Vous recevez en urgence Mme X., 34 ans, G2P1 (un accouchement par voie basse et une interruption volontaire de grossesse) qui consulte aux urgences gynécologiques pour des douleurs pelviennes hypogastriques évoluant depuis une semaine, pour lesquelles elle n’a pas pris d’antalgique.
Elle n’a pas d’antécédent médical ni d’allergie connue. Elle a bénéficié d’une avulsion des dents de sagesse et d’une appendicectomie dans l’adolescence.
Par ailleurs, elle n’a pas de métrorragies, pas de leucorrhées, pas de signes fonctionnels urinaires.
Sa pression artérielle est à 123/67 mmHg, un pouls à 78 bpm, une température à 37,6 °C.
À l’examen clinique, vous retrouvez un abdomen souple et dépressible, sensible en hypogastre. Au spéculum, vous visualisez un col sain, sans leucorrhées ni métrorragies. Au toucher vaginal, vous reproduisez la douleur à la mobilisation.
Biologiquement, vous retrouvez une hémoglobine à 12,7 g/dL, des leucocytes à 11 G/L, des plaquettes à 247G/L, une protéine C réactive (CRP) à 22 mg/L et une β-hormone chorionique gonadotrope (β-HCG) négative.
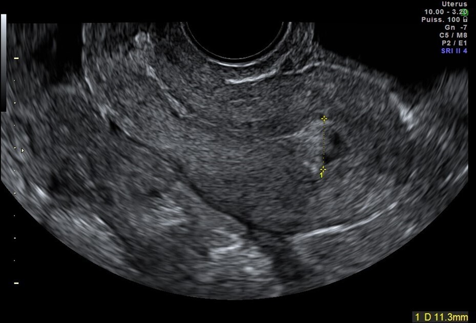
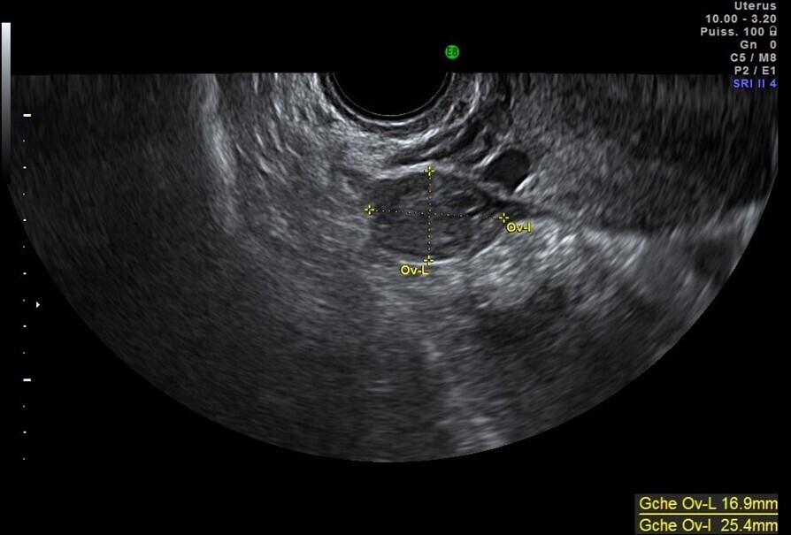
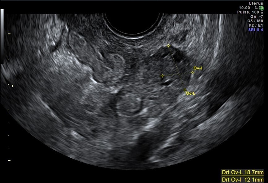
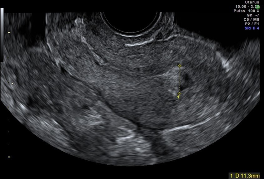
Vous faites une échographie pelvienne qui retrouve un utérus antéversé avec un endomètre épaissi de 5 mm, des ovaires droit et gauche sans anomalie. Il n’y a pas d’épanchement dans le cul-de-sac de Douglas.
Elle n’a pas d’antécédent médical ni d’allergie connue. Elle a bénéficié d’une avulsion des dents de sagesse et d’une appendicectomie dans l’adolescence.
Par ailleurs, elle n’a pas de métrorragies, pas de leucorrhées, pas de signes fonctionnels urinaires.
Sa pression artérielle est à 123/67 mmHg, un pouls à 78 bpm, une température à 37,6 °C.
À l’examen clinique, vous retrouvez un abdomen souple et dépressible, sensible en hypogastre. Au spéculum, vous visualisez un col sain, sans leucorrhées ni métrorragies. Au toucher vaginal, vous reproduisez la douleur à la mobilisation.
Biologiquement, vous retrouvez une hémoglobine à 12,7 g/dL, des leucocytes à 11 G/L, des plaquettes à 247G/L, une protéine C réactive (CRP) à 22 mg/L et une β-hormone chorionique gonadotrope (β-HCG) négative.
Vous faites une échographie pelvienne qui retrouve un utérus antéversé avec un endomètre épaissi de 5 mm, des ovaires droit et gauche sans anomalie. Il n’y a pas d’épanchement dans le cul-de-sac de Douglas.
Question 1 - Quelle est votre principale hypothèse diagnostique ?
Le test de grossesse est négatif.
Devant le syndrome inflammatoire débutant avec la douleur qui est reproduite à la mobilisation utérine.
La douleur n’est pas latéralisée et il n’existe pas de kyste ovarien.
On note l’absence de kyste sur les ovaires, même affaissé, associée à un cul-de-sac de Douglas sec.
Il n’a pas été mis en évidence de fibrome.





