Vous recevez en consultation un patient de 72 ans pour des douleurs lombaires évoluant depuis environ un mois.
Il n’a pas d’antécédent notable et ne prend pas de traitement au long cours pour ses douleurs, en dehors d’antalgiques de palier 2.
Les douleurs ont débuté progressivement, il a initialement pensé qu’elles étaient secondaires à un effort de jardinage, mais elles ont persisté et sont devenues permanentes malgré un alitement prolongé. Il ne peut plus se pencher vers l’avant sans majorer la douleur. Il se sent fatigué. Il a moins d’appétit. Il n’a pas pris sa température, mais n’a pas noté de frissons. Il ne rapporte pas d’autre symptôme.
Question 1 - Devant ce tableau clinique, vous évoquez (une ou plusieurs réponses correctes) :
Caractéristiques inflammatoires de la douleur et altération de l’état général.
Rendue peu probable par la raideur rachidienne décrite.
On note des caractéristiques de la douleur devant alerter sur une origine inflammatoire : début progressif, altération de l’état général associée.
La raideur n’est pas spécifique mais oriente vers une origine rachidienne.
Les causes les plus fréquentes de douleurs inflammatoires rachidiennes sont les cancers et le myélome, les spondylarthropathies, ainsi que les spondylodiscites à pyogènes et le mal de Pott (tuberculose vertébrale).
Votre examen retrouve une raideur rachidienne lombaire modérée. Les douleurs sont reproduites à la palpation du rachis lombaire. Vous notez l’absence de déficit neurologique sensitif ou moteur et de syndrome pyramidal. Le patient précise avoir une dysurie depuis plusieurs semaines. Le toucher rectal retrouve un blindage pelvien, sans déficit sensitif périanal. Les constantes sont normales, le patient n’a pas de fièvre.
Question 2 - Devant ce tableau clinique, vous diagnostiquez (une ou plusieurs réponses correctes) :
Pas de déficit sensitif à l’étage concerné.
Pas de déficit sensitif ou moteur sous l’étage concerné.
Douleur et raideur rachidienne.
Pas de douleur radiculaire, et la dysurie est probablement expliquée par une tumeur pelvienne plutôt que d’origine neurologique vu les anomalies au TR.
Pas de syndrome pyramidal.
Le blindage pelvien évoque la présence au toucher rectal d’une tumeur pelvienne localement avancée et probablement inextirpable : prostatique ou vésicale, rectale ou gynécologique (cancer de l’endomètre ou du col utérin).
Le patient est hospitalisé pour un bilan diagnostique.
Question 3 - Dans ce contexte, vous prescrivez (une ou plusieurs réponses exactes) :
Peu utile dans ce contexte.
Une biopsie osseuse sera potentiellement nécessaire dans ce cas mais sera plus rentable si guidée par l’imagerie.
Pas en première intention sans point d’appel clinique.
Indispensable pour rechercher un myélome.
Blindage pelvien, aide au diagnostic de cancer de prostate.
Ne pas oublier l’ensemble du bilan de myélome, même si ici le blindage pelvien oriente avant tout vers une tumeur solide.
L’IRM rachidienne reste l’examen incontournable devant une rachialgie inflammatoire.
En cas de métastases osseuses symptomatiques, un bilan couplant IRM et scanner est souvent nécessaire avant toute décision chirurgicale ou de radiothérapie. La TDM permet un bon bilan osseux et l’IRM visualise les lésions des parties molles et les rapports avec la moelle, la queue de cheval ou les racines nerveuses. L’IRM permettra également de visualiser une prise de contraste de la dure-mère évocatrice d’épidurite qui sera à irradier ou à opérer si elle est symptomatique.
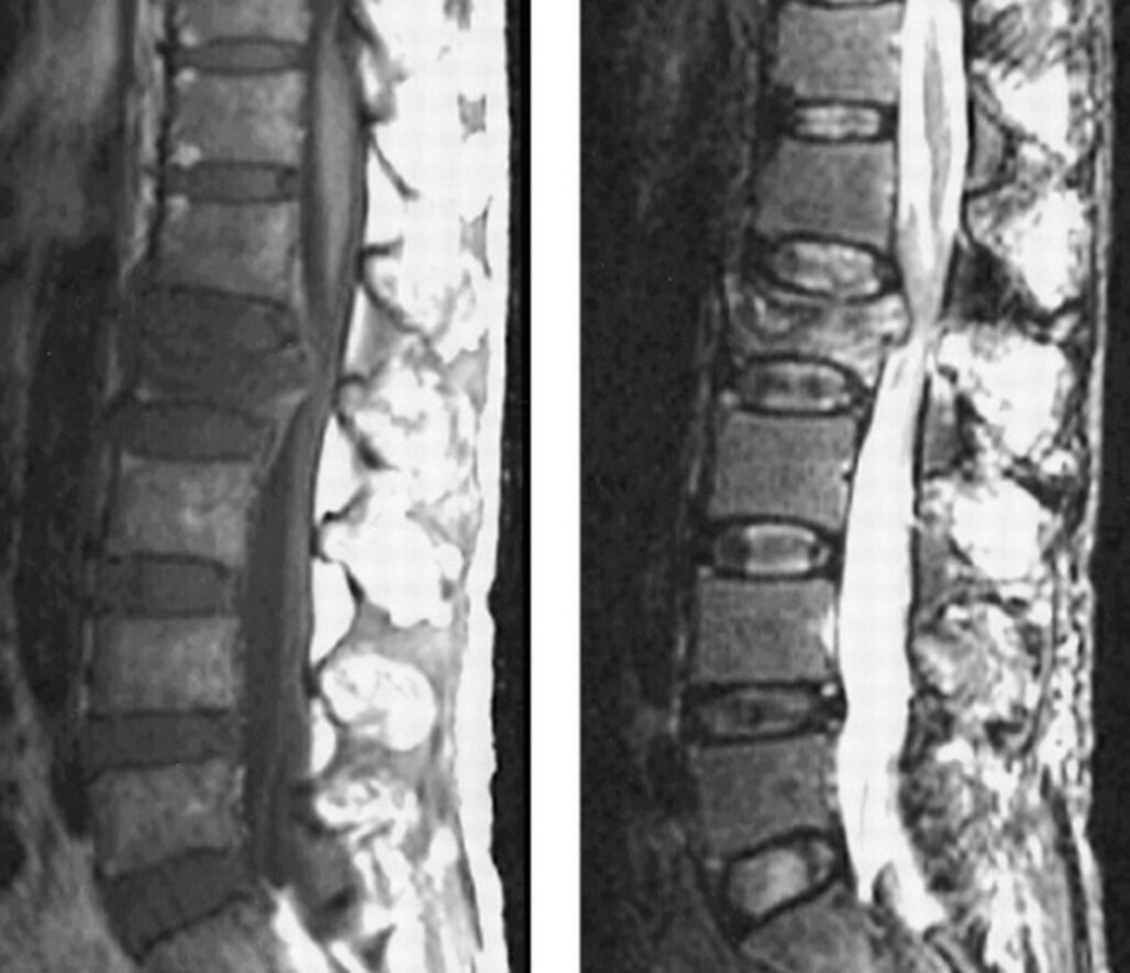
Le patient bénéficie d’une imagerie par scanner du rachis.
Question 4 - En interprétant ces images, vous notez (une ou plusieurs réponses correctes) :
Non visible ici, en revanche il existe des hernies intraspongieuses qui ont une origine mécanique.
Notamment au niveau sacré et L2.
Vide discal (pincement), géodes, ostéophytes et ostéocondensation sous chondrale.
Image lytique en miroir non visible ici, en revanche il existe des hernies intraspongieuses qui ont une origine mécanique.
Le cancer de la prostate métastatique se présente classiquement par une atteinte ganglionnaire et/ou osseuse.
D’autres localisations plus rares sont possibles et de moins bon pronostic : hépatiques, pulmonaires, cérébro-méningées.
Les métastases osseuses peuvent être ostéolytiques et/ou ostéocondensantes (caractéristique assez spécifique, avec possible vertèbre ivoire).
Vous réalisez une TDM et une IRM rachidienne qui retrouvent des lésions osseuses ostéocondensantes du rachis lombaire et sacrées sans retentissement neurologique. Le PSA sérique total est à 700 ng/mL. Vous suspectez un cancer prostatique métastatique.
Question 5 - Concernant votre prise en charge, vous proposez (une ou plusieurs réponses exactes) :
Le diagnostic histologique est toujours obligatoire même en cas de très forte certitude (association lésions osseuses et PSA élevé).
On peut dans ce cas ne réaliser que 3-4 biopsies prostatiques, sans nécessité de cartographier la prostate puisque le traitement ne sera pas local dans l’immédiat. Les biopsies osseuses sont également une alternative si les localisations osseuses sont accessibles.
Devant une maladie métastatique, un bilan d’extension est indispensable à la recherche d’autres localisations osseuses (scintigraphie osseuse) ou viscérales/ganglionnaires (scanner thoraco-abdomino-pelvien). Il s’agira du couple d’imagerie de surveillance ultérieure du patient (scintigraphie + scanner).
Une corticothérapie n’est pas justifiée ici car il n’y a pas de retentissement neurologique. Un traitement spécifique sera débuté après analyse des résultats histologiques.
Vous réalisez des biopsies de prostate qui retrouvent un adénocarcinome prostatique Gleason 9 (5+4). Votre bilan d’extension ne retrouve pas d’autres localisations que les lésions rachidiennes. Vous concluez à un cancer de prostate métastatique au niveau rachidien. Le patient est toujours symptomatique malgré un traitement par antalgiques de palier II.
Question 6 - Concernant le traitement de première ligne, vous proposez initialement (une ou plusieurs réponses exactes) :
Un cancer de prostate métastatique se traite par hormonothérapie anti-testostérone jusqu’à résistance à la castration (qui nécessitera alors une hormonothérapie de 2e ligne (nouvelle génération : abiratérone [ZYTIGA] ou enzalutamide [XTENDY]) ou une chimiothérapie par taxanes (docétaxel [TAXOTERE]). Des études (CHAARTED, STAMPEDE 2014-2015) ont suggéré qu’une chimiothérapie par Docétaxel était intéressante d’emblée en cas de maladie métastatique largement disséminée (osseuse extra-rachidienne et/ou viscérale hépatique, pulmonaire, etc), en association à l’hormonothérapie, mais sans attendre la phase de résistance à la castration.
L’hormonothérapie est basée sur un blocage complet ou incomplet de l’axe gonadotrope :
• incomplet : par analogue de la LH-RH tous les 3 à 6 mois (goséréline [ZOLADEX], leuproréline [ENANTONE], triptoréline [DÉCAPEPTYL]) ;
• complet : par antagoniste de la LH-RH seul (dégarelix [FIRMAGON], mensuel) ou bithérapie par un analogue tous les 3-6 mois + prise quotidienne per os d’anti-androgènes périphériques (bicalutamide [CASODEX]).
L’hormonothérapie par analogue de la LH-RH ou antagoniste de la LH-RH peut être responsable :
• de fragilisation osseuse (ostéopénie, ostéoporose…) nécessitant une supplémentation en calcium/vitamine D, et de biphosphonates uniquement en cas d’ostéoporose prouvée en densitométrie ou de fracture liée à une résistance à la castration ;
• de troubles sexuels (baisse de la libido, troubles de l’érection…). Une gynécomastie peut être constatée en cas d’adjonction d’anti-androgènes uniquement ;
• de troubles cognitifs (dépression, baisse de l’attention et de la mémoire…) ;
• de modification musculaire avec atrophie ;
• de troubles cardio-vasculaires et métaboliques (hyperglycémie, dyslipidémie…).
Un blocage androgénique complet (BAC) est recommandé principalement le 1er mois (débuter l’anti-androgène 15 jours avant l’analogue) afin d’éviter un effet flare-up (majoration des lésions devant la stimulation initiale de l’axe gonadotrope par l’analogue de la GnRH = LH-RH). L’analogue seul sera ensuite à poursuivre à vie, même en cas de résistance à la castration et d’adjonction d’une chimiothérapie.
Un de vos collègues prend en charge ce patient et débute un traitement par analogue de la LH-RH seul, associé à du tramadol pour calmer les douleurs. Cinq jours plus tard, le patient se plaint de la majoration de douleurs lombaires basses avec irradiation dans les membres inférieurs. Il existe un déficit jambier bilatéral avec réflexes ostéo-tendineux abolis. L’examen du périnée retrouve une anesthésie en selle avec béance anale et le patient a une matité sus-pubienne avec des fuites urinaires.
Question 7 - Devant cette symptomatologie, vous concluez que (une ou plusieurs réponses exactes) :
Il s’agit d’un tableau périphérique de syndrome de la queue de cheval avec déficit des membres inférieurs et du périnée + anesthésie en selle + abolition des réflexes (ROT et tonus anal) et vessie neurogène périphérique (vessie flasque acontractile rétentionniste avec sphincter béant expliquant les fuites d’urine par insuffisance sphinctérienne et/ou par regorgement). La vessie neurogène centrale est plutôt caractérisée par une hyperactivité vésicale avec hypertonie sphinctérienne (dyssynergie vésico-sphinctérienne). Néanmoins le traitement par palier II (tramadol) et l’atteinte locale cancéreuse ont pu favoriser la rétention aigue d’urine.
Le syndrome du cône terminal se manifeste par un syndrome pyramidal des membres inférieurs et non une atteinte radiculaire.
L’effet flare-up peut en partie expliquer le tableau actuel en raison de l’absence de blocage androgénique complet réalisé le 1er mois (voir correction de la question 6).
Votre examen clinique confirme une rétention vésicale estimée à 1,5 L. Le patient n’a pas de confusion mais est agité.
Question 8 - En urgence, votre prise en charge comporte (une ou plusieurs réponses exactes) :
Les causes habituelles de rétention d’urine sont :
• un obstacle sous-vésical : le plus fréquemment un adénome/hyperplasie bénigne de la prostate, mais également une sténose de l’urètre, un cancer de prostate au stade localement avancé, des valves de l’urètre postérieur chez l’enfant, un prolapsus génital chez la femme ;
• une cause vésicale par hypo- ou acontractilité vésicale par dénervation périphérique : neuropathie diabétique, alcoolique, syndrome de la queue de cheval, herpès génital… ;
• un mécanisme réflexe lié à une distension ano-rectale : fécalome, crise hémorroïdaire… ;
• un contexte postopératoire ou iatrogène (anticholinergiques, etc.)
En cas de vessie neurogène périphérique, la vessie et le sphincter sont flasques : vessie acontractile rétentionniste avec possibilité de fuites par regorgement en cas de rétention complète et béance du sphincter strié urétral responsable d’incontinence. Le tableau est cependant le plus souvent rétentionniste et nécessitera l’apprentissage des auto-sondages si la cause de l’acontractilité persiste. Les auto-sondages sont réalisés par le/la patient(e) en conditions d’asepsie non stérile, avec une toilette simple et un sondage propre, à raison de 4-6 auto-sondages par jour permettant d’éviter de dépasser 500 cc par sondage.
Le cancer de la prostate n’est pas une contre-indication au sondage vésical ni au cathéter sus-pubien donc on peut tenter un sondage urétro-vésical dans ce contexte. Le cancer de la vessie, en revanche contre-indique formellement la pose de cathéter sus-pubien devant le risque de dissémination.
Le patient n’ayant pas de signe de surdosage en antalgique, il faut les poursuivre tant qu’il est douloureux.
Les contre-indications formelles au sondage vésical sont rares et sont principalement les cas de traumatisme suspecté de l’urètre (traumatisme déplacé du bassin avec urétrorragie et hématome périnéal…) ou de chirurgie récente de l’urètre (prostatectomie radicale, urétroplastie…) ou encore les rares cas de sténose de l’urètre infranchissable. En cas de prostatite en rétention, les recommandations de la SPILF 2014 autorisent le sondage urétro-vésical.
Après sondage vésical, un clampage par palier de 400-500 mL prévient l’hémorragie a vacuo et en cas de rétention aiguë ou chronique > 500-1 000 mL, une prévention du syndrome de levée d’obstacle est nécessaire par hydratation et compensation des pertes volume par volume pendant les 24 premières heures avec surveillance du ionogramme et du risque d’hypokaliémie.
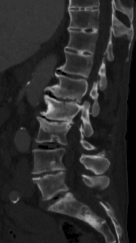
Vous réalisez une IRM rachidienne en urgence.
Question 9 - Votre analyse de l’IRM retrouve (une ou plusieurs réponses exactes) :
Le tableau neurologique est lié au recul du mur postérieur qui comprime les parties molles (le fourreau dural et les racines de la queue de cheval au niveau de L2). Il s’agit donc à ce niveau-là d’une compression de racines périphériques expliquant l’abolition des réflexes et le syndrome de la queue de cheval. À l’inverse, un syndrome pyramidal est observé en cas de compression médullaire, et donc de la moelle épinière située au-dessus de L1, par exemple en cas d’atteinte des vertèbres dorsales ou cervicales. Le recul du mur postérieur et le contexte vont contre une origine ostéoporotique. Il n’y a pas d’anomalie visible des racines en dehors de la compression de niveau L2.
Vous suspectez une complication rachidienne avec fracture de L2 et recul du mur postérieur responsable d’un syndrome de la queue de cheval.
Question 10 - Devant ce tableau clinique, vous proposez (une ou plusieurs réponses exactes) :
En cas de complication neurologique sur des métastases rachidiennes, un avis neurochirurgical est toujours nécessaire lorsque l’état général et la survie du patient le permettent, en vue d’une laminectomie décompressive et éventuellement d’un geste d’exérèse du corps vertébral atteint s’il s’agit d’une atteinte métastatique unique. Le geste de laminectomie nécessitera le plus souvent une ostéosynthèse pour fixation du rachis.
Dans l’immédiat, un repos strict en décubitus dorsal est préconisé avant réalisation d’une nouvelle imagerie IRM, et une injection IV de corticothérapie est débutée en urgence à visée anti-inflammatoire et anti-œdémateuse sur les lésions tumorales.
Une radiothérapie osseuse est indiquée en post-opératoire de chirurgie d’une métastase osseuse à visée antalgique et de contrôle d’une éventuelle récidive locale des lésions.
En cas de lésion fracturaire liée à l’évolution de la maladie ou à l’ostéoporose déclenchée par l’hormonothérapie, il existe une indication de traitement par biphosphonates mensuel IV ou denosumab mensuel SC (anti-RANK ligand), surtout en phase de résistance à la castration.
Il faudra par ailleurs continuer l’analogue de la LH-RH à vie et rajouter l’anti-androgène au moins 1 mois.
Votre prise en charge a permis une bonne récupération neurologique mais le patient garde une vessie rétentionniste qui nécessite 4-6 auto-sondages/j. Le patient poursuit par ailleurs son traitement par analogue de la LH-RH trimestriel seul, avec un bon contrôle du PSA et un nadir à 10 ng/mL après quelques mois de suivi.
Vous le revoyez à 2 ans du début du traitement, alors qu’il se plaint d’une asthénie de plus en plus intense. Il a également des douleurs rachidiennes qui se majorent depuis plusieurs semaines.
Son hémogramme montre :
Hémoglobine 9,9 g/dL, VGM 85 fl, leucocytes 9 800/mm3, plaquettes 81 G/L.
Question 11 - Dans ce contexte, vous prescrivez (une ou plusieurs réponses exactes) :
On suspecte une récidive du cancer étant donné les douleurs, le PSA permettra d’apporter un argument supplémentaire.
En cas d’élévation du PSA sous traitement ou de progression clinique ou radiologique, on suspecte une résistance à la castration. Une aggravation clinique ou biologique suffit à affirmer le diagnostic sous réserve du dosage de la testostéronémie totale. La castration doit ainsi être vérifiée par mesure de la testostéronémie totale qui est effondrée. Si la testostéronémie totale est normale ou augmentée, c’est qu’il s’agit d’une non-compliance au traitement ou d’une mauvaise efficacité de la castration.
Les réticulocytes sont indiqués devant toute anémie normocytaire. Le dosage de la coagulation est utile devant toute thrombopénie. La créatininémie est utile devant une anémie normocytaire et avant une éventuelle imagerie injectée.
Votre examen clinique reproduit les douleurs à la palpation de l’omoplate droite, du rachis lombaire et dorsal, et des dernières côtes à gauche. Vous ne notez pas de fièvre ni d’autre anomalie.
La biologie retrouve :
TP 56 %, fibrinogène1 g/L
LDH 3N, CRP 54 mg/L, créatinine 67 µmol/L, réticulocytes 45 G/L, ASAT, ALAT, GGT, PAL et bilirubine totale normales.
Question 12 - Devant ce tableau, vous évoquez (une ou plusieurs réponses exactes) :
Le tableau clinique évoque avant tout une progression du cancer. Les LDH et la CRP élevés peuvent aller avec cette hypothèse. Il existe une anémie arégénérative probablement d’origine inflammatoire, ainsi qu’une thrombopénie. Une anémie hémolytique autoimmune est peu probable étant donné le caractère non régénératif et l’absence d’augmentation de la bilirubine. Etant donné les anomalies de la coagulation associée (baisse du TP et probablement du fibrinogène qui devrait être élevé dans un contexte inflammatoire), on évoque une CIVD. La thrombopénie immunologique semble donc peu probable. Il n’y a pas d’argument pour un sepsis (pas de fièvre, pas de signe de sepsis contrastant avec un tableau biologique déjà perturbé).
Vous diagnostiquez une coagulation intra-veineuse disséminée (CIVD).
Vous recevez la suite des résultats des examens demandés : PSA 235 ng/mL. Testostéronémie totale non dosable.
Question 13 - Devant ce tableau, vous évoquez (une ou plusieurs réponses exactes) :
Le cancer de prostate devient inéluctablement résistant à une castration bien conduite (CPRC) après quelques mois ou années d’hormonothérapie (mécanismes de modifications du récepteur aux androgènes ou de sécrétion autocrine de testostérone par les cellules tumorales…).
Ce tableau de progression biologique du PSA, clinique ou radiologique est confirmé par dosage de la testostéronémie totale qui doit être effondrée. Si ce n’est pas le cas, il s’agit d’une mauvaise administration du traitement ou d’une mauvaise observance.
Toute progression au cours d’un cancer métastatique doit faire réaliser un nouveau bilan d’évaluation complet de l’évolution de la maladie : marqueur sanguin s’il existe (PSA, ACE, SCC, etc…), radiologique avec recherche des localisations habituelles et symptomatiques (radiographies osseuses et dans le cadre du cancer de la prostate le couple scintigraphie osseuse-scanner doit être réalisé à chaque évolution de la maladie).
En cas de maladie avec atteinte cérébrale fréquente (cancer du poumon et du sein, choriocarcinome testiculaire, par exemple), une imagerie cérébrale peut être demandée en cas d’évolution métastatique disséminée, même en l’absence de symptomatologique neurologique. Ici, le contexte est très évocateur de progression tumorale, confirmée par l’élévation du PSA. La CIVD peut parfois compliquer un tableau de maladie tumorale disséminée.
La progression tumorale est confirmée. Devant le tableau symptomatique, une chimiothérapie par docétaxel a été proposée, et le patient a reçu un total de 6 cycles. Par la suite devant une poursuite de l’évolutivité des métastases une hormonothérapie de nouvelle génération (Abiratérone [ZYTIGA]) a été introduite avec une bonne tolérance et une amélioration des douleurs ainsi que du bilan de coagulation qui s’est normalisé.
Le patient est réhospitalisé en urgence devant une altération de l’état général, des vomissements et de la fièvre à 38,9 °C. Les douleurs osseuses sont réapparues depuis quelques semaines et sont mal contrôlées par les antalgiques. Le patient réalise quotidiennement ses auto-sondages sans difficulté et la vessie est vide à l’examen clinique, mais il existe une sensibilité des fosses lombaires bilatérale à la palpation. Le bilan biologique retrouve : 22 000 GB, urée 25 mmol/L, créatininémie 600 µmol/L, K 4,6, calcémie totale corrigée 2,30 mmol/L. Sa créatininémie réalisée il y a 1 an était normale (créatininémie de base : 85 µmol/L). Les plaquettes et le TP sont normaux.
Question 14 - Dans ce contexte vous concluez que (une ou plusieurs réponses exactes) :
Dans le contexte de progression tumorale avec altération de l’état général et majoration de douleurs osseuses métastatiques, il faut suspecter une progression loco-régionale du cancer de prostate avec envahissement du trigone et des 2 méats urétéraux, qui peut expliquer une insuffisance rénale obstructive compliquée de pyélonéphrite obstructive.
L’obstacle n’est pas sous-vésical par compression de l’urètre car le patient s’auto-sonde sans difficulté et la vessie est vide.
Une insuffisance rénale obstructive n’est possible que lorsqu’il existe une obstruction urétérale bilatérale, ce qui est le cas lors d’une rétention d’urine ou en cas d’envahissement du trigone et des 2 méats urétéraux par une maladie tumorale (prostatique, vésicale, cancer du col ou de l’endomètre…). Il peut également exister de rares cas de compression urétérale abdominale par adénopathies bilatérales ou exceptionnellement de calculs urétéraux bilatéraux.
Une insuffisance rénale fonctionnelle exclusive est ici peu probable vu le tableau clinique et le profil urée/créatininémie, mais les vomissements participent probablement à l’aggravation de la fonction rénale.
Vous réalisez une échographie aux urgences :
Question 15 - Dans ce contexte, vous proposez (une ou plusieurs réponses exactes) :
L’évolution loco-régionale des cancers de prostate et de vessie aboutit souvent à des tableaux de rétention d’urine, de caillotage vésical et/ou d’envahissement du trigone et des méats urétéraux avec insuffisance rénale obstructive +/- pyélonéphrite par dilatation bilatérale des cavités pyélo-calicielles. Il s’agit alors d’un tableau urgent nécessitant une antibiothérapie en cas de fièvre/surinfection et un drainage des cavités rénales par néphrostomies bilatérales ou pose de sondes JJ bilatérales si les méats sont visualisés en cystoscopie. En cas de pose de néphrostomies 1re, on pourra tenter dans un second temps une descente de JJ après repérage des méats urétéraux, afin de proposer un drainage interne des urines.
Les soins de confort doivent être mis en place et la pose de néphrostomie bilatérale peut largement entraver la qualité de vie et devra être discutée avec le patient et sa famille ainsi qu’une éventuelle radiothérapie pelvienne en cas de symptomatologie douloureuse ou hémorragique.
La raideur n’est pas spécifique mais oriente vers une origine rachidienne.
Les causes les plus fréquentes de douleurs inflammatoires rachidiennes sont les cancers et le myélome, les spondylarthropathies, ainsi que les spondylodiscites à pyogènes et le mal de Pott (tuberculose vertébrale).