Dacryocystite aiguë gauche avec collection débutante
DACRYOCYSTITE
PATHOLOGIE DE LA PAUPIERE
Image
Lèpre
LEPRE
Image
Entropion avant et après chirurgie
ENTROPION
PATHOLOGIE DE LA PAUPIERE
Image
Ectropion bilatéral
EVERSION DE LA PAUPIERE
PATHOLOGIE DE LA PAUPIERE
Image
Fracture pénienne, avec hématome des organes génitaux
MALADIES DU PENIS
PATHOLOGIE DU PENIS
Image
Lèpre
LEPRE
Image
Image
Lèpre
LEPRE
Image
Image
Goutte non commune
GOUTTE
TOPHUS
Image
Goutte non commune
GOUTTE
Image
Goutte non commune
GOUTTE
Image
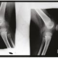
Ostéonécrose aseptique de la tête fémorale
OSTEONECROSE ASEPTIQUE
Image
Striatopathie diabétique
COMPLICATIONS DU DIABETE
HYPERGLYCEMIE
Image
Arthropathie hypertrophiante d'un genou d'un enfant atteint de Cinca
MALADIES AUTO-INFLAMMATOIRES HEREDITAIRES
Image
Scapula alata dynamique
SCAPULA
DYSKINESIE
Image
Adénome villeux rectal
TUMEURS COLORECTALES
ADENOME COLORECTAL
Image
Scapula alata dynamique
SCAPULA
DYSKINESIE
Image
Arthropathie hypertrophiante précoce chez un enfant atteint de Syndrome chronique infantile neurologique cutané et articulaire (CINCA)
MALADIES AUTO-INFLAMMATOIRES HEREDITAIRES
Image
Rash morbiliforme chez un enfant atteint de déficit en mévalonate kinase
MALADIES AUTO-INFLAMMATOIRES HEREDITAIRES
DEFICIT EN MEVALONATE KINASE
Image
Rash pseudo-urticarien tel qu’observé dans l’urticaire familiale au froid, le syndrome de Muckle-Wells et le CINCA.
MALADIES AUTO-INFLAMMATOIRES HEREDITAIRES
Image
Image
Image
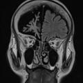
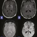
Encéphalite de Rasmussen
ENCEPHALITE
Image
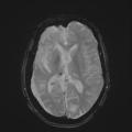
Encéphalite de Rasmussen
ENCEPHALITE
Image