Mme M., patiente de 35 ans, consulte aux urgences à 7 h du matin pour une gêne visuelle. Depuis 3 jours, elle ressent un « dédoublement des images, l’une à côté de l’autre », vous dit-elle. Elle a également un mal de tête de fond, intense ce matin.

Ses constantes sont : température : 37,6 °C ; pouls = 67 bpm, tension artérielle = 14/7 ; saturation en oxygène = 97 % en air ambiant.

Elle ne vous rapporte pas d’antécédent notable, ne fume pas, ne prend aucun traitement hormis du paracétamol occasionnellement.

Figure 1 (source : S. Demortière)
Question 1 - Lors de l’analyse sémiologique vous constatez (une ou plusieurs réponses possibles) :
Paralysie oculomotrice avec atteinte de l’abduction vers l’extérieur de l’œil droit, évocatrice d’une atteinte de la 6e paire crânienne droite.
Figure 1bis (source : S. Demortière)
Question 2 - Devant ce tableau clinique, la stratégie diagnostique et la cinétique que vous adoptez sont (une ou plusieurs réponses possibles) :
La patiente a un signe de focalisation (atteinte d’une paire crânienne), il est indispensable d’écarter un risque d’engagement cérébral avant de faire une PL, donc faire une imagerie.
De plus, sur le tableau comprenant atteinte de la 6e paire crânienne et céphalée matinale, le fond d’œil permet de rechercher rapidement un œdème papillaire en faveur d’une hypertension intracrânienne.
La patiente n’a pas de signe de sepsis qui nécessiterait de débuter une antibiothérapie à l’aveugle.
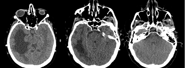
La patiente est hospitalisée, voici certains clichés de son imagerie cérébrale :
Figure 2 (source : S. Demortière)
Figure 3 (source : S. Demortière)

À noter : une imagerie médullaire récente est sans anomalie.
Les résultats de l’analyse du liquide cérébrospinal (LCS) sont les suivants :
– pression de liquide = 15 cm d’eau ;
– 45 éléments lymphocytaires ;
– protéinorachie = 0,9 g/L ;
– glycorachie = 4 mmol/L, glycémie capillaire = 7 mmol/L ;
– pas de germe au direct ;
– cytométrie de flux rapport LT4/LT8 augmenté, lymphocytes matures d’aspect normal ;
– immunologie : pas de synthèse intrathécale d’immunoglobuline, pas d’anticorps antineuronaux ;
– anatomopathologie : pas d’autre cellule que les lymphocytes matures.
Question 3 - Les résultats disponibles vous orientent plutôt vers une hypothèse diagnostique de :
L’imagerie par résonance magnétique (IRM) cérébrale en pondération FLAIR montre un épaississement diffus des méninges évocateur d’une pachyméningite.
La PL montre une méningite lymphocytaire avec une inversion du rapport LT4/LT8.
Chez une jeune femme en bonne santé par ailleurs.
Aspect devant faire rechercher une granulomatose en première intention.
Donc :
– pas de lésion inflammatoire parenchymateuse + pas de synthèse intrathécale = pas de SEP ;
– pas de cellules tumorales en anapath, donc pas en première intention une tumeur.
Mais, à garder en tête :
– pas d’atteinte opticomédullaire (ni de l’area postrema ou hypophysaire) = donc pas de neuromyélite optique (NMO) ;
– pas d’anomalie corticale ni d’anticorps ni de synthèse de la PL = pas d’encéphalite dysimmune.
À noter devant une pachyméningite diffuse : intérêt d’écarter une hypotension chronique du LCS (ici PL non évocatrice) et IRM médullaire sans argument pour brèche durale.
La patiente vous montre sur ses jambes des lésions cutanées violacées/bleutées qu’elle a depuis quelques semaines et dont elle ne vous avait pas parlé auparavant.
C’est douloureux à la palpation, quelque peu induré.
Figure 4 (source : S. Demortière)
Question 4 -Vous suspectez une sarcoïdose, les résultats en faveur de cette hypothèse diagnostique seraient (une ou plusieurs réponses possibles) :
L’ECA est un marqueur sensible non spécifique de la sarcoïdose.
Les photos sont évocatrices d’un érythème noueux qui peut être présent dans la sarcoïdose (mais aussi dans la tuberculose, l’infection à Yersinia, le streptocoque, l’iatrogénie…).
Les adénopathies médiastinales sont classiquement bilatérales non compressives.
Une méningite peut être associée : lymphocytaire aseptique.
Le diagnostic de certitude est histologique montrant un granulome non nécrotique.
Le diagnostic de sarcoïdose avec atteinte médiastinale, cutanée et neurologique se confirme. Une corticothérapie seule est mise en place pour le moment.
Question 5 - Les mesures associées à prévoir sont :
Les macrophages du granulome sécrètent souvent de la vitamine D, donc pas de nécessité de supplémenter.
Les mesures classiques de prévention des complications des corticoïdes au long cours (métabolique, infectieux, cutanée, cataracte…) sont les suivantes :
– maladies cardiovasculaires : hypertension artérielle, arthérosclérose ;
– ostéoporose ;
– rebond à l’arrêt ;
– troubles électrolytiques (hypokaliémie et rétention hydrosodée) ;
– infection ;
– infections cutanées ;
– ophtalmologie (cataracte, glaucome) ;
– insomnie et troubles neuropsychologiques (sur terrain prédisposé) ;
– diabète ;
– maladies de l’estomac (dyspepsie, ulcère…) ;
– sevrage en cas d’arrêt brutal.
Malheureusement, une prise de poids significative, un aspect de « bosse de bison », des vergetures violacées apparaissent.
Une décroissance des corticoïdes, plus rapide que prévu du fait de l’intolérance cutanée, est organisée. Au décours, une aménorrhée avec asthénie et baisse de la libido apparaissent.
Question 6 - Le bilan que vous allez réaliser peut retrouver, au vu de ces symptômes (une ou plusieurs réponses possibles) :
Car il induit un diabète insipide.
Le bilan est suspect d’une atteinte hypothalamo-hypophysaire, qui est une atteinte possible (même si elle est rare) dans la neurosarcoïdose, notamment dans ce contexte de traitement sous-optimal (baisse rapide de la corticothérapie sans couverture par un immunosuppresseur).
Une atteinte hypothalamo-hypophysaire se confirme. La patiente a une sarcoïdose corticorequérante. Une réascension des corticoïdes est vite réalisée.
En plus, il est décidé de mettre en place un traitement immunosuppresseur pour amorcer une nouvelle décroissance des corticoïdes.
Question 7 - Au vu de cette association et du caractère multiviscéral du cas, votre médecin senior référent vous rappelle (une ou plusieurs réponses possibles) :
Devant l’association prolongée d’un traitement par corticoïdes (> 20 mg/j) et d’un immunosuppresseur, risque de lymphopénie T, donc une couverture pulmonaire prophylactique est conseillée (Zelitrex + Bactrim) mais pas de recommandations claires.
Pas de suivi standardisé, mais au moins une IRM annuelle, voire plus rapprochée en cas d’aggravation neurologique ou à chaque décroissance cortisonique.
L’évaluation est à adapter en fonction de l’atteinte médiastinale (ici, pas d’atteinte, donc suivi espacé possible).
L’évaluation est à adapter en fonction de l’atteinte respiratoire (ici, pas d’atteinte, donc suivi espacé possible).
L’évaluation est à adapter en fonction de l’atteinte cardiaque (ici, pas d’atteinte, donc suivi espacé possible).
L’ensemble de ces examens permet de faire un bilan exhaustif de l’atteinte systémique de la sarcoïdose.
Tout se passe bien durant un an, la corticothérapie est bien diminuée progressivement, puis un relais par hydrocortisone est réalisé. Les cures d’immunosuppresseur commencent à être davantage espacées.
La patiente consulte le service des urgences à 4 h du matin pour l’apparition de céphalées depuis une semaine en casque, plutôt en fin de nuit, avec vomissement, épisodes de ralentissement idéatoire et de somnolence répétitifs. Certains mots utilisés par la patiente sont inventés.
Température = 38,2 °C à l’admission ; pouls = 110 bpm ; tension artérielle = 10/6, saturation en oxygène = 96 %.
Question 8 - Vous suspectez, en premier lieu, devant cet état clinique (une ou plusieurs réponses possibles) :
Céphalée en casque au décubitus prolongé (fin de nuit) + vomissement spontané = évoquer une hypertension intracrânienne (HTIC).
Épisodes répétitifs stéréotypés chez une patiente cérébrolésée = suspecter des crises épileptiques.
Patiente immunodéprimée, subfébrile avec décompensation neurologique subaiguë et éléments de focalisation (trouble phasique/jargonaphasie) = suspecter participation infectieuse (abcès cérébral, par exemple).
Voici une photo de son fond d’œil réalisé aux urgences :
Figure 5 (source : L. Laloum, Rev Prat 2001;51:2210-14)

Les résultats de l’électroencéphalogramme montrent un ralentissement diffus sans anomalie paroxystique focalisée.
La biologie ne retrouve pas d’anomalie de l’ionogramme et une CRP < 0,1 mg/L.
Voici des clichés de sa tomodensitométrie (TDM) cérébrale :
Figure 6 (source : S. Demortière)
Question 9 - Votre (vos) hypothèse(s) diagnostique(s) est (sont) la (les) suivante(s) :
Le fond d’œil montre un œdème papillaire bilatérale = neuropapillite. Ceci doit faire évoquer en premier lieu une HTIC.
L’imagerie vous montre une dilatation des ventricules avec cloisonnement = non communicante : explique alors l’HTIC.
Question 10 - Votre prise en charge immédiate est (une ou plusieurs réponses possibles) :
Il est impératif de dériver le liquide cloisonné pour contrôler l’effet de masse. La craniectomie ne permet que de pallier l’effet de masse mais ne résout pas l’étiologie de l’effet de masse.
L’hydrocéphalie cloisonnante est une évolution de la neurosarcoïdose (méningite chronique), il faut reprendre le traitement de fond par corticoïdes pour éviter que le phénomène ne s’aggrave.
Ici, il n’y a pas de crise épileptoïde enregistrée, pas d’indication à débuter un traitement antiépileptique, d’autant qu’il existe un risque d’iatrogénie significatif sous anti-épileptoïde. (Certaines décompensations encéphalitiques en service sont de cas iatrogènes, méfiance !)
Elle est hospitalisée en neurochirurgie, sa dérivation ventriculo-péritonéale est prévue dans la journée. Son bilan infectieux est négatif.
L’infirmière du service vous appelle, car elle retrouve la patiente moins vigile. Elle ouvre les yeux à la stimulation douloureuse ; lorsque vous la pincez, elle enroule ses bras et ses jambes ; elle ne répond à aucune question.
Lorsque vous manipulez sa nuque de droite à gauche, son regard va dans le même sens, alors que lorsque vous manipulez de haut en bas, les yeux vont de bas en haut. Réflexe photomoteur aboli.
Question 11 - Vous estimez le score de Glasgow-Liège de la patiente à :
Verbale : 1.
Motrice : 3.
Visuelle : 2
Réflexes du tronc : 2.
La patiente a également une respiratoire de Cheynes-Stokes et une mydriase aréflectique à gauche.
Question 12 - Vous suspectez un engagement cérébral de la région :
L’engagement mésencéphalique induit une abolition des réflexes oculomoteurs verticaux et photomoteurs. De plus, la 3e paire crânienne se trouve dans le mésencéphale, l’engagement induira une mydriase aréflectique.
Après un scanner cérébral qui confirme votre diagnostic, la patiente est dirigée en urgence au bloc opératoire.
Le temps d’arriver en salle opératoire, elle a des secousses cloniques des 4 membres ininterrompues durant 2 minutes.
Question 13 -Votre prise en charge immédiate est l’injection de (une ou plusieurs réponses possibles) :
Première étape devant une crise < 30 minutes : clonazépam 0,015 mg/kg.
Et protéger les voies aériennes.
Figure 6 (source : Outin et al., Prise en charge en situation d’urgence et en réanimation des états de mal épileptiques de l’adulte et de l’enfant (nouveau-né exclu). Recommandations formalisées d’experts sous l’égide de la Société de réanimation de langue française, Réanimation, 2009.)
La crise ne cède pas après 5 longues minutes.
Question 14 - La suite de votre prise en charge est (une ou plusieurs réponses possibles) :
Seconde étape en cas de persistance > 5 minutes de la crise : clonazépam 0,015 mg/kg + soit phosphénytoïne 20 mg/kg, soit phénobarbital 15 mg/kg.
Et appel de la réanimation pour discuter d’une sédation.
Malheureusement, la patiente décèdera d’une défaillance respiratoire et hémodynamique sur l’engagement le temps que vous gériez l’état de mal épileptique.
Question 15 - Le certificat de décès que vous allez rédiger précisera (une ou plusieurs réponses possibles) :
La sarcoïdose n’est pas une maladie infectieuse, elle ne nécessite pas d’obstacle/précaution avant la mise en bière.

Exercez-vous aux ECN avec les dossiers progressifs et les LCA de La Revue du Praticien