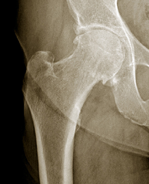
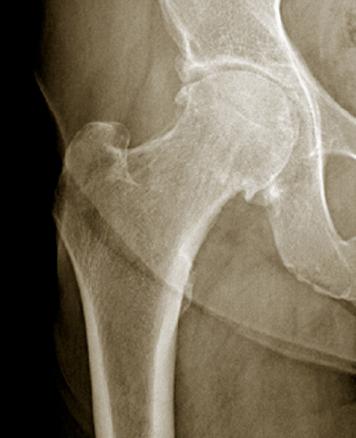
Radiographie de hanche. Coxarthrose droite évoluée ; stade 3 de Kellgren et Lawrence, pincement articulaire localisé supéro-interne, ostéophytes cotyloïdiens et péricapitaux.