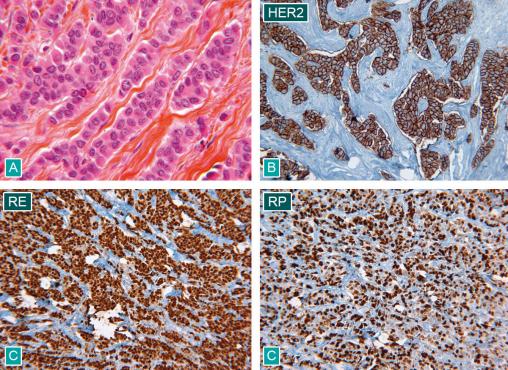
Prolifération tumorale formant des massifs carcinomateux de cellules indifférenciées (A). Expression d'HER2 positive (+++) par les cellules tumorales (B). Expression positive des récepteurs aux œstrogènes (RE, C) et à la progestérone (RP, D).