Vous recevez en consultation aux urgences pédiatriques du CHU de Lyon le nourrisson Jérôme, trisomique 21 âgé de 3 mois et 10 jours, qui présente depuis 2 jours une rhinite associée à une toux, une fièvre jusqu’à 39 °C, et des signes de lutte respiratoire modérés (tirage intercostal). Il est né à 36 semaines d’aménorrhée d’une grossesse non pathologique, avec un poids de naissance de 3 200 g, avec score d’Apgar de 8-10-10. Il a présenté une détresse respiratoire apparue à 30 minutes de vie et résolue spontanément en deux heures de temps. Il a également présenté un ictère de J2 à J10 pour lequel il a bénéficié d’une séance de photothérapie. Il n’a reçu aucun autre traitement.
Le diagnostic de trisomie 21 a été porté en anténatal, et les examens réalisés de manière systématique à la naissance étaient normaux. Il a débuté son calendrier vaccinal à l’âge de 2 mois.
Son père présente une toux depuis 1 mois, étiquetée pleuropneumopathie, pour laquelle il a été traité par azithromycine pendant 7 jours. Il a également un grand frère de 3 ans actuellement enrhumé.
Initialement allaité au sein, il est désormais alimenté par 5 biberons de 150 ml de lait premier âge. Depuis deux jours, il boit seulement 100 ml à chaque biberon. Il a vomi deux fois après des biberons. Il a environ 3 selles liquides par jour, et il a uriné il y a 2 heures.
Le poids est de 5 kg. Température 39.2 °C. FC 170batt/min. FR 54/min. Le temps de recoloration cutanée est de 2 secondes, les extrémités sont chaudes. Il présente un livedo réticulaire sur l’ensemble du corps.
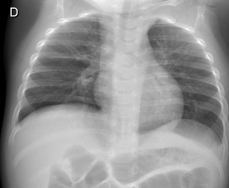
Vous entendez à l’auscultation des crépitants diffus sans foyer, un murmure vésiculaire bien perçu. L’abdomen est souple, il n’y a pas d’hépatomégalie ; les aires ganglionnaires sont libres. Les pouls fémoraux sont perçus. La fontanelle antérieure est normale, l’enfant est fatigué mais reste tonique. Il n’y a pas d’otite ni de purpura
Le diagnostic de trisomie 21 a été porté en anténatal, et les examens réalisés de manière systématique à la naissance étaient normaux. Il a débuté son calendrier vaccinal à l’âge de 2 mois.
Son père présente une toux depuis 1 mois, étiquetée pleuropneumopathie, pour laquelle il a été traité par azithromycine pendant 7 jours. Il a également un grand frère de 3 ans actuellement enrhumé.
Initialement allaité au sein, il est désormais alimenté par 5 biberons de 150 ml de lait premier âge. Depuis deux jours, il boit seulement 100 ml à chaque biberon. Il a vomi deux fois après des biberons. Il a environ 3 selles liquides par jour, et il a uriné il y a 2 heures.
Le poids est de 5 kg. Température 39.2 °C. FC 170batt/min. FR 54/min. Le temps de recoloration cutanée est de 2 secondes, les extrémités sont chaudes. Il présente un livedo réticulaire sur l’ensemble du corps.
Vous entendez à l’auscultation des crépitants diffus sans foyer, un murmure vésiculaire bien perçu. L’abdomen est souple, il n’y a pas d’hépatomégalie ; les aires ganglionnaires sont libres. Les pouls fémoraux sont perçus. La fontanelle antérieure est normale, l’enfant est fatigué mais reste tonique. Il n’y a pas d’otite ni de purpura
Question 1: A propos de la période néonatale du nourrisson, on peut dire...
Moyenne prématurité entre 32 et 37 SA, grande prématurité entre 28 et 32 SA, très grande prématurité 28 SA.
Maladie des membranes hyalines : détresse respiratoire chez le prématuré 34 SA. L’évolution spontanément favorable de la détresse respiratoire de Jérôme fait évoquer un retard de résorption.
Le bilan néonatal d’une trisomie 21 inclut la recherche d’une dysthyroïdie.
Toute pathologie néonatale polymalformative nécessite la recherche d’une atteinte cardiaque et rénale grâce à l’échographie.
Toute pathologie néonatale polymalformative nécessite la recherche d’une atteinte cardiaque et rénale grâce à l’échographie.
L’ictère au lait de mère apparaît après environ 1 semaine d’allaitement maternel, et disparaît entre 4 et 6 semaines, en cas de poursuite de l’allaitement maternel.
En revanche, la chronologie de l’ictère de Jérôme fait évoquer un ictère physiologique
En revanche, la chronologie de l’ictère de Jérôme fait évoquer un ictère physiologique


Les macrolides sont indiqués en première intention, en privilégiant les traitements de courte durée : azithromycine pendant 3 jours ou clarithromycine pendant 7 jours. Le traitement par josamicine est efficace mais long (14 jours). En cas d’intolérance aux macrolides, l’antibiothérapie indiquée est le cotrimoxazole (Bactrim) pendant 14 jours.
Le traitement peut être administré par voie parentérale (par sonde nasogastrique).