Vous êtes le médecin des urgences dans le centre hospitalier universitaire (CHU) d’une grande ville. Un patient de 45 ans est amené par les pompiers pour une crise convulsive tonicoclonique généralisée. L’entourage du patient vous informe que la crise dure depuis 20 minutes, qu’il était sur un quai de métro quand il est brusquement tombé à terre, les 4 membres raides, avec les yeux révulsés ; puis la partie gauche de son corps a convulsé avant généralisation au reste du corps.
Il est d’origine malienne et habite en France depuis 8 ans, il n’a pas d’autre antécédent connu.
À l’examen, vous observez des convulsions tonicocloniques généralisées, il est inconscient, les pupilles sont normoréactives.
Les paramètres vitaux relevés sont : pression artérielle (PA) = 150/90 mmHg ; fréquence cardiaque (FC) = 130 bpm ; saturation en oxygène (SpO2) = 94 % en air ambiant ; température (T°) = 38,6 °C ; fréquence respiratoire (FR) = 24/min.
Question 1 - Parmi les éléments suivants, indiquez celui ou ceux que vous recherchez à l’examen clinique pour confirmer votre diagnostic de crise d’épilepsie :
La Société française de médecine d’urgence (SFMU) et la Société de neurologie ont émis en 2015 une recommandation sur la prise en charge d’une première crise d’épilepsie : www.sfmu.org Dans cette recommandation sont bien rappelés les critères cliniques permettant de différencier les trois diagnostics possibles devant une crise convulsive : la crise d’épilepsie, la syncope convulsivante, et la crise psychogène. Dans les syncopes, l’apnée induite peut entraîner des myoclonies apparentées par les témoins à de véritables convulsions de crise épileptique. Il faut bien distinguer ces deux entités d’avec les autres éléments cliniques.
À noter : ces critères cliniques sont retrouvés très souvent dans les questions d’ECN.
Vous vous orientez vers une crise d’épilepsie tonicoclonique généralisée avec évolution vers un état de mal épileptique.
Question 2 - Parmi les mesures suivantes, indiquez laquelle (lesquelles) fait (font) partie de votre prise en charge :
Devant un état de mal épileptique (EME), il faut rechercher une cause rapidement réversible, notamment l’hypoglycémie. Il faut limiter les conséquences d’une agression en prévenant les facteurs d’agression cérébrale secondaire d’origine systémique (ACSOS) : oxygénothérapie, contrôle de la pression artérielle, contrôle thermique, contrôle ionique… La recherche d’une étiologie (hormis celles rapidement réversibles) sera réalisée après la résolution de l’état de mal. L’urgence est de traiter l’état de mal. Indication d’intubation orotrachéale (IOT) dans le cadre d’un état de mal épileptique : – insuffisance respiratoire aiguë ; – contexte d’agression cérébrale aiguë sévère ; – état de mal réfractaire au traitement antiépileptique de deuxième ligne bien conduit ; – altération de la vigilance malgré l’arrêt des convulsions, avec mauvaise tolérance respiratoire ; – sécurisation du transport.
Le patient est admis au déchocage du service d’accueil des urgences (SAU), une surveillance cardiotensionnelle et une oxygénothérapie à 3 L/min est mise en place. La glycémie est à 5,1 mmol/L. Il n’a reçu aucun traitement depuis sa prise en charge par les pompiers.
Question 3 - Parmi les traitements suivants, indiquez celui (ceux) qui peut (peuvent) faire partie de votre prise en charge ?
La prise en charge de l’état de mal épileptique a fait l’objet d’une nouvelle recommandation de la Société de réanimation de langue française (SRLF) en 2018. Ci-dessous le tableau qui résume la prise en charge (figure 1).
Figure 1 (Source : Prise en charge des états de mal épileptiques en préhospitalier, en structure d’urgence et en réanimation dans les 48 premières heures (à l’exclusion du nouveau-né et du nourrisson), SRLF – SFMU) Dans ce dossier, le patient n’a pas encore reçu de traitement, on débute par une dose d’antiépileptique de courte durée d’action (benzodiazépine) puis réévaluation à 5 minutes. Si la voie IV n’est pas accessible (extrahospitalier, perfusion difficile), on peut administrer du midazolam par voie IM. Les doses du traitement de l’état de mal épileptique sont à connaître, c’est écrit dans l’item. Une dose de clonazépam à 0,015 mg/kg correspond à 1 mg pour un adulte de 70 kg, et 0,15 mg/kg correspond à 10 mg, il y a un facteur 10 entre le clonazépam et le midazolam.
Sources : – Collège de neurologie ; – Société de réanimation de langue française, Société française de médecine d’urgence (SRLF-SFMU). Prise en charge des états de mal épileptiques en préhospitalier, en structure d’urgence et en réanimation dans les 48 premières heures (à l’exclusion du nouveau-né et du nourrisson).
Vous avez administré du clonazépam au patient par voie IV. Cinq minutes après, le patient convulse toujours.
Question 4 - Parmi les traitements suivants, indiquez celui (ceux) qui peut (peuvent) faire partie de votre prise en charge :
Selon la recommandation de la SRLF 2018, il faut renouveler une dose d’antiépileptique de courte durée d’action si les crises persistent à 5 minutes de la première dose. Cette prise en charge a été modifiée par rapport aux précédentes recommandations de 2015 dans lesquelles il fallait associer d’emblée un antiépileptique de longue durée d’action.
Sources : – Collège de neurologie ; – SRLF-SFMU. Prise en charge des états de mal épileptiques en préhospitalier, en structure d’urgence et en réanimation dans les 48 premières heures (à l’exclusion du nouveau-né et du nourrisson).
Vous réalisez une 2e injection de clonazépam. Cinq minutes après, le patient a toujours des convulsions tonicocloniques généralisées. Paramètres vitaux : SpO2 = 97 % sous 3 L d’oxygène ; FR : 25/min ; FC = 110/min ; PA = 123/75 mmHg.
Question 5 - Parmi les traitements suivants, indiquez celui (ceux) qui peut (peuvent) faire partie de votre prise en charge :
C’est la 3e étape de la prise en charge de l’état de mal épileptique. Ici il n’y a pas encore de critères pour réaliser une intubation orotrachéale. Pour rappel, l’intubation orotrachéale dans le contexte d’état de mal épileptique est indiquée dans les cas suivants : – insuffisance respiratoire aiguë ; – contexte d’agression cérébrale aiguë sévère ; – état de mal épileptique réfractaire au traitement antiépileptique de deuxième ligne bien conduit ; – altération de la vigilance malgré l’arrêt des convulsions, avec mauvaise tolérance respiratoire ; – sécurisation du transport. Le thiopental est un médicament d’induction de l’anesthésie générale dans le cadre d’un état de mal épileptique.
Sources : – Collège de neurologie ; – SRLF-SFMU. Prise en charge des états de mal épileptiques en pré-hospitalier, en structure d’urgence et en réanimation dans les 48 premières heures (à l’exclusion du nouveau-né et du nourrisson).
La phosphénytoïne est débutée, permettant de faire céder les convulsions 10 minutes après l’introduction. À l’examen clinique, les pupilles sont normoréactives, le patient n’ouvre pas les yeux à la douleur, il émet un grognement et dirige sa main vers le stimulus douloureux. Paramètres vitaux : PA = 120/72 mmHg ; SpO2 = 97 % sous 3L ; T° : 38,6 °C ; FR = 25/min.
Question 6 - Parmi les propositions suivantes, indiquez laquelle (lesquelles) est (sont) exacte(s) :
Si le patient n’avait pas cessé les convulsions au bout de 30 minutes après introduction de l’antiépileptique de 2e ligne, on aurait réalisé une anesthésie générale avec intubation orotrachéale en séquence rapide (cf. arbre de prise en charge dans le commentaire de la question 3). Ici, le patient a un score de Glasgow à 8, avec une bonne tolérance respiratoire, n’indiquant pas une intubation orotrachéale. Chez ce patient, qui a eu une crise d’épilepsie partielle secondairement généralisée avec état de mal, il faut rechercher une cause neurologique. Dès que les convulsions cessent, il faut réaliser une TDM cérébrale en urgence. Indications d’une TDM cérébrale en cas d’état de mal épileptique : – état de mal épileptique post-traumatique ; – post-acte neurochirurgical ; – signes focaux cliniques (début partiel de la crise, signes déficitaires) ; – signes récents d’hypertension intracrânienne (HTIC). L’EEG est indiqué en cas de doute sur un pseudo-état de mal, en cas de suspicion d’EME non convulsif (état de mal larvé qui doit être suspecté en cas de persistance d’une confusion prolongée). Il n’y a pas d’indication à le faire en urgence ici. La ponction lombaire est indiquée dans un contexte infectieux ou d’immunodépression. Ici, le patient a 38,6 °C de température, il faut rechercher une infection méningée.
À noter : à l’ECN, le score de Glasgow a une très forte probabilité de tomber et se retrouve dans de très nombreux dossiers progressifs de réanimation. Il y a souvent des ambiguïtés sur les termes utilisés dans le score, surtout pour la réponse motrice. Voici le détail avec tous les termes possibles pour décrire la réponse motrice et verbale. Réponse motrice : 6 : à la demande 5 : orientée (= adaptée) (= localise la douleur) à la douleur : bouge un membre pour essayer de supprimer le stimulus douloureux 4 : évitement (= retrait) : retire le membre qui a reçu le stimulus douloureux 3 : flexion stéréotypée : flexion des 2 membres supérieurs quel que soit le stimulus douloureux, correspond à une décortication 2 : extension stéréotypée : extension des tous les membres et rotation interne des 2 membres supérieurs (manœuvres d’enroulement) correspond à une décérébration 1 : aucune réponse à la douleur Pour la réponse verbale, il y a aussi des termes différents : 5 : adaptée 4 : confusion (désorientation temporo-spatiale) 3 : incohérent (propos décousus) 2 : incompréhensible (grognement, onomatopée) 1 : aucune réponse
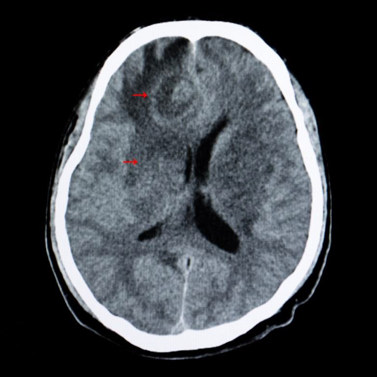
Le patient est transféré en urgence pour une TDM cérébrale afin de réaliser le bilan étiologique de son état de mal épileptique. Voici une coupe de la TDM cérébrale (figure 2). Figure 2 (Source : Adobe Stock)
Question 7 - Concernant cette coupe tomodensitométrique cérébrale, indiquez la (les) proposition(s) exacte(s) :
Pour les coupes d’imagerie, voici le vocabulaire : – axiale = transversale -> on voit le cerveau en étant au-dessus du patient ; – coronale = frontale -> on voit le cerveau en étant face au patient ; – sagittale -> on voit le cerveau en regardant le patient de côté. Ici on voit un rehaussement en périphérie de la lésion, la TDM est donc injectée. La zone hypodense autour de la lésion correspond à un œdème réactionnel à la lésion. On observe un effet de masse de la lésion sur le ventricule droit avec un engagement sous-falcoriel (glissement de l’hémisphère cérébral sous la faux du cerveau).
Question 8 - Parmi les pathologies suivantes, indiquez celle ou celles qui sont compatibles avec le tableau clinique et l’imagerie cérébrale du patient :
Devant une image cérébrale avec prise de contraste en cocarde (contour hyperdense et centre hypodense), il faut évoquer trois étiologies : – tumeur cérébrale ; – abcès cérébral ; – métastases cérébrales. La partie centrale est en fait nécrosée, c’est pour ça qu’elle ne prend pas le contraste. Les cancers solides qui donnent le plus de métastases cérébrales sont les cancers du sein, du poumon et le mélanome.
Dans le cadre du bilan étiologique, vous réalisez une sérologie VIH qui revient positive avec un taux de CD4 à 92/mm3 et une charge virale à 60 000 copies/mm3.
Question 9 - Dans ce contexte, parmi les propositions suivantes indiquez quelle est la principale complication du VIH à évoquer.
Ce patient est infecté par le virus de l’immunodéficience humaine (VIH) au stade sida. Parmi les infections opportunistes du stade sida, la principale qui donne des abcès cérébraux est la toxoplasmose cérébrale. La cryptococcose donne plutôt un tableau de méningite progressive avec des signes neurologiques focaux, avec une imagerie cérébrale le plus souvent normale. La leuco-encéphalopathie multifocale progressive (LEMP) est une infection due au virus JC qui entraîne une démyélinisation de la substance blanche et survient chez les patients immunodéprimés, par une maladie ou un traitement (natalizumab, par exemple, qui est un traitement de fond de la sclérose en plaques [SEP]). La symptomatologie dépend des territoires démyélinisés mais est proche de celle de la SEP. À l’imagerie par résonance magnétique (IRM), on observe des lésions en hyper-T2 sans effet de masse ni œdème ni prise de contraste (identique à l’imagerie de la SEP). Le traitement consiste en la restauration immunitaire. L’infection à CMV atteint surtout la rétine entraînant une nécrose hémorragique, très peu d’atteinte cérébrale qui se manifesterait par une encéphalite, une méningite ou une névrite. La pneumocystose est une maladie spécifique du poumon caractérisée par la nécrose de l’épithélium bronchique (dont le marqueur est l’augmentation de lactate deshydrogénase [LDH]).
Vous suspectez fortement une toxoplasmose cérébrale avec abcès frontal droit compliqué d’un état de mal épileptique chez ce patient qui a une infection par le VIH au stade sida.
Question 10 - Parmi les examens suivants, indiquez celui ou ceux qui permettent de poser le diagnostic de toxoplasmose cérébrale :
Seules les réactivations de toxoplasmose peuvent donner une atteinte cérébrale. Sérologie toxoplasmose négative : diagnostic de toxoplasmose cérébrale exclu. Sérologie toxoplasmose positive : non contributif pour le diagnostic d’atteinte cérébrale. La PCR toxoplasmose dans le LCR est peu sensible mais très spécifique et doit être réalisée. La PCR toxoplasmose dans le sang n’apporte pas d’arguments pour une atteinte cérébrale. En l’absence de certitude diagnostique, mais avec un tableau clinique très évocateur, on peut réaliser un traitement d’épreuve de la toxoplasmose. L’amélioration clinique porte le diagnostic de toxoplasmose cérébrale. En l’absence d’amélioration au bout de 15 jours, il faut réaliser une biopsie stéréotaxique cérébrale qui mettra en évidence le parasite ou son ADN. La technique de coloration à l’encre de Chine du LCR est réalisée pour la recherche de la cryptococcose cérébrale.
Source : ECN Pilly 2020.
La PCR Toxoplasma gondii est positive dans le LCR. On retient le diagnostic de toxoplasmose cérébrale chez ce patient.
Question 11 - Parmi les traitements suivants, indiquez celui ou ceux que vous débutez chez ce patient.
Le traitement de référence de la toxoplasmose cérébrale est l’association pyriméthamine + sulfadiazine + acide folinique. La sulfadiazine est un sulfamide, faire attention aux allergies. L’acide folinique est utilisé pour limiter les carences en acide folique, car l’association pyriméthamine – sulfadiazine inhibe le métabolisme de la vitamine B9. Amphotéricine B : traitement de la cryptococcose. Cotrimoxazole : traitement de la pneumocystose. Corticoïdes : traitement associé de la pneumocystose si PaO2 < 70 mmHg. Jamais de traitement antirétroviral en urgence, le risque est le syndrome de restauration immunitaire : les lésions des infections opportunistes sont peu inflammatoires dans le contexte d’immunodépression, si on rétablit un système immunitaire avant d’avoir traité l’infection opportuniste il va y avoir un afflux de lymphocytes sur ces lésions et induire une réaction inflammatoire délétère pour l’organisme. Il faut attendre environ quinze jours voire un mois de traitement de l’infection opportuniste avant de débuter le traitement antirétroviral.
Source : ECN Pilly 2020.
Ce patient a une infection par le VIH au stade sida avec un taux de CD4 à 92/mm3, compliquée d’une toxoplasmose cérébrale traitée par pyriméthamine, sulfadiazine associée à de l’acide folinique.
Question 12 - Parmi les examens biologiques suivants, indiquez celui ou ceux que vous réalisez pour compléter le bilan de son infection par le VIH :
Chez ce patient au stade sida avec un taux de CD4 < 100/mm3 il faut rechercher les infections opportunistes (ici CMV et cryptococcose). Lors du diagnostic de VIH, il faut rechercher les infections associées (ici syphilis, VHB, VHC). Chez ce patient avec des CD4 < 100/mm3, si la sérologie CMV est positive, il faudra faire une PCR CMV régulièrement pour vérifier l’absence de réplication du virus.
Source : ECN Pilly 2020.
Après un traitement adapté de la toxoplasmose cérébrale par pyriméthamine-sulfadiazine-acide folinique, le patient n’a pas eu de nouvelles crises d’épilepsies. Il est asymptomatique, l’imagerie cérébrale de contrôle montre une bonne régression de la lésion. Un traitement préventif secondaire par les mêmes molécules à demi-dose est débuté. Un traitement antirétroviral du VIH par ténofovir + emtricitabine + éfavirenz est débuté. Cinq semaines après le début du traitement de la toxoplasmose et deux semaines après celui du VIH, le patient a de nouveau une fébricule à 38,2 °C, associé à un œdème du visage érythémateux avec une poly-adénopathie généralisée et des lésions érythémateuses étendues.
Question 13 - Parmi les diagnostics suivants, indiquez celui qui est le plus probable.
Ici on est devant une toxidermie médicamenteuse. L’infection par le VIH est un facteur de risque de développer une toxidermie. Il existe des critères d’imputabilité intrinsèque (critère chronologique et sémiologique) et extrinsèque (bibliographie) en rapport avec un DRESS dû aux sulfamides (sulfadiazine). Critères intrinsèques : introduction de sulfadiazine il y a 6 semaines (délai pour le DRESS entre deux et six semaines) et présentation clinique compatible. Critères extrinsèques : la sulfadiazine qui est un sulfamide est connue pour être responsable de DRESS. Les autres molécules sont plus difficiles à incriminer car les critères extrinsèques ne sont pas remplis. Les autres toxidermies sont plus difficiles à évoquer car les critères intrinsèques ne sont pas remplis. Délai entre l’introduction d’un médicament et la toxidermie : – drug reaction with eosinophilia and systemic symptoms (DRESS) : 2-6 semaines ; – nécrose épidermique toxique (NET) : 7-21 jours ; – pustulose exanthématique aiguë généralisée (PEAG) : moins de 4 jours.
Les données cliniques concordent pour porter le diagnostic de DRESS.
Question 14 - Parmi les propositions suivantes concernant le DRESS, indiquez celle ou celles qui sont exactes.
Pourvoyeurs de DRESS : – allopurinol ; – antiépileptiques ; – sulfamides ; – inhibiteurs de l’enzyme de conversion (IEC). Délai de 2 à 6 semaines après l’introduction de la molécule. L’abacavir, qui est un traitement du VIH de la famille des inhibiteurs nucléosidiques de la transcriptase inverse (INTI), peut induire des DRESS si le patient a l’allèle HLA-B*5701. Cette recherche de HLA fait partie du bilan lors de tout diagnostic de VIH. Le DRESS est associé à une réactivation de virus du groupe herpès (HHV6, HHV7, EBV, CMV). Toute toxidermie grave ou non connue doit être notifiée à la pharmacovigilance.
Le médicament probablement imputable est la sulfadiazine. Le dernier bilan biologique retrouve un taux de CD4 toujours inférieur à 100/mm3.
Question 15 - Parmi les médicaments suivants, indiquez lequel (lesquels) peut (peuvent) être administré(s) pour prévenir les infections opportunistes auquel le patient est exposé :
Le patient a une allergie aux sulfamides. Contre-indication au cotrimoxazole (= sulfaméthoxazole-thimétropine = Bactrim). Contre-indication à la sulfadiazine. Pour la prévention de la pneumocystose chez ce patient, il faut donc utiliser l’atovaquone ou les aérosols de pentamidine. Pyriméthamine-clindamycine permet de prévenir la récidive de toxoplasmose cérébrale en cas d’allergie aux sulfamides. Aucune indication en prévention primaire et secondaire de la candidose œsophagienne par le fluconazole.
Dans cette recommandation sont bien rappelés les critères cliniques permettant de différencier les trois diagnostics possibles devant une crise convulsive : la crise d’épilepsie, la syncope convulsivante, et la crise psychogène.
Dans les syncopes, l’apnée induite peut entraîner des myoclonies apparentées par les témoins à de véritables convulsions de crise épileptique. Il faut bien distinguer ces deux entités d’avec les autres éléments cliniques.
À noter : ces critères cliniques sont retrouvés très souvent dans les questions d’ECN.
Source : Prise en charge d’une première crise d’épilepsie de l’adulte. Société française de neurologie.