Vous voyez en consultation de ville pour la première fois l’enfant Jérôme actuellement âgé de 3 ans. Les parents viennent de déménager, ce qui explique que vous le voyez pour la première fois. Ses parents vous l’amènent car ils sont particulièrement inquiets du développement de leur enfant.

Vous prenez connaissance du carnet de santé. Il est né à Paris, à l’âge gestationnel de 39 semaines d’aménorrhée et 3 jours. Ses parents sont âgés de 35 ans, ils n’ont pas d’antécédents médicaux ou chirurgicaux. Jérôme a présenté un ictère néonatal, apparu à 3 jours de vie et résolutif en 5 jours. Il a nécessité une séance de photothérapie pour une bilirubinémie à 260 µmol/L à la bilirubinométrie transcutanée à 4 jours de vie.

Jérôme a été allaité au sein de sa naissance jusqu’à l’âge de 9 mois. Il a été diversifié à partir de 4 mois, avec une introduction du gluten à 5 mois.

Il a présenté un épisode de bronchiolite aiguë à l’âge de 9 mois, ayant nécessité une hospitalisation en service de pédiatrie et l’administration d’aérosols de salbutamol pendant 2 jours. Il a récidivé aux âges de 12 et 15 mois sans hospitalisation mais avec la poursuite du salbutamol à domicile. Un traitement de fond par fluticasone a été introduit à l’âge de 15 mois pour un an. Il n’y a pas eu de nouvel épisode respiratoire depuis lors. Vous retrouvez également trace de 8 otites moyennes aiguës, toutes traitées par amoxicilline par voie orale.

Sur le plan du développement psychomoteur, Jérôme a tenu sa tête à 3 mois, a marché à l’âge de 14 mois. Il a acquis la pince cubito-palmaire à 7 mois, la pince pouce-index à 11 mois. En revanche, les parents vous signalent qu’après avoir su dire « papa, maman » à l’âge de 10 mois, il n’a appris que quelques mots et qu’il n’arrive pas à les associer, la maman décrivant même un jargon pauvre et sans organisation. Il marmonne deux ou trois chiffres mais ne sait pas compter. Il mange seul et de tout. L’enfant marche mais ne monte pas seul les escaliers.

Il a été propre la journée à 18 mois, mais mouille à nouveau ses sous-vêtements depuis 3 mois.

Voici ses courbes de poids et de taille :

 



Le calendrier vaccinal est le suivant :

Vaccin
Question 1: A propos des antécédents de Jérôme, on peut affirmer :
Il a probablement fait un ictère physiologique. L’ictère au lait de mère apparaît plus tardivement, autour de J7, et disparaît en quelques semaines.
La définition de l’HAS est au moins 3 épisodes de dyspnée sifflante. L’utilisation de salbutamol signe probablement le caractère sifflant de ses épisodes de bronchiolite aiguë.
Malgré le nombre d’otites moyennes aiguës, il est prématuré de penser à un déficit immunitaire ; il y a d’autres étiologies à rechercher avant. D’autant plus qu’à côté de ça, l’enfant grossit bien et n’a pas présenté d’autres épisodes infectieux majeurs.
Question 2: A propos du développement psychomoteur de Jérôme, vous retenez 
La définition du retard global des acquisitions est le « retard dans au moins deux domaines du développement de l’enfant (motricité fine/globale, parole/langage, cognition, socialisation) ».
Le retard semble apparaître après l’âge de 9 mois puisque Jérôme a su dire « papa, maman ». A partir de là, le langage semble s’être altéré.
Question 3: Le bilan de première intention comporte :
La première cause à évoquer devant un retard des acquisitions est une trouble sensoriel.
Vous recevez 2 mois plus tard les résultats des différents examens que vous avez demandés :
consultation avec ORL : pas d’altération de la fonction auditive de l’enfant ;
consultation avec l’ophtalmologiste : pas d’altération de la fonction visuelle de l’enfant ;
consultation avec neuropsychologue : confirmation d’un retard global ; la sphère intellectuelle est difficile à évaluer à cet âge ;
consultation avec orthophoniste : confirmation d’une altération du langage pour l’âge, ainsi que d’une altération de la compréhension du langage
La bandelette urinaire que vous aviez demandée à votre première consultation était bien évidemment négative.
 
Vous revoyez Jérôme en consultation. Il est accompagné ce jour-là par la maman qui vous explique qu’il n’y a pas eu de progrès. Bien au contraire, elle a l’impression que Jérôme articule encore moins de mots. En revanche, il garde la même interaction sociale et continue à jouer comme à la dernière consultation.
Votre examen clinique est inchangé, hormis la confirmation d’un appauvrissement du langage de l’enfant.
Question 4: Pour rechercher l’étiologie de ce déficit psychomoteur, vous proposez :
Devant un retard psychomoteur confirmé avec une notion de régression, une IRM cérébrale est indiquée.
Un EEG est indiqué devant tout retard psychomoteur confirmé.
Pas d’indication. En effet, l’examen neurologique est normal. Le trouble de la marche semble s’inclure dans le retard de développement plus que dans un trouble musculo-nerveux.
Une infection en cours est peu probable devant l’absence de symptomatologie et de signe clinique en faveur d’un processus actif.
Il s’agit en effet du bilan de première intention d’un retard psychomoteur : chez un garçon, le dosage des CPK dépiste précocement une maladie de Duchenne, qui peut se manifester d’abord par un retard psychomoteur. Le bilan thyroïdien est indispensable, car de nombreux syndromes s’accompagnent d’une dysthyroïdie, source de surhandicap. De plus, la comparaison de T3 et T4 permet de suspecter un déficit en transporteur cérébral de la T3, affection liée à l’X. Un bilan métabolique minimal, incluant créatine urinaire et CAA urinaires, +/- CAA et CAO sanguins est indiqué du fait de la présence d’une régression.
Je vous encourage à visiter le site « Pas à pas en pédiatrie » qui regroupe des arbres diagnostiques pour la pédiatrie. Il s’agit des recommandations de la Société française de pédiatrie.
Question 5: Vous envisagez également une recherche génétique de première intention. Dès lors :
Il s’agit d’une pathologie à rechercher devant un retard mental.
La puce à ADN ou CGH array permet d’analyser un grand nombre de loci et de dépister la présence d’une mutation génétique qui pourrait expliquer la symptomatologie. Cette recherche n’est en revanche pas spécifique d’une maladie.
Il n’y a pas d’intérêt de prélever les parents en l’absence d’orientation génétique.
Les résultats de la génétique doivent être rendus par le médecin qui a prescrit le bilan, éventuellement avec le généticien qui proposera une consultation dédiée.
Il faut le consentement des deux parents.
Question 6: En attendant les résultats vous mettez en place une prise en charge thérapeutique et sociale.
La prise en charge en-dessous de 6 ans se fait auprès du Centre d'action médico-sociale précoce (CAMSP).
Vous récupérez les résultats suivants :
IRM cérébrale : structure en place, encéphale de taille normale mais d’allure « trop lisse » sans valeur de spécificité ;
EEG normal ;
CGH array normal ;
bilan métabolique normal ;
TSH normale, T3 et T4 normales ;
CAA urinaire normale ;
dosage de la créatine urinaire normale.
Question 7: En consultation, les parents de Jérôme vous demandent des précisions quant à la pathologie de leur enfant.
D’une part, la bilirubinémie n’était pas suffisamment élevée pour être responsable d’une complication neurologique à long terme.
D’autre part, les complications les plus fréquentes des hyperbilirubinémies libres sont plutôt des incapacités motrices cérébrales, dont le tableau clinique est totalement différent.
Il n’est pas possible d’être rassurant avec les parents. L’absence de diagnostic étiologique ne doit en tout cas pas rassurer : on ne peut absolument pas prédire l’évolution de l’enfant. Seul l’avenir nous le dira.
A l’heure actuelle, il n’y a aucune indication que Jérôme présente un retard d’origine génétique.
Six mois plus tard, le SAMU est appelé au domicile de Jérôme car celui-ci présente des mouvements saccadés des extrémités des quatre membres, une révulsion oculaire, un teint pâle et le contour des lèvres bleu.
A l’arrivée du SAMU, cet état persiste depuis 10 minutes. La prise rapide des constantes montre une température rectale à 38,4 °C, une fréquence cardiaque à 130 batt/min, une saturation en oxygène à 85 %, une tension artérielle à 85/55 mmHg. Extrémités chaudes, pas de marbrures, pas de purpura.
Question 8: Le médecin du SAMU devrait ...
La prise en charge d’un état convulsif durant plus de 5 minutes nécessite l’administration de diazépam par voie intrarectale.
Oui, car après la première administration de benzodiazépine, il faudra potentiellement en administrer une deuxième, puis d’autres médicaments de l’état de mal épileptique.
Finalement, après l’administration de deux benzodiazépines et de phosphénitoïne, Jérôme n’a plus de mouvement des membres. Ces mouvements auront duré 35 min. Son scope montre une fréquence cardiaque à 100 batt/min, une saturation en O2 à 95 % sous 2 L/min d’O2, une fréquence respiratoire à 25/min. L’enfant est hypotonique, somnolent, difficilement réveillable. Il est transporté jusqu’à une réanimation pédiatrique proche.
Question 9: Vous pouvez dire des données de l’énoncé ...
La définition n’est pas consensuelle, mais une crise d’une durée > 30 min doit être considérée comme un état de mal.
Il n’y a aucune raison de le penser. En effet, la fréquence cardiaque a bien diminué, l’enfant est probablement somnolent du fait de l’état post-crise et de l’administration de benzodiazépines.
L’IRM est inchangée, les autres examens biologiques sont normaux. La CRP est inférieure à 0,6 mg/L et la procalcitonine à 0,1 mg/L.
Question 10 : Face à cette crise convulsive fébrile, vous discutez l’intérêt d’un traitement anti-épileptique de fond … 
Un traitement est mis en place par Sabril®. Sous ce traitement, l’enfant a fait trois crises convulsives identiques dans la sémiologie, durant moins de 5 minutes, en 6 mois. Les parents ont systématiquement consulté aux urgences, où aucune étiologie particulière n’était rapportée.
Au début, vous voyez en consultation tous les 6 mois Jérôme, qui semble répondre favorablement aux stimulations psychomotriciennes et orthophoniques avec un progrès notable au fil du temps. Une IRM de contrôle à 1 an de la précédente montre un effacement des sillons corticaux plus prononcé que sur la précédente, mais des signaux de substance blanche et de substance grise normaux.
Puis à deux reprises, les parents ne se présentent pas à la consultation bien qu’ils répondent à vos relances par mail. Jérôme a maintenant 7 ans et vous le voyez arriver, accompagné de son père, aux urgences de l’hôpital. Cela fait en effet 30 minutes que Jérôme présente des mouvements saccadés du bras et de la jambe gauches, avec une déviation du regard vers la gauche. Il a été administré du diazépam par voie intrarectale, mais cela n’a pas fait céder ces mouvements.
Les constantes sont les suivantes : température = 38 °C, fréquence cardiaque = 110 batt/min, TRC < 3 sec, TA 90/60 mmHg, fréquence respiratoire = 40/min, saturation en oxygène = 95% en air ambiant.
Question 11: Vous pouvez dire à partir des données ci-dessus ...
L’enfant continue à faire des crises convulsives, l’épilepsie n’est donc pas contrôlée.
La crise actuelle entraîne une instabilité des fonctions respiratoire et hémodynamique de l’enfant.
Après 30 min, les récepteurs aux benzodiazépines sont internalisés et les BZD ne sont plus efficaces. C’est pourquoi il faut passer à de la phosphénitoïne ou, plus vraisemblablement dans une crise partielle, du phénobarbital.
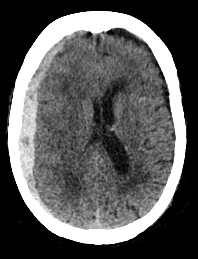
Question 12: Vous obtenez rapidement la coupe suivante 
Il s’agit d’un hématome sous-dural aigu droit avec effet de masse sur la ligne médiane.
Après résolution de l’épisode convulsif et prise en charge chirurgicale de l’hématome sous-dural aigu, Jérôme est hospitalisé en réanimation où des mesures de neuroprotection sont mises en place.
Les parents vous expliquent qu’en ce moment, la vie est difficile à la maison. La maman a eu deux fausses couches spontanées précoces en quelques mois il y a 1 an, à partir de là les choses se sont dégradées entre les deux adultes qui sont actuellement en instance de divorce. Jérôme est de plus en plus difficile à vivre, pas tant du fait des convulsions que de l’altération du développement qui demande une présence constante auprès de lui pour ne pas qu’il se blesse.
Quand vous demandez aux parents si Jérôme s’est déjà cogné la tête, ils vous semblent fuyants et vous disent que certainement il doit tomber de temps en temps ou se cogner contre les murs.
Question 13: Certains éléments vous font suspecter une maltraitance
Le syndrome de Silverman est un syndrome radiologique incluant des fractures multiples d’âge différent et faisant évoquer une maltraitance.
Aucun argument ne permet de le penser. 
Question 14: Devant cette suspicion de maltraitance, un bilan doit être réalisé
L’électroencéphalogramme n’a pas d’intérêt médical ou légal dans le cadre d’une maltraitance ; il a un intérêt dans le cadre de la prise en charge médicale de l’enfant.
Ces éléments se retrouvent dans le syndrome des bébés secoués. Nous ne sommes évidemment pas en présence d’un bébé, mais les enfants handicapés, qui ne peuvent pas se défendre et peuvent avoir une hypotonie proche de celle d’un bébé, peuvent présenter ce genre de lésions.
Il n’y a pas d’indication, en dehors de point d’appel clinique, à réaliser une échographie abdominale.
Question 15: Les parents ne s’opposent pas à la réalisation de ces examens, ni à la poursuite de l’hospitalisation de leur enfant. Les radiographies font état de quatre fractures costales anciennes.
Les parents ne s’opposent pas à l’hospitalisation de leur enfant, il n’y a donc pas lieu de faire une demande d’OPP.
Les IP sont rédigées en l’absence de complication grave pour l’enfant, en cas de nécessité d’une enquête sociale.
Il est indiqué, devant une complication qui met en jeu la vie de l’enfant, de réaliser rapidement un signalement judiciaire, dès lors que vous avez suffisamment d’éléments pouvant faire suspecter une maltraitance.
Vous n’avez aucun droit de vous opposer à la présence des parents dans le service. Les parents ont l’autorité parentale jusqu’à décision judiciaire s’y opposant.
La prise en charge sociale s’inclut dans une démarche de confiance. Faire ces démarches en toute transparence, en expliquant clairement aux parents les raisons qui vous poussent à les entreprendre, peut permettre de maintenir une relation de confiance entre votre patient, ses parents et vous.

 

Exercez-vous aux ECN avec les dossiers progressifs et les LCA de La Revue du Praticien