Vous êtes aux urgences dans un centre hospitalier. Vous recevez l’appel d’un médecin qui est au domicile d’une famille avec un petit garçon de 18 mois, qui aurait fait un syndrome de pénétration. Le corps étranger n’est pas clairement identifié, l’enfant était dans la chambre de sa grande sœur de 5 ans, avec plusieurs jouets sur le sol.
La famille est très inquiète, le médecin vous appelle pour connaître la démarche à suivre.
Question 1 : Sachant que l’enfant est stable, vous souhaitez dans un premier temps identifier les circonstances et préciser le diagnostic de syndrome de pénétration. Parmi les éléments suivants que vous faites préciser au médecin, lesquels vous orienteraient vers un syndrome de pénétration ?
C’est la définition même du syndrome de pénétration, avec un blocage de la respiration à cause d’un corps étranger dans les voies respiratoires (larynx)
Réaction naturelle à ce blocage : une toux aboyante avec cornage, pour essayer d’expulser le corps étranger. Cette tentative peut être fructueuse (mobilisation du CE vers la trachée ou vers le pharynx) ou être un échec : suffocation
Plutôt en faveur d’un corps étranger œsophagien en cas d’obstruction ne laissant pas passer la salive
Il n’y a pas de mécanisme dans le syndrome de pénétration pouvant expliquer un trismus : il n’y a pas de contraction réflexe des muscles de la mastication
Cette étape a lieu pendant l’épisode de suffocation à cause de l’absence d’oxygène. Les familles rapportent volontiers que l’enfant « est devenu bleu », c’est un excellent marqueur motivant la réalisation d’une endoscopie bronchique
Le médecin vous confirme que l’enfant a présenté un syndrome de pénétration, avec un épisode de suffocation et quinte de toux avec cornage. L’enfant est toujours stable.
Question 2 : Le médecin vous demande si l’enfant doit consulter, et si oui dans quel délai ?
En cas de syndrome de pénétration avéré, le patient doit être vu en urgence et avec un transport médicalisé (possibilité de faire une intubation sélective en cas de déplacement secondaire du corps étranger pendant le trajet entraînant une nouvelle suffocation)
Le patient doit être vu en urgence, mais les transferts peuvent entraîner une mobilisation secondaire du corps étranger et le transfert non médicalisé entraîne le risque de décès lors du transport
Cette solution peut être proposée par les parents, notamment lors de l’attente d’un transfert SAMU, mais il est plus prudent de garder l’enfant dans un environnement médicalisé en attendant l’arrivée du transport
En cas de syndrome de pénétration avéré, une endoscopie bronchique est indiquée pour vérifier la présence d’un corps étranger et si besoin le retirer, ce geste doit être fait le plus vite possible, pour éviter le risque d’une deuxième suffocation après mobilisation du corps étranger
Même si le corps étranger ne se mobilise pas, l’absence de consultation systématique risque de laisser s’installer une pneumopathie infectieuse les jours qui suivent le syndrome de pénétration
Même lorsque l’enfant est stable, il faut être très vigilent car le corps étranger peut bouger secondairement (surtout lors des transferts) et remonter dans la trachée pour se bloquer dans le larynx, entraînant un nouvel épisode de suffocation potentiellement létal. C’est pour cette raison que l’enfant doit être vu en urgence et que le transport doit être médicalisé.
L’enfant arrive dans votre service d’urgence. L’enfant est eupnéique, avec une auscultation pulmonaire symétrique et normale
Question 3 : À ce stade, vous organisez le(s) examen(s) suivants
Même si l’enfant a un examen clinique normal, si le syndrome de pénétration est avéré, il faut pousser les investigations
Intéressante car rapide à faire et permet de trouver des signes indirects (trapping) ou direct (corps étranger radio-opaque) permettant de localiser un éventuel corps étranger
Pas d’intérêt ici, car l’enfant va subir dans tous les cas une fibroscopie bronchique, et la radiographie est suffisante. Une TDM peut être intéressante en cas de pneumopathie compliquant un corps étranger. Risque également d’allonger la prise en charge
N’a pas d’intérêt ici. Une pneumopathie peut survenir sur un corps étranger bronchique mais nécessite au moins 24-48 heures pour se développer. D’autant plus qu’il n’y a ici aucun argument clinique pour une infection
Il est encore trop tôt, nous réaliserons dans un premier temps une fibroscopie bronchique pour examiner le tractus respiratoire
Tout enfant avec un syndrome de pénétration avéré doit avoir une radiographie de thorax (sauf si urgence vitale) et une fibroscopie pulmonaire diagnostique. En cas de corps étranger avéré, il sera retiré juste après la fibroscopie avec une bronchoscopie à tube rigide (permettant d’introduire des instruments rigides comme des pinces). Le scanner a un intérêt en cas de pneumopathie associée.
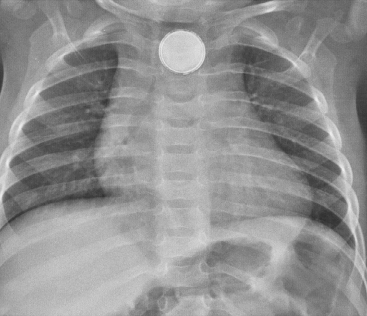
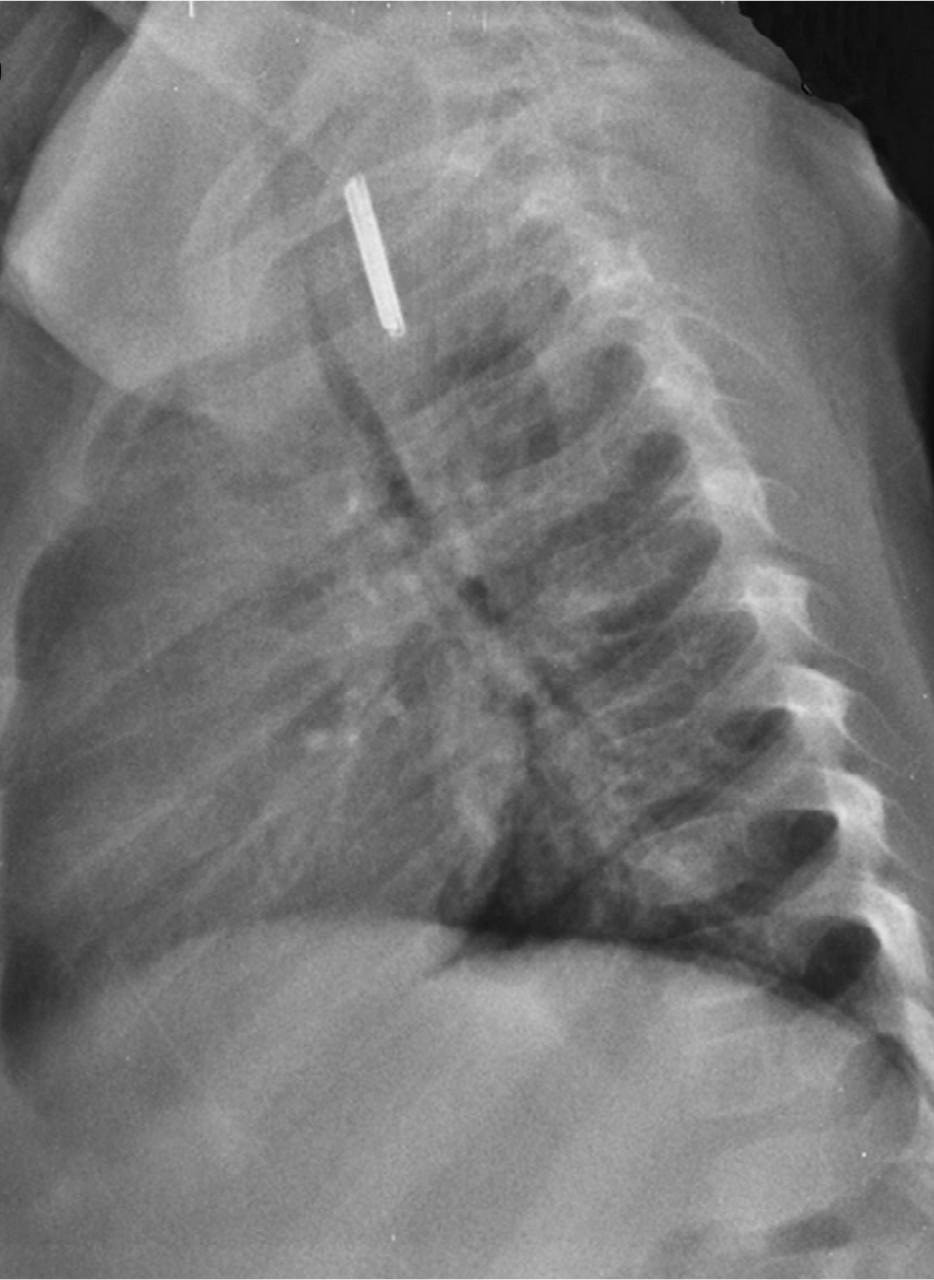
Question 4 : Voici la radiographie du thorax de l’enfant. Interprétez-la.


Surtout sur la radiographie de profil, nous pouvons bien voir que la trachée est en avant du corps étranger
Sur la radiographie de profil, on voit que le corps étranger est sur le trajet de l’œsophage0
Sur la radio de face, les deux poumons ont la même taille. Rappel : le trapping se voit sur une radiographie en expiration où l’air n’arrive pas à sortir du côté bloqué
Signe très important : les piles boutons ont un double contour (sur les radios de face) et une petite marche d’escalier sur le contour (sur les radios de profil)
Il n’y a pas de double contour sur une pièce de monnaie
Il s’agit ici d’un corps étranger œsophagien. Un corps étranger œsophagien peut avoir causé un syndrome de pénétration initialement par deux mécanismes possibles : soit le corps étranger a entraîné une cyanose en bloquant le larynx lors de son passage dans l’hypopharynx avant la déglutition, soit il y a eu une véritable inhalation, puis expulsion lors d’un effort de toux et déglutition. C’est ce qu’il se passe dans la majorité des cas de syndrome de pénétration avéré avec fibroscopie bronchique blanche : le corps étranger a été expulsé, puis recraché ou dégluti.
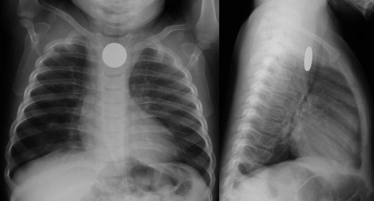
La grande crainte lors d’un corps étranger œsophagien est la pile bouton, qui peut faire des dégâts irréparables en quelques minutes sur la muqueuse œsophagienne par contact. Elle peut être différenciée à la radio d’une pièce de monnaie (corps étranger beaucoup plus fréquent), grâce au double contour que l’on aperçoit facilement sur les radios de face et de profil. Une pièce de monnaie présente un contour lisse. Insérer image « Figure3.jpg ».

Question 5 : Votre prise en charge est la suivante
L’extraction doit être réalisée en urgence absolue (cf. commentaire général)
Aucun intérêt : n’apporte pas d’information supplémentaire et retarde l’extraction de la pile bouton. Il peut être indiqué dans les suites en cas de suspicion de médiastinite sur perforation œsophagienne
L’extraction doit être réalisée en urgence absolue (cf. commentaire général). Cette prise en charge peut être justifiée en cas de pièce de monnaie qui a passé le tiers moyen de l’œsophage pour éviter une anesthésie générale
L’extraction doit être réalisée en urgence absolue (cf. commentaire général)
La nécrose locale s’aggrave de minute en minute et il faut procéder à l’extraction du corps étranger en urgence absolue au bloc opératoire
Il faut bien comprendre qu’une pile bouton coincée dans l’œsophage au contact de muqueuse provoque une nécrose de la muqueuse au contact en quelques minutes seulement, et peut engager le pronostic fonctionnel œsophagien et le pronostic vital. Beaucoup d’enfants dans les suites présentent des sténoses œsophagiennes, et des cas de décès à la suite de médiastinites ou de ruptures de gros vaisseaux médiastinaux ne sont pas rares. Le retrait d’une pile bouton dans l’œsophage est une urgence absolue et doit être faite immédiatement après le diagnostic, sous anesthésie générale (avec des instruments rigides, donc le plus souvent par l’ORL). Un bilan des lésions doit être fait dans le même temps et un suivi conjoint avec les gastroentérologues.
L’extraction de la pile a pu se faire en urgence, mais une nécrose non circonférentielle est constatée, et une sonde naso-gastrique est mise en place pendant l’intervention. Il est prévu que l’enfant reste hospitalisé 1 à 3 semaines pour surveillance.
Vous en profitez pour faire un examen ORL général de l’enfant. Les parents vous rapportent des otites moyennes aiguës à répétition (7 diagnostiquées dans la dernière année) entraînant des évictions fréquentes de la crèche. Les deux tympans sont similaires.
Voici le tympan gauche

Question 6 : Qu’en pensez-vous ?
C’est l’osselet qui s’appelle le marteau ou malleus
L’enclume (ou incus) ne se trouve pas dans l’épaisseur du tympan mais dans la caisse du tympan
C’est une bulle d’air derrière le tympan, qui est visible car il y a du liquide
Ici, le tympan n’est pas inflammatoire ni bombant. Le triangle lumineux est bien visible et le relief du marteau également : il n’y a pas d’argument pour une OMA
La présence de liquide et de bulle rétrotympanique est pathognomonique d’une OSM
Ce tympan permet de diagnostiquer une OSM. Mais puisque c’est le premier examen il faut d’abord faire un contrôle à 3 mois avant d’envisager un traitement.
Vous organisez pendant l’hospitalisation un test audiométrique adapté à l’âge. En effet, les parents rapportent une difficulté à prononcer certaines syllabes, et un suivi orthophonique est en cours.
Question 7 : Quels tests pourriez-vous réaliser chez cet enfant de 18 mois ?
Intéressant ici pour mesurer le retentissement de l’OSM sur la capacité du tympan à vibrer. Test facile à réaliser chez l’enfant, car ne nécessite pas de participation active
C’est la clé chez le petit enfant, il faut d’abord le conditionner pour réagir à des stimuli en rapport avec une stimulation auditive
Dès que l’enfant peut parler, une audiométrie vocale peut être plus facile à réaliser qu’une audiométrie tonale, où l’enfant doit indiquer sur des dessins quel mot il a entendu (toujours avec une récompense)
Test objectif non nécessaire à ce stade. Important en cas de suspicion de surdité profonde, ou dans des cas particuliers (retard psychomoteur) où les tests subjectifs sont infaisables. Nécessite souvent une sédation, voire une anesthésie générale
Ce test objectif peut être fait à ce stade, pour rechercher une surdité de perception sous-jacente à la surdité de transmission attendue avec l’OSM
Il y a deux choses à rechercher : l’audition globale, pour rechercher un éventuel retentissement de la surdité de transmission de l’OSM mais aussi penser à rechercher une surdité de perception sous-jacente qui pourrait entraîner le retard de langage. La clé chez l’enfant est de réaliser un test comportemental adapté à l’âge.
Les tests auditifs ont retrouvé une surdité légère, avec une perte auditive moyenne à 20 dB sur les deux oreilles.
L’enfant quitte finalement l’hôpital après 2 semaines de surveillance pour une hospitalisation à domicile (HAD). Il garde en effet une sonde nasogastrique en place avec alimentation exclusive sur sonde. Les différents contrôles ont montré un début de sténose œsophagienne.
Vous le revoyez en consultation à 3 mois de l’ingestion de la pile bouton (actuellement à l’âge de 21 mois). Il présente de la fièvre à 39 °C dans un contexte de rhinite et est grognon. Il a une altération de l’état général modérée et semble se plaindre de l’oreille droite. Vous palpez l’abdomen qui est souple, vous n’avez aucun argument clinique pour une médiastinite.
Vous examinez les tympans


Question 8 : Qu’en pensez-vous ?
À gauche, c’est une otite séromuqueuse (OSM)
À droite, c’est une otite moyenne aiguë (OMA) purulente. On voit que le tympan est très bombant, prêt à fistuliser avec une issue de pus
Le tympan n’est pas du tout bombant à gauche, on voit bien le relief du marteau (contrairement à droite où le marteau est difficile à distinguer à cause du bombement)
Le tympan gauche est mat et gris. On ne distingue pas de bulles rétrotympaniques sur ce tympan
On voit plusieurs capillaires radiaires le long du marteau : le tympan est érythémateux et inflammatoire (OMA)
Nous retrouvons ici une otite séromuqueuse (OSM) à gauche et une otite moyenne aiguë (OMA) à droite. Pour rappel, le triangle lumineux se trouve dans le cadrant antéro-inférieur, ce qui permet de distinguer facilement et rapidement le côté.
Question 9 : Quel traitement envisagez-vous pour cette otite moyenne aiguë ? Il n’y a aucune allergie connue.
Chez l’enfant de plus de 2 ans (ce n’est pas le cas ici), un traitement symptomatique seul doit être donné si l’OMA est bien tolérée
Traitement antibiotique de première ligne des OMA
Traitement antibiotique par amoxicilline et acide clavulanique
Les seules places à la corticothérapie en infectiologie ORL sont pour les laryngites virales et les sinusites (bactériennes ou virales) dans un objectif de diminution de volume des muqueuses inflammatoires (pour faciliter la respiration dans le premier cas et le drainage sinusien dans le deuxième)
C’est une OMA non hyperalgique, qui n’a pas encore été traitée et qui est non compliquée, donc pas d’indication de paracentèse ici
L’enfant ici a moins de 2 ans et donc nécessite un traitement antibiotique même pour une OMA bien tolérée (l’objectif est d’éviter les complications qui peuvent être mal tolérées à cet âge – otologiques mais aussi de la fièvre). Après 2 ans, en cas de bonne tolérance, il n’y a pas d’antibiothérapie car la majorité des OMA sont virales, et une surveillance simple à 48 heures associée à un traitement symptomatique suffit.
Lors de la consultation, vous apprenez que la sténose œsophagienne s’aggrave, et la pose d’une gastrostomie sous anesthésie générale est décidée dans 3 semaines. Pour éviter de multiplier les anesthésies, vous envisagez de poser des aérateurs transtympaniques dans le même temps.
Question 10 : Quelles seraient les justifications à la pose d’ATT bilatéraux chez cet enfant ?
En l’absence de retentissement, une OSM de plus de 3 mois nécessite une surveillance simple sans chirurgie
Ici, la perte auditive a été évaluée à 20 dB en moyenne des deux côtés. La pose d’ATT se justifie uniquement à partir de 30 dB
Même si ce n’est peut-être pas la seule cause au retard de langage, l’amélioration auditive aidera l’orthophoniste dans son travail
Premier objectif chez cet enfant avec des OMA à répétition (plus de 5 par an)
Il n’y a pas de critère d’âge pour la pose d’ATT
La première chose à vérifier avant de décider de la pose d’ATT est que l’OSM persiste dans le temps avec une durée minimum de 3 mois. Le deuxième point important à évaluer est le retentissement de cette OSM, qui va motiver une chirurgie (anesthésie générale et geste invasif) avec la pose d’un ATT.
D’un point de vue auditif, le seuil auditif (perte supérieure à 30 dB) et le retentissement (retard de langage) sont à prendre en compte. Concernant les infections, un seuil de 5 infections par an a été établi.
L’enfant revient 3 jours plus tard avec une aggravation du tableau, malgré une bonne prise des antibiotiques (amoxicilline) et un traitement symptomatique bien suivi. La fièvre persiste à 39 °C. L’altération générale est plus importante avec une baisse inquiétante de l’alimentation. Il n’y a pas de raideur nucale ni de paralysie faciale. Vous pensez à une possible mastoïdite droite.
Question 11 : Quels signes cliniques recherchez-vous pour conforter votre diagnostic ?
Les abcès en avant de l’anthélix correspondent plutôt à des abcès sur des fistules pré-hélicéennes
L’abcès sous-cutané apparaît en regard de la mastoïde, qui se trouve en arrière du pavillon de l’oreille
C’est une collection de pus, donc le bombement est fluctuant à la palpation
Typiquement, l’abcès sous-cutané décolle le pavillon de l’oreille
Au contraire, la mastoïdite se forme surtout par hyperpression du pus dans les cavités de l’oreille, ainsi une otorrhée par perforation tympanique aura tendance à relâcher la pression et diminue le risque de mastoïdite (idem en cas de présence d’un ATT)
La mastoïdite est une complication classique de l’OMA. Elle survient lorsque la pression de pus dans les cavités otiques devient trop importante et que du pus sort par la corticale osseuse pour faire un abcès sous-périosté en regard de la mastoïde, en arrière du pavillon de l’oreille. Il faut être vigilant car le même processus peut avoir lieu au niveau de la corticale interne, entraînant un abcès extradural, parfois sous-dural, avec un risque de thrombophlébite.
Question 12 : Quel bilan initial proposez-vous ?
Il s’agit ici d’une suspicion d’infection avec abcès extracrânien et possiblement intracrânien, il faut donc une injection de produit de contraste
Pas d’intérêt au moment du diagnostic mais utile pour le suivi afin de vérifier une décroissance des marqueurs de l’inflammation
Important, car c’est une pathologie à drainer si l’abcès est important sur le scanner. Les infections sévères peuvent avoir également un retentissement sur la coagulation
Il s’agit ici d’une OMA compliquée, il faut donc faire une paracentèse pour 1) soulager le patient (libérer la pression rétrotympanique), 2) obtenir un prélèvement, 3) permettre une voie d’antibiothérapie supplémentaire (gouttes auriculaires). En cas d’indication opératoire confirmée, ce geste peut se faire au bloc opératoire avec la pose d’un ATT
Le plus important est de faire un scanner injecté. L’intérêt n’est pas tellement de confirmer la mastoïdite, car son diagnostic est clinique, mais surtout de rechercher des complications intracrâniennes comme un abcès ou une thrombophlébite.
Voici l’imagerie que vous avez demandée. Devant le tableau, le radiologue a également choisi de faire une IRM.



Question 13 : Qu’en pensez-vous ?
Faux, la substance grise est grise, et la substance blanche est blanche (moyen mnémotechnique), c’est donc une séquence T1 (en T2, la substance grise apparaît en hypersignal). C’est ici un T1 avec injection de gadolinium
C’est une séquence T1 avec les vaisseaux en hypersignal franc. C’est donc un T1 avec injection de gadolinium
Confirmée par la présence d’abcès sous-cutanés rétro-auriculaires droits (cf. question 4)
On voit bien une image plurilobée d’abcès à droite
On peut voir sur le scanner une image très hypodense dans le sinus à droite (alors que le sinus gauche est normalement hyperdense). C’est très visible sur la coupe en IRM avec un caillot hypo-intense au milieu du sinus veineux à droite
Comme expliqué à la question précédente, l’intérêt est de chercher les complications intracrâniennes. Il n’y a pas ici d’abcès intracrânien, mais on retrouve une thrombophlébite importante du sinus sigmoïde droit. Insérer image « Figure10.jpg ». Insérer image « Figure11.jpg ». Insérer image « Figure12.jpg »



Question 14 : Quelle prise en charge proposez-vous pour cet enfant, en prenant en compte son état clinique et l’imagerie ?
C’est ici un échec du traitement par amoxicilline seule. C’est aussi une OMA compliquée. Pour ces deux raisons, le traitement précédent n’est plus suffisant et doit être modifié
En pratique, mise en place souvent d’une tri-antibiothérapie probabiliste, qui est ensuite adaptée au germe
Aucun intérêt et même traitement dangereux pour cette infection sévère
Les abcès doivent être drainés, et la chirurgie va également permettre un prélèvement stérile du pus pour une meilleure identification que par voie du conduit (paracentèse)
Il y a une thrombose veineuse, le traitement anticoagulant est démarré dès la fin du drainage chirurgical
Ici, des grands principes : en cas d’échec d’une antibiothérapie de première ligne, et en présence d’une infection sévère, il faut hospitaliser et mettre en place un traitement probabiliste par voie veineuse. L’abcès doit être drainé chirurgicalement pour faciliter la guérison mais aussi pour obtenir un prélèvement en milieu stérile permettant le moins de contaminations possible. En pratique chez cet enfant, nous mettrons dans le même temps les ATT bilatéraux. L’ATT à droite permettra de garder le tympan ouvert pour permettre un drainage spontané de la caisse du tympan et une administration d’antibiotique par voie orale.
Dans la nuit suivant le drainage chirurgical, vous êtes appelé au chevet du malade pour un malaise avec nystagmus.
À l’examen, vous constatez effectivement un nystagmus horizonto-rotatoire avec une secousse rapide battant à droite. À cause de l’âge, vous ne pouvez pas examiner avec fixation oculaire, ni rechercher la déviation posturale. Il n’y a pas de vomissements à cause de la sténose œsophagienne.
Question 15 : Quel(s) diagnostic(s) pouvez-vous évoquer ?
En cas de lésion destructrice, la secousse pathologique est la lente (comme le sens de la déviation posturale), donc le nystagmus bat du côté opposé à la lésion
Une lésion irritative va entraîner une stimulation anarchique du système vestibulaire, et donc la secousse rapide va battre du côté de la lésion
En cas de destruction du labyrinthe, le syndrome vestibulaire serait harmonieux. Donc dans ce cas, le nystagmus battrait à gauche
La labyrinthite est une des complications des OMA. Il s’agit d’une inflammation du labyrinthe (dans ce cas bactérienne), qui provoque une irritation du système vestibulaire. Le nystagmus bat donc du côté de la lésion
La névrite vestibulaire correspond à une destruction du labyrinthe, avec un syndrome vestibulaire harmonieux. Cf. question 3. De plus, la névrite vestibulaire n’est pas une complication de l’OMA et n’est pas logique dans ce contexte
Il faut déjà retenir le syndrome vestibulaire harmonieux, qui correspond à une destruction du système vestibulaire (destruction chirurgicale, destruction chimique ou névrite vestibulaire). Pour une lésion droite, nous retrouverions une déviation posturale vers la lésion (à droite), ainsi qu’une déviation lente des yeux dans le même sens que la déviation posturale (vers la droite). Dans ce cas, le nystagmus bat du côté opposé à la lésion, car le sens du nystagmus est donné par la secousse rapide (la seule visible à l’œil nu en phase aigüe). Dans le syndrome vestibulaire harmonieux, le mouvement pathologique du nystagmus est la phase lente.
Dans un nystagmus irritatif, la lésion est inflammatoire et donc le mouvement pathologique du nystagmus est la secousse rapide (par une hyperexcitabilité anarchique). Ainsi le nystagmus bat du côté de la lésion. Ces cas sont rares, le contexte principal à retenir est une labyrinthite (inflammatoire ou infectieuse) ou le VPPB lors de la stimulation. Pendant la maladie de Menière, certaines phases peuvent également être irritatives (et d’autres destructives). Le nystagmus irritatif est également reproduit lors d’injection d’eau chaude dans l’oreille.
Le syndrome de pénétration est fondamental dans la description par interrogatoire de l’inhalation de corps étrangers. La majorité des symptômes sont la conséquence d’un passage du corps étranger au niveau des cordes vocales. Dans l’histoire naturelle, le corps étranger peut ensuite descendre dans la trachée, être expulsé (puis recraché ou dégluti) ou rester coincé au niveau du larynx, entraînant une suffocation et un risque de décès. Le signe clinique le plus spécifique est la cyanose.