Mme R, 67 ans, consulte aux urgences devant des dorsolombalgies évoluant depuis 4 semaines.
Il s’agit d’une patiente suivie par son médecin traitant pour une hypertension artérielle et une dyslipidémie pour lesquelles elle est traitée par candésartan et simvastatine. Cette patiente était cheffe gastronomique jusqu’à sa retraite. Elle est en surpoids (82 kg pour 1,67 m), fumeuse à 35 paquets-années, et consomme de l’alcool de manière régulière mais non quotidienne. Elle n’a pas d’allergie médicamenteuse.
Elle note l’apparition progressive, il y a 4 semaines, de douleurs dans le bas du dos, majorées le matin. Depuis 3 semaines, elle décrit également une douleur en hémiceinture gauche à type de décharges électriques. Elle a perdu 3 kg en 1 mois et pèse à ce jour 79 kg.
Ses constantes sont les suivantes : température (T°) = 37,7 °C ; pression artérielle (PA) = 124/78 mmHg ; fréquence cardiaque (FC) = 87 battements/min ; saturation en oxygène (SpO2) = 94 % en air ambiant. Échelle numérique à 8/10.
L’examen clinique neurologique ne montre pas de déficit sensitivomoteur aux 4 membres, hormis une hypoesthésie à hauteur de T12. Les réflexes ostéotendineux (ROT) sont vifs, mais non diffus ni polycinétiques. Il existe une douleur à la palpation des épineuses de la région lombaire haute. Vous palpez également une adénopathie sus-claviculaire gauche. Le reste de l’examen clinique est sans particularité.
Vous avez fait réaliser l’examen suivant (fig. 1) :
Figure 1 (source : M. Roulleaux Dugage)
Question 1 - Concernant cet examen et les interprétations que vous pouvez en faire :
Le liquide céphalorachidien (LCR) étant blanc, il s’agit d’une IRM rachidienne pondérée en T2.
En effet, on voit bien ici la compression médullaire par une masse hétérogène du corps vertébral de T12. Celle-ci explique les douleurs neuropathiques + hypoesthésie T12, sans syndrome sous-lésionnel pour le moment.
Il existe une lésion hétérogène du corps vertébral de T12, non centrée sur un disque et fortement évocatrice de métastase rachidienne.
À la recherche d’une hypotonie du sphincter anal dans le contexte de compression du cône terminal.
Pour rappel, on est ici devant un tableau de compression médullaire incomplet : – syndrome lésionnel (présent ici) : douleur ou déficit radiculaire ; – syndrome sous-lésionnel (non présent ici) : déficit sensitivomoteur, signe d’irritation pyramidale, troubles sphinctériens ; – syndrome rachidien (présent ici) : syndrome douloureux local.
Il n’existe pas d’hypotonie du sphincter anal. Vous avez hospitalisé la patiente, introduit une corticothérapie par voie intraveineuse (IV) et laissé la patiente en décubitus dorsal strict en attendant l’avis des neurochirurgiens. Devant l’absence de déficit moteur et le caractère incomplet du tableau de compression médullaire, ceux-ci ne retiennent pas l’indication d’une prise en charge neurochirurgicale en urgence. En revanche, l’image est très suspecte d’une localisation tumorale secondaire, et vous faites hospitaliser la patiente pour bilan après lui avoir expliqué vos craintes. Un nouvel avis neurochirurgical préconise, si le cancer est avéré, une radiothérapie rapide T11-T12-L1. Il s’agirait d’une radiothérapie de 30 Gy en 10 fractions de 3 Gy.
Question 2 - Vous réfléchissez aux modalités pratiques de la radiothérapie chez votre patiente :
On ne traite qu’une zone ciblée en radiothérapie. Le bénéfice sur des cellules tumorales à distance est rarissime et il ne s’agit pas de l’objectif.
En effet, une toxicité des organes de voisinage est à prévoir (ici, l’estomac).
La rectite radique n’est pas attendue dans ce contexte (pas dans la zone irradiée).
En effet, les fractions en radiothérapie correspondent à 1 irradiation par jour. Ici, la patiente recevra une dose de 3 Gy centrée sur T11-T12-L1 tous les jours pendant 10 jours, soit 30 Gy au total.
En effet, il faut toujours une preuve anatomopathologique du cancer avant de lancer un traitement spécifique, en particulier une radiothérapie.
On ne peut pas débuter la radiothérapie sans preuve histologique du cancer, mais on peut commencer à l’évoquer. La radiothérapie est un traitement localisé dans l’espace et on cherche donc : – à irradier la zone à traiter ; – à épargner les organes de voisinage : toxicité à court et long terme (insuffisances cardiaques, rectites et cystites radiques). Pour cela, le traitement est planifié sur la base d’un scanner prétraitement sur lequel on calibre les volumes cibles. Une fois le traitement organisé après ce scanner (24 heures aux urgences, 10-15 jours environ sinon), on organise le traitement : – délivrance d’une dose tous les jours (aux alentours de 2 Gy), chaque séance durant environ 10 minutes ; – pendant une durée variable selon l’indication et la dose totale à distribuer au volume cible (ici, 10 jours de traitement, mais 25 jours dans une radiothérapie de rectum, par exemple). On n’attend pas de bénéfice à distance du traitement, et il faut le voir comme une chirurgie.
Hors programme : de manière exceptionnelle, l’inflammation et l’activation du système immunitaire sur une des métastases induit une diminution de l’ensemble des métastases. Il s’agit de l’effet abscopal, qui est très étudié en immuno-oncologie, et notamment à la recherche d’une synergie entre radiothérapie et immunothérapie. Pour l’instant, aucune donnée fiable ne va dans ce sens.
L’examen sénologique est sans particularité. Vous avez fait organiser un scanner thoraco-abdomino-pelvien (TAP) injecté en urgence, qui montre un nodule du lobe supérieur gauche de 27 mm, sans pouvoir présager de son caractère primitif ou secondaire. Il existe également l’adénopathie sus-claviculaire de 18 mm, dont vous faites faire une biopsie. La patiente est maintenant soulagée par l’association de prégabaline 100 mg matin et soir, d’amitriptyline 25 mg le soir, de paracétamol et d’une PCA (patient controlled analgesia) de morphine à 0,8 mg/h soit 20 mg/24 h. Elle bénéficie également de néfopam. Vous souhaitez effectuer un relais per os ou transcutané des traitements morphiniques.
Question 3 - Concernant le traitement morphinique pour remplacer la PCA de morphine, vous pouvez mettre en place :
La dose équivalente serait 25 µg/h/72 h.
La dose équivalente serait de 60 mg de morphine par jour.
On ne relaie pas un palier III-IV par un palier II.
Les interdoses, à libération immédiate, correspondent à 1/6e à 1/10e de la dose de fond.
Une clé pour toujours s’en sortir sur les questions d’équivalence : 60 mg de morphine per os (PO) = 30 mg par voie sous-cutanée (SC) = 20 mg par voie intraveineuse (IV) = 30 mg d’oxycodone PO = 15 mg SC/IV = 1 patch de fentanyl délivrant la dose de 25 µg/h, que l’on change toutes les 72 heures Par convention, on arrondit, et la dose de morphine IV est égale à la dose d’oxycodone IV.
Pour cette patiente, les ordonnances devront comporter, par exemple : – morphine 30 mg LP 2 fois par jour (soit 60 mg/j) ; – avec des doses de morphine LI de 1/6e à 1/10e de la dose de base quotidienne, soit ici classiquement 10 mg jusqu’à 6 fois par jour en cas de douleur.
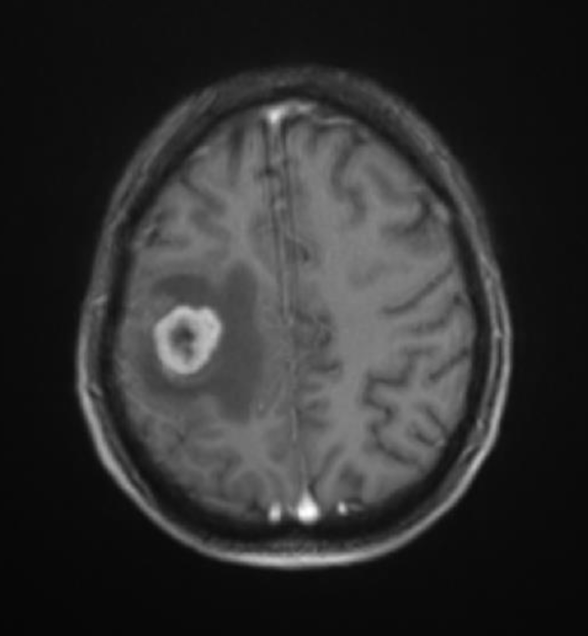
Vous êtes en attente des résultats de la biopsie sus-claviculaire gauche, dont vous avez seulement eu des résultats partiels, qui confirment la présence de cellules tumorales. Alors qu’elle est toujours hospitalisée, la patiente a un épisode de crise tonicoclonique généralisée, spontanément résolutive en 1 minute, avec retour à un état de vigilance satisfaisant. Vous faites réaliser en urgence l’examen suivant (fig. 2) :
Figure 2 (source : M. Roulleaux Dugage)
Question 4 - Concernant cet examen, il vous semble que :
Devant l’association crise épileptique + facteur causal, il existe une indication à traiter une épilepsie.
Il n’existe pas d’indication à un traitement antiépileptique prophylactique à l’ECN.
Pour rappel, il s’agit d’une séquence T1 (car anatomique : la substance blanche est plus claire que la substance grise) avec injection de gadolinium (prise de contraste des sillons et des artères méningées). C’est une image typique de métastase cérébrale avec une image arrondie, sous-corticale, avec œdème périlésionnel (hyposignal T1), avec l’image en cocarde (prise de contraste périphérique).
Vous avez introduit un traitement de fond antiépileptique par lévétiracétam. La patiente était déjà sous corticoïdes pour la compression médullaire. Pour les neurochirurgiens, il existe l’indication d’une irradiation stéréotaxique, mais sans urgence (pas d’hypertension intracrânienne [HTIC] ni de déficit sensitivomoteur). Vous êtes en attente des résultats de la biopsie sus-claviculaire, que vous aurez plus tard dans la journée. La radiothérapie de T11-T12-L1 débutera le lendemain. Vous discutez avec un confrère du dossier et du type tumoral le plus probable devant les éléments dont vous disposez.
Question 5 - Le cancer primitif le plus probable est le suivant :
On a plusieurs éléments dans ce dossier pouvant orienter : – anamnèse : tabagisme (poumon+++) + surpoids (sein, cancer colorectal notamment) ; – localisations : ° pulmonaire : primitive ou métastase ? ° osseuse : à l’ECN, PPRST (poumon, prostate, rein, sein, thyroïde), ° cérébrale : à l’ECN, poumon (+++), sein (surtout triple négatif ou HER2+), mélanome, rein, ° ganglionnaire.
Vous récupérez l’anatomopathologie : il s’agit d’un adénocarcinome CK7+, CK20-, TTF1+, RH-.
Question 6 - Quel(s) est (sont) le(s) élément(s) supplémentaire(s) dont vous avez besoin pour pouvoir discuter de la prise en charge ?
Il ne s’agit pas d’un cancer du sein.
La recherche d’une mutation EGFR se fait par séquençage.
L’immunohistochimie révèlera une surexpression de la protéine transmembranaire ALK, en faveur de son réarrangement.
Orientera la prise en charge.
c-kit est muté dans les GISTs. Ce n’est pas le tableau ici.
De manière très simple, il faut retenir absolument : adénocarcinome pulmonaire = CK7+ CK20- TTF1+. Pour rappel, sur l’immunohistochimie diagnostique : – adénocarcinome pulmonaire : CK7+, CK20 –, TTF1+ (80 %) ; – adénocarcinome digestif : CK7-, CK20+, TTF1- ; – cancer du sein : récepteurs hormonaux positifs ; – tumeur neuroendocrine : chromogranine, synaptophysine, CD56. Par ailleurs, devant tout cancer du poumon : – on doit rechercher l’expression de PD-L1 sur tissu tumoral ; – une analyse moléculaire comprenant au moins ALK, ROS, EGFR, KRAS est recommandée dans les cancers non épidermoïdes de stade avancé et dans les épidermoïdes chez les non-fumeurs. Les mutations de BRAF, HER2, RET, NTRK sont présentes et peuvent être recherchées pour un traitement spécifique, mais une recherche automatique n’est pas recommandée aujourd’hui (Collège de pneumologie, novembre 2020).
La fin des résultats vous arrive enfin. Il s’agit d’un adénocarcinome pulmonaire avec métastases osseuse, ganglionnaire, et cérébrale unique sans mutation KRAS, EGFR, ALK, ROS1, MET, RET, BRAF ou HER2 (panel élargi). PD-L1 est surexprimé par 30 % des cellules tumorales. La patiente est en bon état général, PS0, sans dénutrition clinicobiologique. Les sérologies virales sont négatives, et le bilan préthérapeutique est sans particularité. La patiente est en cours de radiothérapie de sa métastase T12. Vous faites l’annonce du diagnostic de cancer à la patiente et lui dites que le dossier sera discuté le lendemain en réunion de concertation pluridisciplinaire (RCP).
Question 7 - En RCP, les stratégies qui pourront être discutées seront les suivantes :
Même si la patiente est sous corticoïdes, ce qui risque de diminuer l’efficacité du traitement.
La chimiothérapie dans le cancer du poumon se fonde sur un doublet à base de sels de platine.
Il n’existe pas de mutation EGFR.
Les traitements par inhibiteurs de l’aromatase font partie de l’arsenal thérapeutique dans le cancer du sein RH+.
Toujours en oncologie.
Quelques éléments de prise en charge du cancer du poumon métastatique non à petites cellules : (Attention ! Il ne s’agit ici pas de recommandations officielles, mais juste de repères de prise en charge. On ne vous demandera pas de discuter les indications thérapeutiques, qui sont bouleversées en ce moment avec beaucoup de nouvelles études.) – chimiothérapie : doublet à base de sels de platine ; – immunothérapie : anticorps anti-PD1 (pembrolizumab principalement) surtout : ° si expression de PD-L1 par > 50 % des cellules tumorales : monothérapie possible, ° association possible avec chimiothérapie sinon ; – présence d’une mutation tumorale activatrice ? ° si mutation EGFR : ITK anti-EGFR (1re génération : erlotinib, gefitinib ; 2e génération : afatinib ; 3e génération : osimertinib), ° si mutation ALK : ITK anti-ALK (crizotinib, alectinib, lorlatinib), ° autres traitements si mutation BRAF, HER2, RET, MET, NTRK1/2… TOUJOURS : accès aux soins de support, prise en charge palliative associée.
– syndrome lésionnel (présent ici) : douleur ou déficit radiculaire ;
– syndrome sous-lésionnel (non présent ici) : déficit sensitivomoteur, signe d’irritation pyramidale, troubles sphinctériens ;
– syndrome rachidien (présent ici) : syndrome douloureux local.