Mme P., 64 ans, consulte aux urgences pour une douleur abdominale aiguë évoluant depuis 24 heures.
Il s’agit d’une patiente suivie pour une hypertension artérielle traitée par amlodipine, une gammapathie monoclonale depuis 1990 (surveillance seule), un VIH traité depuis 1994 et contrôlé au dernier contrôle biologique, sans antécédent d’infection opportuniste.
Elle a été opérée en 2013 d’une hystérectomie pour un fibrome responsable de métrorragies, et d’une appendicectomie.
Il s’agit d’une patiente artiste en activité, sans consommation alcoolo-tabagique.
La patiente décrit, dans le même temps que la douleur abdominale aiguë, un arrêt des matières et des gaz depuis 48 heures.
Question 1 - Concernant les éléments d’anamnèse et d’examen clinique que vous recherchez chez Mme P. :
Les vomissements fécaloïdes sont plus évocateurs d’une occlusion digestive basse.
Orientation selon la clinique du siège d’une occlusion digestive : – haute : vomissements précoces, arrêt des matières et des gaz tardifs ; – basse : vomissements tardifs (fécaloïdes), arrêt des matières et des gaz précoces. Il est important de chercher des complications de l’occlusion : – troisième secteur et déshydratation extracellulaire ; – signes d’irritation péritonéale avec défense, contracture, TR… ; – signes de mauvaise tolérance hémodynamique… Le TR et la palpation des orifices herniaires sont obligatoires devant une occlusion afin d’éliminer un fécalome ou une hernie étranglée.
La patiente est apyrétique, il n’existe pas de signe clinique en faveur d’une déshydratation extracellulaire. Il existe une défense en fosse iliaque droite. Le toucher rectal est sans particularité, les orifices herniaires sont libres. Vous palpez une hépatomégalie à deux travers de doigt. En la réinterrogeant, elle décrit des troubles du transit évoluant depuis un mois environ, associés à un amaigrissement de 4 kg. Elle pèse maintenant 51 kg pour 1,67 m.
Question 2 - Les éléments suivants font partie de votre prise en charge immédiate :
L’ASP n’a plus d’intérêt chez l’adulte.
Le scanner est l’examen de première intention devant un syndrome occlusif mais les coupes thoraciques n’ont pas d’intérêt dans ce contexte…
Le dosage des marqueurs tumoraux n’a aucune valeur d’orientation diagnostique (en dehors du PSA) et doivent être utilisés à des fins de suivi uniquement.
L’examen de première intention devant une occlusion est un scanner abdomino-pelvien.
Le bilan biologique montre : – hémoglobine (Hb) = 8,7 g/dl ; volume globulaire moyen (VGM) = 76 fl ; plaquettes = 480 000/mm3 ; leucocytes = 4 530/mm3 ; – créatinine = 42 µmol/L ; Na = 141 mmol/L ; K = 3,3 mmol/L ; HCO3 = 23 mmol/L ; – bilan hépatique : ASAT et ALAT normaux, gamma-GT à 3N et Ph Alc à 2N. Bilirubinémie = 3,4 µmol/L. – protéine C réactive (CRP) = 42 mg/L ; albumine = 32 g/L.
Question 3 - Au vu de l’ensemble du tableau, vous pouvez dire que :
Il s’agit d’une dénutrition modérée, en raison de la perte de poids > 5 % en un mois
La présence d’un syndrome inflammatoire ne permet pas d’éliminer une anémie ferriprive, et il faudra doser la ferritine.
La CRP n’est pas spécifique d’une origine de syndrome inflammatoire. Elle est élevée en cas de cancer.
Le dosage de l’urémie n’est plus remboursé que dans les situations suivantes (septembre 2019) : dialyse, évaluation nutritionnelle dans une insuffisance rénale chronique, insuffisance rénale aiguë.
Attention, l’anémie dans le cancer est le plus souvent plurifactorielle avec plusieurs composantes possibles : – carentielle (diarrhées chroniques, dénutrition)… ; – ferriprive sur saignement chronique ; – inflammatoire (les tumeurs solides peuvent être responsables d’un syndrome inflammatoire majeur) ; – toxique (traitements) ; – envahissement médullaire. Il est classique de voir une anémie ferriprive + inflammatoire devant un cancer du côlon.
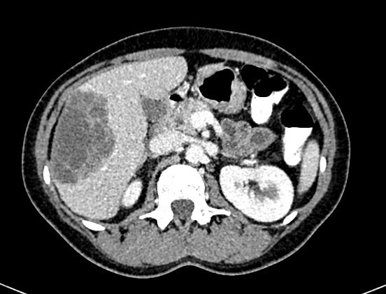
Vous avez fait réaliser l’examen suivant, confirmant le syndrome occlusif (figures 1 et 2) : Fig. 1 (source : M. Roulleaux Dugage)Fig. 2 (source : M. Roulleaux Dugage)
Question 4 - Concernant cet examen d’imagerie, vous pouvez dire :
Nous n’avons pas les séquences nécessaires pour parler de CHC, défini comme un wash-in artériel + wash-out tardif.
Nous sommes au temps portal (opacification de l’ensemble du parenchyme hépatique).
On ne parle pas d’hyposignal mais d’hypodensité pour un scanner.
Il s’agit bien d’un scanner abdomino-pelvien injecté, au temps portal, mettant en évidence une volumineuse masse du côlon droit associée à au moins une masse hépatique d’allure secondaire. Pour rappel : – au temps artériel : opacification de l’aorte, de la périphérie du rein ; – au temps portal : prise de contraste massive du parenchyme hépatique et rénal ; – au temps veineux : prise de contraste veine cave inférieure…
Question 5 - Votre prise en charge immédiate comporte :
TOUJOURS en cas de syndrome occlusif.
On ne peut pas attendre le retour d’une RCP (tenue hebdomadaire…)
Il s’agit d’une prise en charge CHIRURGICALE en urgence/semi-urgence. La chimiothérapie n’est pas indiquée ici : pas d’histologie, pas de RCP, pas d’action rapide attendue. De même, la radiothérapie met plusieurs jours à être organisée, et la localisation de la tumeur rend compliqué de la cibler. En pratique, pas d’indication à la radiothérapie dans les cancers du côlon.
La patiente est opérée d’une colectomie droite avec exérèse du mésocôlon en semi-urgence.
Question 6 - Avant de discuter le dossier en RCP avec les résultats d’anatomopathologie, vous organisez les éléments suivants :
Pas d’argument évident pour une origine familiale et, surtout, il manque l’anatomopathologie.
Il s’agit d’un très probable cancer métastatique, la voie veineuse centrale sera nécessaire à l’administration d’une chimiothérapie/thérapie ciblée.
Vous avez donc fait réaliser l’examen suivant (figure 3) : Fig. 3 (source : M. Roulleaux Dugage)
Question 7 - Concernant cet examen, vous pouvez dire que :
Deux lésions hépatiques en hypersignal T2.
Il existe un hypersignal du liquide gastrique (principale composante liquidienne à analyser) : les liquides sont en hypersignal en T2.
Difficile de suspecter un angiome hépatique dans un contexte de très probable cancer du côlon en occlusion.
Il s’agit d’une IRM hépatique en séquence T2, montrant une lésion du VI et une lésion du VIII avec tout l’aspect d’une métastase ou de tout processus inflammatoire : – hyposignal T1 (dans le cas d’une métastase, réhaussement après l’injection de produit de contraste) ; – hypersignal T2. L’IRM hépatique est à demander devant toute lésion hépatique de cancer du côlon, afin d’en évaluer la résécabilité.
Mme P. a donc été opérée en semi-urgence d’une colectomie droite avec exérèse du mésocôlon. Les suites sont simples. Vous rediscutez du dossier en RCP. La coloscopie n’a pas montré d’autre lésion colique. L’IRM hépatique met en évidence au total deux lésions hépatiques d’allure secondaire, d’allure résécable. L’anatomopathologie met en évidence un adénocarcinome lieberkühnien de 11 cm envahissant la séreuse, sans envahissement ganglionnaire (0N/11), pas d’envahissement périnerveux ou d’embole lymphatique, R0. La biologie moléculaire montre une tumeur KRAS sauvage, MSS. L’antigène carcino-embryonnaire (ACE) postopératoire est à 28,7 U/L (N < 5U/L).
Question 8 - Votre position en RCP est :
La cible est ici la portion extracellulaire de l’EGFR, surexprimé, et non pas la portion intracellulaire rendue active constitutionnellement par une mutation activatrice (comme dans le cancer du poumon).
Le cancer colorectal est, avec les tumeurs germinales, le seul cas de tumeur solide métastatique curable à l’ECN.
Je ne vous ai pas demandé quels étaient les autres examens à réaliser, mais il faut IMPÉRATIVEMENT compléter le bilan suivant : – extension locorégionale : recherche de lésions synchrones par coloscopie ; – extension à distance : tomodensitométrie (TDM)-TAP (ici, on avait fait l’abdomino-pelvien) +/- IRM hépatique si envahissement hépatique et exérèse envisagée.
Attention à la différence entre : – cible surexprimée : récepteur à l’EGF dans le cancer du côlon ou HER2 dans le cancer du sein. On cible donc la partie extracellulaire ; – cible mutée : récepteur à l’EGF dans l’adénocarcinome bronchique métastatique. Activité intracellulaire constitutionnelle due à la mutation, transduction de signal et prolifération cellulaire. Ciblé par inhibiteur de tyrosine kinase (ITK).
En cas de tumeur du côlon avec lésions synchrones résécables, l’attitude est celle d’une chimiothérapie périopératoire (au moins trois molécules).
En accord avec la RCP, vous avez choisi de débuter une chimiothérapie par FOLFOX associé à du cétuximab pour trois cures, avant réévaluation et prise en charge chirurgicale des métastases hépatiques. La patiente vous questionne sur les effets indésirables potentiels de ce traitement.
Question 9 - Les effets indésirables imputables au traitement que vous instaurez sont :
Le cisplatine est responsable de NTA, mais c’est quelque chose d’exceptionnel dans le cas de l’oxaliplatine ou du carboplatine.
Toxicité classique du cétuximab.
Toxicité classique du 5-FU.
Toxicité classique de l’oxaliplatine.
Commun à beaucoup de chimiothérapie, mais particulièrement vrai avec l’oxaliplatine.
Toxicités des chimiothérapies à connaître+++, surtout pour une chimiothérapie classique comme le FOLFOX. Le cétuximab est responsable d’une toxicité cutanéo-muqueuse (rash acnéiforme, sécheresse des muqueuses…).
Vous avez donc expliqué à Mme P. les effets indésirables possibles… La patiente accepte le traitement par FOLFOX Erbitux encadrant un geste de chirurgie des métastases hépatiques.
Question 10 - Avant de débuter la chimiothérapie, vous avez besoin de :
Les sérologies virales sont nécessaires, mais Mme P n’est plus en âge de procréer.
Le 5-FU nécessite un électrocardiogramme (ECG) en préthérapeutique, mais pas d’échographie Doppler transthoracique (ETT).
Recommandé par la Haute Autorité de santé depuis fin 2017. Le DPD est l’enzyme dégradant le 5-FU. Un déficit partiel (relativement fréquent en population générale) nécessite une adaptation de doses, par crainte de toxicité (digestive notamment) majeure.
Il sera également crucial de ne pas oublier la pose de port-à-cath (PAC) !
Pour rappel, trois molécules anticancéreuses sont cardiotoxiques à l’ECN : – anthracyclines et trastuzumab (anticorps anti-HER2 dans le cancer du sein) : cardiopathie dilatée par nécrose cardiomyocytaire ; – 5-FU : spasme coronarien.
Il existe donc trois molécules anticancéreuses nécessitant une ETT préthérapeutique : – trastuzumab ; – anthracyclines ; – cisplatine : pas cardiotoxique, mais nécessité d’une hyperhydratation en prévention de la toxicité rénale… L’ETT est nécessaire pour éviter l’œdème aigu pulmonaire (OAP) !
Vous avez donc réalisé une chimiothérapie par FOLFOX-cétuximab après bilan préthérapeutique adapté. La tolérance est correcte, et après une IRM mettant en évidence une stabilité des lésions hépatiques, Mme P est opérée de ses deux métastases hépatiques.
L’anatomopathologie sur pièce opératoire montre l’adénocarcinome colique connu, avec une faible réponse histologique à la chimiothérapie (25 % de nécrose).
Vous réalisez trois nouvelles cures de FOLFOX-cétuximab, avec une tolérance marquée par une neutropénie fébrile après C2, et une neuropathie périphérique à partir du 2e cycle.
La patiente est revue trois mois plus tard dans le cadre de sa surveillance. Elle vous décrit des douleurs importantes, pelviennes, avec irradiation au membre inférieur droit évaluées à 8/10, et vous décidez de l’hospitaliser. Son scanner thoraco-abdomino-pelvien montre l’apparition de trois nodules de carcinose péritonéale, dont un de 3 cm de diamètre, au contact du nerf sciatique droit. L’ACE est à 42,3 U/L. Vous la soulagez avec une PCA de morphine à 1mg/h et des bolus à 1 mg, associé à des co-antalgiques (paracétamol, prégabaline). Vous décidez de faire un relais per os avant de discuter une sortie.
Question 11 - Sur l’ordonnance de sortie de la patiente peut figurer :
Pour la prescription de morphiniques il est important : – d’y associer des laxatifs de manière systématique ; – de les prescrire sur ordonnance sécurisée (nombre de médicaments prescrits en bas à droite, posologie en toutes lettres, identification du prescripteur…).
Par ailleurs, une règle simple à apprendre peut vous permettre de connaitre les équivalences en traitement morphiniques (également très pratique dans la pratique courante). Il faut tout rapporter à 60 mg de morphine per os : – 60 mg de morphine per os = 30 mg par voie sous-cutanée (SC) = 20 mg par voie intraveineuse (IV) ; – 60 mg de morphine per os= 30 mg d’oxycodone per os = 15 mg IV/SC ; – 60 mg de morphine per os= 1 patch de 25 µg/h de Fentanyl à changer toutes les 72 heures. Ici donc, 1 mg/h de morphine IV = 24 mg/j IV~60 mg per os de morphine/j ou 30 mg d’oxycodone. Les interdoses font 1/6e à 1/10e de la dose.
La RCP est d’accord avec votre proposition de reprise d’une nouvelle ligne de traitement par FOLFIRI (5-FU, acide folinique, irinotécan) associé à du bévacizumab. La patiente vous demande des précisions concernant ces traitements.
Question 12 - Concernant ce traitement, vous pouvez-lui dire que :
Le suffixe -zu- indique qu’il s’agit d’un anticorps monoclonal humanisé.
L’irinotécan est un inhibiteur de topoisomérase de type I.
Le 5-FU est un antimétabolite (antipyrimidines).
Pour connaître l’origine d’un anticorps monoclonal, il faut savoir que : – mab : signifie monoclonal antibody ; – le suffixe ajouté devant signifie : -xi- : origine chimérique ; -zu- : origine humanisée ; -u- : origine humaine. Le bévacizumab (ou Avastin) est un anticorps anti-VEGF, donc un anti-angiogénique.
Vous débutez ce traitement à raison d’une chimiothérapie toutes les deux semaines. La patiente tolère relativement bien le traitement, hormis une diarrhée invalidante, qui vous fait diminuer la dose d’irinotécan de 15 % à partir du 2e cycle de chimiothérapie. Elle vous appelle 8 jours après la 3e cure, à 18 h 30, décrivant une fièvre à 38,5 °C.
Question 13 - Vos consignes au téléphone sont :
Le prérequis à cette antibiothérapie est qu’il n’y ait pas de signe de gravité (cf. Pilly), et il faudra donc tout de même consulter un médecin
La situation est potentiellement urgente. Il ne faut pas masquer la fièvre.
Il est 18 h 30, elle ne pourra pas avoir un bilan biologique en ville + consulter son généraliste…
Attention ! Fièvre à J8-J9 d’une chimiothérapie --> pas d’errance diagnostique car potentielle urgence thérapeutique ! Il faut une NFS et une évaluation médicale rapide… Malheureusement, le plus souvent, pour obtenir ces deux éléments il faut passer par la case urgence… Rappelons également que les critères faisant discuter une antibiothérapie per os à domicile de type Augmentin-ciprofloxacine dans le Pilly sont : – neutropénie non profonde ; – pas de signe de gravité (donc évaluation médicale obligatoire) ; – durée courte prévisible (toute chimiothérapie de cancer solide).
Sur vos bons conseils, la patiente consulte aux urgences les plus proches de chez elle. À son arrivée, les constantes sont les suivantes : température = 38,9 °C ; fréquence cardiaque = 94/min ; saturation en oxygène (SpO2) = 97 % en air ambiant ; pression artérielle = 97/64 mmHg. L’examen clinique est sans particularité. Il n’existe pas de signe de mauvaise tolérance hémodynamique, ni de point d’appel infectieux évident. La numération formule sanguine confirme la neutropénie avec des polynucléaires neutrophiles (PNN) à 320/mm3 et une anémie à 9,4 g/dl. Il n’existe pas de thrombopénie.
Question 14 - Vous lui prescrivez les examens suivants :
Pas en première intention.
Pas de signe méningé.
Bilan de base devant une neutropénie fébrile sans porte d’entrée infectieuse clinique : – radiographie thoracique ; – ECBU ; – hémocultures sur PAC+ ; – dans le Pilly : coproculture + prélèvement de gorge. Non réalisés en pratique.
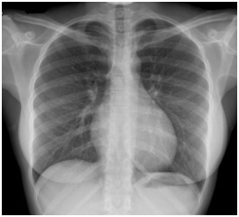
Vous avez donc instauré une antibiothérapie probabiliste large spectre par pipéracilline-tazobactam et réalisé un bilan microbiologique avec des hémocultures sur chambre implantable et en périphérique, un ECBU. La radiographie thoracique est la suivante (figure 4) : Fig. 4 (source : M. Roulleaux Dugage) L’ECBU est stérile. La situation clinique se dégrade avec l’apparition de signes d’hypoperfusion périphérique, révélant un choc septique. La patiente est transférée en réanimation, où est instauré un support vasopresseur par noradrénaline, permettant de la stabiliser. Vous recevez dans le même temps un appel du bactériologue : les hémocultures vous reviennent positives à Staphylococcus aureus en 8 heures sur la chambre implantable et en 11 heures sur la veine périphérique.
Question 15 - Vous proposez la prise en charge suivante :
Jusqu’à l’antibiogramme, on traite un Staphylococcus aureus résistant à la méticilline (SARM).
Il s’agit d’un choc septique sur infection de PAC.
Le différentiel de pousse > 2 h est un argument fort en faveur d’une infection de PAC.
Le traitement d’une infection de PAC par verrous de vancomycine se justifie s’il n’existe pas de signe local, s’il n’existe pas de signe de gravité et qu’il s’agit d’un staphylocoque blanc.
Il n’existe pas en cancérologie solide d’indication à traiter une neutropénie fébrile par du G-CSF.
La radiographie thoracique est normale. Devant le différentiel de pousse > 2 heures en faveur du PAC, on retient le diagnostic d’infection de PAC. Il existe une indication formelle à retirer le PAC en cas d’infection de PAC si : – signes d’inflammation locale (pus, érythème…) ; – germes : Staphylococcus aureus, Candida albicans ; – mauvaise tolérance hémodynamique.
– haute : vomissements précoces, arrêt des matières et des gaz tardifs ;
– basse : vomissements tardifs (fécaloïdes), arrêt des matières et des gaz précoces.
Il est important de chercher des complications de l’occlusion :
– troisième secteur et déshydratation extracellulaire ;
– signes d’irritation péritonéale avec défense, contracture, TR… ;
– signes de mauvaise tolérance hémodynamique…
Le TR et la palpation des orifices herniaires sont obligatoires devant une occlusion afin d’éliminer un fécalome ou une hernie étranglée.