Un homme de 70 ans est adressé aux urgences pour troubles de la conscience et vomissements importants.

Ses constantes à l’entrée sont :

fréquence cardiaque 112 bpm ;

pression Artérielle 155/80 mmHg ;

saturation en oxygène 98 % ;

température 36,9°C.

À l’examen, vous observez un patient désorienté et confus. Lors de l’interrogatoire, ses réponses sont incompréhensibles, à la stimulation nociceptive il ouvre les yeux et il présente un évitement du membre sollicité.

Il a comme antécédents : une cardiopathie ischémique ancienne, une hypertension artérielle, des lombalgies chroniques.

Son traitement comprend : Kardégic® 160 mg/j, Doliprane® à la demande, Esidrex® 25 mg/j.

Les premiers résultats du bilan biologique prélevé sont les suivants :

ionogramme sanguin : sodium 142 mmol/L ; potassium 3,6 mmol/L ; chlore 103 mmol/L ; calcium 4,1 mmol/L ; albumine 40 g/L.

Urée 14,8 mmol/l ; créatininémie 115 μmol/L.

NFS : GB  7 300/mm 3, plaquettes : 328 000/mm 3, Hb 8,9 g/dL.

 

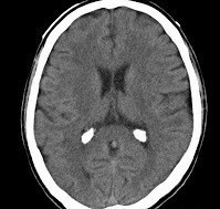
Question 1: Une imagerie cérébrale est également réalisée aux urgences dont voici une coupe :
Réponse oculaire 2 / Réponse verbale 2 / Réponse motrice 4.
L’évaluation de l’état de conscience d’un patient est un classique de l’iECN.
Cette évaluation passe par le calcul du score de Glasgow qui comprend trois parties :
la réponse oculaire : 1 = nulle / 2 = à la douleur / 3 = au bruit / 4 = spontanée ;
la réponse verbale : 1 = nulle / 2 = incompréhensible / 3 = inappropriée / 4 = confuse / 5 = normale ;
la réponse motrice : 1 = nulle / 2 = extension stéréotypée (décérébration) / 3 = flexion stéréotypée (décortication) / 4 = évitement / 5 = orientée / 6 = aux ordres.
Question 2: Quelle interprétation faites-vous de la coupe de tomodensitométrie présentée ?

 

L’imagerie cérébrale réalisée en urgence correspond à une tomodensitométrie cérébrale sans injection de produit de contraste iodée en coupe axiale.
L’hyperdensité intra-ventriculaire correspond à une banale calcification des plexus choroïdes classique pour l’âge.
L’imagerie ne retrouve donc aucune anomalie pouvant expliquer la symptomatologie présentée par le patient.
Question 3: Vous décidez de réaliser en urgence un ECG, quelle en est la principale indication ?
Chaque proposition peut justifier la réalisation d’un ECG. Cependant c’est l’hypercalcémie qui est, dans ce contexte, la principale indication à la réalisation d’un ECG en urgence. En effet, devant le tableau neurologique induit, il est fortement probable de retrouver des anomalies à l’ECG dont certaines peuvent mettre en jeu le pronostic vital.
Ainsi hypercalcémie = ECG en urgence +++.
Question 4: L’interprétation de l’ECG permet de constater :
Les signes attendus dans le cadre d’une hypercalcémie sont : Tachycardie / Raccourcissement du QT / Aplatissement de l’onde T / Élargissement PR / Troubles du rythme.
Le moyen mnémotechnique : « Ta raquette plate perd son rythme » peut être utile pour éviter les confusions avec les signes ECG de la dyskaliémie.
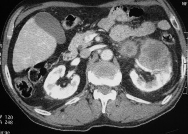
Sa fille se présente aux urgences et vous remet le résultat d’un examen que son père a réalisé récemment :

 

Question 5: Quelle interprétation faites-vous de cette tomodensitométrie abdomino-pelvienne ?
L’examen présenté est un TDM abdomino-pelvien en coupe transversale avec injection de produit de contraste au temps veineux.
On retrouve sur la coupe présentée :
une volumineuse masse tissulaire rénale gauche.
On ne retrouve pas sur la coupe présentée :
de thrombus veineux (veine rénale ou veine cave inférieure) ;
d’adénopathies ;
de seconde tumeur rénale gauche ou droite ;
de nodule hépatique ou pulmonaire.
Au total, sur la coupe présentée, on conclut à un cancer localisé du rein gauche.
L’examen complet de la TDM ne retrouve pas d’autres anomalies.
Question 6: L’augmentation de la calcémie s’explique par :
Non : Le patient n’est pas métastatique.
Non : calcémie trop élevée pour être expliquée par l’Esidrex®.
Dans le contexte de tumeur rénale localisée, il faut envisager le syndrome paranéoplasique pour expliquer l’hypercalcémie.
Le cancer du rein est associé à de nombreux syndromes paranéoplasiques :
Anémie ou polyglobulie (par la sécrétion d’EPO) ;
HTA (par la sécrétion de Rénine) ;
Fièvre au long cours et syndrome inflammatoire biologique inexpliqué (par la sécrétion d’interleukine 1 ) ;
Hypercalcémie (par la sécrétion de PTH-rP ;
Cholestase anictérique – syndrome de Stauffer.
La variété des syndromes paranéoplasique du cancer du rein, peut lui permettre de s’intégrer facilement dans un dossier transversal
Question 7: Immédiatement, la question d’une intubation trachéale se pose du fait de :
La mise en condition du patient est fondamentale, et nécessite de visualiser l’état du malade.
Un patient avec des troubles graves de la conscience et des vomissements nécessite une protection maximale des voies aériennes supérieures et donc une intubation pour ventilation mécanique.
La surveillance scopée est fondamentale compte tenu de la dyscalcémie (cf. données de l’ECG).
Le sondage urinaire est indispensable pour évaluer le bilan entrées-sorties.
Question 8: Quels traitements instaurez-vous ?
Non ! Ne pas confondre avec le traitement de l’hyperkaliémie…
Calcémie corrigée > 3 mmol/L
Ici le traitement est principalement celui de l’hypercalcémie complété par des traitements symptomatiques.
Réhydratation / Arrêt des hypercalcémiants / Biphosphonates / Calcitonine / Diurétiques de l’anse / Épuration extrarénale.
Il existe un moyen mnémotechnique simple pour retenir le traitement : « Re ABCDE ».
L’arrêt de l’ESIDREX sera indispensable dès l’épisode aigu passé.
Savoir raisonner sur l’hypercalcémie et ne pas confondre avec l’hyperkaliémie !
La prescription de gluconate de calcium dans le traitement  d’une hypercalcémie est un piège classique (aux conséquences lourdes) dans lequel on peut tomber par confusion…
Question 9: Quelle prise en charge carcinologique proposez-vous pour cette tumeur rénale ?
Le traitement du cancer du rein localisé et localement avancé est chirurgical. Deux techniques sont discutées selon le stade :
chirurgie conservatrice type néphrectomie partielle : technique indiquée dans les tumeurs T1-T2 ;
chirurgie radicale type néphrectomie élargie : technique indiquée dans les tumeurs T3-T4.
La radiothérapie et la chimiothérapie ne présentent pas d’indication dans une néoplasie rénale, d’autant plus à un stade localisé.
Le traitement anti-angiogénique représente le traitement de référence dans les formes métastatiques.
Après discussion en RCP, vous proposez au patient une stratégie chirurgicale en intention curative.
Vous réalisez une néphrectomie élargie gauche à votre patient.
Dans le service de chirurgie, au cours de la visite matinale, au 5e jour postopératoire, vous trouvez un patient dyspnéique et tachycarde.
À l’interrogatoire, il décrit une légère douleur basi-thoracique.
Ses constantes sont :
fréquence cardiaque 107 bpm ;
pression artérielle 115/70 mmHg ;
saturation en oxygène 91 % ;
température 36,9°C.
Votre auscultation pulmonaire ne retrouve pas d’anomalie.
L’ECG réalisé en urgence ne montre qu’une tachycardie sinusale.
Question 10: Quel est votre bilan paraclinique ?
Une biologie standard avec NFS plaquettes est indispensable, le tableau est compatible avec un syndrome anémique.
Dans le contexte postopératoire, il faut toujours évoquer l’embolie pulmonaire.
L’exploration nécessite alors une gazométrie et au moindre doute une imagerie.
Pas d’indication à l’écho-Doppler dans ce contexte, la probabilité étant forte.
Les D-dimères n’ont aucune place en post-opératoire.
La troponine est également indispensable dans ce contexte et présente deux intérêts : rechercher des arguments en faveur d’une origine ischémique chez un patient coronarien connu, mais surtout dans un contexte de probable EP elle permet de stratifier le risque, en effet une augmentation de la troponine dans un contexte d’EP est un critère de gravité et de surmortalité (le BNP sera également dosé et présente le même intérêt que la troponine).
Le radiologue vous appelle et vous informe qu’il existe une embolie pulmonaire bilatérale et proximale au TDM.
En collaboration avec le radiologue, vous décidez de réaliser une ETT en urgence.
Question 11: Quel(s) signe(s) de gravité recherchez-vous
La gravité d’une embolie pulmonaire est à évaluer en urgence.
Elle s’évalue avant tout sur le plan clinique : le patient est-il en état de choc ? Si oui, nous sommes face à une EP grave. En effet, la définition d’une EP grave est exclusivement clinique.
Puis la gravité s’évalue sur le plan paraclinique, les critères de gravité étant :
biologiquement, élévation de la troponine et/ou du BNP ;
échographiquement, on recherche la présence de signes en faveur d’un cœur pulmonaire aigu qui sont des signes de gravité (dilation du VD, hypokinésie du VD, septum paradoxal, HTP).
En cas d’EP sévère, le pronostic vital est en jeu, avec une mortalité supérieure à 15 %.
De retour du service de radiologie, le patient présente un arrêt cardio-circulatoire récupéré après plus de 10 minutes de no-flow.
Il est transféré en service de réanimation.
Malgré une prise en charge optimale, l’état de conscience de votre patient est très altéré, son score de Glasgow est évalué à 3. Vous évoquez un état de mort encéphalique.
Question 12: Quels critères cliniques et paracliniques vous permettront d’en poser le diagnostic ?
Le réflexe oculo-cardiaque est le dernier réflexe à disparaitre. Son absence est donc  synonyme d’absence de tous les réflexes du tronc cérébral.
Ces critères sont ceux qui permettent d’envisager un prélèvement d’organes en vue de transplantation et ils sont donc à connaître !
Pour notre patient, la question du prélèvement d’organes ne peut être évoquée car en postopératoire d’une chirurgie pour cancer.
Rappels sur les modalités de réalisation d’un prélèvement d’organes sur donneur en mort encéphalique :
1 - Consentement du défunt.
Le consentement du défunt au don d’organes est supposé, sauf en cas d’inscription sur la liste de refus.
2 – Examens cliniques et paracliniques
Après avoir éliminé une hypothermie et une intoxication (sédatifs, barbituriques ++), un examen clinique doit être réalisé :
absence totale de conscience (score de Glasgow = 3) ;
absence de ventilation spontanée (épreuve d’hypercapnie) ;
absence de réflexes du tronc cérébral.
Complété par un des deux examens paracliniques suivants :
2 EEG plats et aréactifs à 4 heures d’intervalle ;
ou une angiographie cérébrale montrant un arrêt du flux.
Le diagnostic de mort encéphalique est posé, après réunion avec la famille, un arrêt des thérapeutiques est décidé. Le décès survient.
Question 13: Comment rédigez-vous le certificat de décès du patient ? 
Rappel sur le certificat de décès :
Partie supérieure : nominative et non confidentielle, à visée administrative :
informations diverses : commune de décès, état civil du défunt, date et heure de la mort, signature du médecin et son cachet ;
caractère réel et constant de la mort ;
Différentes rubriques permettant à l'officier d'état civil d'autoriser ou de refuser certaines opérations funéraires = principal objectif
obstacle médico-légal (crime, délit, suicide, accident du travail et maladie professionnelle, accident de la voie publique, mineur, détenu) ;
présence de prothèse fonctionnant au moyen d'une pile ;
obligation de mise en bière immédiate ;
cercueil simple ou hermétique ;
obstacle au don du corps ;
prélèvement en vue de rechercher la cause du décès.
La partie supérieure est en triple exemplaire et est destinée à la mairie de la chambre funéraire, à la chambre funéraire, à la mairie du lieu de décès
Partie inférieure : anonyme et confidentielle, à visée épidémiologique.
Cette partie sera détachée de la partie supérieure par l'officier d'état-civil qui l'adressera au médecin de l’ARS afin d'effectuer des statistiques.
Rubriques : commune du décès, du domicile, date de décès, date de naissance, sexe, cause du décès, lieu du décès.

 

Exercez-vous aux ECN avec les dossiers progressifs et les LCA de La Revue du Praticien