Vous êtes neurologue de garde. Les urgences vous appellent à 00h30 pour des céphalées chez une femme de 30 ans. Vous descendez l’interroger et elle vous explique que sa céphalée, difficilement localisable, est apparue très rapidement vers 23h15, sans facteur déclenchant. Elle diffère de ses céphalées habituelles. L’interrogatoire est compliqué et son amie vous apprend qu’elle est fumeuse, n’a pour antécédent que des migraines sous bêtabloquants et triptans, et qu’elle ne prend aucun autre traitement (elle n’a pas de contraception). Elle est apyrétique, nauséeuse, confuse.
À l’examen neurologique, vous ne retrouvez pas de déficit sensitivomoteur, les réflexes ostéotendineux sont intègres, la patiente n’a pas de syndrome cérébelleux.
Elle ne se plaint d’aucune autre douleur que sa céphalée, son auscultation cardiopulmonaire ne retrouve pas d’anomalie, ses pouls sont palpables dans l’ensemble du corps. Son abdomen est souple, indolore et dépressible à la palpation. L’inspection cutanée ne relève rien d’anormal.
À l’examen neurologique, vous ne retrouvez pas de déficit sensitivomoteur, les réflexes ostéotendineux sont intègres, la patiente n’a pas de syndrome cérébelleux.
Elle ne se plaint d’aucune autre douleur que sa céphalée, son auscultation cardiopulmonaire ne retrouve pas d’anomalie, ses pouls sont palpables dans l’ensemble du corps. Son abdomen est souple, indolore et dépressible à la palpation. L’inspection cutanée ne relève rien d’anormal.
Question 1 - Devant cette symptomatologie, le premier diagnostic à évoquer est :
L’AVC entraîne le plus souvent une symptomatologie « négative », c’est-à-dire avec une perte de fonction. Or ici on ne retrouve pas de déficit. Un AVC peut être la cause de céphalées et confusions et on ne peut pas l’écarter, mais ce n’est pas ici la première cause que l’on doit évoquer.
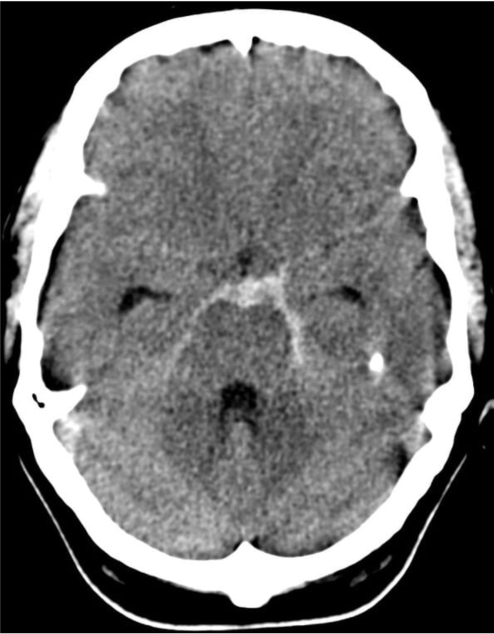
L’hémorragie sous-arachnoïdienne (HSA) a une symptomatologie qui est très importante à connaître, pour les ECNi comme pour la pratique. On retrouve une céphalée BRUTALE, d’emblée maximale (une heure précise d’arrivée est un signe évocateur).
Sans fièvre ni déficit, ce n’est pas le premier diagnostic évoqué devant des céphalées.
La patiente dit que sa douleur est inhabituelle, il faut alors l’explorer. Les migraines ont globalement une prévalence de 15 %, et tout ce monde n’est pas à l’abri de céphalées d’une autre cause.
On aurait plutôt une cervicalgie uni- ou bilatérale, accompagnée possiblement d’un syndrome de Claude Bernard-Horner, d’acouphènes pulsatiles ou de paralysie du XII.


Le score pour classifier l’hémorragie sous-arachnoïdienne est le WFNS (World Federation of the Neurosurgical Societies), de 1 à 6, qui évalue le pronostic fonctionnel à 6 mois. Il dépend du score Glasgow et de la présence ou non de déficit moteur.