Lucie, 14 ans, vient en consultation pour une dermatose prurigineuse de la face antérieure des coudes (figure 1) et du visage. Elle n’a pas d’altération de l’état général. Elle n’a pas d’antécédent particulier, excepté une bronchiolite à l’âge de 9 mois.

Figure 1 (Coll. Dr A. Bertolotti) 
Question 1 - Votre principale hypothèse diagnostique est la suivante :
L’impétigo est une dermatose bulleuse qui évolue vers des croûtes jaunâtres méllicériques.
Le psoriasis est une dermatose érythémato-squameuse, localisée préférentiellement au dos des coudes et classiquement décrite comme non prurigineuse.
Les lésions de lupus discoïdes sont souvent plus atrophiques, apparaissant principalement sur des zones photoexposées.
Les dermatophyties sont érythémato-squameuses avec une évolution circinée, mais le centre de la lésion n’est généralement plus squameux. On parle de centre clair.
Question 2 - Vous prescrivez les examens complémentaires suivants :
Le diagnostic de dermatite atopique est clinique. Dans certaines formes plus atypiques, la biopsie cutanée peut être justifiée, mais ce n’est pas le cas ici.
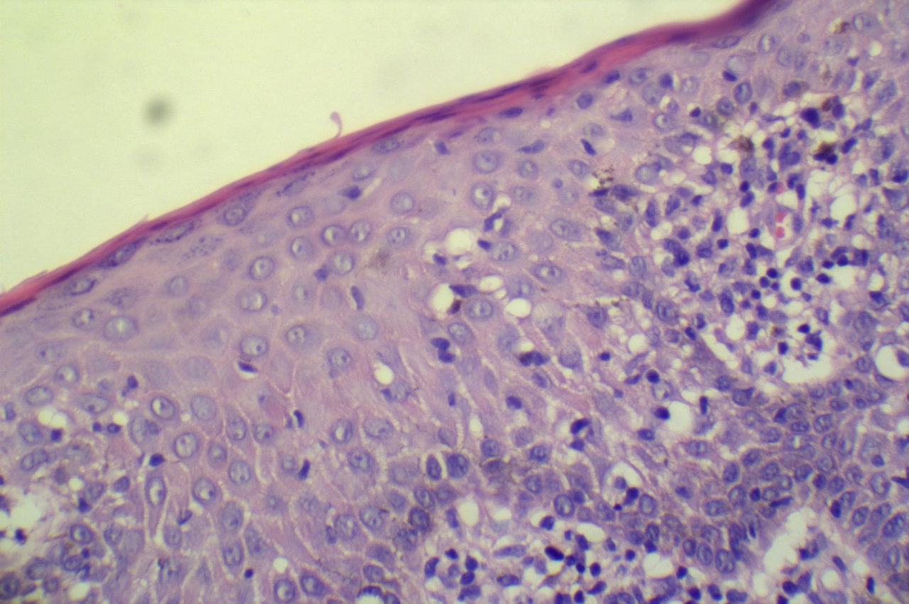
Finalement, vous apprenez qu’un collègue en ville avait réalisé une biopsie cutanée quelques semaines auparavant. Vous parvenez à la récupérer. En voici l’image microscopique (figure 2) :

 

Figure 2 (Coll. Dr A. Bertolotti) 
Question 3 - Que voyez-vous sur cette biopsie ?
L’hyperkératose est une augmentation d’épaisseur de la couche cornée (que l’on voit classiquement dans le psoriasis, entre autres). Cette dernière est normale ici. À noter que sur cette image on voit encore le noyau des cellules dans la couche cornée (parakératose).
On ne voit pas de polynucléaire avec un cytoplasme rosé.
La spongiose est cette accumulation de liquide (blanc) entre les kératinocytes qui confluent pour donner des microvésicules. Si vous regardez bien, on observe entre les kératinocytes des petits traits qui correspondent aux desmosomes.
Il s’agit d’un infiltrat de lymphocytes que l’on observe dans le derme, or ici on ne voit que l’épiderme.
Il s’agit d’un infiltrat de lymphocytes que l’on observe dans le derme, or ici on ne voit que l’épiderme.
Il s’agit effectivement d’un eczéma.
Question 4 - Quel traitement instaurez-vous ?
Recommandé pour le psoriasis.
Action kératolytique qui va irriter la peau ici. Traitement recommandé pour le psoriasis.
Permet de renforcer la barrière cutanée.
La prise en charge d’un eczéma en première intention repose sur les émollients et les dermocorticoïdes de classe forte. Ces derniers seront à appliquer tous les jours jusqu’à la disparition des lésions et à poursuivre par intermittence quelques semaines supplémentaires pour éviter les récidives précoces. Pour le visage, il est recommandé d’employer le tacrolimus topique (inhibiteur de la calcineurine topique).
Question 5 - Quels conseils pouvez-vous apporter à la patiente et sa famille ?
Il faut vacciner normalement ; en cas d’allergie à l’œuf, il faudra prendre un avis spécialisé pour la vaccination contre la grippe et la fièvre jaune.
Recommandé pour l’eczéma.
Préférer le coton et le lin plutôt que les textiles irritants (laine, synthétiques à grosses fibres).
Ne pas donner de corticoïdes per os pour un eczéma, même aigu, devant le risque élevé de phénomène de rebond et de dépendance.
Vous revoyez la patiente 2 ans plus tard car elle ne parvient plus à contrôler son eczéma avec les soins locaux.
Question 6 - Vous pouvez lui proposer la (les) thérapeutique(s) suivante(s) :
Traitement immunosuppresseur non employé en pratique dans l’eczéma, contrairement à sa forme topique.
Il est recommandé pour le psoriasis, pas dans l’eczéma. Par contre, l’alitrétinoïne est proposé dans les eczémas des mains.
Les anti-TNF alpha ne sont pas efficaces dans l’eczéma ; par contre, on utilise le dupilumab (anti IL4,13) et les anti-JAK désormais dans les formes sévères.
Vous lui proposez de débuter de la ciclosporine.
Question 7 - Vous l’informez sur les points suivants :
Il s’agit d’une mesure à réaliser pour le méthotrexate.
Il ne s’agit pas d’un effet secondaire classiquement décrit, contrairement à l’insuffisance rénale qui est à contrôler régulièrement.

Exercez-vous aux ECN avec les dossiers progressifs et les LCA de La Revue du Praticien