Vous êtes généraliste en cabinet libéral et vous recevez le petit Adam, 2 ans, pour de la fièvre depuis 48 h. Adam est né à terme, bonne adaptation néonatale. Il est le dernier d’une fratrie de trois enfants. Il est actuellement gardé en crèche. Ses vaccins sont à jour, pas de voyage récent. Notion de contage avec son grand frère de 5 ans qui tousse et qui a une rhinite. Des difficultés à la prise alimentaire s’additionnent à cette fièvre.
Vous examinez Adam, la température est à 39,2 °C en axillaire. Il n’y a pas d’éruption cutanée. L’examen des amygdales est en figure 1. Le reste de votre examen clinique est sans particularité.
Figure 1 (Source : Centers for Disease Control and Prevention, Michael Landon)
Question 1 - Vous concluez à (une ou plusieurs réponses possibles) :
Angine < 3 ans : angine virale. Pas de nécessité de faire un TDR. Traitement uniquement symptomatique en l’absence d’un autre point d’appel. Traitement symptomatique : paracétamol 15 mg/kg/prise, 1 prise toutes les 6 h. 4 x/j maximum. Encourager l’hydratation ++. Le TDR permet de repérer l’angine à streptocoque A. Traitement de l’angine bactérienne : amoxicilline 50 mg/kg/j pendant 6 jours.
Vous rassurez les parents d’Adam sur le caractère viral de l’angine, et vous prodiguez des conseils de surveillance. Quelques mois plus tard, alors que vous êtes de garde aux urgences, Adam est transporté par le SMUR pédiatrique pour des clonies brachio-faciales gauches. Il a une fièvre à 38,8 °C, évoluant depuis trois jours selon ses parents.
Question 2 - Quelle(s) pathologie(s) est/sont à redouter devant ce tableau clinique (une ou plusieurs réponses possibles) ?
Ce sont des crises partielles sensorimotrices et touchant électivement la sphère bucco-faciale.
Pas de caractéristiques neurologiques focales dans les crises fébriles simples.
C’est un diagnostic possible, en effet, les explorations futures permettront d’en savoir la cause.
La crise focale est un signe inhabituel dans les méningites purulentes (témoigne d’une irritation focale du cortex cérébral).
Attention ! Toute crise convulsive focale fébrile doit faire évoquer jusqu’à preuve du contraire une méningo-encéphalite herpétique. Un traitement probabiliste est indispensable.
Dans ce contexte de crise focale vous allez examiner Adam : il persiste encore des clonies du membre supérieur gauche, plus de 20 minutes après le début de la crise. Votre examen clinique montre : – score de Glasgow 10 (V4, Y2, M4) ; – fréquence cardiaque = 110 bpm ; fréquence respiratoire = 25/m ; – saturation en oxygène (SpO2) = 90 % en air ambiant ; – pupilles réactives et symétriques, pas de déficit moteur ni syndrome pyramidal ; – temps de recoloration cutané immédiat ; – pas d’hépatomégalie ni de splénomégalie, pas d’éruption cutanée ; – température axillaire : 39 °C.
Question 3 - Quelle est votre prise en charge thérapeutique immédiate (une ou plusieurs réponses possibles) ?
La mise en condition de cet enfant passe par la libération des voies aériennes supérieures, la mise en PLS, l’oxygénothérapie, le monitoring cardiorespiratoire. Traitement en urgence : diazépam (Valium) intrarectal 0,5 mg/kg (max 10 mg) ou clonazépam 0,05 mg/kg par voie intraveineuse (Rivotril). Le traitement probabiliste, à mettre en place en urgence, ne doit pas être retardé par les examens complémentaires. L’administration d’aciclovir ne fausse pas le résultat de la ponction lombaire et est indispensable du fait de la forte suspicion de méningo-encéphalite herpétique. La précocité d’administration permettra de réduire le risque de séquelle neurologique. Dans ce cas, l’antibiothérapie est à administrer en même temps car il faudra réaliser une tomodensitométrie (TDM) avant de faire la ponction lombaire (PL), donc impossibilité d’avoir la PL rapidement. Pour rappel : – antibiothérapie avant la PL si : contre-indication à la PL, délai de prise en charge > 90 minutes, purpura fulminans ; – contre-indication de la PL : risque d’engagement, trouble hémodynamique, purpura extensif, saignement clinique ; – indication d’imagerie avant la PL : troubles de la vigilance (score de Glasgow < 11), signes neurologiques focaux et signes d’engagement, hypertension intracrânienne (HTIC).
Après votre prise en charge, l’enfant ne convulse plus. Vous le réévaluez dix minutes après la fin des convulsions : le score Glasgow est maintenant à 15.
Question 4 - Quel(s) examen(s) complémentaire(s) faites-vous dans les 24 heures pour étayer votre diagnostic ?
Faire l’imagerie avant la PL, dans ce cas, du fait de la crise focale.
Dans la méningo-encéphalite herpétique : – l’IRM cérébrale peut montrer des hypersignaux souvent bilatéraux et asymétriques des lobes temporaux en pondération T2 et FLAIR ; – la PL montrera un liquide clair avec pléiocytose modérée à prédominance lymphocytaire, hyperprotéinorachie modérée ; la recherche par PCR de l’Herpes simplex virus (HSV) est positive ; – l’EEG montre un tracé ralenti avec ondes lentes périodiques et pointes ondes fronto-temporales, mais un EEG normal n'élimine pas le diagnostic d’encéphalite ; – NFS et CRP seront en faveur d’une infection virale.
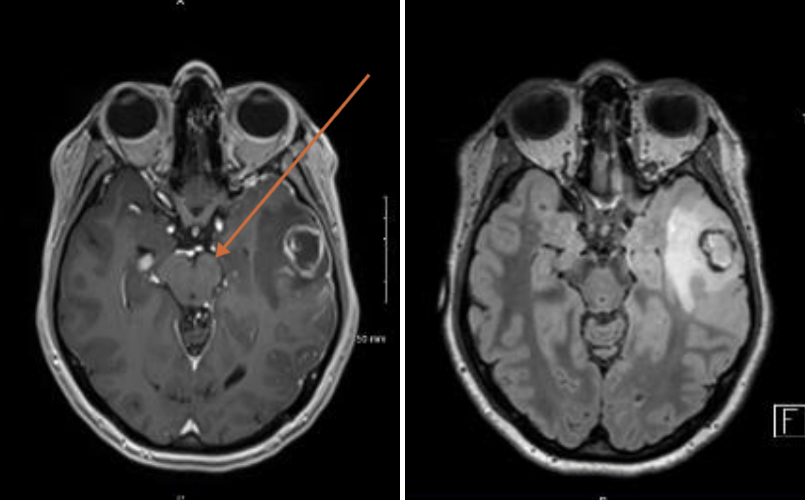
Votre externe vous montre l’imagerie cérébrale du patient (figures 2 et 3) : Figures 2 et 3 (Source : Salomé Oranger, La Revue du Praticien)
Question 5 - Concernant les imageries cérébrales précédentes (une ou plusieurs réponses possibles) :
Imagerie par résonance magnétique (IRM) en séquence T1 injecté.
Séquence FLAIR : liquide céphalorachidien (LCR) en hyposignal, substance grise en blanc.
Finalement vous comprenez que votre externe s’est trompé de patient car il s’agit d’une IRM cérébrale en séquence FLAIR montrant un abcès cérébral en lobe temporal gauche et non l’imagerie de votre suspicion initiale, celle d’une méningo-encéphalite herpétique. Les résultats sanguins montrent : hémoglobine (Hb) = 14 g/dL ; globules blancs (GB) = 5 G/L dont 2 G/L de polynucléaires neutrophiles (PNN) et lymphocytes 3 G/L ; protéine C réactive (CRP) = 60 mg/L ; bilan hépatique normal. La biologie du LCR retrouve : protéinorachie = 1,1 g/L ; hématies = 10/mm3 ; leucocytes = 240/mm3. Examen direct négatif. PCR HSV en cours.
Question 6 - Quelle est votre interprétation de ces résultats (une ou plusieurs réponses possibles) ?
Taux de lymphocytes normaux : 3 - 9,5 G/L pour un enfant de 2 ans.
Vous concluez finalement à une méningo-encéphalite herpétique à HSV1 après réception d’une PCR HSV1 positive. Les cultures bactériennes du LCR sont négatives.
Question 7 -Quel traitement est désormais adapté (une ou plusieurs réponses possibles) ?
Aciclovir : très mauvaise biodisponibilité par voie orale ! On poursuit en intraveineux + traitement symptomatique avec anticonvulsivants, antipyrétique, O2 éventuel, équilibration hydroélectrolytique + prévention des agressions cérébrales secondaires d’origine systémique (ACSOS). On arrête le traitement si 2 PCR HSV négatives à 48 heures d’intervalle. Dans le cas contraire, on continue le traitement pendant 21 jours. Le suivi doit être prolongé : risque de séquelles neurocognitives importantes ! Aciclovir : très veinotoxique, toxicité rénale tubulaire également possible à prévenir (hydratation) et surveiller.
Traitement symptomatique : paracétamol 15 mg/kg/prise, 1 prise toutes les 6 h. 4 x/j maximum. Encourager l’hydratation ++.
Le TDR permet de repérer l’angine à streptocoque A.
Traitement de l’angine bactérienne : amoxicilline 50 mg/kg/j pendant 6 jours.