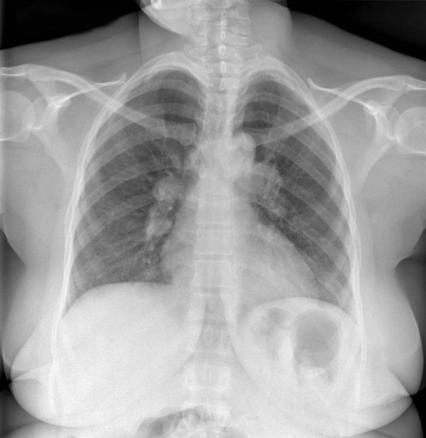
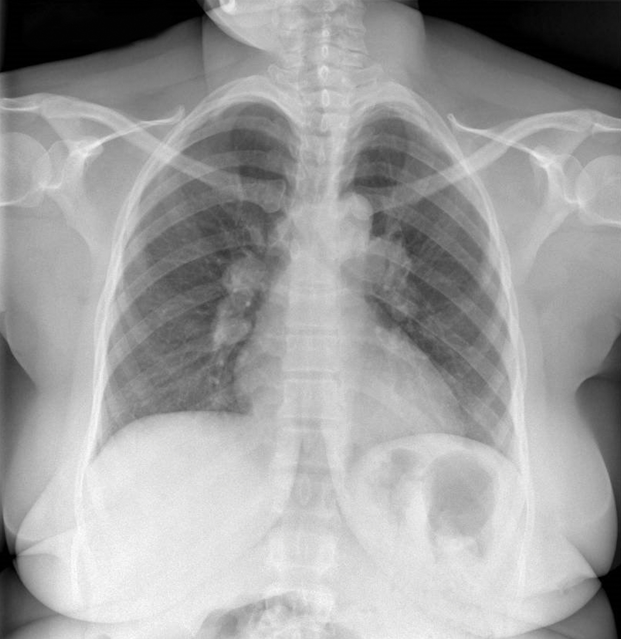
Forme de sarcoïdose qui se manifeste par une triade associant : un érythème noueux, une arthrite et, comme sur cette radiographie, des adénopathies médiastinales.
Lire aussi
Exercice
Exercice
Article
Exercice
Article