Displaying 251 - 275 of 24238
Exercice

Testez-vous sur l’item 129 (partie 1)

Mme Z., 75 ans, aux antécédents d’infarctus du myocarde et d’hypertension artérielle, se plaint depu...
Rhumatologie
Exercice
promo
Image

Sarcoïdose : Syndrome de Löfgren 

SYNDROME DE LOFGREN
SARCOIDOSE
z
Image
Image

Une alimentation saine à 40 ans permet de gagner jusqu’à 10 ans de vie

François Mallordy
Une étude menée chez les Britanniques conclut que l’adoption d’une alimentation suivant les recommandations nationales augmente l’espérance de vie de plusieurs années, même chez les personnes d’âge moyen. Elle est parue dans Nature Food.
REGIME ALIMENTAIRE SAIN
Actualité

Hématurie : quelle démarche en MG ?

Dernière mise à jour : 9 février 2022
Cinzia Nobile
La découverte d’une hématurie impose un bilan étiologique car elle peut être bénigne mais aussi le premier signe d’un cancer. Que rechercher à l’interrogatoire et l’examen clinique ? Quelles explorations complémentaires ? Une fiche pratique, algorithme décisionnel à l’appui.
HEMATURIE
Actualité

Troubles obsessionnels-compulsifs 

TROUBLE OBSESSIONNEL COMPULSIF
ACTUALITÉ

Luxation de l'épaule

LUXATION DE L'EPAULE
LUXATION
Image

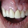
Hypertrophie gingivale iatrogène

HYPERTROPHIE GINGIVALE
Image

Mucormycose cutanée

MUCORMYCOSE
a
Image

Tendinopathies de la coiffe des rotateurs : une fiche pour les patients

Cinzia Nobile
Motif fréquent de consultation, les douleurs de l’épaule sont dans près de 70 % des cas liées aux pathologies de la coiffe des rotateurs.
COIFFE DES ROTATEURS
TENDINOPATHIE
Actualité

Lymphome B médiastinal primitif

LYMPHOME A GRANDES CELLULES
Image

Dermatomyosite

DERMATOMYOSITE
u
Image

Érysipèle

ERYSIPELE
Image

Xanthélasma

XANTHELASMA
Image

Psoriasis vulgaire

PSORIASIS
Image

Carcinome de Merkel

CARCINOME A CELLULES DE MERKEL
Image

Mesurer l’âge biologique des organes pour dépister les maladies

François Mallordy
En mesurant près de 5 000 protéines dans le plasma de 5 676 sujets, des chercheurs ont développé un modèle capable d’évaluer l’âge biologique de différents organes et de prédire le risque de plusieurs maladies.
VIEILLISSEMENT PRECOCE
Actualité

Cancer de l’anus : quelles sont les personnes les plus à risque ?

Cancérologie
Gastro-Entérologie-Hépatologie
Exercice

Nutri-Score : des améliorations en 2024

Laura Martin Agudelo
Le logo nutritionnel évolue cette année pour aider les consommateurs à mieux comparer la qualité nutritionnelle de différents produits. Quels sont les principaux changements ?
INDUSTRIE ALIMENTAIRE
VALEUR NUTRITIVE
Actualité

Dermites du siège

Irritatives, infectieuses ou inflammatoires ?
Cinzia Nobile
Chez les nourrissons, les dermites du siège sont le plus souvent d’origine irritative. Mais il faut savoir évoquer une cause infectieuse, inflammatoire ou une maladie systémique en cas de tableau atypique ou de point d’appel. Focus sur l’orientation diagnostique, la prise en charge et la prévention.
ERYTHEME FESSIER
Actualité

Et si les varices des Français, c’était la faute de Napoléon ?

Jean-Noël Fabiani-Salmon
L’insuffisance veineuse, certes bénigne, peut toutefois conduire à des complications handicapantes. La France était, en 1999, le premier marché mondial des médicaments veinotoniques.
VARICES
Article de revue
La Revue du Praticien
74(1):112-4