Kyste hépatique simple (ou biliaire)
TUMEURS DU FOIE
ECHINOCOCCOSE HEPATIQUE
Image
Adénome hépatique
TUMEURS DU FOIE
ADENOME HEPATOCELLULAIRE
Image
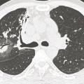
Tuberculose pulmonaire
TUBERCULOSE
Image
Spondylodiscite tuberculeuse du rachis cervical, avec abcès prévertébral épidurite et compression médullaire
TUBERCULOSE
SPONDYLODISCITE
Image
Carcinome hépatocellulaire
TUMEURS DU FOIE
Image
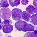
Dysérythropoïèse
SYNDROMES MYELODYSPLASIQUES
Image
Des métastases sous-cutanées d’un mélanome
METASTASES SOUS-CUTANEES D'UN MELANOME
Image
Métastases cutanées d'un mélanome
METASTASES
MELANOME
Image
Ongles de Terry
LEUCONYCHIE TOTALE
Image
Excoriations névrotiques
EXCORIATION
TROUBLES NEVROTIQUES
Image
Eczéma dyshidrosique des mains
ECZEMA
DYSHIDROSE
Image
Tumeurs du sein - Visualisation d’un ganglion sentinelle axillaire par lymphoscintigraphie
TUMEURS DU SEIN
LYMPHOSCINTIGRAPHY
Image
Tumeurs du sein - Microcalcifications
TUMEURS DU SEIN
MAMMOGRAPHIE
Image
Tumeurs du sein - Aspect postopératoire d’une mastectomie radicale modifiée
TUMEURS DU SEIN
MASMECTOMIE
Image
Tumeurs du sein - Cancer nodulaire chez une femme de 30 ans
TUMEURS DU SEIN
ECHOGRAPHIE
Image
Tumeurs du sein - Prélèvements pour l'examen histopathologique
TUMEURS DU SEIN
Image
Image
Tumeurs du sein - Cancer nodulaire chez une femme de 30 ans
TUMEURS DU SEIN
MAMMOGRAPHIE
Image
Aspergillose pulmonaire invasive
ASPERGILLOSE PULMONAIRE
Image
Dilatation des voies biliaires
VOIES BILIAIRES
DILATATION
Image
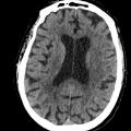
Scanner cérébral normal
TOMODENSITOMETRIE
CERVEAU
Image
Ostéolyse vertébrale évocatrice de spondylodiscite évolutive
OSTEOLYSE
DISCITE
Image
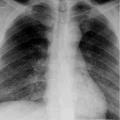
Épanchement pleural droit
EPANCHEMENT PLEURAL
Image
Thrombose hémorroïdaire externe
HEMORROIDES
PROCTOLOGIE
Image
Abcès gonococcique
NEISSERIA GONORRHOEAE
Image