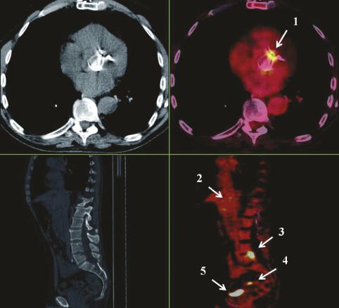
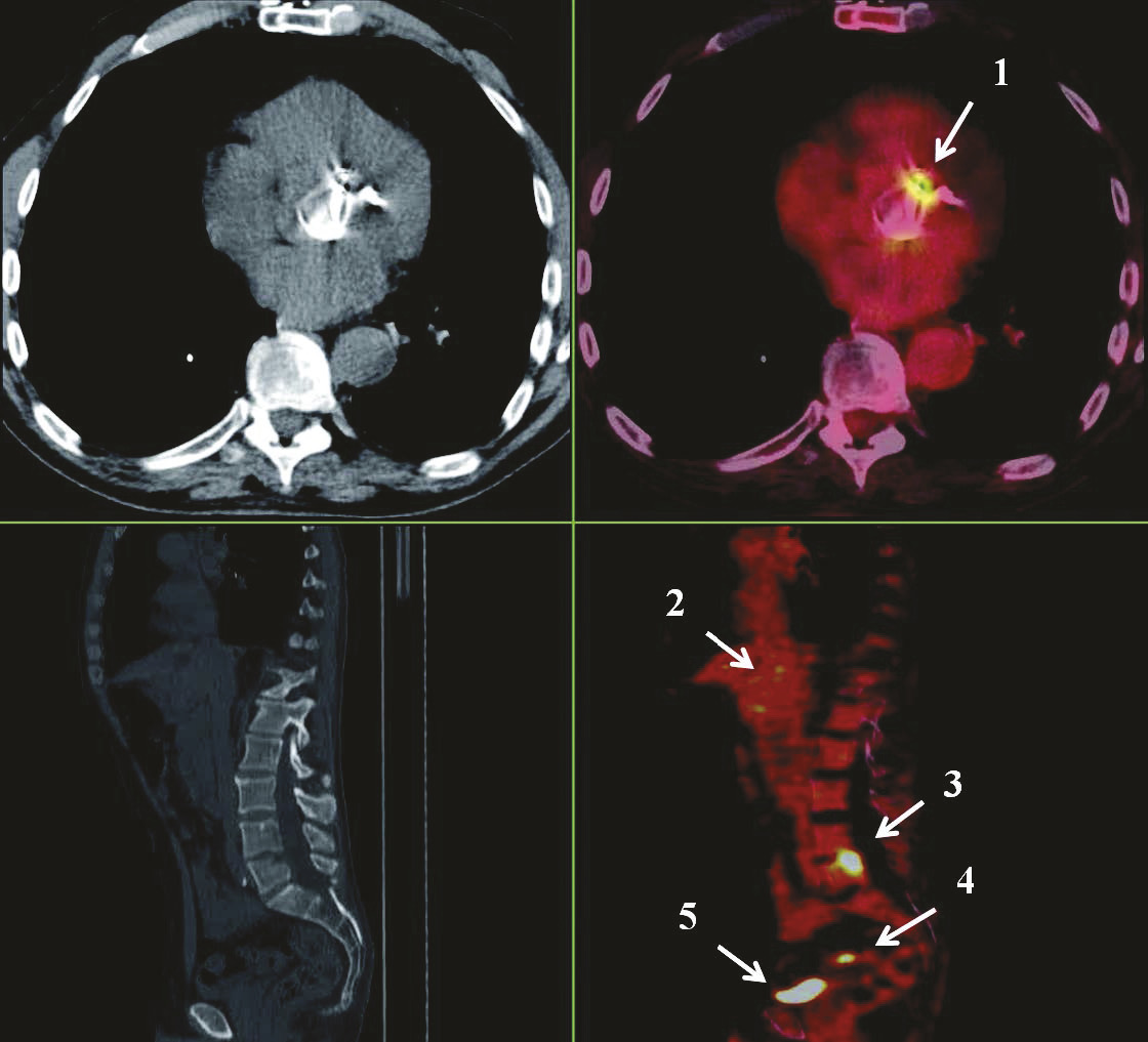
Imagerie TEP (à droite) couplée à un scanner thoraco- abdomino-pelvien (à gauche). Extrait de : Endocardite infectieuse