Vous recevez en consultation pour infertilité Mme B., 27 ans, en compagnie de son conjoint, M. P.
Ils sont en couple depuis trois ans et vivent ensemble depuis un an, Mme B. a arrêté sa pilule estroprogestative depuis deux ans.
Mme B. a pour seuls antécédents une appendicectomie dans l’enfance et un tabagisme à 4-5 cigarettes par jour. Elle est G1P0 : 1 grossesse extra-utérine traitée par injection de méthotrexate il y a dix ans. Elle vous raconte que cet épisode s’était compliqué de douleurs pelviennes importantes avec de la fièvre.
Sur le plan gynécologique, elle présente des cycles réguliers de vingt-neuf jours sans dysménorrhée ni dyspareunie.
M. P. a 32 ans, est boulanger, et est déjà père d’une petite fille de 4 ans née d’une précédente union.
Question 1. Quelles sont les propositions exactes ?
M. P. a déjà un enfant né d’une précédente union
Pas de grossesse dans le couple
Pas de grossesse avec plus de deux ans de rapports non protégés
Pas de vrai consensus sur la durée
Le tabagisme est délétère sur la fertilité dans tous les cas
Question 2.En première intention, vous prescrivez à Mme B. le(s) examen(s) complémentaire(s) suivant(s) :
Échographie à réaliser en première partie de cycle (idéalement à J2-J3)
Pas recommandée en première intention, mais uniquement en cas de suspicion d’anomalie intracavitaire à l’échographie (malformations, polype endométrial, fibrome sous-muqueux)
Permet d’évaluer l’état de la cavité et surtout des trompes
Non indiqué dans le contexte, l’IRM peut aider dans la prise en charge du couple infertile pour rechercher principalement une endométriose, le plus souvent lorsque la clinique est évocatrice
Le bilan paraclinique de première intention pour le couple infertile comporte :
Pour Mme B. : – une échographie pelvienne avec compte du nombre de follicules présents en début de cycle au stade antral ;
– un dosage hormonal concomitant : FSH, LH, progestéronémie ;
– l’hormone anti-müllérienne (AMH) qui est sécrétée par les follicules pré-antraux en croissance est un marqueur prédictif de la réponse des ovaires à une stimulation par des traitements.
Pas recommandé au bilan classique mais fait en pratique à toutes les patientes, le dosage de l’AMH est prédictif de la réserve ovarienne quantitative et de la réponse à la stimulation ovarienne
Pour M. P. : spermogramme et spermocytogramme en première intention uniquement.
Question 3.Vous prescrivez le(s) examen(s) suivant(s) à M. P. :
Pas en première intention
On débute toujours par un bilan des deux membres du couple
Pas en première intention
Pas en première intention
Seul examen en première intention
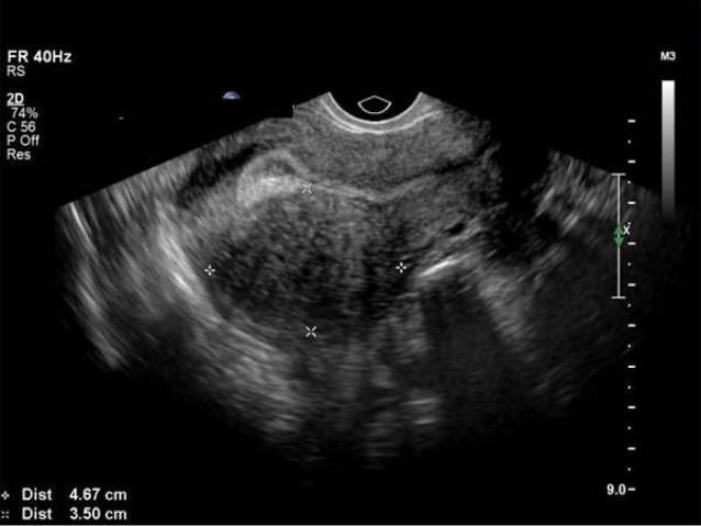
Vous réalisez une échographie pelvienne qui retrouve ceci :
Un myome est plus échogène, l’image ici est trans-sonore, totalement anéchogène = c’est du liquide pur
Voir commentaire général
Kyste fonctionnel = évolution kystique d’un follicule
Ce kyste va disparaître avec les cycles
On peut programmer un contrôle échographique dans trois mois dans le cadre d’une procréation médicalement assistée (PMA) car la présence du kyste peut fausser certains dosages utilisés dans le suivi d’une stimulation ovarienne
Pas de critères d’organicité, pas d’intérêt à réaliser une imagerie complémentaire par IRM
Pour exemple, voici un cliché de fibrome interstitiel, celui déforme la ligne endométriale et peut potentiellement gêner une implantation embryonnaire. Les critères d’organicité d’un kyste ovarien ont été définis par le groupe de travail IOTA (International Ovarian Tumor Analysis) en 2000.
Critères de malignité (M) : · M1 Masse irrégulière solide ;
· M2 Présence d’une ascite ;
· M3 Au moins 4 structures papillaires ;
· M4 Masse irrégulière multiloculaire solide de diamètre maximum de 10 cm ;
· M5 Forte vascularisation en Doppler couleur.
Critères de bénignité (B) : · B1 Kyste uniloculaire ;
· B2 Présence d’une composante solide < 7 mm ;
· B3 Cône d’ombre postérieur ;
· B4 Masse multiloculaire lisse < 10 cm de diamètre ;
· B5 Absence de flux Doppler couleur.
La patiente réalise également cet examen
Question 5. Quelles sont les affirmations vraies ?
On voit deux hydrosalpinx (v. fléchage sur la figure 4)
Il s’agit d’une hystérosalpingoGRAPHIE = radio
L’hydrosalpinx peut entraîner des écoulements dans la cavité utérine et entretenir une inflammation qui est délétère pour l’implantation d’un embryon. L’hydrosalpinx peut également empêcher la rencontre ovule-spermatozoïde dans l’ampoule tubaire
La cavité utérine semble bien opacifiée sans image de défect
La cavité utérine semble bien opacifiée sans image de défect
De son côté, M. P. a réalisé un spermogramme qui montre :
· volume : 3,5 mL ;
· pH : 7,5 ;
· concentration des spermatozoïdes : 32 x 106/Ml ;
· nombre total des spermatozoïdes : 56 x 106 ;
· mobilité : progressifs : 0 %, progressifs lents : 15 %, immobiles : 85 %
· morphologie : 20 % de formes typiques
· vitalité : 40 %
Question 6. Quelles sont les anomalies présentes sur cet examen ?
Voir commentaire général
Voir commentaire général
Voir commentaire général
Voir commentaire général
Normes du spermogramme (à connaître) selon l’Organisation mondiale de la santé (OMS) 2010 :
Volume du sperme : OMS-2010 : > 1,5 ml (1,4-1,7) à OMS 2010 : < 1,5 ml = hypospermie ; > 6 ml : hyperspermie.
Numération des spermatozoïdes (par ml) : OMS 2010 : > 15 millions/ml (12-16).
Numération des spermatozoïdes (par éjaculat) : OMS 2010 : > 39 millions (33-46) à 0 : azoospermie ; < 15 millions/ml = oligospermie ; > 200 millions/ml : polyspermie
Mobilité des spematozoïdes à la première heure après l’éjaculation. Classement : grade (a) : mobilité en trajet fléchant rapide (> 25 µm/s) ; grade (b) : mobilité lente et progressive (5-25 µm/s) ; grade (c) : mobilité sur place ; grade (d) = immobile.
OMS 2010 : mobilité progressive de type (a + b) des spermatozoïdes : > 32 % (31-34) à < 32 % = asthénospermie.
Vitalité des spermatozoïdes : OMS 2010 : > 58 % (55-63).
Morphologie normale des spermatozoïdes: OMS 2010 : > 4 % (3,0-4,0) à < 4 % = tératospermie.
Leucocytes < 1 million/ml à > 1 million/ml : leucospermie.
Question 7. Au vu des résultats du bilan de ce couple quels sont vos conclusions ?
L’état tubaire de Mme B. et le sperme de M. P. sont anormaux
Voir hystérosalpingographie
Indication indiscutable de FIV en cas d’infertilité tubaire
La fécondation in vivo ne peut pas se faire correctement en cas d’hydrosalpinx
Une IIU n’est pas indiquée en cas de pathologie tubaire
Les causes de l’infertilité sont réparties équitablement : 30 % féminin, 30 % masculin, 30 % mixte.
La cause tubaire est une indication de FIV car la fécondation ne peut se faire in vivo en cas d’altération (ou absence) de trompes.
Vous réalisez une cœlioscopie d’exclusion tubaire pour enlever les hydrosalpinx qui gêneraient la FIV.
Par la suite, vous débutez la stimulation pour réaliser une FIV. La patiente bénéficie une stimulation par FSH recombinantes associées à des antagonistes de la GnRH (gonadotrophin releasing hormone) ; une ponction d’ovocytes est réalisée après déclenchement par hCG (human chorionic gonadotropin) et permet de récupérer 25 ovocytes dont 15 sont fécondés ; on réalise le transfert d’un embryon à J5 de la ponction.
La patiente consulte dix jours plus tard dans votre centre pour des douleurs associées à une sensation de pesanteur pelvienne importante. Elle trouve que son ventre a beaucoup gonflé depuis la ponction.
Question 8. Quelles sont les affirmations vraies ?
Le tableau de fausse couche précoce associe des métrorragies et douleurs pelviennes chez une patiente ayant une grossesse évolutive. La patiente étant à J10 du transfert embryonnaire, l’arrêt de la grossesse et son expulsion complète (qui est la définition de la fausse couche complète) n’est pas possible dans ce cas. On parle plutôt d’échec d’implantation, l’embryon n’ayant pas fait sa nidation.
Le tableau clinique ne correspond dans tous les cas à aucune des deux affirmations et le diagnostic phare à ne pas rater est l’hyperstimulation
Principale complication de la stimulation ovarienne multifolliculaire
Pas de GEU tubaire a priori chez une patiente qui a eu une exclusion tubaire bilatérale
Examen de première intention
La grossesse va aggraver les symptômes
Le syndrome d’hyperstimulation ovarienne (HSO) est une complication iatrogène de la stimulation ovarienne supraphysiologique. Le syndrome est presque exclusivement associé à la simulation exogène aux gonadotrophines. Le HSO grave est dû à la libération de peptides vasoactifs par les cellules de la granulosa au sein des ovaires hyperstimulés.
C’est l’hCG qui est responsable de « l’emballement » des ovaires.
Le risque principal est l’hémoconcentration, avec pour conséquence le risque thromboembolique veineux.
Votre échographie retrouve des ovaires mesurés à 14 et 13 cm, ainsi qu’un épanchement important du cul-de-sac de Douglas.
Question 9. Quelle est votre prise en charge ?
Pas d’intérêt pour le suivi ou la prise en charge
Vérifier l’hématocrite
Surveillance de la fonction rénale
L’HSO est une indication de prévention de la maladie thromboembolique veineuse (MTEV) par HBPM préventif jusqu’à trois mois de grossesse
Le traitement de l’HSO dépend de sa sévérité. Il est essentiellement symptomatique et préventif d’éventuelles complications et notamment thromboemboliques. La surveillance fait partie intégrante de la prise en charge.
Dans les formes légères :
– prise en charge ambulatoire ;
– surveillance bihebdomadaire clinique (état général, poids, douleurs, périmètre abdominale) et échographique (épanchement, taille des ovaires).
Dans les formes modérées :
– idem + surveillance biologique en cas de perturbations biologiques débutantes ;
– surveillance clinique quotidienne.
Hospitalisation initiale, pendant quelques jours : repos, antalgiques, antiémétiques si nécessaire, port de bas de contention, anticoagulation à doses préventives (HBPM 40 mg/j en sous-cutané) pendant six semaines, alimentation hyperprotéinée et restriction hydrique limitée de 1 à 1,5 l/j afin de ne pas aggraver l’hémoconcentration. Une réhydratation par voie veineuse par du sérum physiologique (500 cc/j) permet de maintenir la tension artérielle et la diurèse en corrigeant l’hypovolémie et l’hypoperfusion rénale.
Vous concluez à une hyperstimulation ovarienne. La patiente est hospitalisée pour prise en charge. Le lendemain, Mme B. présente une douleur du membre inférieur droit.
Elle reste apyrétique.
Question 10. L’(les) affirmation(s) vraie(s) est (sont) les suivantes :
Examen de première intention
Doublement faux ! Éviter l’angioscanner, examen irradiant chez une femme enceinte, et préférer l’écho-Doppler des membres inférieurs devant cette suspicion de thrombose veineuse profonde (TVP), qui pour l’instant ne présente pas de signe d’embolie pulmonaire !
Vous suspectez une TVP de la jambe droite et décidez de réaliser un écho-Doppler veineux des membres inférieurs.
Question 11.Parmi ces éléments lesquels vont confirmer le diagnostic suspecté ?
La visualisation du thrombus confirme le diagnostic mais n’est pas toujours possible
Il s’agit du signe le plus recherché et qui permet d’affirmer la présence d’une TVP
Les D-dimères ont une valeur prédictive négative élevée mais une faible spécificité
Signe d’ischémie aiguë de membre
L’échographie confirme la présence d’une thrombose veineuse surale droite.
Question 12: Votre prise en charge thérapeutique est la suivante (plusieurs propositions vraies possibles) :
Pas d’indication de thrombolyse en cas de TVP
Posologie fausse
Indiquée en première intention
Pas d’AVK en cas de grossesse
Question 13. Quelle est votre prise en charge ?
Les symptômes sont rapidement régressifs grâce à vos bons soins. Un dosage d’hCG confirme que Mme B. est enceinte. Un mois plus tard, la patiente consulte pour des saignements survenus brutalement dans l’après-midi sur son lieu de travail.
Question 14. Quel(s) diagnostic(s) évoquez-vous ?
Devant des saignements au premier trimestre de grossesse, on évoque :
– une fausse couche spontanée précoce ;
– une grossesse intra-utérine évolutive ;
– un hématome décidual ;
– une grossesse extra-utérine tubaire ;
– une môle hydatiforme.
Dans notre cas, la patiente a eu une FIV, avec un risque de môle quasi nul (la môle étant une triploïdie, les embryons triploïdes ne sont pas transférés à la patiente) ; la GEU tubaire est également improbable, la patiente ayant eu une exclusion tubaire avant la FIV, on imagine mal comment l’embryon transféré aurait pu aller se loger dans une trompe...
Les autres hypothèses sont probables et doivent être évoquées.
Question 15. L’échographie confirme la présence d’un hématome péri-ovulaire de petite taille. Quelles sont vos recommandations à la patiente ?
Indiquée en cas de rhésus négatif de la mère uniquement, l’injection peut être réalisée dans un délai de 72 heures, il n’y a donc pas d’urgence mais il ne faut absolument pas oublier de la faire en cas de rhésus D négatif
Pas d’indication
Plusieurs études ont montré que le repos strict n’améliore pas le pronostic de ces grossesses
On poursuit l’anticoagulation pour toute la grossesse
La prise d’acide folique est recommandée pour diminuer le risque d’anomalies de fermeture du tube neural. Il est à débuter depuis la période préconceptionnelle
En cas d’hématome péri-ovulaire, il n’existe aucune preuve que le pronostic de ces grossesses soit amélioré par l’alitement ou le repos strict.
La TVP doit continuer à être traitée et l’hématome péri-ovulaire n’est pas une indication à arrêter les HBPM.
Pour Mme B. :
– une échographie pelvienne avec compte du nombre de follicules présents en début de cycle au stade antral ;
– un dosage hormonal concomitant : FSH, LH, progestéronémie ;
– l’hormone anti-müllérienne (AMH) qui est sécrétée par les follicules pré-antraux en croissance est un marqueur prédictif de la réponse des ovaires à une stimulation par des traitements.
Pas recommandé au bilan classique mais fait en pratique à toutes les patientes, le dosage de l’AMH est prédictif de la réserve ovarienne quantitative et de la réponse à la stimulation ovarienne
Pour M. P. :
spermogramme et spermocytogramme en première intention uniquement.