Vous recevez aux urgences M. U, 32 ans, originaire du Cameroun, en France depuis 5 ans. Il se plaint d’avoir les yeux rouges et douloureux ainsi qu'une baisse de l’acuité visuelle depuis 5 jours.

Ce patient n’a jamais vu d’ophtalmologiste et ne porte pas de correction optique. Il présente un antécédent d’asthme dans l’enfance ayant régressé à l’adolescence.
Question 1 : Les plaintes fonctionnelles de votre patient sont compatibles avec
L’acuité visuelle est de 3/10 P3 et 6/10 P2. La tension intra-oculaire est à 14/12.
L’examen au biomicroscope de l’œil droit est présenté ci-dessous.
Question 2 : Qu'identifiez-vous sur ce document ?
Le cercle périkératique correspond à un cercle rouge sur le blanc de l’œil péricornéen. Il ne s’agit pas d’un signe spécifique d’uvéite mais d’inflammation de manière générale
Ici les précipités rétrodescémétiques sont de gros ronds granulomateux en graisse de mouton en triangle de base inférieure.  Ce ne sont donc pas des précipités rétrodescémétiques en poussière non granulomateux qui correspondent à des précipités à peine visibles.
Le patient du fait des synéchies est en myosis.
Un moyen mnémotechnique  pour distinguer les deux : la mydriase est un mot long, c’est quand la pupille est grande ; le myosis est un mot court, c’est quand la pupille est petite
Il s’agit d’adhérence entre l’iris et le cristallin entraînant un myosis et une déformation de la pupille.
Pour savoir s'il y a une inflammation du vitré, il faut que le patient soit dilaté
Vous retrouvez des précipités rétrodescémétiques en graisse de mouton et des synéchies irido-cristalliniennes.
Question 3 : Vous suspectez une uvéite.
On commence à parler d’hypertonie à partir de 21 mmHg.
On parle d’uvéite granulomateuse quand les précipités ont été au moins une fois granulomateux ou quand il y a des nodules inflammatoires sur l’iris ou l’angle irido-cornéen.
On parle d’uvéite antérieure en cas d’inflammation de la chambre antérieure : précipités, Tyndall, synéchies.
On parle d’uvéite intermédiaire lors d’inflammation du vitré révélée par une hyalite, une vascularite en extrême périphérie de la rétine, des condensés inflammatoires du vitré souvent en inférieur (snowball, œufs de fourmi), un blanchiment de la rétine en extrême périphérie (banquise).
Question 4 : A ce stade, vous jugez nécessaire de réaliser
Le phénomène de Tyndall correspond à la visualisation en chambre antérieure de cellules inflammatoires en suspension. Il se visualise en mettant sa lampe à fente à 45° à fort grossissement en diminuant la taille verticale de la fente afin d’obtenir un meilleur contraste entre l’obscurité et le faisceau lumineux.
Question 5 : L’éventuelle réalisation d’un fond d'œil chez ce patient
Vrai, en cas de synéchies, la dilatation est difficile et de taille réduite ; la visualisation du fond d'œil est alors plus difficile.
Il faut instiller des collyres mydriatiques. 
Il s’agit d’ophtalmoscopie indirecte. La lentille de Volk va inverser toutes les images. Ce qui est vu en haut est en bas, ce qui est vu en temporal est en réalité en nasal.
Le verre à 3 miroirs est composé du verre central permettant une visualisation directe sans inversion du pôle postérieur et de 3 miroirs permettant de voir la moyenne périphérie, l’extrême périphérie, l’angle irido-cornéeen. Il nécessite la pose du verre sur la cornée après anesthésie. Afin de visualiser dans les miroirs la rétine en entier, il sera effectué une rotation du verre sur l’œil sur la cornée du patient à 360 degrés.
Afin de visualiser la rétine supérieure le patient doit regarder en supérieur.
Après dilatation, votre examen ne retrouve ni hyalite ni foyer rétinien.
Question 6 : Il est indiqué de prescrire :
Il peut être réalisé des injections péri-oculaires dans le cas de forte inflammation du segment antérieur comme chez ce patient.
Les injection intra-vitréenne de corticoïdes ne sont réalisées que pour les uvéites intermédiaires et postérieures après avoir éliminé une cause infectieuse. Actuellement, il est utilisé des implants à relargage continu de corticoïdes (Ozurdex®)
Il est exceptionnel d’utiliser une corticothérapie générale pour une atteinte antérieure. Elle est réservée aux uvéites intermédiaires et postérieures lorsque que les traitements locaux sont insuffisants et que l’acuité visuelle est en danger ou bien sure lorsqu’ils sont nécessaires pour une atteinte générale
Ils peuvent être utilisés en cocktail pour leurs effets synergiques, par exemple une goutte toutes les dix minutes pendant une heure trois fois par jour.
Question 7 : Une étude étiologique est recommandée. Celle-ci comporte
Vrai, à la recherche d’une hypergammaglobulinémie pour la sarcoïdose.
Faux, une uvéite HLA B27 est toujours non granulomateuse. Il en est de même pour l’uvéite de la maladie de Behçet.
Faux, il n’est pas à réaliser en première intention, y compris devant une uvéite non granulomateuse mais sur point d’appel clinique et après réalisation de radiologie standard.
Vrai, à la recherche d’une ECA élevée et d’une hypercalcémie avec normophosphorémie orientant vers une granulomatose dont la sarcoïdose.
Vrai, à réaliser systématiquement devant toute uvéite, les tableaux cliniques de syphilis étant très divers.
Question 8 : Concernant le bilan étiologique, cochez la (ou les) réponse(s) vraie(s).
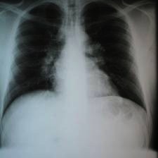
Parmi le bilan réalisé revient l’examen suivant.
Question 9 : Vous identifiez sur cette radio :
Il faut différencier la vascularisation physiologique visible en radiographie de micronodule et condensation
Le calibre des bronches souches est normal. L’adénopathie n’est pas compressive.
Question 10 : Devant les éléments ci-dessus, quel(s) diagnostic(s) est (sont) plausibles ?
Vrai, dans une forme ganglionnaire ; même si beaucoup moins probable à ce stade que la sarcoïdose.
Vous suspectez fortement une sarcoïdose mais vous ne pouvez pas éliminer une tuberculose.
Vous recevez le résultat de votre bilan biologique.
La numération formule sanguine retrouve une hémoglobine à 13 g/dL, un VGM à 85, des leucocytes à 6 000/mm3, des polynucléaires neutrophiles à 4 500/mm3, des lymphocytes à 700/mm3.
La VS à 1h est à 2 mm.
La CRP est à 3 mg/L.
La calcémie corrigée est à 2,5 mmol/L.
L’enzyme de conversion est à 75 pour une normale à 65.
TPHA négatif, VDRL négatif.
Le profil de l’électrophorèse des protéines retrouve une augmentation des gammaglobulines sans pic.
L’IDR est anergique.
Question 11 : Parmi les éléments ci-dessous, quels sont ceux qui vous font suspecter une sarcoïdose ?
Vrai, avec une lymphopénie assez sensible et spécifique si associé à l’hypergamma polyclonale.
La sarcoïdose non sévère donne peu de syndromes inflammatoires.
Il s’agit d’une hypergamma polyclonale. Ce signe si isolé est très peu spécifique.
Vous diagnostiquez une sarcoïdose de stade 1 ainsi qu’une uvéite antérieure granulomateuse synéchiante normotone bilatérale. Le reste du bilan d’extension de la sarcoïdose ne retrouve pas d’autres organes atteints.
Question 12 : A ce stade, vous pensez que
Vrai, comme globalement toutes les atteintes de la sarcoïdose.
Une uvéite strictement antérieure n’est pas une indication à une corticothérapie générale, le traitement local suffit.
Cependant, en cas de nécessité d’un traitement général pour une atteinte systémique, l’uvéite antérieure répond bien à la corticothérapie orale.
Le pronostic d’un stade 1 est largement favorable sans traitement.
Cela explique la nécessité de réalisation systématique d’un ECG et la limitation des indications de corticothérapie par voie générale.
Vous aviez prescrit des collyres corticoïdes en décroissance progressive associés à des collyres mydriatiques. Vous aviez préconisé une surveillance simple pour l’atteinte pulmonaire.
Le patient est perdu de vue et ne revient pas aux différents contrôles demandés.
Il revient vous voir deux ans plus tard car il présente depuis 2 mois une gêne au niveau des deux yeux ainsi qu’une baisse d’acuité visuelle. L’acuité visuelle est à 5/10 P6 à droite et 4/10 P8 à gauche. Il se plaint également de voir les lignes déformées. La tension intra-oculaire est à 26 à droite et 28 à gauche. L’examen du segment antérieur retrouve une inflammation modérée avec quelques précipités rétrodescémétiques granulomateux et un effet Tyndall à 1 croix à droite et à gauche. Il présente des synéchies sur presque 360 degrés de la pupille. Les yeux ne présentent pas de cercle périkératique.
Question 13 : Vous en concluez alors :
L'atteinte chronique à yeux blancs est compatible avec un diagnostic de sarcoïdose.
L'antécédent d’asthme est une contre-indication aux bêtabloquants collyre.
Le syndrome maculaire comprend baisse d’acuité visuelle de près, métamorphopsies et micro/macropsies.
A terme, les synéchies vont provoquer un réel blocage pupillaire avec secondairement fermeture de l’angle sous la pression en chambre postérieure réalisant un véritable glaucome aigu par fermeture de l’angle. L’iridotomie permettra de réaliser une dérivation du passage de l’humeur aqueuse shuntant le blocage pupillaire. Elle est à réaliser à distance de la poussée inflammatoire aiguë.
L’examen de la périphérie temporale du fond d’œil de l’œil droit est présenté ci-dessous. L’examen de l’œil gauche est similaire.
Question 14 : L’analyse de l’iconographie montre :
Les lésions sont en périphérie de la rétine, elles ne peuvent expliquer une baisse d’acuité visuelle.
S'il s’agit d’atteinte en périphérie, il s’agit d’une atteinte intermédiaire; s'il s’agit d’atteinte du pôle postérieur ou demoyenne périphérie il s’agit d’une uvéite postérieure.
Au fond d’œil, vous retrouvez un œdème papillaire modéré bilatéral, une hyalite à une croix à droite et deux croix à gauche ainsi que de multiples vascularites veineuses en périphérie. Vous réalisez un OCT maculaire de l’œil droit présenté ci-dessous.
Question 15 : L’analyse de l’iconographie montre :
Il s’agit de cohérence optique par émission d’onde lumineuse.
Le décollement séreux rétinien correspond à du fluide hyperréflectif entre la rétine neurosensorielle et l’épithélium pigmentaire
Il est nécessaire de réaliser une angiographie ou cliniquement au fond d’œil pour visualiser l’ischémie chronique.

Exercez-vous aux ECN avec les dossiers progressifs et les LCA de La Revue du Praticien