En septembre 2020, vous recevez en consultation M. V., 65 ans, pour des douleurs articulaires.

Dans ses antécédents, on note un syndrome myélodysplasique suivi en consultation depuis les années 2000, manifesté initialement par une anémie macrocytaire à 10 g/dL isolée, asymptomatique. Le tableau hématologique est resté parfaitement stable depuis des années sans nécessité de traitement, le profil cytogénétique est à bas risque de transformation en leucémie aiguë.

Il rapporte également comme antécédent un épisode de monoarthrite de l’hallux droit étiqueté goutte en 2005 sans traitement de fond.

Il exerce comme conservateur dans un musée, fume 1 paquet par jour et boit occasionnellement. Il n’a pas voyagé récemment. Il vit avec son épouse à Paris, ils sont parfaitement autonomes.

Il signale depuis 15 jours l’apparition de douleurs des interphalangiennes proximales des mains et des pieds, des métacarpo-phalangiennes (MCP) bilatérales, et des métatarso-phalangiennes (MTP) bilatérales prédominant en fin de nuit et au réveil, avec un dérouillage d’une heure. Il a également constaté des gonflements intermittents de ces mêmes articulations.

À l’examen clinique, la température est à 37,9°C et les constantes sont normales. Pas de douleur thoracique ou de dyspnée. Vous constatez à l’examen une douleur et un gonflement des MCP 2 et 3 gauches et des deux poignets. Les sacro-iliaques ne sont pas douloureuses à la mobilisation ou à la pression, il n’y a pas de douleur ni de raideur rachidienne.

Le reste de l’interrogatoire et de l’examen clinique est sans particularité.
Question 1 - Concernant le tableau clinique, quelle(s) sont la/les réponse(s) exacte(s) ?
Une douleur de mécanisme inflammatoire est caractérisée par la prédominance en fin de nuit ou le matin, la présence de réveils nocturnes, l’amélioration de la douleur à la mobilisation et un dérouillage matinal supérieur à 30 minutes.
Une douleur mécanique sera plutôt ravivée par l’effort/la mobilisation, peut réveiller la nuit mais uniquement aux changements de position, aura un dérouillage < 30 minutes, et sera améliorée par le repos.
Une douleur mixte est une douleur qui a des caractéristiques discordantes.
Question 2 - Quelle(s) est/sont votre/vos principale(s) hypothèse(s) diagnostique(s) ?
Il s’agit d’un tableau de polyarthrite inflammatoire.
Les principales hypothèses diagnostiques sont les suivantes :
– les infections au premier rang desquelles les infections virales (dont VIH, virus d’Epstein-Barr [EBV], cytomégalovirus [CMV], parvovirus B19...), les infections bactériennes (endocardites notamment) ;
– les connectivites et maladies auto-immunes ou auto-inflammatoires (lupus, polyarthrite rhumatoïde, rhumatisme psoriasique ++++ mais aussi les vascularites, les pathologies auto-inflammatoires comme la maladie de Still) ;
– les phénomènes paranéoplasiques ;
– les rhumatismes microcristallins peuvent également avoir une présentation polyarticulaire.
La fibromyalgie ne s’accompagne pas de gonflements articulaires.
Le patient vous amène un bilan biologique réalisé en ville la semaine précédente.
Numération formule sanguine (NFS) : Hb = 10,1 g/dL ; volume gobulaire moyen (VGM) = 106 fL (conforme à ses antériorités dans le même laboratoire) ; plaquettes = 321 G/L ; polynucléaires neutrophiles (PNN) = 6 G/L ; éosinophiles = 0,1 G/L ; basophiles = 0,02 G/L ; lymphocytes = 2 G/L ; monocytes = 0,2 G/L.
Ionogramme : Na = 139 mmol/L ; K = 4,1 mmol/L ; urée = 2 mmol/L ; créatinine = 59 micromol/L ; protéine C réactive (CRP) = 37 mg/L ; lactate déshydrogénase (LDH) = 180 UI/L (N < 220).
Question 3 - Vous prescrivez le(s) examen(s) radiologique(s) suivant(s) :
Devant une polyarthrite inflammatoire nue, il faut faire des radiographies des mains de face, des pieds de face et de trois quarts, et du thorax.
On recherche des érosions articulaires qui orienteraient vers une polyarthrite rhumatoïde ou un rhumatisme psoriasique en fonction du type et de la topographie des érosions.
Notez bien que les radios peuvent être normales en cas de polyarthrite rhumatoïde débutante.
La radiographie de thorax est également utile dans ce contexte et peut orienter vers une sarcoïdose en cas d’adénopathies hilaires, ou vers une connectivite en cas de syndrome interstitiel (au premier rang desquels les poumons rhumatoïdes).
L’IRM du rachis cervical n’est pas indiquée ici en l’absence de point d’appel clinique ou anamnestique, il en est de même pour l’IRM des sacro-iliaques.
Question 4 - Vous prescrivez le(s) examen(s) biologique(s) suivant(s) :
Au vu des hypothèses diagnostiques formulées plus haut (v. correction question 2), il convient dans le cas présent d’effectuer les analyses suivantes :
Bilan hépatique : à la recherche d’une cytolyse qui peut orienter vers une hépatite virale ou auto-immune.
Facteurs antinucléaires : leur positivité oriente vers une connectivite, la plus fréquente étant le lupus. En cas de présence d’anticorps antinucléaires en immunofluorescence, la plupart des laboratoires complèteront l’analyse par des tests ELISA qui permettront d’identifier le type d’anticorps. En effet, les facteurs antinucléaires regroupent les anticorps anti-ADN natifs et les anticorps dirigés contre les antigènes solubles du noyaux (anti-ENA).
Parmi les anti-ENA, on retrouve les anticorps anti-Sm, Scl70, Ro/SSA, SSB, etc., chacun orientant vers une connectivite en particulier.
Facteur rhumatoïde : sa positivité oriente vers une polyarthrite rhumatoïde mais la sensibilité et la spécificité ne sont pas parfaites, de l’ordre de 80 % chacune. 
Anticorps antipeptides citrullinés (CCP) aussi appelés ACPA : beaucoup plus spécifiques de la polyarthrite rhumatoïde.
Électrophorèse des protides plasmatiques : permet de rechercher un syndrome inflammatoire chronique, un pic monoclonal et/ou une anomalie des gammaglobulines (hypogammagloblinémie en cas de lymphome et de déficit immunitaire, hypergammaglobunémie en cas de lupus ou de Sjögren). 
Sérologies virales : VIH, virus de l’hépatite B, virus de l’hépatite C, CMV, EBV, parvovirus B19, éventuellement virus de l’hépatite A, virus de l’hépatite E en cas de perturbation du bilan hépatique. Il n’y a pas lieu de faire de PCR virales chez l’immunocompétent, les sérologies suffisent.
Complément (CH50, fractions C3 et C4) : son abaissement oriente vers un lupus ou une cryoglobulinémie.
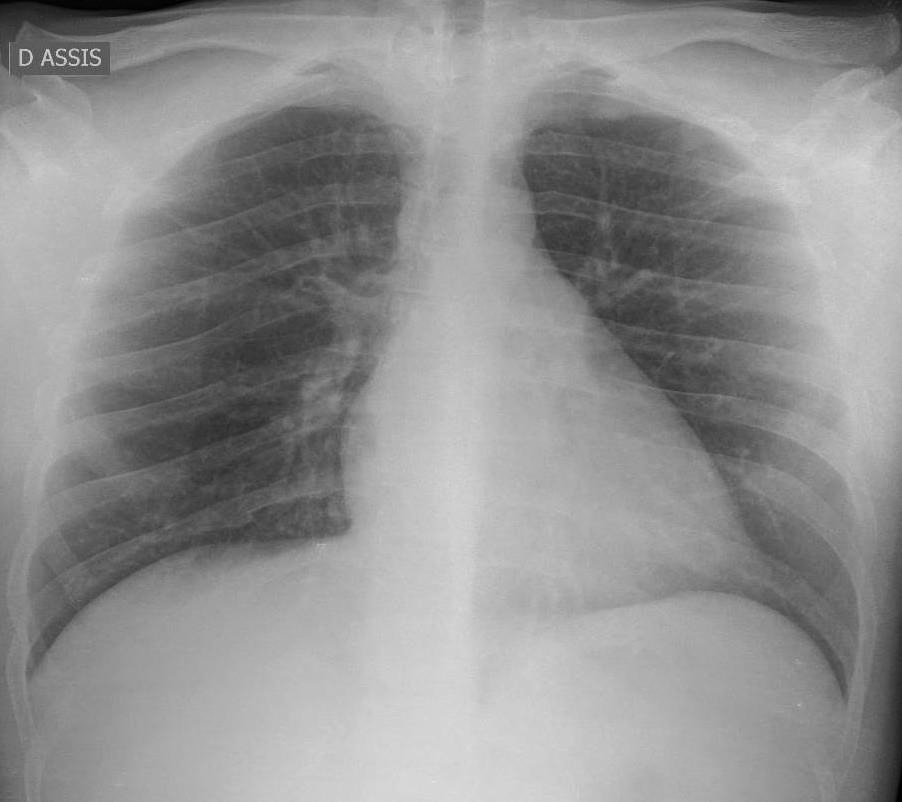
Vous revoyez le patient 48 h plus tard avec un bilan qu’il a fait en ville :
facteurs antinucléaires (FAN) positifs titre 1/320 ; anticorps anti-ADN natifs positifs = 214 UI/L (fortement positif) ; facteur rhumatoïde et anticorps anti-CCP négatifs ; électrophorèse des protides = absence d’anomalie ; sérologies VIH-VHC négatives ; sérologie VHB : antigène HBs négatif, anticorps anti-HBc positif, anticorps anti-HBs positif. Vous avez demandé une radiographie de thorax qui est la suivante :
Figure 1 (Source : Jeanne de La Rochefoucauld, La Revue du Praticien)

Par ailleurs, le patient vous explique qu’il a fait des radiographies des mains et des pieds ainsi que des échographies articulaires la semaine précédente chez un rhumatologue de ville et dont il vous montre le compte-rendu :
– synovites des 2 carpes en Doppler ;
– synovites des métacarpo-phalangiennes 2 et 3 gauches ;
– épanchement de toutes les métacarpo-phalangiennes droites sans Doppler ;
– début d’érosion de la métatarso-phalangienne 5 droite ;
– érosion médiale de la métatarso-phalangienne 1 gauche ;
– pas d’atteinte des interphalangiennes distales (IPD).
Question 5 - Comment interprétez-vous ces résultats paracliniques ? (une ou plusieurs réponses exactes)
Il existe d’authentiques polyarthrites rhumatoïdes séronégatives (facteur rhumatoïde et anticorps anti-CCP négatifs) même si elles sont minoritaires. La négativité de la biologie ne doit pas faire éliminer la polyarthrite rhumatoïde en cas d’atteinte articulaire typique.
Concernant le diagnostic biologique de lupus : comme dit dans la correction de la question 4, les facteurs antinucléaires sont sensibles mais peu spécifiques, les anti-ADN natifs sont, en revanche, très spécifiques mais peu sensibles.
L’atteinte articulaire du lupus se manifeste dans la majorité des cas par des arthralgies, et parfois par des arthrites non destructrices et non déformantes. Il peut y avoir dans de rares cas des ténosynovites avec des luxations tendineuses (main de Jaccoud).
La présence d’érosions articulaires doit orienter vers les autres rhumatismes inflammatoires notamment la polyarthrite rhumatoïde et le rhumatisme psoriasique.
Le tableau articulaire de ce patient oriente plutôt vers une polyarthrite rhumatoïde (pas d’atteinte des interphalangiennes distales, érosion de la tête du 5e métatarse, atteinte plutôt symétrique) que vers un rhumatisme psoriasique qui aurait une topographie plus volontiers asymétrique et qui pourrait atteindre les interphalangiennes distales.
Ce patient vous semble avoir une forme frontière entre lupus et une polyarthrite rhumatoïde séronégative : en effet, le type d'atteinte articulaire est en faveur d’une polyarthrite rhumatoïde et la biologie en faveur d’un lupus.
L’existence de manifestations auto-immunes polymorphes satellites d’un syndrome myélodysplasique a déjà été amplement décrit précédemment, raison pour laquelle vous n’êtes pas étonné.
Question 6 - Quel(s) traitement(s) médicamenteux pouvez-vous proposer à ce patient ? (plusieurs réponses possibles)
Le traitement immunomodulateur à introduire en première intention dans le lupus est l’hydroxychloroquine (Plaquenil). Il doit être poursuivi tout au long de la prise en charge, y compris en cas d’adjonction d’immunosuppresseurs plus puissants. Il est compatible avec la grossesse. Il n’y a pas lieu de l’arrêter sauf dans deux situations : en cas d’apparition d’une toxicité ophtalmologique (maculopathie), ce qui survient généralement au bout de très longues périodes d’exposition, ou en cas d’allergie, ce qui est exceptionnel.
Au vu de la présentation articulaire évocatrice de polyarthrite rhumatoïde, le méthotrexate peut tout à fait se discuter dans le cas présent, et n'est pas incompatible avec l’ambiance « lupique ».
La corticothérapie orale en cure courte (à titre indicatif 10 mg/j de prednisone pendant 3 semaines) peut permettre de passer un cap en attendant que le traitement de fond que vous avez choisi fasse effet. Il est courant de l’introduire au moment des poussées articulaires à visée symptomatique. Attention néanmoins à ne pas la poursuivre au long cours, la corticothérapie n’est pas un traitement de fond ni dans le lupus ni dans la polyarthrite rhumatoïde.
Vous avez décidé d'introduire un traitement par hydroxychloroquine à poursuivre au long cours, associé à une corticothérapie orale par prednisone 10 mg/j pendant 3 semaines.
Le patient est rapidement soulagé au bout de quelques jours, mais revient vous voir en consultation d’urgence un mois plus tard car les arthralgies ont repris de façon très invalidante.
Vous concluez à l’échec du Plaquenil en monothérapie et vous décidez d’y adjoindre du méthotrexate hebdomadaire par voie sous-cutanée, à la posologie de 10 mg/semaine.
Question 7 - Quelles mesures de prévention mettez-vous en place ?
Le méthotrexate est tératogène chez l’homme par action sur la spermatogenèse et chez la femme par toxicité sur le fœtus. La demi-vie du méthotrexate étant courte, les femmes peuvent démarrer une grossesse sans risque dès le lendemain du traitement. Les hommes doivent eux attendre 3 mois (durée d’un cycle de spermatogenèse) avant de procréer.
Le méthotrexate est un médicament cytopéniant : afin de prévenir cet effet indésirable il est d’usage de prescrire une supplémentation en acide folinique 48-72 heures après la prise de méthotrexate.
Le méthotrexate peut induire des perturbations du bilan hépatique qu’il convient donc de surveiller régulièrement surtout en début de traitement.
Il n’y a pas de risque de précipitation tubulaire.
Il ne faut pas associer cotrimoxazole et Bactrim : leurs toxicités médullaires sont synergiques et vous risquez des cytopénies importantes.
Chez l'homme, il est recommandé d’attendre 3 mois d’arrêt du méthotrexate avant de concevoir (cycle de spermatogenèse = 72 jours).
Chez la femme, une grossesse est en théorie possible dès le lendemain de l’arrêt du méthotrexate car sa demi-vie est très courte, et il est toxique surtout sur le fœtus. Il n'y a pas d’altération des ovocytes par le méthotrexate car ces derniers sont formés pendant la vie intra-utérine contrairement aux spermatozoïdes qui se divisent en permanence.
Malheureusement, le patient n'a pas le temps de commencer son traitement par méthotrexate : en effet, il consulte au service d’accueil des urgences une semaine plus tard pour dyspnée d’aggravation progressive sur quelques jours.
Examen clinique : hémodynamique stable ; fréquence respiratoire = 26/min ; saturation = 95 % en air ambiant ; absence de signes d’insuffisance cardiaque droite ou gauche ; auscultation pulmonaire claire. Vous entendez un souffle holosystolique à tous les foyers. L’hémodynamique est stable, le patient est apyrétique. L’examen neurologique est normal. Il n'y a pas de pétéchies, de bulles intrabuccales ou de signes hémorragiques. L’électrocardiogramme met en évidence une tachycardie sinusale isolée.
Vous récupérez les résultats du bilan sanguin : NFS = Hb 5,1 g/dL ; VGM = 97 fL ; plaquettes = 8 G/L ; leucocytes = 8 G/L dont PNN = 4,2 G/L ; lymphocytes = 2,9 G/L, réticulocytes = 250 G/L TP 80 % ; TCA ratio patient/témoin = 1.
Biochimie : Na =141 mmol/L ; K = 3,8 mmol/L ; urée = 5,2 mmol/L ; créatinine = 52 micromol/L ; CRP < 5 mg/L.
Question 8 - Comment interprétez-vous les données de l'examen clinique et de la biologie ?
Les hémolyses sur valve surviennent sur valve mécanique. Le souffle entendu correspond à une modification de la viscosité sanguine à cause de l’anémie. L’hémostase TP-TCA est normale, vous ne suspectez donc pas une coagulation intravasculaire disséminée.
Vous êtes en présence d’une bicytopénie portant sur les globules rouges et les plaquettes (la lignée blanche est normale). Cette bicytopénie est périphérique car les réticulocytes sont augmentés.
Plusieurs hypothèses diagnostiques peuvent rendre compte de ce tableau :
– thrombopénie initiale compliquée d’un saignement avec déglobulisation aiguë ;
– microangiopathie thrombotique (MAT) ;
– syndrome d’Evans (association anémie hémolytique auto-immune + thrombopénie périphérique immunologique). 
Pour avancer dans votre démarche diagnostique vous allez donc demander un bilan d’hémolyse (bilirubine, haptoglobine, LDH), et une recherche de schizocytes sur le frottis sanguin (ne pas hésiter à appeler le biologiste pour qu’il regarde la lame).
Les MAT induisent des micro-thrombi intravasculaires causant une hémolyse mécanique qui se traduira par la présence de schizocytes sur le frottis sanguin. Vous allez également interroger et examiner très soigneusement votre patient à la recherche de signes hémorragiques (ne pas oublier le TR).
Vous récupérez la suite du bilan biologique : bilirubine totale = 27 mmol/L à prédominance de bilirubine libre ; ASAT-ALAT, gamma-GT, PAL dans les limites de la normale. 
Les LDH sont à 662 U/L (pour une norme < 480) et l’haptoglobine < 0,01 g/L. L’examen du frottis ne met pas en évidence de schizocytes, ni d’anomalies morphologique des globules rouges.
Question 9 - Quel(s) examen(s) biologique(s) complémentaires demandez-vous ?
Vous avez affaire à une anémie hémolytique et à une thrombopénie. La présence du chiffre élevé de réticulocytes confirme l’origine périphérique de l’anémie, et comme vous êtes uniciste, vous pouvez en déduire que la thrombopénie est également probablement périphérique.
L’absence de schizocytes, d’atteinte rénale ou d’atteinte neurologique, est en défaveur d’une MAT. Les propositions 3 et 4 sont donc inexactes.
Le premier examen à demander devant une anémie hémolytique sans schizocytes et sans orientation diagnostique évidente est le test de Coombs direct aussi appelé test direct à l’antiglobuline.
Ce test permet de mettre en évidence des anticorps fixés à la surface des globules rouges : concrètement on incube les globules rouges du patient avec des anticorps reconnaissant la fraction Fc des immoglobulines humaines, couplés à une fluorescéine. Si les globules rouges du patient sont « coatés » avec des auto-anticorps, le test sera positif.
Il ne faut pas le confondre avec la recherche d’agglutinines irrégulières aussi appelé Coombs indirect ou test indirect à l’immunoglobuline : on incube le sérum du patient avec des globules rouges allogéniques, puis avec des anticorps reconnaissant la fraction Fc des immunoglobulines humaines. S’il y a présence d’anticorps anti-GR dans le sérum du patient, ils se fixeront sur les globules rouges allogéniques puis seront reconnus par les immunoglobulines anti-Ig.
En résumé : si vous rechercher des auto-anticorps dirigés contre la surface des globules rouges dans le cadre d’une anémie hémolytique auto-immune, il faut demander un Coombs direct.
Si vous recherchez la présence d’allo-anticorps (qui peuvent causer des accidents transfusionnels) il faut demander une recherche d’anticorps irréguliers (RAI) autrement appelée Coombs indirect.
La recherche d’anticorps anti-PF4 n’a d’intérêt qu’en cas de thrombopénie induite par l’héparine (TIH).
En l’absence de schizocytes, d'atteinte rénale ou neurologique, l’hypothèse d'une microangiopathie thrombotique vous semble peu probable.
Vous avez demandé un test de Coombs direct qui revient positif à IgG+++ et C3+++. Vous faites le diagnostic d’anémie hémolytique auto-immune concomitante d'une thrombopénie périphérique.
Question 10 - Quelle(s) est/sont la/les proposition(s) exacte(s) ?
L’anémie hémolytique auto-immune (AHAI) est une manifestation typiquement lupique et fait d’ailleurs partie des critères diagnostiques de l’American College of Rheumatology (ACR). La concomitance d’une AHAI et d’un purpura thrombopénique immunologique (PTI) au cours du lupus constitue un syndrome d’Evans.
Le syndrome de Felty regroupe splénomégalie, neutropénie et prolifération de grands lymphocytes granuleux (LGL) au cours de la polyarthrite rhumatoïde.
Le syndrome catastrophique des antiphospholipides est défini par des thromboses microcirculatoires multiples. Il se manifeste notamment par une thrombopénie de consommation souvent profonde, ainsi que des défaillances d’organes. Si le syndrome des antiphospholipides (SAPL) n’était pas connu, la présence d’un allongement du temps de céphaline activée (TCA) sur le bilan d’entrée peut mettre sur la voie.
Question 11 - Quelle(s) est/sont votre/vos attitude(s) thérapeutique(s) ?
La transfusion de plaquettes doit rester exceptionnelle dans le PTI, à réserver aux urgences vitales telles que l'hémorragie cérébrale ou le choc hémorragique, et doit dans ce cas s'administrer en fractionné. Pour l'AHAI, on peut avoir recours à la transfusion en cas de mauvaise tolérance de l'anémie, en gardant en tête que le rendement sera probablement médiocre. En effet, l’apport de globules rouges et plaquettes exogènes ne fera que provoquer un emballement de la réaction immunitaire et le rendement transfusionnel sera nul puisque tout sera détruit quasiment immédiatement.
Les seules situations où une transfusion peut s’avérer nécessaire sont les cas de menace sur le pronostic vital. On a parfois recours aux échanges plasmatiques en cas d’AHAI gravissime mais jamais en première intention.
Il ne faut pas transfuser en plaquettes dans le cadre du PTI hormis en situation de saignement menaçant le pronostic vital (hémorragie cérébrale, état de choc hémorragique). En effet le rendement est souvent pauvre et il y a la crainte de provoquer un emballement de la réaction immunitaire.
La splénectomie est un traitement de troisième recours en cas de PTI ou AHAI (meilleurs résultats dans le PTI que dans l’AHAI) et ne doit pas s’envisager d’emblée (surtout que vu le chiffre de plaquettes l’intervention serait risquée).
Les immunoglobulines (IGIV) ont fait la preuve de leur efficacité chez l’adulte dans le PTI avec un score de Khellaf > 8 en association avec les corticoïdes. En cas de score de Khellaf inférieur ou égal à 7, seuls les corticoïdes sont indiqués.
Le patient n'ayant aucun signe hémorragique cutanéomuqueux ni au niveau organique, il n’y a pas d’indication aux immunoglobulines intraveineuses (IGIV).
La place des IGIV dans les AHAI est beaucoup plus discutée, il n'y a pas de recommandation claire mais les essais cliniques ont été décevants. Elles ne sont pas recommandées en première intention.
La corticothérapie IV ou orale forte dose est recommandée dans la prise en charge des deux pathologies. En cas de PTI isolée, elle sera de courte durée (3 semaines à titre indicatif) avec un arrêt sans décroissance. Dans le cadre de l’AHAI, des durées plus prolongées (3-4 mois) sont requises.
Devant ce syndrome d’Evans avec bicytopénie profonde, vous décidez d’initier le jour-même une corticothérapie orale à 1 mg/kg. Il n’y a pas d’indication aux IGIV dans l'immédiat.
Question 12 - Quelle(s) autre(s)mesure(s) prenez-vous ?
Le tabac et les UV sont des facteurs de risque majeurs de poussée lupique, à éviter absolument. Devant toute anémie hémolytique, il convient de supplémenter en acide folique. L’acide folinique est indiqué en cas de traitement par Bactrim.
Il ne faut jamais arrêter l’hydroxychloroquine d’un lupique, même en cas d’adjonction d’un autre immunosuppresseur. Ce médicament est également compatible avec la grossesse. La seule raison d’arrêter l’hydroxychloroquine est la toxicité maculaire du Plaquenil, et cette dernière étant cumulative elle n’apparaît pas avant plusieurs années.
L'évolution est favorable au fil des jours avec remontée du chiffre d’hémoglobine et de plaquettes. Vous décidez de laisser sortir le patient avec sa corticothérapie orale. Vous amorcez une décroissance et vous suivez le patient en consultation.
Malheureusement, il rechute rapidement sur le plan articulaire avec une douleur et des gonflements extrêmement invalidants. Vous décidez d’introduire du rituximab en traitement de fond, afin d'avoir une efficacité double sur ses manifestations lupiques et sur ses manifestations de type polyarthrite rhumatoïde.
Question 13 - À propos du rituximab, quelle(s) est/sont la/les proposition(s) exacte(s) ?
Le rituximab est un anticorps monoclonal chimérique anti-CD-20, qui est un marqueur pan-B (donc présent à la surface de tous les lymphocytes B tous les stades).
Le CD38 est un marqueur plasmocytaire.
Dans le cadre du bilan pré-rituximab, vous vérifiez le profil sérologique du patient.
Sérologies VIH et VHC négatives.
Sérologie VHB : antigène HbS négatif, anticorps anti-Hbc positif, anticorps anti-HBs positif.
Question 14 - Que pouvez-vous dire de la sérologie VHB ?
Chez l’immunocompétent, l’infection par le VHB en cours, qu’elle soit aiguë ou chronique, se définit par la positivité de l’antigène HBs. En cas de vaccination, seul l’anticorps anti-HBs est positif.
En cas de double positivité des anticorps anti-Hbc et HBs, on a affaire à une infection VHB « guérie ».
Je mets entre guillemets le mot « guérie » car le VHB est un virus à ADN double brin. Il a la capacité de s’intégrer dans le génome des hépatocytes à vie et de se réactiver des années plus tard à l'occasion d'une immunodépression ultérieure. Cette intégration dans le génome explique également son potentiel oncogène même à distance.
Question 15 - Au vu du risque de réactivation VHB sous rituximab, quelle(s) attitude(s) adoptez-vous ?
Comme dit dans le corrigé de la question 14, ce patient sera immunodéprimé et donc à risque de réactiver son hépatite B guérie.
Les antiviraux qui peuvent se discuter en prophylaxie sont le ténofovir et l’entécavir. Aucun des deux n’a fait la preuve d’une efficacité supérieure. Les autres traitements proposés dans la question sont des antirétroviraux utilisés dans le VIH.
Notez que le ténofovir et l’entécavir fonctionnent aussi bien sur le VIH que sur le VHB.

Exercez-vous aux ECN avec les dossiers progressifs et les LCA de La Revue du Praticien