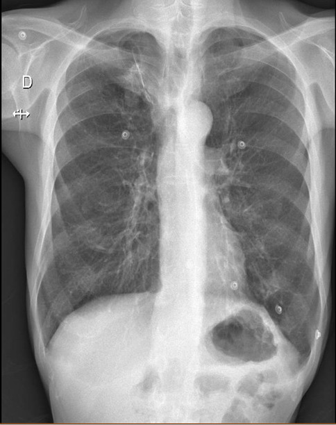
Un patient de 70 ans vous consulte à votre cabinet de médecine générale pour une toux peu productive présente depuis deux ans.
Il est ancien comptable et travaillait dans les bureaux d’une grande entreprise de cosmétiques. Il habite dans un appartement avec sa femme, est père de deux enfants et fumeur actif à 5 cigarettes par jour depuis son adolescence. Il n’a pas été vacciné depuis ses 45 ans hormis le vaccin anti-Covid à trois reprises. Il a comme seuls antécédents une appendicectomie à l’âge de 18 ans et une fracture de cheville à la suite d’un accident de scooter à l’âge de 28 ans.
Il est ancien comptable et travaillait dans les bureaux d’une grande entreprise de cosmétiques. Il habite dans un appartement avec sa femme, est père de deux enfants et fumeur actif à 5 cigarettes par jour depuis son adolescence. Il n’a pas été vacciné depuis ses 45 ans hormis le vaccin anti-Covid à trois reprises. Il a comme seuls antécédents une appendicectomie à l’âge de 18 ans et une fracture de cheville à la suite d’un accident de scooter à l’âge de 28 ans.
Question 1 - Quel diagnostic évoquez-vous devant cette toux chronique (une ou plusieurs réponses exactes) ?
Diagnostic à évoquer systématiquement devant une toux chronique avec une exposition tabagique importante.
Diagnostic à évoquer systématiquement devant une toux chronique avec une exposition tabagique important.
Cause fréquente de toux chronique.
Plutôt l’inverse, la toux peut être responsable de fracture de côtes.
Les DDB sont des anomalies structurelles des bronches responsables d’une diminution de l’appareil mucociliaire responsable d’une toux chronique.



Encadré rouge : le VEMS/CVF ou VEMS/CVmax (= rapport de Tiffeneau) permet de déterminer s’il existe un trouble obstructif ou non.
À noter que la CVmax peut être différente de la CVF (F pour forcée), pourquoi ?
La CVmax correspond à la capacité vitale la plus grande parmi la CVL et la CVF.
Chez les patients très obstructifs, la réalisation d’une spirométrie engendre un collapsus des bronches du fait de la baisse de pression rapide dans les bronches. En comparaison à la réalisation de la CVL (L pour lente) lors de la pléthysmographie, ce qui permet de garder les bronches ouvertes.
En conclusion, chez les patients très obstructifs, on peut observer une différence entre la CVL et la CVF (généralement CVL > CVF).