Vous voyez une jeune fille de 10 ans, pour tableau de rhinopharyngite traînante traitée par paracétamol et lavages de nez depuis dix jours.
Constantes : poids = 32 kg ; température = 38,7 °C depuis 48 heures ; fréquence cardiaque = 100 battements par minute (bpm) ; fréquence respiratoire = 22 cycles par minute (cpm) ; antécédent : 0.
Elle se plaint surtout de céphalées.
Question 1 - Quelles sont vos hypothèses diagnostiques ?
Les trois dernières propositions sont compatibles avec le tableau clinique. L’algie vasculaire de la face serait un tableau de céphalées unilatérales brutales avec signes locaux de type larmoiement, érythème oculaire. Le terrain est peu compatible ici ; il s’agirait plutôt d’un homme jeune. La crise migraineuse est aussi une céphalée unilatérale sans hyperthermie avec phono-photophobie, associée ou non à une aura.
Question 2 - Quels éléments ici à l’anamnèse seraient compatibles avec une crise migraineuse ?
Les critères de la migraine sans aura selon International Headache Society (IHS)
Finalement en reprenant l’anamnèse et l’examen clinique, les céphalées sont situées exclusivement au vertex et sont au premier plan de la symptomatologie (échelle visuelle analogique [EVA] = 7/10). La rhinorrhée antérieure est verdâtre alors qu’elle était plutôt aqueuse les jours précédents. Il n’y pas de syndrome méningé associé. Constantes : fréquence respiratoire = 20 cpm ; fréquence cardiaque = 100 bpm ; tension artérielle = 110/75 mmHg ; température = oscillant entre 38,1 °C et 39,1 °C
Question 3 - Quelle(s) proposition(s) est (sont) exacte(s) ?
La douleur au vertex oriente fortement vers une sinusite sphénoïdale. L’aspect verdâtre ne témoigne pas, contrairement à ce que l’on pense, de la présence bactérienne. Il correspond à la dégradation des polynucléaires neutrophiles présents au sein de la muqueuse nasale. Les sinus apparaissent : – dès les premiers mois pour les ethmoïdaux ; – vers l’âge de 3 ans pour les sinus maxillaires ; – vers l’âge de 9-10 ans pour les sinus frontaux ; – vers l’âge de 10-15 ans pour le sinus sphénoïdal. La sinusite frontale peut se voir chez l’enfant même si c’est plus rare que chez l’adulte.
Question 4 - Que réalisez-vous afin d’étayer votre bilan étiologique ?
Les hémocultures ne font pas partie du bilan classique d’une sphénoïdite aiguë non compliquée. L’examen bactériologique des sécrétions nasales n’est pas non plus indiqué ; il ne sera pas contributif, seul un prélèvement intra-sinusien stérile (chirurgical) présente un intérêt.
Question 5 - Quelle(s) proposition(s) est (sont) exacte(s) en ce qui concerne le bilan bio-radiologique ?
Si > 0,1 ng/mL
Cornet inférieur
Mandibule
Temporal
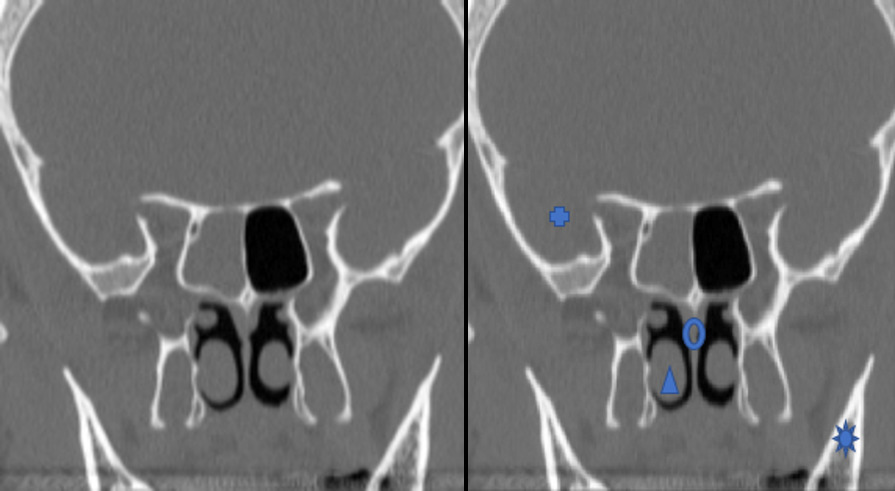
Le scanner en coupe frontale osseuse montre un comblement complet du sinus sphénoïdal droit, témoignant d’une sphénoïdite aigue ou chronique. Un élément scanographique qui pourrait orienter vers l’étiologie chronique est l’épaississement des parois sinusiennes. Le bilan biologique témoigne d’un syndrome inflammatoire aigu avec hyperleucocytose et augmentation de la PCT et de la CRP.
Question 6 - Quelle sera votre prise en charge ?
NON
Sinusite sphénoïdale = antibiotique de large spectre
Seule la sinusite maxillaire isolée peut être traitée par amoxicilline. L’atteinte des autres sinus nécessite une antibiothérapie de large spectre comme Augmentin (association amoxicilline-acide clavulanique).
À 24 heures de la prise en charge initiale, la patiente vous paraît somnolente et, de plus, elle reste subfébrile entre 37,9 °C et 38,2 °C. Les autres paramètres hémodynamiques sont les suivants : tension artérielle : 100/70 mmHg ; fréquence cardiaque : 110 bpm ; fréquence respiratoire : 23 cpm.
Question 7 - Que craignez-vous ?
La méningite infectieuse et la thrombophlébite du sinus caverneux sont les deux principales complications à craindre, de par leur proximité avec le sinus sphénoïdal ; les citernes de la base et espaces sous arachnoïdiens et le sinus caverneux.
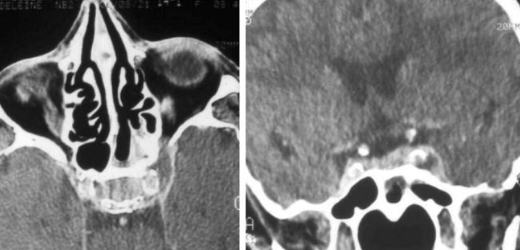
Un scanner cérébral injecté, à défaut d’une imagerie par résonance magnétique (IRM) injectée, est réalisé en urgence.
Question 8 - Interprétez-le :
Commentaire : On voit en effet l’hypodensité dans le sinus caverneux gauche qui correspond à l’absence de flux. Cheminent dans le sinus caverneux le nerf oculomoteur III, le nerf trochléaire IV, et les deux branches du nerf trijumeau V (1-2). C’est bien la carotide interne et non la carotide commune qui la traverse. Une des complications classiques d’une sphénoïdite aiguë est la thrombose du sinus caverneux. La thrombose intracarotidienne a contrario n’en est pas une complication classique ; la paroi artérielle carotidienne est, de par son épaisseur et solidité, un bon rempart à la dissémination intraluminale. En ce qui concerne les complications oculomotrices, seul le nerf abducens est susceptible d’être atteint dans une sphénoïdite aiguë mais l’atteinte des autres nerfs extracaverneux reste exceptionnelle.
Question 9 - Vous vous orientez donc vers une sphénoïdite aiguë sphénoïdale compliquée d’une thrombose du sinus caverneux. Avec ces informations et les dernières données cliniques, quelle prise en charge proposez-vous ?
L’enfant nécessite ici une surveillance continue avec des moyens adaptés en cas d’altération de la vigilance et la ventilation, donc en milieu réanimatoire. Le traitement est ici évidemment chirurgical pour drainer le sinus et faire des prélèvements, si possible avant la mise en place du traitement antibiotique intraveineux (si le délai de prise en charge permet d’attendre). On y associera un traitement anticoagulant mais pas en urgence à dose curative en raison du risque hémorragique peropératoire. S’il y avait eu association à un empyème ou abcès intracérébral, nous aurions proposé une prise en charge conjointe avec les neurochirurgiens, ce n’est pas le cas ici.
Question 10 - L’antibiothérapie intraveineuse la plus adaptée serait :
Il s’agit d’une sinusite aiguë compliquée sphénoïdale (et non pas maxillaire). Le traitement est donc un antibiotique à large spectre type amoxicilline-acide clavulanique et en l’absence d’allergie aux pénicillines.
Le traitement sera établi pour au moins 14 jours. L’évolution est favorable sous traitement bien conduit.
Question 11 - Avant de sortir, le papa demande si c’était une erreur de lui administrer de l’ibuprofène. Que lui expliquez-vous ?
Paracétamol en première intention
Les AINS sont des médicaments à manier avec précaution car ils peuvent masquer une fièvre et majorer le sepsis, le cloisonnement infectieux et ainsi l’abcédation. Ils restent néanmoins une thérapeutique très efficace et antipyrétique. Si possible, il est prescrit après évaluation médicale. Le fait d’y adjoindre un IPP est réservé aux personnes âgées avec sensibilité gastrique et/ou antécédent d’ulcère gastro-duodénal.
Vous revoyez la jeune patiente à la consultation de contrôle à quinze jours. En refaisant l’interrogatoire, vous notez des épisodes de rhinopharyngite à répétition. « Elle est enrhumée tout l’hiver ».
Question 12 - Parmi cette liste d’éléments, quels sont ceux primordiaux à recueillir à l’interrogatoire ?
L’essentiel est d’éliminer les pathologies ORL chroniques avec retentissement sur les voies trachéobronchiques. La toux chronique et les expectorations traduisent l’irritation chronique et l’hyperproduction réactionnelle de mucus. Les antibiotiques seront prescrits en cas de suspicion de pneumopathie bactérienne, ce qui constitue un signe de gravité. La dyspnée n’est classiquement pas présente dans ce type de pathologie. Par contre, on peut retrouver des bruits auscultatoires comme un wheezing ou des sibilants en cas d’asthme concomitant.
Après avoir complété l’interrogatoire, votre patiente est très encombrée sur le plan nasal et trachéal. Elle expectore beaucoup quotidiennement. Sa toux semble efficace. Elle a eu trois cures d’antibiotiques par Augmentin cet hiver dont une présumée angine. L’examen nasofibroscopique montre une hypertrophie des végétations adénoïdes.
Question 13 - Quel bilan biologique faites-vous réaliser dans ce contexte ?
Ce n’est pas biologique !
Il s’agit d’un bilan de dysimmunité puisque notre patiente fait des infections à répétition, ORL hautes avec retentissement broncho-pulmonaire. Le déficit en fer est à rechercher car il constitue une cause de déficit immunitaire. La mutation du gène CFTR sera recherchée en deuxième intention. C’est le test de la sueur qui est demandé en premier. La radiographie pulmonaire aurait toute sa place dans le bilan et notamment en cas d’anomalie auscultatoire.
Question 14 - Quel diagnostic devez-vous évoquer et éliminer en priorité ?
Vous éliminez donc une mucoviscidose en réalisant le test de la sueur. Celui-ci revient normal. Vous êtes rassuré et prescrivez un traitement médical par lavages de nez à grands volumes complété si cela est insuffisant par une adénoïdectomie (retrait des végétations adénoïdes). L’évolution n’est pas spontanément favorable avec un encombrement nasal persistant et une hypertrophie des végétations adénoïdiennes. Vous proposez à la patiente et ses parents une exérèse des végétations adénoïdes sous anesthésie générale.
Question 15 - Quelles informations devez-vous donner impérativement aux parents et à la patiente ?
Les consentements écrits des deux parents sont requis si les deux parents sont vivants et responsables légaux de l’enfant. En ce qui concerne l’activité ambulatoire, c’est surtout l’avis de l’anesthésiste qui importe, qui validera ainsi en fonction du terrain et antécédents du patient l’ambulatoire.
L’algie vasculaire de la face serait un tableau de céphalées unilatérales brutales avec signes locaux de type larmoiement, érythème oculaire. Le terrain est peu compatible ici ; il s’agirait plutôt d’un homme jeune.
La crise migraineuse est aussi une céphalée unilatérale sans hyperthermie avec phono-photophobie, associée ou non à une aura.