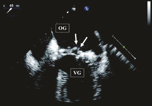
Image échocardiographique par voie transœsophagienne : aspect de végétations (flèches) sur le versant auriculaire de la valve mitrale située entre l’oreillette gauche et le ventricule gauche.
Lire aussi
Exercice
Exercice
Exercice