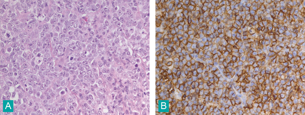
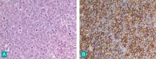
© Julie Bruneau, Nicole Brousse (La Revue du Praticien) Les grandes cellules tumorales (A) expriment le CD20 (B).