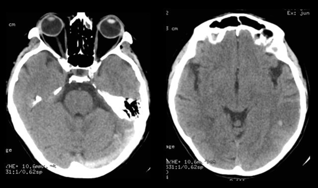
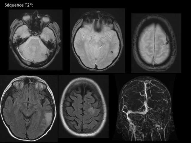
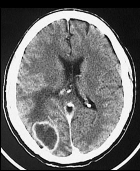
Vous êtes interne de neurologie au CHU. L’interne de gynécologie-obstétrique vous appelle à 13h45 pour une de ses patientes qui vient de présenter une crise d’épilepsie généralisée. La patiente est âgée de 33 ans et a accouché 72 heures plus tôt par césarienne (en raison de troubles du rythme cardiaque fœtal) d’une fille de 3,3 kg qui se porte très bien. Mme G se portait très bien jusqu’à ce matin, où elle a commencé à se plaindre de céphalées diffuses et présentait une fièvre à 38,7 °C (ECBU en cours, cicatrice de césarienne légèrement inflammatoire
Son mari a prévenu l’équipe médicale à 13h30 car sa femme a présenté brutalement la symptomatologie suivante : « cela a commencé par des difficultés à s’exprimer pendant quelques secondes : elle n’arrivait plus à dire certains mots, puis elle est devenue toute raide avec les yeux révulsés et semblait avoir des difficultés à respirer, elle ne répondait plus aux questions. Puis sont apparus des tremblements très importants de tout le corps pendant environ une minute ». Actuellement, la patiente est somnolente mais réveillable et ses propos ne sont pas très compréhensibles. Le reste de l’examen serait normal.
Vous vous rendez à la maternité pour examiner la patiente.
Son mari a prévenu l’équipe médicale à 13h30 car sa femme a présenté brutalement la symptomatologie suivante : « cela a commencé par des difficultés à s’exprimer pendant quelques secondes : elle n’arrivait plus à dire certains mots, puis elle est devenue toute raide avec les yeux révulsés et semblait avoir des difficultés à respirer, elle ne répondait plus aux questions. Puis sont apparus des tremblements très importants de tout le corps pendant environ une minute ». Actuellement, la patiente est somnolente mais réveillable et ses propos ne sont pas très compréhensibles. Le reste de l’examen serait normal.
Vous vous rendez à la maternité pour examiner la patiente.
Question 1: En attendant votre arrivée, vous demandez à votre collègue :
10 mg de clonazépam = Surdosage majeur
Il est important de poser une voie veineuse périphérique pour avoir une voie d’abord veineuse en cas de récidive de crise épileptique, pour administrer un traitement IV. Pas d’indication à ce stade à appeler le réanimateur, ni à administrer un traitement antiépileptique par benzodiazépine (pas d’état de mal épileptique).


