Syphilis cutanée
SYPHILIS CUTANEE
Image
Herpès lombaire
HERPES
Image
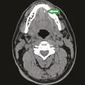
Ganglion cervical : adénite nécrosante granulomateuse
GRANULOME
TUBERCULOSE GANGLIONNAIRE
Image
Syndrome de Kaposi-Juliusberg
ERUPTION VARICELLIFORME DE KAPOSI
Image
Tumeur rénale
TUMEURS DU REIN
NEPHRECTOMIE
Image
Adénocarcinome de prostate
ADENOCARCINOME
TUMEURS DE LA PROSTATE
Image
Syphilides
SYPHILIS CUTANEE
Image
Forme exsudative de dégénérescence maculaire liée à l'âge
DEGENERESCENCE MACULAIRE
Image
Rétine maculaire normale
RETINE
Image
Gingivite
GINGIVITE
Image
Cancer de la prostate (stade IV)
TUMEURS DE LA PROSTATE
Image
Fracture extra-articulaire à déplacement postérieur et son traitement
FRACTURE DE POUTEAU-COLLES
Image
Fracture du radius extra-articulaire à déplacement postérieur
FRACTURES DU RADIUS
Image
Lithiase de canaux salivaires
MALADIES DES GLANDES SALIVAIRES
CALCULS SALIVAIRES CANALAIRES
Image
Tori mandibulaires
MALADIES DE LA GENCIVE
Image
Sténose au cours d’une maladie de Crohn iléale
MALADIES INFLAMMATOIRES INTESTINALES
ENTERITE DE CROHN
Image
Phénomène de Raynaud
RAYNAUD
MALADIE DE RAYNAUD
Image
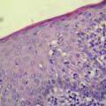
Spongiose
ECZEMA
SPONGIOSE
Image
Hémangiome multifocal infantile
HEMANGIOME
ANGIOME
Image
Cataracte
CATARACTE
LAMPE A FENTE
Image
Œdème maculaire diabétique
OEDEME MACULAIRE
DIABETE
Image
Rétinopathie diabétique
RETINOPATHIE DIABETIQUE
FOND DE L’OEIL
FOND D’OEIL
Image
Tumeurs du sein - Lésion BI-RADS 2 maligne
TUMEURS DU SEIN
Image
Tumeurs du sein - Mammographie normale, densité type 2
TUMEURS DU SEIN
DENSITE MAMMAIRE
MAMMOGRAPHIE
Image
Tumeurs du sein - Carcinome canalaire infiltrant chez patiente porteuse d'une mutation génétique BRCA1
TUMEURS DU SEIN
MAMMOGRAPHIE
ECHOGRAPHIE
CARCINOME CANALAIRE DU SEIN
GENE BRCA1
Image