Un patient de 82 ans consulte aux urgences pour altération de son état général.

Vous retrouvez dans ses antécédents :

– fibrillation atriale ;

– hypertrophie bénigne de prostate ;

– hypertension artérielle.

Pas de vaccinations réalisées depuis l’âge de 47 ans.

Son traitement de fond comporte :

– apixaban 5 mg 1.0.1

– flécaïnide LP 150 mg 1.0.0

– alfuzosine LP 10 mg 0.0.1

– irbésartan 150 mg 1.0.0

– furosémide 40 mg 1.0.0

À l’examen clinique vous retrouvez :

– constantes : température = 38,4 °C ; tension artérielle = 87/54 mmHg ; pouls = 113 bpm, SpO2 : 98 % en air ambiant ;

– signes généraux : asthénie marquée depuis trois semaines (majorée ces trois derniers jours) ; pas d’anorexie ni perte de poids ;

– signes fonctionnels : toux sèche ; pollakiurie ; photophobie ; absence de céphalées ;

– signes physiques : foyer de crépitants en base gauche, souffle systolique 2/6 foyer aortique ; abdomen souple ; examen cutané anormal (figure ci-dessous), étendu à l’abdomen et touchant les deux membres inférieurs ; raideur de nuque.

Question 1 - Votre prise en charge initiale consiste en :
Tout purpura fébrile est un purpura fulminans jusqu’à preuve du contraire
Aussi précautions complémentaires gouttelette, à poursuivre jusqu’à 24 heures après la première dose de ceftriaxone (Neisseria meningitidis)
Le G 5% n’est pas un soluté de remplissage : dans le sepsis, utiliser des solutés cristalloïdes isotoniques (NaCl à 0,9 %, Ringer lactate ou Isofundine)
Les amines sont utilisées (noradrénaline dans le choc septique) en cas d’inefficacité du remplissage
AUCUNE situation infectieuse de prise en charge hospitalière n’empêche la réalisation d’hémocultures avant de débuter l’antibiothérapie (exceptions extrahospitalière : purpura fulminans et suspicion de méningite + délai de prise en charge hospitalier > 90 minutes)
Tout sepsis/choc septique justifie une évaluation par le réanimateur
Prise en charge initiale URGENTE :
– pose de deux voies veineuses périphériques (VVP) +/- oxygénothérapie ;
– remplissage vasculaire par soluté isotonique cristalloïde (NaCl 0,9 %, Isofundine ou Ringer lactate) ;
– appel du réanimateur ;
– réalisation d’un bilan initial : hémoculture, numération formule sanguine (NFS), coagulation, plaquettes, bilan rénal, bilan hépatique, protéine C réactive (CRP), biopsie cutanée, gazométrie/lactates ;
– antibiothérapie probabiliste dès réalisation des hémocultures : céphalosporine de troisième génération (C3G) injectable (céfotaxime ou ceftriaxone).
Pas d’amines tant que pas d’épreuve de remplissage.
Précautions complémentaires :

 

Vous suspectez un purpura fulminans.
Question 2 - Vous réalisez, en urgence, les examens complémentaires suivan
La biopsie cutanée est recommandée en cas de purpura ; bonne rentabilité, permet une culture + polymerase chain reaction (PCR)
Elle doit être réalisée en cas de purpura, ce « d’autant qu’un traitement antibiotique a déjà été initié ou que l’examen direct du liquide cérébrospinal (LCS) est négatif ou non pratiqué ».
La PCR sanguine ou sur biopsies cutanées est inutile plus de 24 heures après le début de l’antibiothérapie.
Référence : Hoen B, et al. Management of acute community-acquired bacterial meningitis (excluding newborns). Short text. Med Mal Infect (2019),
Lactates : élément central de la prise en charge de tout sepsis à évaluer avant et après remplissage (cf. critères du choc septique) 
Purpura fulminans hospitalier : réaliser au moins un train d’hémocultures avant de débuter l’antibiothérapie
La ponction lombaire est contre-indiquée en cas de : – troubles de l’hémostase (anticoagulants curatifs, saignement en nappe ou tout autre signe de coagulation intravasculaire disséminée [CIVD]) ; – instabililité hémodynamique/respiratoire Indication à une imagerie avant la PL : signes focaux/signes d’engagement/crises convulsives persistantes En l’absence de ces critères, ne pas attendre le bilan de coagulation la NF avant de réaliser la ponction lombaire ! N.B. : dans ce cas purpura, anticoagulation curative et instabilité hémodynamique... 
Concernant la ponction lombaire au cours d’une méningite : 

La ponction lombaire doit être réalisée dans l’heure qui suit l’admission du patient aux urgences 
La ponction lombaire n’est pas contre-indiquée : 
– en cas de troubles de la conscience isolés (ancien critère : Glasgow ≤ 11) ; 
– en cas de prise d’antiagrégants plaquettaires. 

La ponction lombaire est contre-indiquée en cas de : 
– infection cutanée étendue du site de ponction ; 
– instabilité hémodynamique ou respiratoire ; 
– troubles de l’hémostase connus (coagulopathie dont hémophilie, plaquettes inférieures à 50 000/mm3) ; 
– traitement anticoagulant à dose efficace (héparine, antivitamine K [AVK] ou anticoagulants oraux directs) ; 
– saignements spontanés évoquant une CIVD. 

La ponction lombaire sera réalisée dès que possible après levée de la contre-indication 
Les indications de l’imagerie cérébrale avant la ponction lombaire doivent être limitées : 
– signes évoquant un processus expansif intracrânien : signes de localisation, crises d’épilepsies focales et récentes ; 
– signes d’engagement cérébral : troubles de la vigilance ET anomalies pupillaires, dysautonomie, crises toniques postérieures, aréactivité, réaction de décortication ou de décérébration ; 
– crises convulsives persistantes. 

N.B. : les troubles de conscience (Glasgow < 11) ne constituent plus une contre-indication à la ponction lombaire isolément ! 
 
Question 3 - Face à l’ensemble de ce tableau, votre (vos) hypothèse(s) étiologique(s) est(sont) :
 La pneumopathie ne rend pas compte de l’ensemble du tableau mais est à suspecter devant la présence d’un foyer auscultatoire fébrile. De plus, les infections invasives à pneumocoque (Streptococcus pneumoniæ) sont une cause de purpura vasculaire 
Deux types principaux de rickettsioses : 
– groupe boutonneux (Rickettsia conorii) transmis par piqûre de tique, responsable de la classique triade escarre d’inoculation (tache noire), fièvre, exanthème maculo-papuleux (voire purpura) avec atteinte palmo-plantaire possible 
– typhus épidémique, transmis par les poux de corps (promiscuité, précarité), responsable d’une fièvre et d’une éruption maculo-papuleuse pouvant conduire à une défaillance multiviscérale  
Types de purpura
Purpura fulminans = fièvre + au moins une lésion nécrotique ou ecchymotique > 3 mm. 
Purpura vasculaire : infiltré, nécrotique, déclive, extensif. 
Étiologies d’un purpura 
• Purpura vasculaire
– Infections bactériennes : endocardites, bactériémies à staphylocoque, streptocoque, méningocoque, rickettsioses 
– Infections virales : hépatites B et C ; virus d’Epstein-Barr (EBV) ; cytomégalovirus (CMV) ; virus de l’immunodéficience humaine (VIH) 
– Vacularite 
– Médicaments
 • Purpura thrombopénique : central (moelle riche/pauvre) ; périphérique (allo-immun/auto-immun/immuno-allergique) ; consommation/séquestration).

 

Question 4 - Après avoir réalisé un bilan standard, lactates, hémocultures et une biopsie cutanée, vous débutez un traitement probabiliste par (une ou plusieurs réponses possibles) : 

Urgences infectieuses : 

– sepsis/choc septique 
– purpura fulminans ; 
– fièvre de l’immunodéprimé (VIH avec lymphocytes T, CD4 < 200, agranulocytose, immunosuppresseurs, asplénique) ; 
– fascite/dermohypodermite nécrosante ; 
– dermohypodermite/fascite nécrosante ; 

=> antibiothérapie URGENTE (après hémocultures). 

Concernant l’antibiothérapie au cours des méningites : 

Mise en route de l’antibiothérapie = urgence absolue : 
– dans l’heure qui suit l’arrivée à l’hôpital ; 
– au plus tard dans les 3 heures. 

L’antibiothérapie doit être instaurée avant la ponction lombaire dans les situations suivantes : purpura fulminans 
– si forte suspicion de méningite bactérienne et hôpital distant de plus de 90 minutes et impossibilité de faire la ponction lombaire ; 
– ou contre-indication à la réalisation de la ponction lombaire. 
=> C3G dans tous les cas (pneumocoque/méningocoque/Hæmophilus) + amoxicilline en cas de suspicion de listériose + aciclovir si signes encéphaliques (Herpes simplex virus, HSV). 

Concernant la corticothérapie au cours des méningites : 

La dexaméthasone doit être injectée de façon concomitante à la 1re injection d’antibiotique si : 
– examen direct positif évoquant un : 
. pneumocoque quel que soit l’âge ; 
. méningocoque chez l’adulte ; 
. Hæmophilus influenzæ chez l’enfant et le nourrisson ; 

– examen direct négatif mais aspect trouble du liquide cérébro-spinal (LCS) ou autres données permettant de retenir le diagnostic de méningite bactérienne chez l’adulte et chez le nourrisson de 3 à 12 mois ; 
– contre-indication à la PL. 

En cas d’oubli, la dexaméthasone peut être administrée jusqu’à 12 heures après la première dose d’antibiotique. 
La dexaméthasone n’est pas recommandée chez l’immunodéprimé et en cas de listériose. 
Il aurait été bien de faire apparaître l’injection de dexaméthasone dans vos propositions de réponse en modifiant légèrement l’intitulé de la question.

 

L’antibiothérapie est débutée, concomitante à un remplissage vasculaire et à une corticothérapie systémique. Après 500 cc de NaCl 0,9 %, ses constantes sont : tension artérielle = 123/56 mmHg ; pouls = 95 bpm ; température = 38,5 °C ; fréquence respiratoire = 26 cpm ; saturation = 98 % sous 2 L d’O2.
Voici les premiers résultats de la prise de sang :
– NFS : Hb = 10,5 g/dL ; GB = 16 G/L (PNN = 13,6 G, Ly = 0,7 G/L, Eo = 0,2 G/L, monocytes = 1,5 G/L) ; PQT = 250 G/L ; TP = 86 % ; TCA = 1,2 ;
– urée = 26 mmol/L, créatinine = 278 µmol/L ; K+ = 4,8 mmol/L ; Na+ = 146 mmol/L ; Gly = 7 mmol/L ;
– ASAT = 43 UI/L, ALAT = 32 UI/L ; gamma GT = 120 UI/L ; PAL = 72 UI/L, bilirubine totale = 10 mmol/L ;
– CRP = 154 mg/L ;
– lactates = 2,2 mmol/L.
Question 5 - Vous complétez les examens initiaux par :
La ponction lombaire est contre-indiquée du fait de l’anticoagulation curative (taux de prothrombine/temps de céphaline activée [TP/TCA] interprétable avec les anticoagulants à action directe)
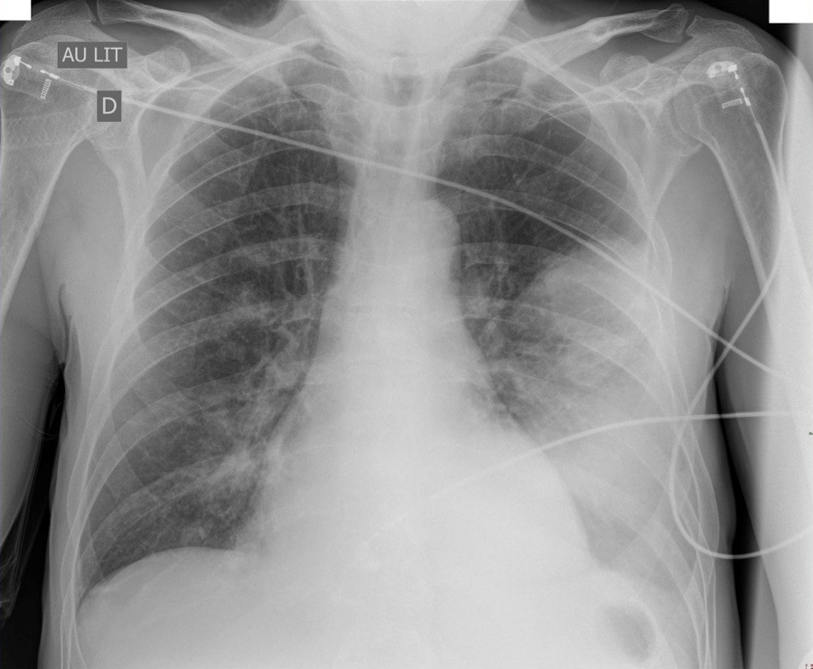
Foyer de crépitants en base gauche, recherche d’une pneumopathie
Tout souffle fébrile est une endocardite jusqu’à preuve du contraire
Échographie des voies urinaires pour éliminer un obstacle + ionogramme/créatinine urinaire (cause fonctionnelle/organique)
L’uroscanner est contre-indiqué du fait de l’insuffisance rénale

 

Vous réalisez une biopsie cutanée, une échographie de l’arbre urinaire (absence d’obstacle, pas d’abcès), et une radiographie pulmonaire (ci-dessous). La première échographie transthoracique retrouve une fuite aortique minime.
Question 6 -  Sur la radiographie pulmonaire vous mettez en évidence :
Pas de déviation de la ligne médiane ni ascension des coupoles diaphragmatiques
Images en anneaux et opacités linéaires
Signe de la silhouette positif : effacement de la silhouette cardiaque
Pas d’hyperclarté des sommets
Condensation alvéolaire basale gauche
Une hémoculture revient positive à cocci à Gram positif en chaînette.
Question 7 - Vous suspectez en priorité :
Bacille à Gram négatif 
Bacille à Gram négatif 
Bacille à Gram positif
Cocci à Gram positif en amas 
Vous suspectez une infection invasive à pneumocoque, confirmée par une antigénurie pneumocoque positive et un Streptococcus pneumoniæ sur les hémocultures (3/3).
Question 8 - Vous réalisez par ailleurs :
Dans les méningites, seules les infections invasives à méningocoque et la listériose sont de déclaration obligatoire à l’ARS
Le CLAT prend en charge spécifiquement les cas de tuberculose 
Devant la positivité des trois hémocultures à cocci à Gram positif, la présence d’un souffle et d’une fuite valvulaire initiale, vous suspectez une endocardite infectieuse aiguë.
Question 9 - Dans le cadre de votre suspicion diagnostique, vous devez réaliser le(s) examen(s) suivant(s) :
L’ETO est impérative dans le cadre de la suspicion d’endocardite, y compris en cas d’anormalité de l’échographie transthoracique (ETT).
Exceptions :
– faible probabilité diagnostique
– endocardite du cœur droit avec ETT de très bonne qualité et valves bien visibles
Bilan d’extension (embolies/abcès) + recherche d’une éventuelle porte d’entrée
Bilan d’extension (embolies/abcès) + recherche d’anévrismes mycotiques 
Uniquement en cas de point d’appel clinique (douleurs rachidiennes, syndrome de la queue de cheval/compression médullaire, signes d’épidurite) 
Il faudra compléter le bilan par des hémocultures quotidiennes jusqu’à négativation (première hémoculture stérile = J0 du traitement). 

La première ETO retrouve une végétation sur la valve aortique de 9 mm. L’IRM cérébrale retrouve un anévrisme mycotique intracérébral mais pas de signes de saignements actifs. Le scanner TAP non injecté du fait de l’insuffisance rénale ne retrouve pas de localisations secondaires mais confirme la pneumopathie basale gauche. Le Streptococcus pneumoniæ est rendu sensible à l’amoxicilline (concentration minimale inhibitrice [CMI] < 0,125 mg/L).
 
Question 10 - Vous préconisez la(les) mesure(s) thérapeutique(s) suivante(s) :
Indications à la chirurgie :
1. choc cardiogénique
2. infection non contrôlée
3. prévention des complications emboliques
Préférer une héparinothérapie (sodiaque ou calcique de préférence) en cas de nécessité d’une anticoagulation curative au cours d’une endocardite (risque de rupture d’anévrisme, à pondérer en bénéfice/risque), du fait de la possibilité d’antagonisation en cas d’hémorragie 
Aucun relais par voie orale n’est consensuel (hors cotrimoxazole en association à la clindamycine au cours des endocardites à Staphylococcus aureus après une semaine IV, recommandation de grade IIb) 
Endocardite infectieuse aiguë : de quatre à six semaines selon la documentation, l’antibiothérapie utilisée, l’évolution et la présence de valve prothétique 
Pas de pose de VVC/picc-line hors absence d’alternative dans un contexte de bactériémie non contrôlée, et encore moins d’un port à cathéter

Nouvelle : Streptococcus pneumoniæ amoxicilline =>S (CMI < 0,125 mg/L)
Amoxicilline + acide clavulanique ⇒ S
Ceftriaxone => S
Gentamicine =>S
Érythromycine =>R
Clindamycine =>S
Vancomycine =>S
(S : sensible – R : résistant)
Question 11 - Vous relayez l’antibiothérapie initiale par :
Antibiothérapie de référence des infections à Streptococcus pneumoniæ sensibles à l’amoxicilline
Recommandée en cas de sensibilité diminuée aux pénicillines en contexte d’endocardite et d’infections neuroméningées 
Pipéracilline - tazobactam 
Possibilité pour les endocardites à Streptococci spp. de faire une biothérapie par amoxicilline/gentamicine pendant deux semaines ou amoxicilline seule pendant quatre semaines (préférer le schéma sans amino-acide chez les sujets agés de plus de 65 ans, sourds ou insuffisants rénaux...).
Question 12 - Afin de rechercher des facteurs de risque d’infection invasive à pneumocoque, vous prescririez :
Recherche d’une asplénie 
Recherche d’une hypogammaglobulinémie 
Recherche d’une hypocomplémentémie 
Favorise les infections invasives à pneumocoque quel que soit le taux de CD4 
Patients à risque d’infection invasive à pneumocoque (= la cible des recommandations vaccinales chez l’adulte) : 

a) immunodéprimés (patients concernés par les recommandations de vaccination des immunodéprimés et patients atteints de syndrome néphrotique) : 

– aspléniques ou hypospléniques (incluant les drépanocytoses majeures) ; 
– atteints de déficits immunitaires héréditaires ; 
– infectés par le VIH, quel que soit le statut immunologique ; 
– sous chimiothérapie pour tumeur solide ou hémopathie maligne ; 
– transplantés ou en attente de transplantation d’organe solide ; 
– greffés de cellules souches hématopoïétiques ; 
– traités par immunosuppresseur, biothérapie et/ou corticothérapie pour une maladie auto-immune ou inflammatoire chronique ; 
– atteints de syndrome néphrotique ; 

b) non immunodéprimés porteurs d’une maladie sous-jacente prédisposant à la survenue d’infection invasive à pneumocoque (IIP) : 

– cardiopathie congénitale cyanogène, insuffisance cardiaque ; 
– insuffisance respiratoire chronique, bronchopneumopathie obstructive, emphysème ; 
– asthme sévère sous traitement continu ; 
– insuffisance rénale ; 
– hépatopathie chronique d’origine alcoolique ou non ; 
– diabète non équilibré par le simple régime ; 
– patients présentant une brèche ostéo-méningée, un implant cochléaire ou candidats à une implantation cochléaire. 

Déficits immunitaires prédisposants : hypogammaglobulinémie, déficit en complément essentiellement. 
 
Question 13 - À distance de l’épisode infectieux aigu, vous proposez de réaliser les vaccinations suivantes : 
Vaccination qui date de plus de dix ans et âge supérieur à 65 ans
Âge supérieur à 65 ans, cardiopathie 
Cardiopathie, antécédent personnel 
De 65 à 74 ans 
Vaccination contre les infections à pneumocoque : modalités 

Pour les personnes (adultes et enfants) âgées de 5 ans et plus, à risque élevé d’infection pneumococcique, quel que soit le risque : 
– les personnes non antérieurement vaccinées reçoivent la primovaccination pneumococcique par une dose de VPC13 (vaccin conjugué 13 valents) suivie huit semaines plus tard d’une dose de VPP23 (vaccin polysaccharidique 23 valents) ; 
– les personnes qui n’ont reçu antérieurement que le vaccin VPP23 pourront recevoir une injection du VPC13 si la vaccination antérieure remonte à plus d’un an ; l’injection ultérieure du VPP23 sera pratiquée avec un délai minimal de cinq ans par rapport à la date de l’injection du VPP23 ; 
– les personnes déjà vaccinées suivant la séquence VPC13-VPP23 pourront recevoir une nouvelle injection du VPP23 en respectant un délai de cinq ans après la précédente injection de ce même vaccin. 
Dans le cadre de son bilan à la recherche d’un facteur favorisant, vous retrouvez : 
– NFS : Hb = 10,9 g/dL ; GB = 6,4 G/L ; plaquettes = 17 G/L ; 
– créatininémie = 175 µmol/L ; 
– calcémie corrigée = 2,29 g/L ; 
– sérologie VIH négative ; 
– glycémie à jeun = 6,6 mmol/L ; 
– C3, C4, CH50 normaux ; 
– électrophorèse des protéines sériques (figure 3) ; 
– immunofixation : présence d’une immunoglobuline monoclonale IgG sérique de type lambda. 
Question 14 - Vous suspectez un myélome multiple des os. Le(s) examen(s) est(sont) utile(s) pour confirmer/étayer votre diagnostic : 
Examens complémentaires face à un pic monoclonal (bilan initial comparable à celui du myélome multiple des os) : 
– recherche des critères CRAB (hypercalcémie, insuffisance rénale, anémie, lésions osseuses) ; 
– immunofixation, dosage pondéral des immunoglobulines kappa/lambda ; 
– myélogramme. 
N. B. : le myélogramme peut être retardé en cas de gammapathie monoclonale de signification indéterminée (MGUS) chez un patient de plus de 75 ans et ayant un pic monoclonal < 15 g/L sans critères CRAB. 
 Le patient vous recontacte six mois plus tard alors qu’il doit réaliser un détartrage. 
Question 15 - Vous proposez de réaliser une antibioprophylaxie avant ce geste par : 
Indications de l’antibioprophylaxie de l’endocardite chez les patients à haut risque : 
– antécédents d’endocardite infectieuse ; 
– cardiopathie cyanogène congénitale non opérée ; 
– porteur de valve prothétique ; 
– lors des gestes de manipulation de la région apico-dentaire : avulsion, détartrage. 
Modalités : amoxicilline (all : clindamycine) dans l’heure qui précède le geste. 
 

Exercez-vous aux ECN avec les dossiers progressifs et les LCA de La Revue du Praticien