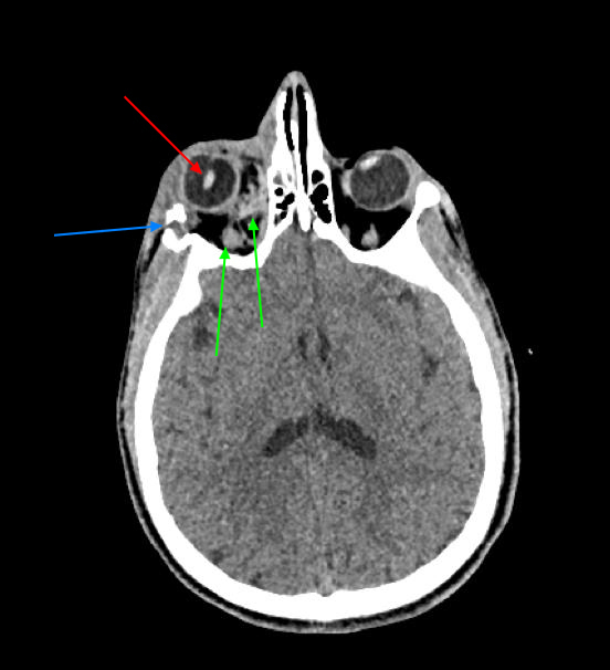
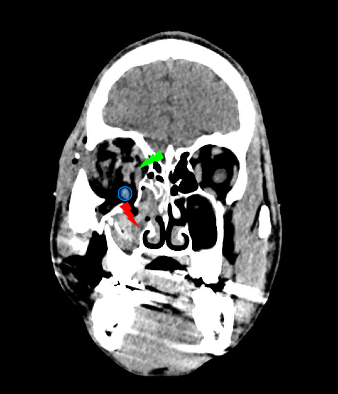
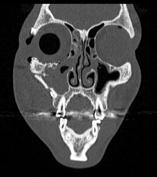
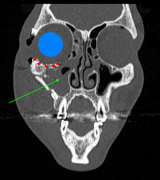
De garde, vous êtes appelé en salle de surveillance post-interventionnelle (SSPI) dans votre hôpital où vient d'être admis un patient conduit sur place par le service d'aide médicale d'urgence (Samu). Il s’agit d’un jeune homme de 20 ans, Monsieur D. Il aurait été victime, entre autres, d’un tir de Flash-Ball lors d’une rixe. Le projectile l’a atteint au niveau de la pommette et de l’orbite droites. Il présente une plaie de la région jugale haute, un œdème des paupières supérieure et inférieure. Vous ne visualisez pas le globe oculaire spontanément. Il est hémodynamiquement stable.
Question 1 - Avant qu’il ne soit sédaté et intubé pour l’exploration abdominale d’une plaie par arme blanche, vous recherchez :
Tout traumatisme orbitaire doit faire rechercher une baisse de l’acuité visuelle (même si on n’est pas ophtalmo !).
Plaie de la région jugale = risque de paralysie faciale périphérique.
On peut quasiment TOUJOURS ouvrir l’œil, l’œdème palpébral n’est pas un frein à l’examen du globe.
Traumatisme orbitaire = à risque de fracture des parois de l’orbite et donc d’incarcération d’un muscle oculomoteur.
Le patient étant stable hémodynamiquement, il est indispensable de rechercher une paralysie faciale périphérique ou un traumatisme du globe, car ils mettent en jeu le pronostic fonctionnel du patient.









