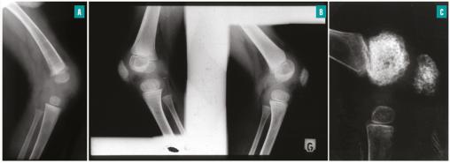
Radiographie osseuse du genou chez un enfant atteint de CINCA souffrant d’une arthropathie hypertrophiante précoce : respectivement à 6 mois (A), 2 ans (B) et 3,5 ans (C). On observe une irrégularité des métaphyses et épiphyses, une hypertrophie irrégulière progressive avec un aspect « en mie de pain » des épiphyses et de la rotule.
Lire aussi
Article
Article