[Mis à jour le 31/01/24]
M. X., 31 ans, droitier, vous consulte car depuis plusieurs semaines il est gêné dans son activité professionnelle de chef de rayon dans un magasin de vêtements en raison de l’apparition de mouvements involontaires de la main droite qui entravent son écriture. Parfois, en rangeant les rayons, son bras décrit rapidement un mouvement de rotation incontrôlable. Il rapporte également une maladresse progressive dans l’exécution des gestes fins. Il ressent des difficultés de concentration par moments, ce qui l'irrite davantage encore.
Il n’a pas d’antécédent particulier. Il est marié et a trois enfants en bas âge (4 ans, 3 ans et 1 an) en bonne santé. Il ne prend aucun traitement.
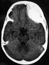
L’examen clinique montre effectivement des mouvements intermittents, brusques de l’hémicorps droit que le sujet tente de camoufler par des mouvements volontaires. Le reste de l’examen neurologique et de l’examen clinique général est normal, notamment l’examen ophtalmologique.
M. X., 31 ans, droitier, vous consulte car depuis plusieurs semaines il est gêné dans son activité professionnelle de chef de rayon dans un magasin de vêtements en raison de l’apparition de mouvements involontaires de la main droite qui entravent son écriture. Parfois, en rangeant les rayons, son bras décrit rapidement un mouvement de rotation incontrôlable. Il rapporte également une maladresse progressive dans l’exécution des gestes fins. Il ressent des difficultés de concentration par moments, ce qui l'irrite davantage encore.
Il n’a pas d’antécédent particulier. Il est marié et a trois enfants en bas âge (4 ans, 3 ans et 1 an) en bonne santé. Il ne prend aucun traitement.
L’examen clinique montre effectivement des mouvements intermittents, brusques de l’hémicorps droit que le sujet tente de camoufler par des mouvements volontaires. Le reste de l’examen neurologique et de l’examen clinique général est normal, notamment l’examen ophtalmologique.
Question 1 - Ce type de mouvements anormaux correspond à (une ou plusieurs réponses exactes) :
Contraction musculaire soutenue, fixant un membre ou un segment de membre dans une position extrême.
Mouvement arythmique, brusque, imprévisible et souvent de rotation, touchant des territoires variés, survenant sur un fond d’hypotonie.
Oscillation rythmique involontaire de tout ou partie du corps autour de sa position d’équilibre.
Secousses musculaires brusques, brèves en éclair, focales, segmentaires ou généralisées, irrégulières.
Mouvements habituellement brefs et soudains, stéréotypés.
Dyskinésies : mouvements anormaux complexes et anarchiques mêlant différentes composantes précédemment citées, volontiers des mouvements choréiques et dystoniques. Ils sont habituellement iatrogènes.
