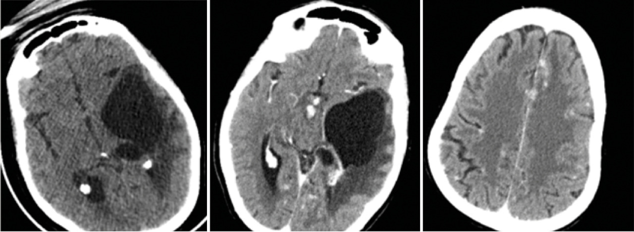
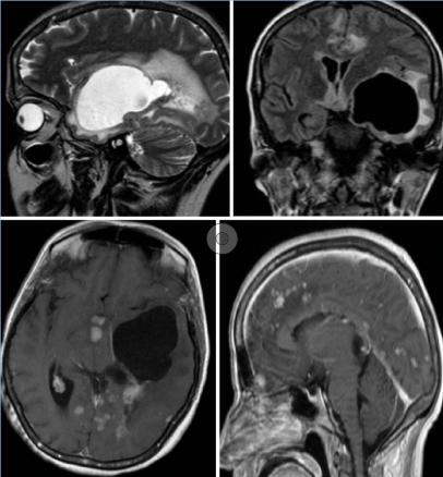
Cette femme de 44 ans avait un tableau d’hypertension intracrânienne et des troubles du comportement, un syndrome pyramidal droit, une paralysie faciale centrale droite, un syndrome confusionnel et un œdème papillaire ; pas de particularité pour le reste de l’examen, notamment pulmonaire. Le bilan biologique (test de sensibilité à la tuberculine, antigène carcinoembyonnaire, métabolisme calcique, cytologie du lavage bronchoalvéolaire) et la radiographie pulmonaire étaient normaux. La tomodensitométrie (TDM) cérébrale (fig. 1 ) montrait une lésion kystique temporale gauche exerçant un effet de masse sur la ligne médiane avec un œdème périlésionnel. Après injection il y avait une prise de contraste micronodulaire leptomeningée diffuse et de la corne occipitale du ventricule latéral gauche. L’imagerie par résonance magnétique (IRM) [fig. 2 ] montrait une volumineuse lésion kystique expansive temporale gauche, dont les parois ne se rehaussaient pas après injection du produit de contraste avec un hypersignal T2 périlésionnel ainsi qu’un engagement temporal. La résection chrirugicale et la corticothérapie permettaient une amélioration neurologique immédiate. L’histologie était en faveur d’un granulome épithéloide gigantocellulaire sans nécrose caséeuse.
La sarcoïdose est une granulomatose systémique de cause inconnue, elle peut atteindre l’ensemble du système nerveux : nerfs crâniens, parenchyme cérébral, leptoméninges et nerfs périphériques. L’atteinte neurologique peut être inaugurale et le diagnostic est alors difficile.1 Six à 30 % des patients ayant une neurosarcoïdose ont une hydrocéphalie soit communicante par altération de la résorption du liquide céphalorachidien (LCR), soit plus fréquemment obstructive du fait d’une infiltration granulomateuse de l’épendyme et des plexus choroïdes. Une forme rare d’hydrocéphalie obstructive est représentée par les trapped ventricular compartements, qui peuvent concerner le 4e ventricule, la corne temporale des ventricules latéraux, prenant le nom d’entrapped temporal horn, elle est la conséquence d’un obstacle à la circulation du LCR au niveau du trigone du ventricule latéral, résultant de l’infiltration granulomateuse de l’épendyme et du plexus choroïde, isolant la corne temporale contenant le plexus choroïde du reste du système ventriculaire. Du fait de la présence du plexus sécrétant du LCR, la cavité s’agrandit progressivement et se comporte comme un processus expansif.
Références
1. Tamayo-Gomez F, Menéndez-Villa ML, Pérez-Assef A, et al. Sarcoidosis and idiopathic intracranial hypertension, A case report. Rev Neurol 2003;36:237-8.
2. Bakshi R, Fenstermaker RA. Neurosarcoidosis presenting as a large suprasellar mass, Magnetic resonance imaging findings. Clin Imaging 1998;22:323-6.
2. Bakshi R, Fenstermaker RA. Neurosarcoidosis presenting as a large suprasellar mass, Magnetic resonance imaging findings. Clin Imaging 1998;22:323-6.
Une question, un commentaire ?
Sur le même thème
Exercice
Exercice
Article
Exercice
Article