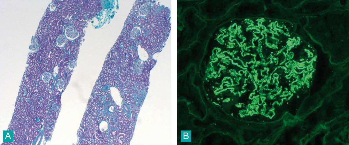
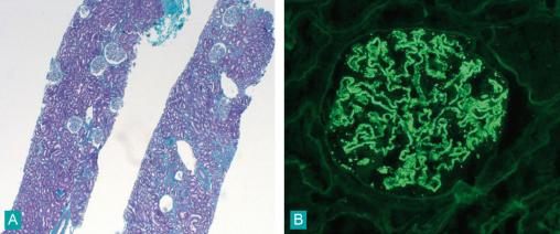
© Julie Bruneau, Nicole Brousse (La Revue du Praticien) A. Trichrome vert de Masson : parenchyme rénal cortical.B. Immunofluorescence anti-IgG : dépôts granuleux extra-membraneux.