Vous êtes le médecin de garde dans l’unité de soins intensifs neurovasculaires (USINV) d’un centre hospitalo-universitaire (CHU).
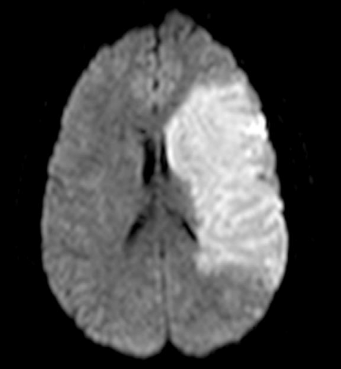
Un patient de 72 ans se présente accompagné par sa femme à 10h55 devant une parésie du bras droit associée à des difficultés pour parler.
Ce patient a comme antécédents une hypertension artérielle traitée par valsartan et hydrochlorothiazide, un diabète de type 2 bien équilibré sous metformine, et une dyslipidémie traitée par atorvastatine.
Sa femme vous informe que brutalement, à 10h du matin, son mari a lâché le pot de confiture qu’il tenait dans la main droite, puis s’est mis à avoir des difficultés d’élocution : « Il ne prononçait pas bien les mots, il avait des difficultés pour trouver ses mots. »
À l’examen, vous retrouvez une parésie du membre supérieur droit cotée à 2/5, et une aphasie motrice, les pupilles sont symétriques et réactives.
Les paramètres vitaux sont les suivants : fréquence cardiaque (FC) : 118/min ; pression artérielle (PA) : 140/92 mmHg ; température (T°) : 37,2°C ; saturation en oxygène (SpO2) : 98 % en air ambiant.
Un patient de 72 ans se présente accompagné par sa femme à 10h55 devant une parésie du bras droit associée à des difficultés pour parler.
Ce patient a comme antécédents une hypertension artérielle traitée par valsartan et hydrochlorothiazide, un diabète de type 2 bien équilibré sous metformine, et une dyslipidémie traitée par atorvastatine.
Sa femme vous informe que brutalement, à 10h du matin, son mari a lâché le pot de confiture qu’il tenait dans la main droite, puis s’est mis à avoir des difficultés d’élocution : « Il ne prononçait pas bien les mots, il avait des difficultés pour trouver ses mots. »
À l’examen, vous retrouvez une parésie du membre supérieur droit cotée à 2/5, et une aphasie motrice, les pupilles sont symétriques et réactives.
Les paramètres vitaux sont les suivants : fréquence cardiaque (FC) : 118/min ; pression artérielle (PA) : 140/92 mmHg ; température (T°) : 37,2°C ; saturation en oxygène (SpO2) : 98 % en air ambiant.
Question 1 - Dans ce contexte, indiquez parmi les examens suivants, le(s)quel(s) fait (font) partie de votre prise en charge en urgence :


Le seul examen de référence devant ce tableau clinique est l’IRM cérébrale. Il faut la réaliser le plus rapidement pour rester dans les délais de thrombolyse/thrombectomie.
La TDM cérébrale pourrait être envisagée dans un centre éloigné qui ne possède pas d’IRM. Il permettrait de diagnostiquer un AVC hémorragique mais rarement ischémique (signe de la « trop belle artère sylvienne »). Dans ce contexte, nous sommes dans une USINV d’un CHU, l’IRM est l’option numéro 1.
Les autres examens n’ont pas leur place en urgence.