée par la poche de rétraction et est anormale, le reste du tympan bouge de façon normale
C’est l’explication de la dépression dans la caisse. La trompe d’Eustache s’ouvre mal et donc l’aération par le nez se fait mal
Il peut y avoir une surdité mais il est impossible de conclure sur la gravité de la surdité simplement à partir du tympanogramme
Le tympanogramme est un examen qui, en envoyant une onde sonore sur le tympan, va évaluer sa capacité vibratoire et donc sa compliance. Pour le tympan normal on retrouve une courbe en V inversé. Lorsque la caisse est remplie d’eau (OSM), la compliance est réduite et le tympan ne vibre pas (courbe B). Dans ce cas, avec une insuffisance tubaire et un tympan aspiré, on retrouve une dépression (courbe C).
L’audiogramme est normal.
Question 3 : Quel traitement proposez-vous chez cet enfant, avec une poche de rétraction propre et contrôlable ?
Pourrait se discuter en cas d’OSM. Dans ce cas il n’y pas de problème d’inflammation, donc pas de traitement anti-inflammatoire
C’est le traitement de l’otite moyenne aiguë, ici aucun intérêt
C’est la prise en charge de première intention. La poche est contrôlable avec une absence de retentissement. Elle peut par contre évoluer et nécessite une surveillance
Indiqué en cas d’hypertrophie des végétations associé à une OSM ou syndrome d’apnée du sommeil
Faux, à la rigueur une pose d’aérateur trans-tympanique (ATT) se discuterait. On propose une chirurgie en cas de poche de rétraction non contrôlable
Le cas d’une OSM avec rhinite nécessite un traitement médical. Dans ce cas on se retrouve face à une anomalie du tympan, sans conséquence pour l’enfant. L’important est de prévenir les complications à long terme et donc une surveillance s’impose. La chirurgie par tympanoplastie sera peut-être nécessaire à l’avenir si la poche s’aggrave. Mais très souvent une poche de rétraction peut se stabiliser.
Comme convenu, vous revoyez l’enfant 1 an plus tard pour contrôle de son tympan. Lorsque vous le voyez, sa mère vous dit qu’il n’arrête pas de renifler depuis 2 mois.
Son tympan droit montre une aggravation de la poche de rétraction : le fond de la poche n’est plus contrôlable et il y a quelques dépôts épidermiques.
Voici son tympan à gauche.
Question 4 : Qu’en pensez-vous ?
Important pour rechercher un facteur favorisant à la dysfonction tubaire chez cet enfant : végétations adénoïdes, masse dans le cavum
Important pour rechercher un retentissement auditif avec cette OSM
Examen surtout utile dans le dépistage des surdités du nourrisson (test le fonctionnement des cellules ciliées externes)
C’est un examen de deuxième intention, qui sert principalement à l’exploration de surdités d’origine rétro-cochléaires (nerf auditif)
Avec une OSM bilatérale, le tympanogramme sera plat (type B)
Il est important de toujours explorer le cavum lorsqu’il y a une pathologie tubaire chronique, pour confirmer la vacuité du cavum. Le plus souvent on peut trouver des végétations adénoïdes, ce qui va permettre un traitement, et aussi pour éliminer des causes plus graves (masses du cavum). Ensuite, le bilan auditif est important dans ce cas pour le suivi de la poche de rétraction et aussi pour l’OSM et pour ainsi évaluer son retentissement.
La nasofibroscopie est normale. L’audiogramme retrouve une surdité bilatérale avec une perte auditive moyenne à 25 dB. Vous expliquez le mécanisme de la surdité à la mère avec un schéma d’oreille.
Question 5 : Sur ce schéma on retrouve les structures suivantes :
Du plus latérale au plus médial on retrouve : le marteau, l’enclume, puis l’étrier
La fenêtre est une membrane où débouche la rampe tympanique
C’est la fenêtre ovale est la membrane qui vibre avec l’étrier. Façon simple de s’en rappeler, un étrier a une base ovale, donc correspond à la fenêtre ovale
Les fréquences aiguës s’épuisent plus vite et sont interprétées par la base de la cochlée
L’apex de la cochlée interprète les graves, ce sont les dernières fréquences à baisser lors de la presbyacousie
Bien connaître l’anatomie de base de l’oreille moyenne et interne. C’est important pour bien comprendre les bases de la physiologie mais aussi pour pouvoir expliquer clairement aux patients.
L’enfant présente au total une OSM bilatérale avec une poche de rétraction non contrôlable à droite.
Question 6 : Que proposez-vous comme traitement ?
La base du traitement de la rhinite aigue ou chronique
Complément de traitement de la rhinite chronique avec un retentissement espéré sur la dysfonction tubaire
Important pour essayer d’agir sur la cause de ses problèmes otologiques
Nous sommes ici dans le cas de figure d’une poche de rétraction non contrôlable avec une évolution péjorative.
Un ATT est nécessaire pour égaliser la pression et tenter de normaliser le tympan.
En cas d’échec de d’aggravation ultérieure, une tympanoplastie doit être envisagée
Ici l’indication de l’ATT n’est pas retrouvée pour l’OSM à gauche.
D’abord c’est un premier constat d’OSM et il faut laisser agir le traitement médical.
Ensuite la perte auditive est insuffisante pour justifier à elle seule une pose d’ATT
Le principal problème de cet enfant est sa dysfonction tubaire, qui est à la base des problèmes otologiques.
La décision de la pose d’un aérateur trans-tympanique est stricte, voici les indications du collège d’ORL :
- surdité : surdité bilatérale de transmission supérieure à 30 dB, ou avec retard de langage ou de parole, ou surdité de perception sous-jacente ;
- infections : épisodes de surinfection répétés (plus de cinq à six épisodes d’otite moyenne aiguë [OMA] par hiver) ;
-souffrance tympanique telle : poche de rétraction tympanique non contrôlée ;
- facteur favorisant prolongé : séquelles de chirurgie vélaire, insuffisance vélaire.
L’aérateur est efficace à droite et permet de normaliser le tympan.
Quelques mois plus tard, la mère vous appelle pour vous dire que l’aérateur est tombé, mais tarde à vous ramener l’enfant pour contrôle.
Vous revoyez l’enfant 2 ans plus tard en urgence pour une paralysie faciale droite.
La zone sensitive du VII est la zone de Ramsay-Hunt, qui comprend la conque, le tragus et la partie de joue qui est immédiatement prétragienne.
La peau au-dessus et en arrière de l’oreille dépend d’autres nerfs sensitifs
C’est par la corde du tympan (bifurcation au niveau du VII qui se fait dans la mastoïde) que le VII contrôle une partie de la sécrétion salivaire et notamment la glande sous-maxillaire
C’est l’inverse : le côté paralysé et hypotonique, donc la bouche est tirée du côté qui se contracte, donc du côté controlatéral à la paralysie
Le VII contrôle la gustation les deux tiers antérieurs de la langue. Le tiers postérieur est contrôlé par le IX (glosso-pharyngien)
Le nerf facial à quatre fonctions : motrice, sensitive, sensorielle et végétative. Il faut donc prendre en compte les quatre versants possibles des symptômes d’une paralysie faciale. On peut également déduire le niveau lésionnel en fonction des atteintes. Par exemple, une lésion du nerf qui se trouve avant la sortie du nerf du rocher va entraîner un trouble lacrymal, de la gustation ou du réflexe stapédien. Au contraire, une lésion extra-pétreuse au niveau de la face n’aura pas ces atteintes.
Vous retrouvez effectivement à l’examen une atteinte périphérique du nerf facial à droite.
Le patient présente un trouble léger de la gustation mais surtout un effacement du sillon nasogénien à droite, une absence complète de la fermeture de l’œil droit et un bavage important par la commissure labiale droite.
La paralysie est classée de grade V.
Question 8 : Quel est d’après vous le traitement le plus important à mettre en place en urgence ?
La voie intraveineuse n’a pas sa place dans la prise en charge initiale
Il faut donner ce traitement mais ce n’est pas le plus urgent dans ce cas
Impératif, et à garder en place tant que l’œil ne ferme pas complètement
À donner en cas de suspicion de zona
Non indiqué sauf en cas de maladie de Lyme authentifiée
Cette question a pour but de bien insister sur la conséquence la plus grave de la paralysie faciale : une blessure cornéenne. La priorité est donc sur la protection oculaire avec la triade : hydratation fréquente (au moins toutes les deux heures avec solutions lacrymales), pommade vitamine A le soir (pour améliorer la cicatrisation cornéenne) et un cache oculaire la nuit pour fermer la paupière. Une consultation ophtalmologique systématique est souhaitable ainsi qu’une consultation en urgence en cas d’œil rouge et douloureux (kératite, abcès cornéen, etc.).
Vous examinez le patient. Il n’y a pas d’autre atteinte des paires crâniennes, hormis un nystagmus discret. Il n’a pas de vertiges et semble entendre des deux oreilles. Vous ne retrouvez pas d’érythème migrant. Il n’y a pas de vésicules dans le conduit ou sur le tympan, ni d’éruption de la zone de Ramsay-Hunt. Vous retrouvez sur le tympan gauche une petite poche de rétraction sans complication. Le tympan droit est anormal et vous suspectez une surdité de transmission.
Question 9 : Que pouvez-vous dire du tympan ?
C’est une otite chronique avec inflammation du tympan
C’est la grosse masse blanchâtre derrière le tympan
C’est une otite chronique avec un cholestéatome : il a donc une inflammation
Otite moyenne aiguë droite
On voit le tympan dans la partie inférieure, ce n’est pas une perforation du tympan
Rappel sur ce qu’est un cholestéatome. Il y a normalement à l’intérieur de la caisse du tympan uniquement de la muqueuse. Lorsqu’une poche de rétraction du tympan (donc une poche qui est aspirée dans la caisse) se perce, on se retrouve avec de la peau à l’intérieur de la caisse. Cette peau s’accumule et par une réaction chimique locale (ce n’est pas une invasion tumorale) entraîne une lyse progressive de contact des structures osseuses.
Vous diagnostiquez donc un cholestéatome de l’oreille droite.
Question 10 : Devant les éléments à votre disposition, qu’attendez-vous ?
On suspecte une surdité de transmission à droite, donc le test de Weber est latéralisé à droite
Toujours une ST droite, donc le test de Rinne sera négatif
Il y a un nystagmus donc une labyrinthite
Appuyer sur le conduit va entraîner une hyperpression dans l’oreille interne et induire un vertige
Il y a un passage anormal entre l’oreille moyenne et le vestibule
Rappels sur l’acoumétrie :
– test de Weber : le diapason est posé sur le front du malade, et le son est transmis par les vibrations du crâne. Le patient va donc mieux entendre du côté ou il y a une surdité de transmission. À l’inverse, en cas de surdité de perception, l’organe sensoriel (la cochlée) ne fonctionne pas, donc aucune perception de la vibration est possible et le test sera latéralisé du côté sain ;
– test de Rinne : il est positif quand l’audition aérienne est supérieure à l’audition osseuse (ce qui est le cas soit dans une oreille normale, soit dans une surdité de perception). Dans le cas contraire, c’est une surdité de transmission. Le test se réalise en posant le diapason sur la mastoïde, et lorsque le patient n’entend plus, de présenter le diapason devant l’oreille. Pour une oreille avec une transmission normale, la conduction aérienne de meilleure qualité doit normalement permettre au patient de réentendre le bruit du diapason.
Rappel sur le signe de la fistule : il y a normalement deux fenêtres, l’ovale et la ronde, qui sont hermétiques. Si une fistule dans le labyrinthe existe, il y a donc une troisième fenêtre qui peut transmettre les pressions de l’oreille moyenne et donc du conduit auditif directement au labyrinthe. Le fait d’appuyer sur le tragus et de boucher le conduit auditif externe va entraîner une hyperpression dans le conduit, transmise à la caisse du tympan puis directement au liquide endolymphatique par la fistule : c’est le signe de la fistule. Cela déclenche un vertige violent.
Les destructions de l’oreille par le cholestéatome peuvent concerner :
– les osselets : surdité de transmission ;
– le tegmen (lame osseuse entre la caisse du tympan et le cerveau) : méningite ;
– le canal semi-circulaire latéral (plus fréquent) ou fenêtre ronde : labyrinthite et vertige ;
– le canal du nerf facial : paralysie faciale ;
– la cochlée : surdité de perception.
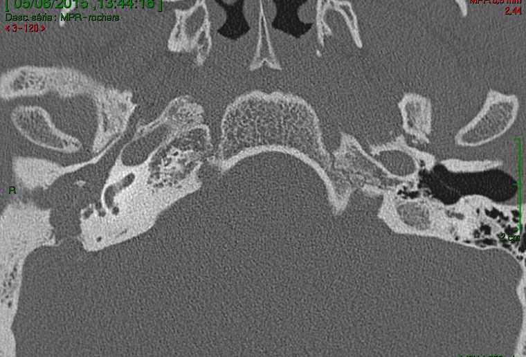
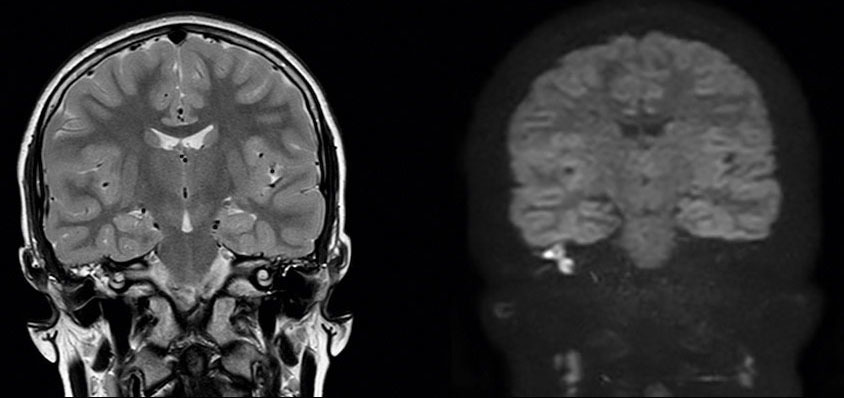
Devant ces atteintes multiples, vous demandez un scanner et une imagerie par résonance magnétique (IRM) en urgence qui sont représentés ci-dessous.
Question 11 : Qu’en pensez-vous ?
Question difficile, à laquelle on peut (et doit) répondre avec la clinique. En effet, le canal est ouvert sur le scanner (en coupe coronale sur la figure 4), mais surtout on peut le déduire devant le fait que le patient a un nystagmus avec un cholestéatome
La cavité de l’oreille est noire : donc il y a de l’air. Elle n’est pas comblée par du tissu
Faux, le scanner montre un comblement aspécifique, sans différencier tissu, liquide ou fibrose
Avec la séquence de diffusion à droite, qui est pathognomonique du cholestéatome
C’est une séquence de diffusion
L’IRM est le seul examen pathognomonique du cholestéatome. Le scanner montre la lyse osseuse mais n’est pas du tout spécifique de l’atteinte. Il n’est pas nécessaire de connaître les structures de l’oreille interne sur le scanner (qui sont très compliquées), mais il faut au moins reconnaître une oreille moyenne pleine (contenu gris) d’une oreille saine aérée (contenu en noir). On peut ensuite déduire de l’énoncé les destructions correspondantes. On aurait pu aussi dire dans cette question que le canal du nerf facial était détruit : c’est forcément le cas puisqu’il y a une atteinte du facial.
Vous souhaitez compléter l’examen sur le plan vestibulaire.
Question 12 : Que retrouveriez-vous dans le cas d’une destruction vestibulaire droite ?
La lésion est droite donc le nystagmus gauche
La secousse rapide va vers la gauche
Une atteinte périphérique donne classiquement un nystagmus horizonto-rotatoire. Un nystagmus inférieur est plutôt en faveur d’une atteinte centrale (AVC)
La marche en étoile (= Fukuda) est latéralisée du côté de la lésion
Ceci est retrouvé dans un syndrome cérébelleux statique. Le déséquilibre d’origine vestibulaire entraine une latéro-déviation
C’est ici le cas de figure d’un syndrome vestibulaire harmonieux droit. On a donc une latéro-déviation globale à droite. On retrouve la déviation des index, la manœuvre de Fukuda (= marche en étoile) à droite. Pour le nystagmus, il faut comprendre que la secousse pathologique est la secousse lente. Celle-ci est logiquement déviée vers la droite également. Cependant en phase aigüe, on ne remarque à l’examen clinique que la secousse de rattrapage, qui est une secousse rapide qui corrige la déviation latérale du globe oculaire. Cette secousse rapide est donc logiquement du côté opposé à la lésion. Puisque la secousse rapide est celle que l’on voit en phase aiguë, elle donne par convention le sens du nystagmus.
Pour compléter le bilan vous réalisez un audiogramme. L’oreille gauche est normale. Voici l’oreille droite.
Question 13 : Que pouvez-vous en dire ?
La courbe osseuse est altérée
Il y a un décalage entre la courbe osseuse et la courbe aérienne
La cause la plus probable expliquant l’atteinte aérienne
La cause la plus probable expliquant l’atteinte osseuse
Impossible anatomiquement
On se retrouve dans ce cas dans une surdité mixte, avec une atteinte à la fois de transmission et de perception. Les courbes osseuses et aériennes ne sont pas superposées, ce qui implique qu’il y a une part au moins de surdité de transmission. Puis, en regardant la courbe osseuse, qui nous donne la capacité de la cochlée à percevoir les sons, celle-ci descend sur les aigus, ce qui montre également une surdité de perception.
Au total, vous avez un patient de 13 ans avec un cholestéatome droit compliqué de paralysie faciale, destruction des osselets, atteinte labyrinthique et possible brèche ostéoméningée sur le scanner.
Question 14 : Quelle prise en charge préconisez-vous à court terme ?
L’audition n’est pas l’urgence ici. Il faut prendre en charge le cholestéatome
Le patient présente plusieurs complications graves et nécessite un traitement IV et une chirurgie rapide
Le risque est la cophose, la paralysie faciale complète et d’autres complications mortelles comme la méningite. Il faut opérer en urgence
On a ici presque toutes les complications du cholestéatome. Celle à redouter évidemment dans ce cas et qui nécessite une prise en charge hospitalière urgente est la méningite sur une probable brèche ostéoméningée. La deuxième est l’association d’une paralysie faciale et d’une atteinte labyrinthique.
Une surdité de transmission seule par destruction ossiculaire nécessite une chirurgie mais différée.
Vous choisissez d’opérer le patient. Malheureusement, la chirurgie se complique est l’oreille droite est cophosée. Le patient est par ailleurs très vertigineux et n’arrive plus à se lever.
L’oreille gauche présente toujours une poche de rétraction, mais l’audition est normale.
Question 15 : Que proposez-vous à court et moyen terme ?
Inutile car l’oreille ne fonctionne plus. C’est une cophose
Entraînerait un retard de récupération de l’équilibre et une prolongation des symptômes de vertige
Il faut au contraire se déplacer pour stimuler le cerveau et rééduquer l’équilibre
Important pour guider les exercices de rééducation de l’équilibre
Apprentissage de la lecture labiale
Lorsqu’une oreille est cophosée, elle ne peut pas être appareillée. La seule solution serait un implant cochléaire pour apporter directement le signal auditif au nerf auditif.
Concernant le vertige, il faut très rapidement amener les patients à se lever, marcher puis reprendre leur routine de vie pour stimuler le cerveau et retrouver un équilibre rapidement. Ceci peut être renforcé par une kinésithérapie vestibulaire. Un seul centre vestibulaire est suffisant pour se maintenir en équilibre et permet une disparition rapide et complète des symptômes vertigineux. La perte d’une oreille entraîne une difficulté à entendre, surtout en milieu bruyant. L’orthophonie et l’apprentissage labial sont très importants dans ce cadre-là comme moyen de compensation.
La difficulté est parfois de distinguer une poche de rétraction d’une perforation. Ce n’est pas toujours facile et peut nécessiter un diagnostic spécialisé. Dans la plupart des cas, une perforation est bien limitée et les berges bien visibles. Dans le cas d’une poche de rétraction, le fond de caisse peut être moulé par la rétraction mais on voit généralement des reflets du tympan.